Chapter 16 - appendicular skeleton Flashcards

(15 cards)

1
Q

Mediolateral radiograph of canine shoulder joint

What number?
- Head of humerus
- Greater tubercle of humerus
- Proximal physis of humerus
- Supraglenoid tubercle of scapula
- Infraglenoid tubercle of scapula
- Glenoid cavity of scapula
- Acromion of scapula
- Spine of scapula

A
  1. Spine of scapula
  2. Acromion of scapula
  3. Infraglenoid tubercle of scapula
  4. Head of humerus
  5. Glenoid cavity of scapula
  6. Proximal physis of humerus
  7. Greater tubercle of humerus
  8. Supraglenoid tubercle of scapula
How well did you know this?
1
Not at all
2
3
4
5
Perfectly
2
Q

Caudocranial radiograph of canine shoulder joint

What number?
- Clavicle
- Greater tubercle of humerus
- Lesser tubercle of humerus
- Humeral (scapulohumeral joint)
- Acromion of scapula
- Spine of scapula

A
  1. Spine of scapula
  2. Acromion of scapula
  3. Greater tubercle of humerus
  4. Humeral (scapulohumeral joint)
  5. Lesser tubercle of humerus
  6. Clavicle
How well did you know this?
1
Not at all
2
3
4
5
Perfectly
3
Q

Mediolateral radiograph of canine humerus

What number?
- Greater tubercle of humerus
- Proximal physis of humerus
- Head of humerus
- Condyle of humerus
- Lateral epicondyle of humerus
- Medial epicondyle of humerus
- Anconeal process of ulna
- Lateral coronoid process of ulna
- Medial coronoid process of ulna
- Tuber olecrani
- Head of radius
- Proximal radioulnar joint
- Infraglenoid tubercle of scapula
- Supraglenoid tubercle of scapula

A
  1. Infraglenoid tubercle of scapula
  2. Head of humerus
  3. Anconeal process of ulna
  4. Lateral epicondyle of humerus
  5. Tuber olecrani
  6. Medial epicondyle of humerus
  7. Lateral coronoid process of ulna
  8. Proximal radioulnar joint
  9. Medial coronoid process of ulna
  10. Head of radius
  11. Condyle of humerus
  12. Proximal physis of humerus
  13. Greater tubercle of humerus
  14. Supraglenoid tubercle of scapula
How well did you know this?
1
Not at all
2
3
4
5
Perfectly
4
Q

Caudocranial radiograph of canine humerus

What number?
- Clavicle
- Trochlea of humeral condyle
- Capitulum of humeral condyle
- Medial epicondyle of humerus
- Lateral epicondyle of humerus
- Greater tubercle of humerus
- Lesser tubercle of humerus
- Deltoid tuberosity
- Supratrochlear foramen of humerus
- Medial coronoid process of ulna
- Acromion of scapula

A
  1. Acromion of scapula
  2. Greater tubercle of humerus
  3. Deltoid tuberosity
  4. Supratrochlear foramen of humerus
  5. Lateral epicondyle of humerus
  6. Capitulum of humeral condyle
  7. Medial coronoid process of ulna
  8. Trochlea of humeral condyle
  9. Medial epicondyle of humerus
  10. Clavicle
  11. Lesser tubercle of humerus
How well did you know this?
1
Not at all
2
3
4
5
Perfectly
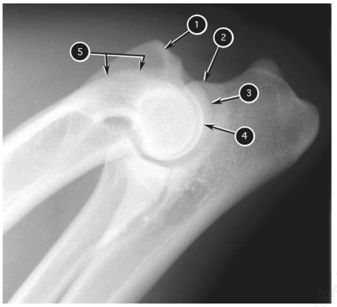
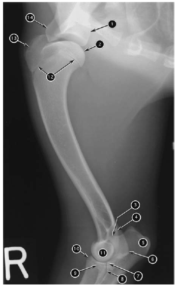
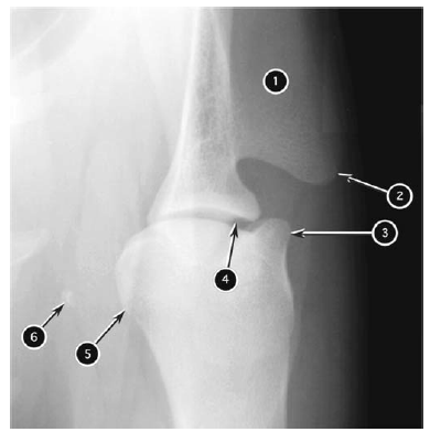
5
Q

Mediolateral radiograph of canine elbow joint

What number?
- Cranial border of medial epicondyle of humerus
- Cranial border of lateral epicondyle of humerus
- Caudal border of medial epicondyle of humerus
- Caudal border of lateral epicondyle of humerus
- Condyle of humerus
- Anconeal process of ulna
- Tuber olecrani of ulna
- Medial coronoid process of ulna
- Lateral coronoid process of ulna
- Proximal radioulnar joint
- Head of radius

