Ch 13 Elbow Flashcards

(107 cards)

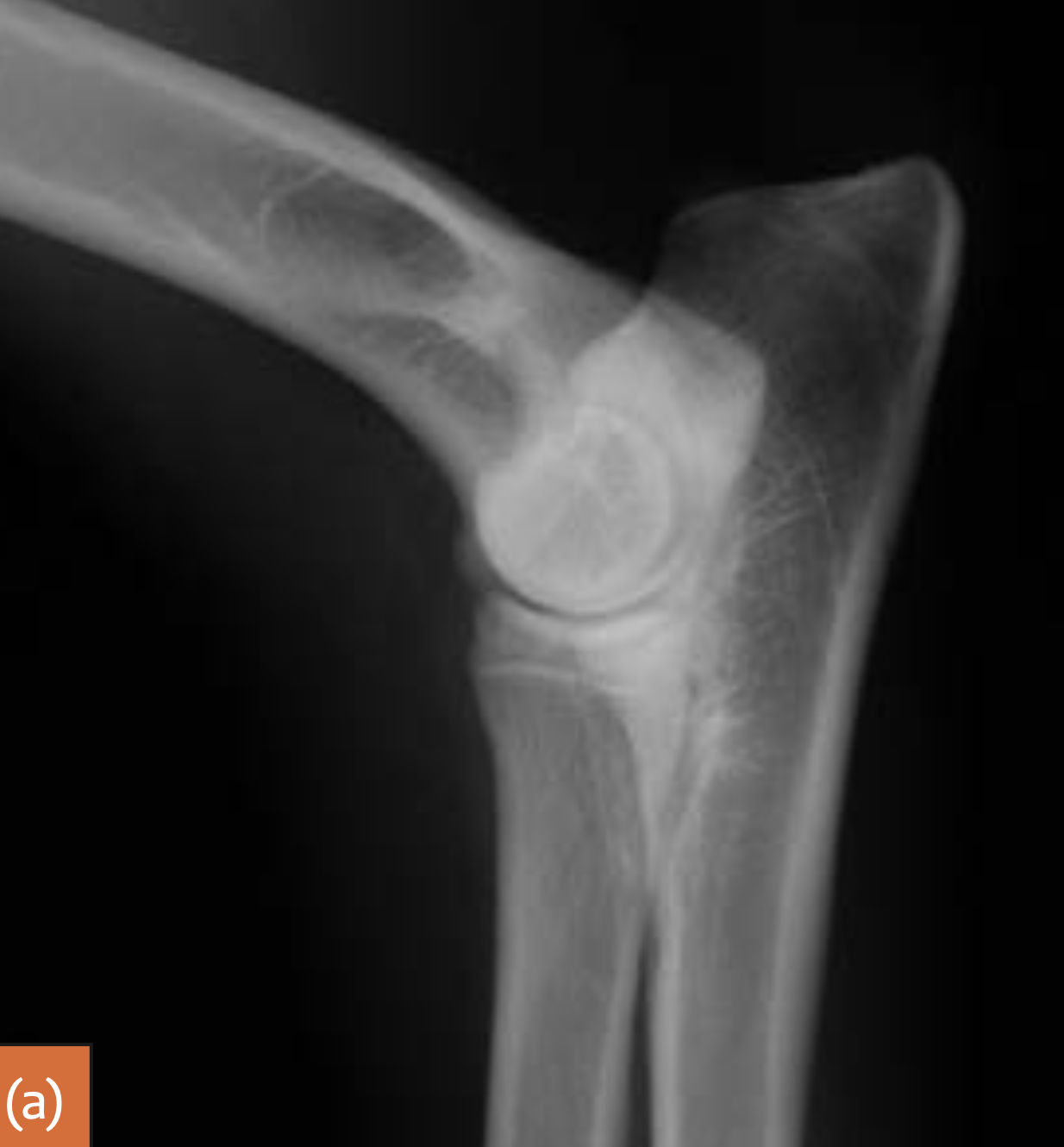
1
Q

Point out: anconeal process, trochlear notch, medial and lateral coronoid process, medial and lateral epicondylar crest

