Ch 7 Bones - General Flashcards

(35 cards)

1
Q

Name the zones:

A

Resting
Proliferative
Maturation
Hypertrophy
Calcification
Vascular

How well did you know this?
1
Not at all
2
3
4
5
Perfectly
2
Q

What is the normal direction of the nutrient foramens, and which bone is the exception?

A

A clearly defined channel may be seen running at an angle through the cortex, usually from the periosteal surface proximally to the endosteal surface distally (although this direction is reversed in the ulna).

How well did you know this?
1
Not at all
2
3
4
5
Perfectly
3
Q

The cortex is made of ________ bone.

A

compact

How well did you know this?
1
Not at all
2
3
4
5
Perfectly
4
Q

The metaphysis / epiphysis is made of ________ bone.

A

cancellous

How well did you know this?
1
Not at all
2
3
4
5
Perfectly
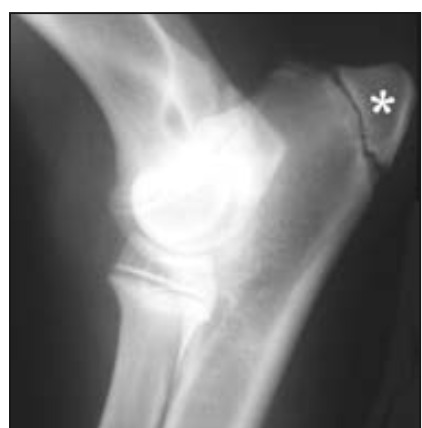
5
Q

What is the term for the secondary centre of ossification (starred)?

A

Apophysis; additional non-articular cartilaginous protuberances that ossify and form sites of attachment for tendons and ligaments.

How well did you know this?
1
Not at all
2
3
4
5
Perfectly
6
Q

In the immature long bone, the physis is essentially vascular / avascular.

A

Avascular.

How well did you know this?
1
Not at all
2
3
4
5
Perfectly
7
Q

Where does the blood supply originate for the epiphysis?

A

Joint capsule

How well did you know this?
1
Not at all
2
3
4
5
Perfectly
8
Q

Where does the blood supply originate for the metaphysis?

A

nutrient foramen

How well did you know this?
1
Not at all
2
3
4
5
Perfectly
9
Q

Which portion of the long bone is hypervascular, making it the preferred location for e.g. hematogenous osteomyelitis?

A

metaphysis

How well did you know this?
1
Not at all
2
3
4
5
Perfectly
10
Q

What is the cutback zone?

A

Irregular bone appearance in the metaphyses of growing bones due to modelling by active subperiosteal osteoclastic activity

How well did you know this?
1
Not at all
2
3
4
5
Perfectly
11
Q

Which condition is bone infarction associated in dogs, and which in cats?

A

canine osteosarcoma (or other primary bone malignancy)
feline leukemia

How well did you know this?
1
Not at all
2
3
4
5
Perfectly
12
Q

Name the types of periosteal reactions

A
How well did you know this?
1
Not at all
2
3
4
5
Perfectly
13
Q

What are the names of these 2 types of lytic changes and which is more aggressive?

A

Permeative is more aggressive than moth-eaten.

How well did you know this?
1
Not at all
2
3
4
5
Perfectly
14
Q

Which type of lysis is affecting the distal 4th metatarsal bone?

A

Geographic; note the cortical thinning and expansion.

How well did you know this?
1
Not at all
2
3
4
5
Perfectly
15
Q

What are 3 typical causes of a solid periosteal reaction?

A

Fracture callous
chronic osteomyelitis
panosteitis

How well did you know this?
1
Not at all
2
3
4
5
Perfectly
16
Q

Which is more aggressive - thin brush (spiculated) or thick brush (palisading) periosteal reaction?

A

Thin brush; The periosteum is lifted with osteoblastic activity along Sharpey’s fibers. If it is less aggressive and slower growing, the spicules are thicker. The thinner the reaction, the more aggressive the process because there is less time for new bone production.

17
Q

What is the most likely origin of a sunburst periosteal reaction? what about amorphous bone production?

A

osteosarcoma
also osteosarcoma

18
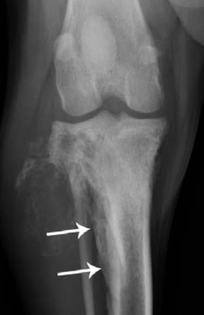
Q
A

Proximal tibial
osteosarcoma with amorphous bone
formation seen lateral to the proximal fibula. A solid periosteal reaction (Codman’s triangle, arrowed) is present on the lateral cortex of the proximal tibial diaphysis.

19
Q
A

Osteosarcoma of the frontal bone with a sunburst periosteal reaction.

20
Q
A

Thin brush-like
periosteal reaction of the abaxial
surface of metatarsals II andVinacaseof hypertrophic osteopathy.

21
Q
A

Thick brush-like
periosteal reaction on the abaxial
surface of metacarpal V in a dog with hypertrophic osteopathy.

22
Q
A

Focal soft tissue swelling and lamellar periosteal reaction cranially on the radius. Radiograph deliberately underexposed.

23
Q

What are the terms for these 2 types of changes?

24
Q

What kind of pathology results in endosteal scalloping?

A

intramedullary neoplasia

25
What kind of pathology results in subperiosteal scalloping?
hematogenous osteomyelitis
26
1) Cancellous/ trabecular bone is found in the… a) Diaphysis and metaphysis b) Cortex c) Metaphysis and epiphysis d) Physis and diaphysis
C
27
2) Periosteum is NOT found where? a) Epiphysis b) Metaphysis c) Diaphysis d) A and B
A
28
3) The flat bones of the skull are formed by which process? a) Endochondral ossification b) Intramembranous ossification c) Callus formation then intramembranous ossification d) None of the above
B
29
4) Cells responsible for the formation of osteoid are… a) Osteocytes b) Osteoclasts c) Osteoblasts d) Osteosomes
C
30
5) During bone growth, the hypertrophy zone is… a) Closest to the epiphysis b) Closest to the diaphysis
B
31
6) Which is false? a) The neural arch is a flat bone b) The vertebral body is considered a long bone c) The metaphysis of the vertebral body has a nutrient foramen through which blood supply is obtained d) The metaphysis of the neural arch has a nutrient foramen through which blood supply is obtained
D
32
7) Thickening of the cortical bone and growth at the epiphyses occurs by… a) Endochondral ossification b) Intramembranous ossification
B
33
8) Which of these is considered most aggressive? a) Lamellated periosteal reaction b) Lamellar periosteal reaction c) Solid periosteal reaction d) Amorphous periosteal reaction
D
34
9) Which of these is generally more aggressive? a) Thin brush like periosteal reaction/ spiculated b) Thick brush like periosteal reaction/ palisading
A periosteal reaction occurring along the Sharpey fibers.
35
10) Which sign is more likely with osteomyelitis compared to neoplasia? a) Endosteal scalloping b) Periosteal scalloping c) Geographic lysis d) Solid periosteal reaction
10) B. endosteal changes more common with intramedullary neoplasms.