Chapter 12 - Brain Flashcards

(10 cards)

1
Q

Which disease can cause bilaterally symmetrical T1 hyperintensity in the basal ganglia (specifically the lentiform nuclei)?

a) renal insufficiency
b) hepatic insufficiency
c) hypernatraemia
d)hypoadrenocorticism

A

b) hepatic insufficiency

due to buildup of manganese which is paramagnetic

How well did you know this?
1
Not at all
2
3
4
5
Perfectly
2
Q

Which feline disease can cause ependymitis resulting in marked contrast enhancement of the lining of the ventricular system?

a) Feline ischemic encephalopathy
b) Cryptococcus neformans infection
c) Toxoplasma gondii infection
d) Feline infectious peritonitis

A

d) FIP (intracranial)

How well did you know this?
1
Not at all
2
3
4
5
Perfectly
3
Q

Which disease can cause bilaterally symmetrical T2 hyperintensity in the white matter tracks adjacent to the thalamus?

a) renal insufficiency
b) hepatic insufficiency
c) hypernatraemia
d)hypoadrenocorticism

A

c) hypernatraemia

wine glass sign

How well did you know this?
1
Not at all
2
3
4
5
Perfectly
4
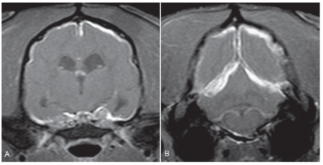
Q

How would you describe this enhancement and what disease could it be?

A

Marked enhancement of the pachymeninges/dura but not of the sulci

Pachymeningitis (such as idiopathic hypertrophic)

How well did you know this?
1
Not at all
2
3
4
5
Perfectly
5
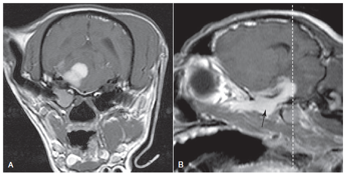
Q

Which cranial nerve is most often affected by malignant nerve sheath tumour and what common changes will you have?

A

Trigeminal nerve

Signs of unilateral trigeminal nerve dysfunction:
- unilateral temporalis, masseter, pterygoid and rostral aspect of digastricus muscle atrophy

Tumours are usuall T2 iso or hyperintense and strongely enhance

How well did you know this?
1
Not at all
2
3
4
5
Perfectly
6
Q

What is the most common metastatic lesion found in the brain?

a) haemangiosarcoma
b) lymphoma
c) histiocytic sarcoma
d) carcinoma

A

a) haemangiosarcoma

How well did you know this?
1
Not at all
2
3
4
5
Perfectly
6
Q

Occlusive infarcts most commonly occur in which region of the brain?

a) forebrain
b) brainstem
c) cerebellum

A

c) cerebellum

can occur in other parts of brain

How well did you know this?
1
Not at all
2
3
4
5
Perfectly
7
Q

A suspected intra-cranial haematoma that is T1 and T2 hyperintense is most likely how old?

a) <24 hours
b) 1-3 days
c) 3-7 days
d) 7-14 days

A

d) 7-14 days

How well did you know this?
1
Not at all
2
3
4
5
Perfectly
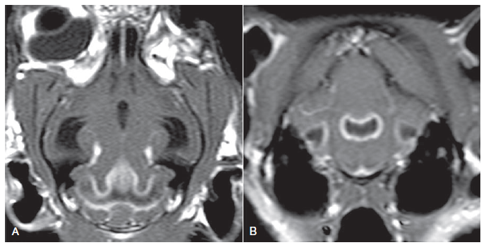
8
Q

Name the areas marked with an asterisk and hash

A
  • = suprapineal recess
    # = quadrigeminal cistern
How well did you know this?
1
Not at all
2
3
4
5
Perfectly
9
Q

Agenesis of the septum pellicudum is considered intact in …..% of dogs?

a) 25%
b) 45%
c) 65%
d) 85%

A

a) 25%

How well did you know this?
1
Not at all
2
3
4
5
Perfectly