A
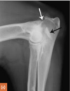
How well did you know this?
1
Not at all
2
3
4
5
Perfectly
2
Q
A
How well did you know this?
1
Not at all
2
3
4
5
Perfectly
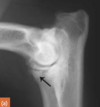
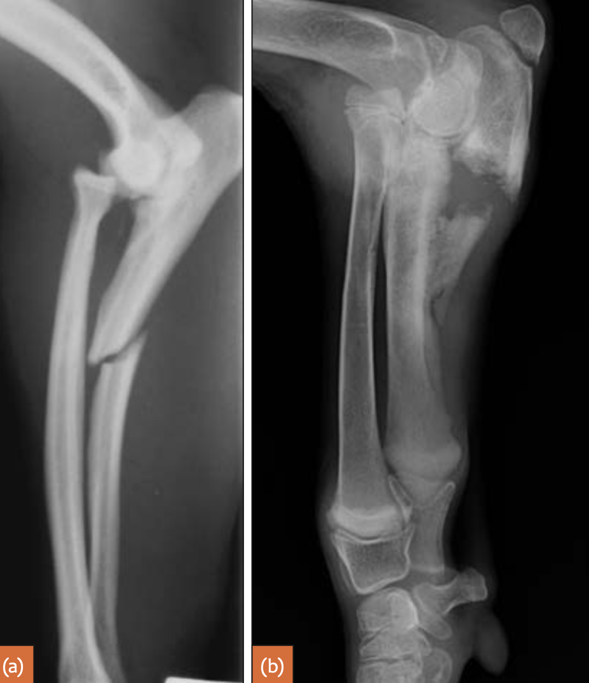
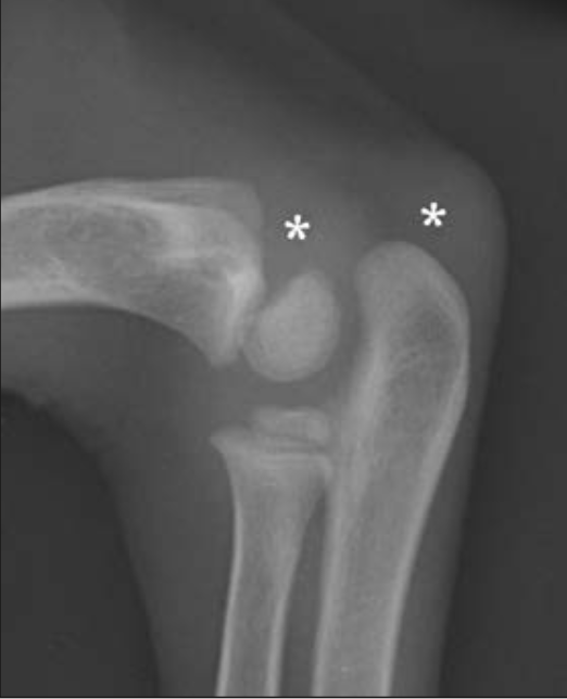
3
Q

If this is an 8 week old Rottweiler, what are the * indicating?

A

Future ossification centres of the olecranon (ulna) and medial epicondyle (humerus).

How well did you know this?
1
Not at all
2
3
4
5
Perfectly
4
Q

What is the craniolateral–caudomedial oblique (Cr15°L-CdMO) view best for?

A

Medial structures - MCP, OCDs on the medial humeral condyle

How well did you know this?
1
Not at all
2
3
4
5
Perfectly
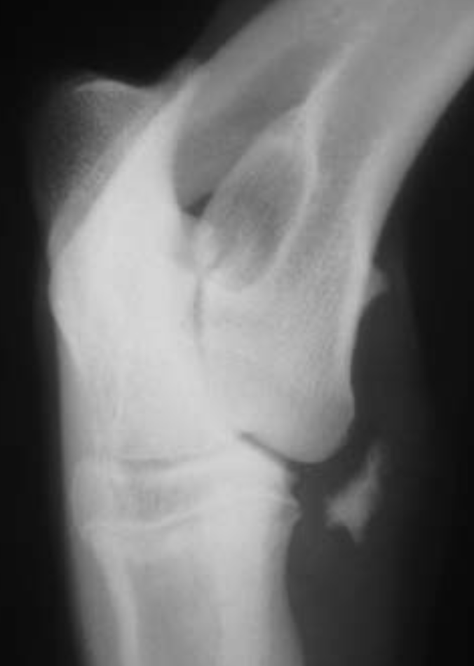
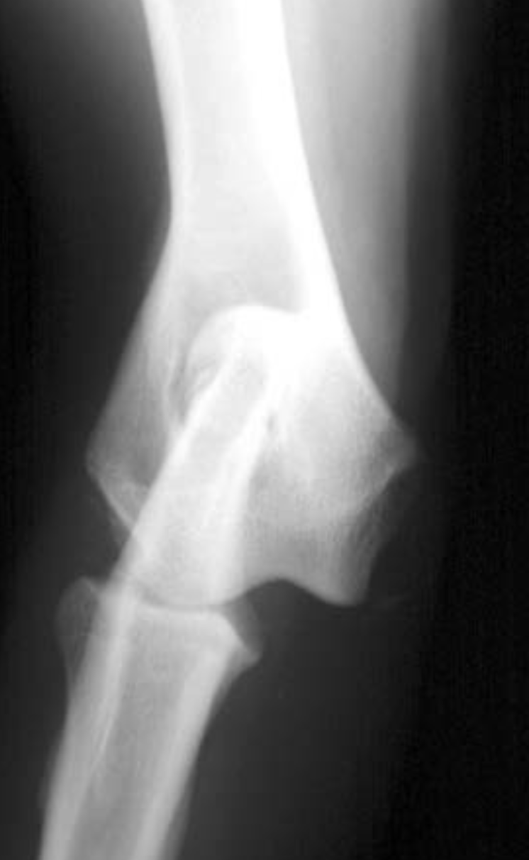
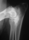
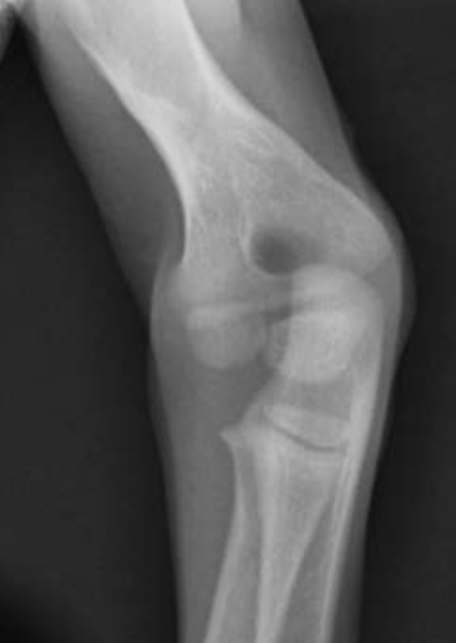
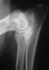
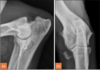
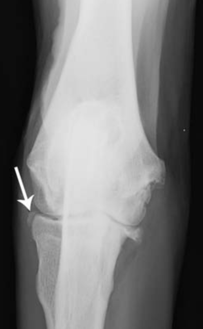
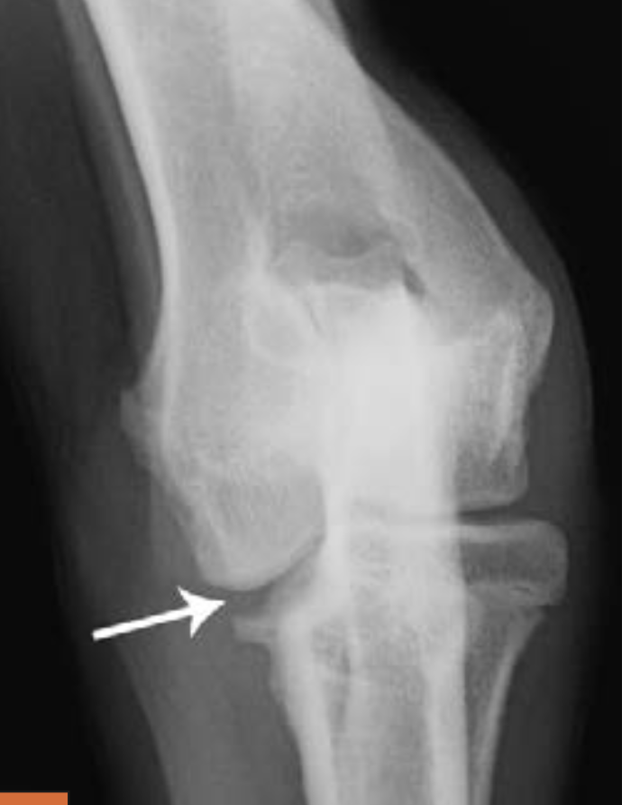
5
Q

What is the craniomedial–caudolateral oblique (Cr45°M-CdLO) view best for?

A

Lateral structures - sesamoid of m. supinator longus, IOHC (best seen with 15’ supination, like in the image here)

How well did you know this?
1
Not at all
2
3
4
5
Perfectly
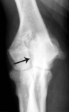
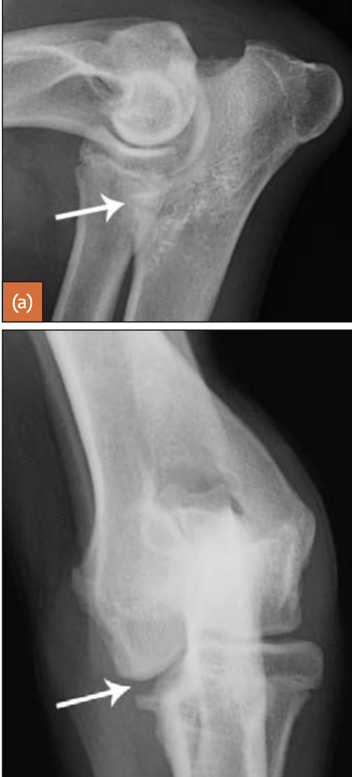
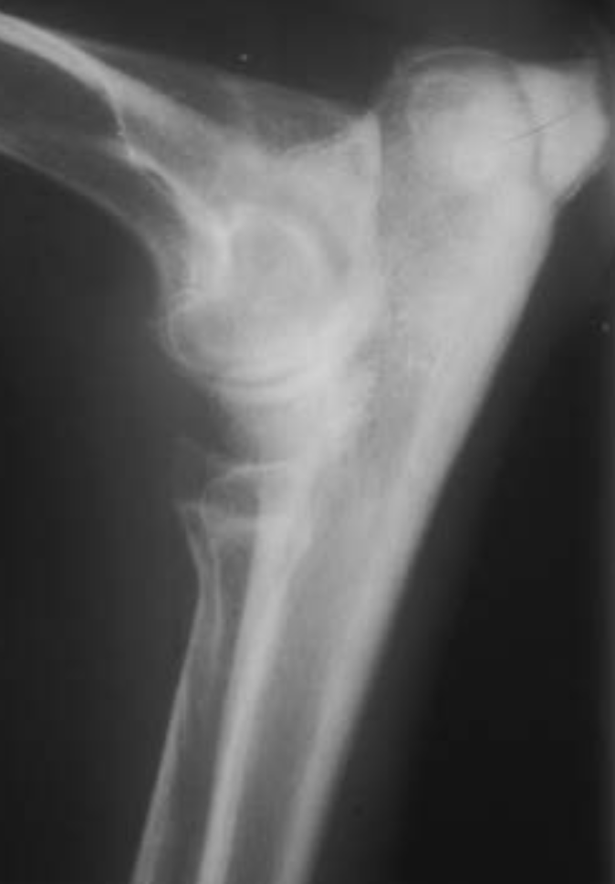
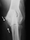
6
Q

adult irish wolfhound

A

arrow: sesamoid of m. supinator longus
There is a fractured MCP on the medial aspect of the joint.

How well did you know this?
1
Not at all
2
3
4
5
Perfectly
7
Q

What are the types of humeral condylar fractures and which is more common?

A
  • Lateral is the most common, because it bears the most weight (on the radial head) and its attachment to the diaphysis is weaker.
    *Y / T fractures
  • Medial condylar fractures are rare.
How well did you know this?
1
Not at all
2
3
4
5
Perfectly
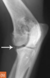
8
Q

3.5m Yorkie

A

lateral humeral condylar fracture

How well did you know this?
1
Not at all
2
3
4
5
Perfectly
9
Q

3.5m Yorkie

A

lateral humeral condylar fracture - see its caudal displacement, superimposed over the cranial ulna.

How well did you know this?
1
Not at all
2
3
4
5
Perfectly
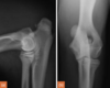
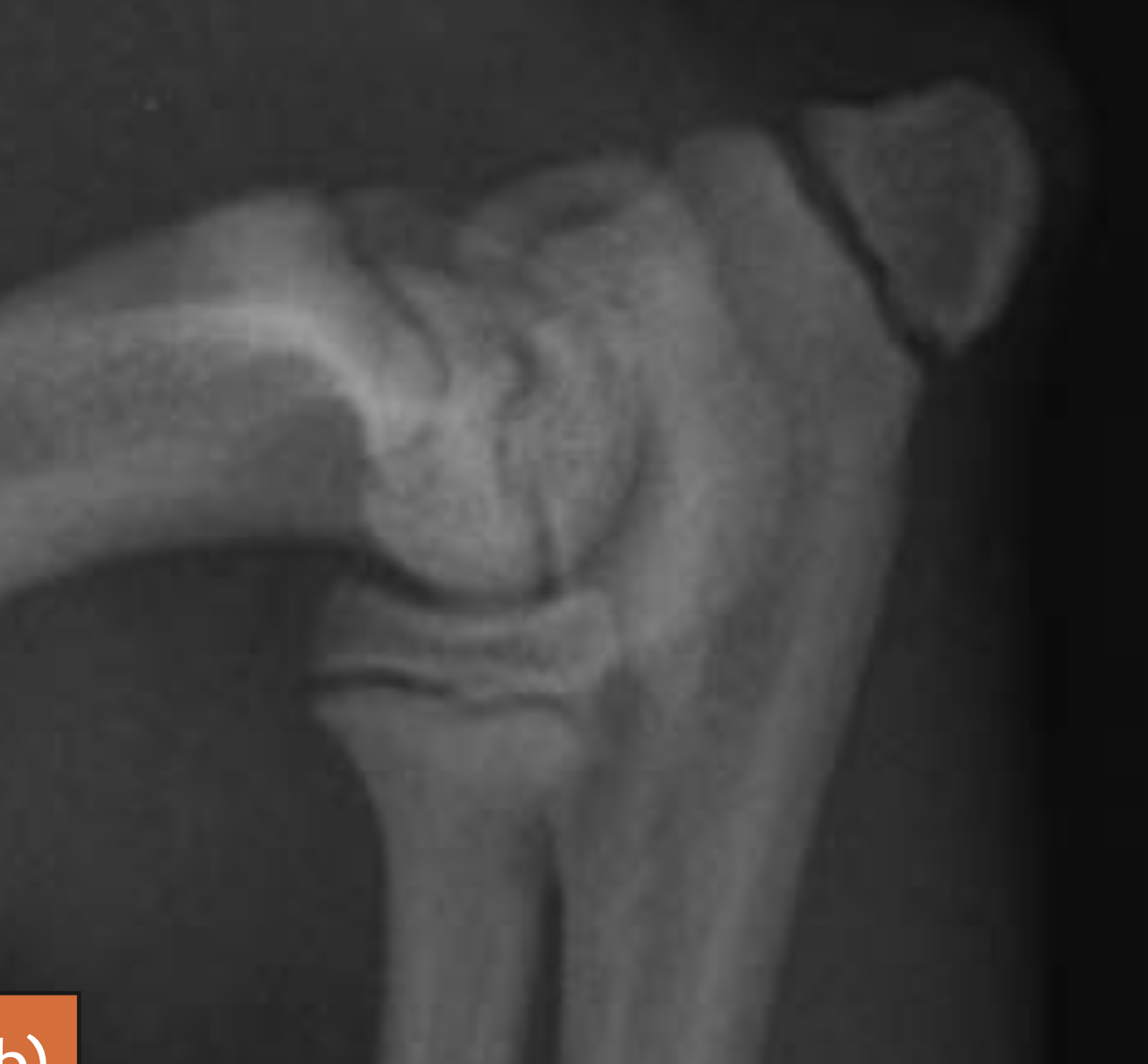
10
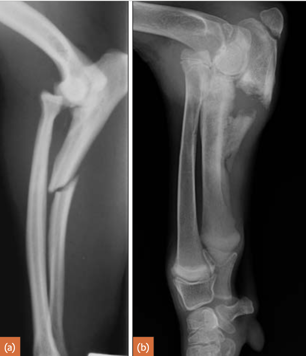
Q

What is a Monteggia fracture?

A

Proximal ulnar fracture (articular or non-articular) accompanied by a cranial luxation of the proximal radius and distal ulnar fragment

How well did you know this?
1
Not at all
2
3
4
5
Perfectly
11
Q
A

Monteggia fractures

How well did you know this?
1
Not at all
2
3
4
5
Perfectly
12
Q

Which muscle is involved with olecranon avulsion fractures?

A

Triceps, it distracts the fragment proximally.

How well did you know this?
1
Not at all
2
3
4
5
Perfectly
13
Q
A

Avulsed olecranon (fracture)

How well did you know this?
1
Not at all
2
3
4
5
Perfectly
14
Q

Where do (typically) olecranon avulsion fractures occur?

A

In young animals - at the physis.
In mature animals - at the semilunar/trochlear notch (more distally)

How well did you know this?
1
Not at all
2
3
4
5
Perfectly
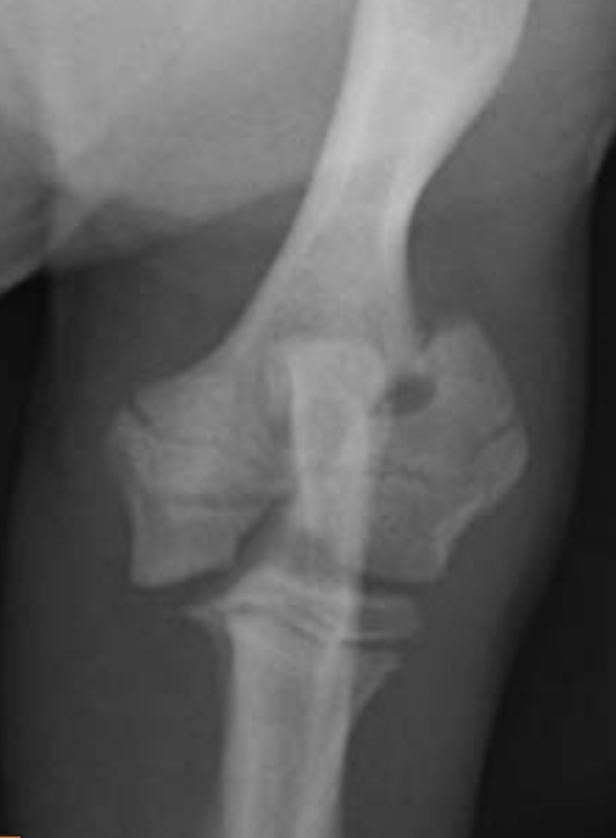
15
Q
A

Medial epicondyle avulsion fracture: This is usually associated with a traumatic incident, and results in fragments of various sizes seen medially or mediodistally to the medial epicondyle on CrCd or Cr15°L-CdMO views (Figure 13.25). This condition needs to be differentiated from an ununited medial humeral epicondyle, seen occa- sionally in Labrador Retrievers

How well did you know this?
1
Not at all
2
3
4
5
Perfectly
16
Q

When does the humeral condyle close (fuse) in dogs?

A

The humeral condyle is usually closed by 6 to 10 weeks and is considered delayed/incomplete if a linear lucency is evident after 100 days.

How well did you know this?
1
Not at all
2
3
4
5
Perfectly
17
Q

90 day labrador, CT at level of semilunar / trochlear notch. Is this normal or delayed?

A

Should be fused by 10 weeks (70 days), but lit says considered delayed/incomplete if the lucency is visible after 100 days.

How well did you know this?
1
Not at all
2
3
4
5
Perfectly
18
Q
A

elbow subluxation

How well did you know this?
1
Not at all
2
3
4
5
Perfectly
19
Q

how will early closure of the distal ulnar physis (e.g. due to trauma) affect the elbow joint?

A

It will most likely cause subluxation (distal subluxation of the trocheal notch relative to the humeral condyle / radial head), with a widened humeroulnar joint and distal displacement of the MCP, due to the radius continuing to grow normally.

How well did you know this?
1
Not at all
2
3
4
5
Perfectly
20
Q

5m labrador

A

Widened humeroulnar joint > a subluxation due to premature closure of distal ulnar physis

How well did you know this?
1
Not at all
2
3
4
5
Perfectly
21
Q

what other pathology (other than trauma) in the distal ulnar physes can cause elbow subluxation?

A

Retained endochondral cartilage. These will be bilateral, though.

How well did you know this?
1
Not at all
2
3
4
5
Perfectly
22
Q

What will result in this appearance?

A

premature closure of the distal radial physis will result in widening of the humeroradial joint space

How well did you know this?
1
Not at all
2
3
4
5
Perfectly
23
Q

what will develop secondary to premature closure of the distal or proximal radial physes?

A

subluxation of the trochlear notch relative to the humeral condyle and radial head
widened humeroradial joint space

page 197

How well did you know this?
1
Not at all
2
3
4
5
Perfectly
24
Q

Which types/breeds may be predisposed to secondary humeroulnar subluxation due to retarded ulnar growth?

A

Chondrodystrophic breeds

How well did you know this?
1
Not at all
2
3
4
5
Perfectly
25
What is a possible sequel of radioulnar fractures (non physeal) that may result in humeroulnar subluxation?
Synostosis
26
5m JRT
Congenital proximal radial luxation or subluxation usually occurs in larger breeds such as Shetland Sheepdogs and Bulldogs. Clinically, there may be only mild deformity or lameness. The radius usually luxates caudolaterally. The radial head is often underdeveloped and rounded.
27
Proximal ulnar luxation is the most common form of primary/congenital elbow luxations and presents with marked limb dysfunction. It is mainly seen in small breeds such as the Yorkshire Terrier and Boston Terrier, as well as the Cocker Spaniel, English Bulldog and Staffordshire Bull Terrier. The ulna usually luxates laterally. The anconeal process may be underdeveloped and the ulna rotated 90 degrees, resulting in a lateral projection of the ulna on a CrCd radiograph
28
What are some causes of elbow lameness that may have normal rads?
29
6y cat, with a rapidly growing, non- painful, solitary juxta-articular mass on the craniolateral elbow
extraskeletal osteochondroma (seen as separate on the Cr15'L-CdMO projection). Incidental mineralized flexor enthesopathy is present.
30
same dog 3 months apart
chronic septic arthritis top: Extensive periarticular new bone formation with the humeroulnar joint reasonably spared bottom: progression of (a) the new bone formation, marked humeroulnar subchondral lysis indicative of non- responsive infection.
31
What are 2 ways to assess elbow joint (in)congruity?
Is there a radioulnar step formation? Is there a widened humeroulnar joint space?
32
Kissing lesion - Sclerosis of the medial humeral condyle (arrowed); this accompanies MCP fragmentation
33
Irregular radial incisures/ subchondral cystic lesions - part of MCP disease
34
Which radioulnar growth disparity leads to FMCP?
Short radius/ long ulna
35
Which radioulnar growth disparity leads to UAP?
Short ulna/ long radius
36
What are the cornerstones of ED in dogs?
* FMCP or MCD * OCD of the medial humeral condyle * Elbow incongruity * UAP whichh all leads to osteoarthrosis/osteophytosis.
37
The medial coronoid process has a separate centre of ossification which appears at.. ?
FALSE - it does not have a separate centre of ossification. It completes ossification from base to tip by 20-22 weeks (5-5.5 months).
38
When does MCP ossification finish?
by 20-22 weeks / 5-5.5months
39
In dogs with ED, why is there an increased pressure on the cartilaginous (developing) MCP?
Either disparate growth between radius and ulna (i.e. long ulna/short radius syndrome), or due to an incongruent trochlear notch.
40
What is the underlying cause of ED?
OC - e.g. OC of the MCP causes the chondrocytes to undergo chondromalacia, and this is where it fissures/fragments.
41
If you cannot see a MCP fragment on radiographs (and often you cannot since it is cartilaginous, or non-displaced, or just superimposed), what other radiological clues are usually present in this condition?
* Secondary osteophytic changes * Subtrochlear sclerosis on the caudal aspect of the medial coronoid * Associated elbow incongruity * Poorly defined, convex, flattened or irregular outline of the medial coronoid process.
42
skeletally mature dog with an absent or flattened medial coronoid process. Note early osteophyte formation on the anconeal process.
43
4-year-old Rottweiler
large separate medial coronoid fragment superimposed on the cranial radius (arrowed). Osteophytic reactions are seen on the cranial margins of the joint and on the anconeal process and subtrochlear sclerosis.
44
Which is more sensitive for MCD - osteophytosis or subtrochlear sclerosis?
Subtrochlear sclerosis - In a study of 263 dogs with MCD, 29% had no evidence of osteophytic reactions radiographically (Fitzpatrick et al., 2009a). However, 87% of the dogs had subtrochlear sclerosis. Another study showed that subtrochlear sclerosis was strongly correlated with the presence of FMCP (r >0.92) (Lavrijsen et al., 2012).
45
Kissing lesions of the humerus are located more laterally than OCD lesions - true or false?
True
46
If elbow joinr inongruity is present after ____ months, it may be present on its own (whereas if present before, may be accompanied by fMCP, OCD and UAP).
6
47
Which 3 joint spaces make up the elbow?
humeroulnar, humeroradial and radioulnar
48
Insufficient development of the trochlear notch with resultant incongruity is thus most likely in larger dogs. True or false?
True - Intermediate and heavy-set breeds have a longer proxi- mal ulna, relative to the adjacent radius than other breeds. Morgan et al. (2000) postulated that this reflects the need to accommodate a trochlear notch of sufficient size to encompass a heavier and larger humeral trochlea.
49
a study by Samoy et al. (2012b) showed that incongruity can be reliably diagnosed on radiographs, particularly on the _______ view and to a lesser extent on the __________view.
ML extended pronated Cr15°L-CdMO
50
In incongruent elbows, the 'radioulnar step' is between the radial articular surface and *which* anatomical structure* of the ulna*?
lateral coronoid process
51
The anconeal process ossification centre - appears at ____ weeks. - is united with the olecranon by ____ weeks.
Appears: 11-14w United: ~ 20-22 weeks (GSD 16-20w, greyhounds EVEN EARLIER 14-15w)
52
A UAP is always completely separated from the ulna - T or F?
False, it can be joined by fibrous or fiborcartilaginous tissue
53
GSD at 7.5m and 9m
b) UAP: radiolucent line in the anconeal process and slightly widened humeroanconeal joint space (i.e. displacement of the AP). c) fusion of the AP following ulnar osteotomy
54
Which fuses first - the anconeal process or the medial humeral epicondyle?
The anconeal process fuses first, followed by (1-2 mo later), the medial humeral epicondyle.
55
What are the theories on development of the UAP?
1. short ulna / long radius - the AP ossification centre is essentially pushed proximally while its trying to ossify and gets damaged. 2. The joint (trochlear notch part) is incongruent from the start and forms an elliptical shape rather than semicircular.
56
What are likely concomitant pathologies in dogs with UAP?
joint incongruency and MCD, 1/3 of which will have fMCP
57
Which angle is this?
Cr15°L-CdMO
58
What are the findings and diagnoses in this 2y Boerboel?
UAP, fMCP, joint incongruency and osteophytosis / arthrosis
59
OCD and fMCP are heritable through the same genetics - T or F?
False, many breeds are predisposed to both, but they are inherited independently as polygenic traits.
60
What is a non-ED, congenital elbow disease that occurs mainly in Labrador Retrievers, with an incidence up to 15%?
Ununited medial humeral epicondyle
61
Ununited medial humeral epicondyle occurs in which breed mainly?
Labrador Retrievers, incidence up to 15%
62
What does ununited medial humeral epicondyle look like on radiographs, and which view is best?
CC view is best (actually, could be missed on laterals) because there are single/multiple fragments adjacent to the medial epicondyle +/- bone defects
63
Ununited medial humeral epicondyle
64
Is ununited medial humeral epicondyle always symptomatic?
No, dogs can be asymptomatic.
65
If you have both MCD and flexor enthesopathy - which one should be treated as a priority?
MCD
66
Flexor enthesopathy is mainly seen in juvenile large and giant-breed male dogs - T or F.
F: The etiology is said to be traumatic, and therefore any age, and mainly in med-large dogs, but yes male dogs and rarely in the cat.
67
Which projection is best for flexor enthesopathy?
You are looking for a medial epicondylar spur, and this is best seen on a flexed ML projection.
68
What radiological change do you look for in flexor enthesopathy?
A distally-projecting enthesophyte from the most caudodistal aspect of the medial epicondyle of the humerus
69
cat with an early medial epicondylar spur and mineralization of the adjacent flexor tendon
70
4-year-old Boerboel
White arrow - enthesophyte on the medial epicondyle Black arrow - dystrophic mineralization of the proximal flexor muscles Image - CC view showing the flexor muscle mineralisation
71
6y Rottweiler
Flexor enthesopathy, also fMCP
72
Flexor enthesopathy; flexor origin medial epicondyle enthesopathy with immature new bone formation ST window: Note the flexor origin inflammation, visible as peripheral contrast enhancement (arrowed) with centrally non- enhancing oedema. The contrast-enhancing structure cranially is the saphenous vein
73
T1w pre and post
Flexor enthesopathy; T1w hyperintense and contrast-enhancing
74
When should the ossification centres of the capitulum and trochlea fuse in dogs?
2-3 months of age
75
What is the mean age of incidence of intracondylar fissures of the humeral condyle?
3-4 years
76
IOHC is usually bilateral. T or F?
True, usually! up to 95% have bilateral involvement.
77
What is distractio cubiti?
Non-traumatic elbow incongruity due to asynchronous growth of the radius & ulna
78
Which breeds are predisposed to dysostosis enchondralis?
Also called distractio cubiti, it is common in Basset hounds and other chondrodystrophic breeds (e.g. Corgi, Pekingese).
79
What is the corrective procedure for this condition?
Condition: Distractio cubiti/dysostosis enchondralis/asynchronous growth of the radius and ulna Correction: Ulnar ostectomy (lengthening procedure)
80
8m Rottweiler, acute lameness
patella cubiti image: post-op
81
What is the typical signalment of synovial cysts?
Elderly cats
82
IOHC in an 8y Springer image: other elbow
83
Which is the prefered radiographic view for flexor enthesopathy? a. ML b. CrCd c. Oblique d. Stress views
a. ML
84
Which of the following proposed etiologies of patella cubiti is INCORRECT? a. Presence of a sesamoid bone in the triceps insertion ligaments b. Congenital non-fusion of the olecranon to the ulna c. Traumatic atypical olecranon avulsion d. Osteophyte formation due to repetitive stress
d. Osteophyte formation due to repetitive stress
85
What is false about distractio cubiti/dysostosis enchondralis? a. Conditions which results from non-traumatic asynchronous growth of the radius and ulna b. Lately result in distal subluxation of the trochlear notch relative to the humeral condyles and radial head c. It is common in German Sheperd d. Lameness may start from 3-4 months
c. In Basset Hound, in chrondrodystrophic breeds. To know more: In all cases there were broadening of the joint space in the elbow joint and degeneration of the articular cartilage at the semilunar notch. An abnormally broad and irregular growth plate was seen in the affected young dogs, and histology revealed obvious abnormalities in the growth plate located in the zone of resting cartilage indicating degenerative disturbances in the cartilage.
86
What is the mineral opacity in the medial aspect of the radial head? a. Osteophyte b. Enthesophyte c. Dystrophic mineralisation of the flexor muscles d. Dystrophic mineralisation of the extensor muscles.
c. Dystrophic mineralisation of the flexor muscles. - Same side as flexor enthesopathy from the medial epicondyle. - From the lateral epicondyle attaches extensor muscles.
87
What is false about ununited medial humeral epicondyle? a. Occurs mainly in Labrador Retrievers. But German Sheperd and English Setters may also be affected. b. 15% incidence c. Diet does influence its incidence d. Single or multiple mineralized fragments are located extracapsularly, adjacent to the medial epicondyle
c. Diet does not influence
88
What anatomic landmark is indicated by the line on the top of the image? a. Medial epicondylar crest b. Lateral epicondylar crest c. Radial head d. olecranon
b. Lateral epicondylar crest
89
Which is not part of the abnormalities included in elbow dysplasia? a. MCD b. UAP c. Elbow incongruity d. Unnited medial epicondyle
d. Unnited medial epicondyle OCD of the medial humeral condyle.
90
Mediolateral maximally flexed view with less than ____ degrees between the humerus and the radius/ulna. This view optimizes: Osteophytes on the anconeal process, ___, flexor enthesophaty
45 UAP
91
Supinator longus muscle sesamoid, may be seen in cats and ____ breed dogs.
Large
92
Type of fracture
Monteggia fracture: This is a proximal ulnar fracture (articular or non-articular) accompanied by cranial luxation of the proximal radius and distal ulnar fragment (Figure 13.23).
93
Fractures mainly occur through the olecranon physis in ____ animals, or occur more distally and involve the semilunar notch in skeletally ____ animals. The fragment is distracted proximally by the ___ muscle.
Inmature mature triceps
94
Regarding incomplete ossification of the humeral condyle. Ossification centres of the capitulum and trochlea, which should normally fuse at ___ months of age.
2-3 months
95
96
Incomplete ossification imaging description
l radiolucent line up to 1 mm wide, extending proximally from the trochlear articular sur face to the physeal scar or supratrochlear foramen (50% cases)
97
fractures of which humeral condyle are more common? a) lateral b) medial
A
98
what is a monteggia fracture? a) proximal radial fracture (articular or non- articular) with luxation of the humeroradial and humeroulnar joint b) proximal ulnar fracture (articular or non-articular) accompanied by cranial luxation of the proximal radius and distal ulnar fragment c) This is a proximal radial fracture (articular or non-articular) accompanied by cranial luxation of the proximal radius d) intra- articular fracture of the radial head.
B
99
where is the most common site for olecranon fractures in mature dogs? a) involving the semilunar notch b) through the physis or physeal scar c) involving the bilunar notch d) the anconeal process
A
100
ununited medial epicondyle is seen in which breeds? a) golden retriever b) rottweiler c) briard d) labrador retriever
D
101
the ossification centre of the medial epicondyle should be visible when in dogs? a) 4-6w b) 6-8w c) 8-10w d) 10-12w
b. Same in cats
102
closure of the medial epicondyle growth plate occurs when in dogs? a) 8-10w b) 6-8 months c) 18-24months d) 12 months
B
103
both the radius and ulna usually luxate... in primary luxation a) laterally b) medially
A
104
the most common site of OC in the elbow is? a) capitulum b) trochlea of the humerus c) proximal ulna d) proximal radius
B- medial aspect of the humeral condyle
105
the ossification centre between the capitulum and trochlea should fuse by... a) 60d b) 70d c) 60-90 d d)100d
C but can be more with standard deviation
106
what is distractio cubiti/ dysostosis enchondralis?
This condition results from non-traumatic asynchronous growth of the radius and ulna in chondrodystrophic breeds, leading to elbow incongruity. Lameness may start from 3–4 months of age or only at skeletal maturity. The end result is distal subluxation of the trochlear notch relative to the humeral condyles and radial head. It is common in Basset Hounds (similar to premature closure of the ulnar physis)
107
what is this?
patella cubiti. This is a poorly described anomaly in dogs and humans in which a unilateral or bilateral patella-shaped structure is seen proximal or medial to the olecranon. The typical shape may only be seen on one of several elbow views (Figure 13.54). Older literature wrongly described UAP and the sesamoid in the supinator longus muscle as patella cubiti. Various aetiologies have been proposed, which include the presence of a sesamoid bone in the triceps insertion ligaments, congenital non-fusion of the olecranon to the ulna (possibly resulting in pseudoarthrosis) and traumatic atypical olecranon avulsion.