A
  1. Anconeal process of ulna
  2. Tuber olecrani of ulna
  3. Caudal border of lateral epicondyle of humerus
  4. Caudal border of medial epicondyle of humerus
  5. Lateral coronoid process of ulna
  6. Proximal radioulnar joint
  7. Medial coronoid process of ulna
  8. Head of radius
  9. Condyle of humerus
  10. Cranial border of medial epicondyle of humerus
  11. Cranial border of lateral epicondyle of humerus
How well did you know this?
1
Not at all
2
3
4
5
Perfectly
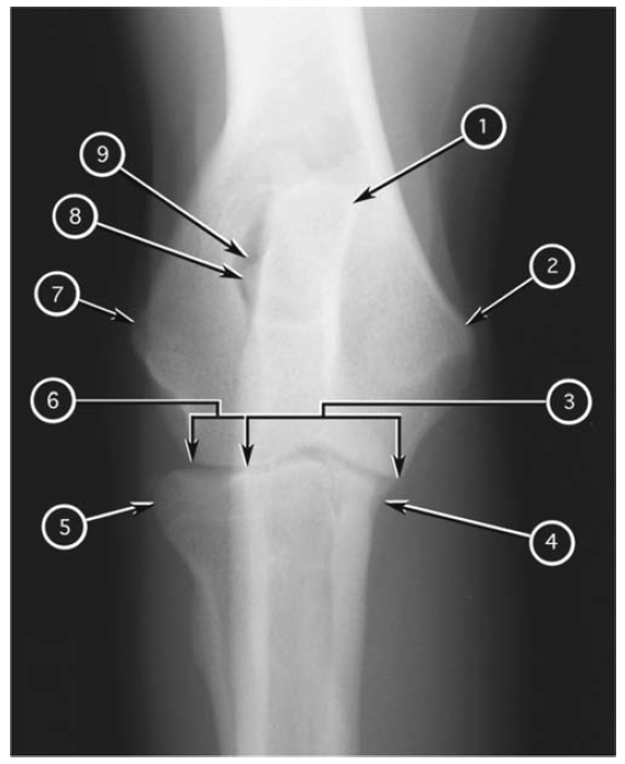
6
Q

Craniocaudal radiograph of canine elbow joint

What number?
- Supratrochlear foramen of humerus
- Medial epicondyle of humerus
- Lateral epicondyle of humerus
- Trochlea of humeral condyle
- Capitulum of humeral condyle
- Anconeal process of ulna
- Tuber olecrani of ulna
- Medial coronoid process of ulna
- Head of radius

A
  1. Tuber olecrani of ulna
  2. Medial epicondyle of humerus
  3. Trochlea of humeral condyle
  4. Medial coronoid process of ulna
  5. Head of radius
  6. Capitulum of humeral condyle
  7. Lateral epicondyle of humerus
  8. Anconeal process of ulna
  9. Supratrochlear foramen of humerus
How well did you know this?
1
Not at all
2
3
4
5
Perfectly
7
Q

Flexed mediolateral radiograph of canine elbow joint

What number?
- Anconeal proces of ulna
- Medial part of humeral condyle
- Lateral part of humeral condyle
- Medial epicondyle of humerus
- Caudal border of lateral epicondyle of humerus

A
  1. Medial epicondyle of humerus
  2. Anconeal proces of ulna
  3. Medial part of humeral condyle
  4. Lateral part of humeral condyle
  5. Caudal border of lateral epicondyle of humerus
How well did you know this?
1
Not at all
2
3
4
5
Perfectly
8
Q

Craniolateral-caudomedial oblique (A) and craniomedial-caudolateral oblique (B) radiographs of canine elbow joint

What number?
- Supratrochlear foramen of humerus (one on each radiograph)
- Anconeal process of ulna (one on each radiograph)
- Tuber olecrani (one on each radiograph)
- Medial epicondyle of humerus (one on each radiograph)
- Lateral epicondyle of humerus
- Trochlear notch of ulna
- Medial coronoid process of ulna
- Head of radius
- Sesamoid bone of supinator muscle (inconstant)

A
  1. and 13. Supratrochlear foramen of humerus
  2. and 12. Anconeal process of ulna
  3. and 8. Medial epicondyle of humerus
  4. Trochlear notch of ulna
  5. Medial coronoid process of ulna
  6. and 7. Tuber olecrani
  7. Head of radius
  8. Sesamoid bone of supinator muscle (inconstant)
  9. Lateral epicondyle of humerus
How well did you know this?
1
Not at all
2
3
4
5
Perfectly
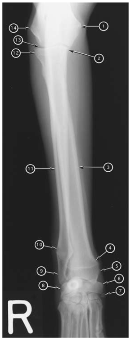
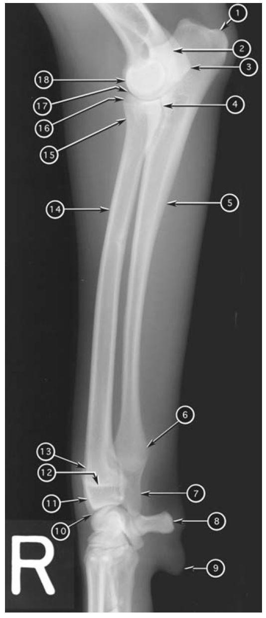
9
Q

Mediolateral radiograph of canine antebrachium

What number?
- Condyle of humerus
- Lateral epicondyle of humerus
- Medial epicondyle of humerus
- Elbow (cubital) joint
- Tuber olecrani of ulna
- Body of ulna
- Distal metaphysis of ulna
- Distal epiphysis of ulna
- Proximal radioulnar joint
- Head of radius
- Body of radius
- Neck of radius
- Distal metaphysis of radius
- Distal physis of radius
- Distal epiphysis of radius
- Antebrachiocarpal joint
- Accessory carpal bone
- Carpal pad

A
  1. Tuber olecrani of ulna
  2. Lateral epicondyle of humerus
  3. Medial epicondyle of humerus
  4. Proximal radioulnar joint
  5. Body of ulna
  6. Distal metaphysis of ulna
  7. Distal epiphysis of ulna
  8. Accessory carpal bone
  9. Carpal pad
  10. Antebrachiocarpal joint
  11. Distal epiphysis of radius
  12. Distal physis of radius
  13. Distal metaphysis of radius
  14. Body of radius
  15. Neck of radius
  16. Head of radius
  17. Elbow (cubital) joint
  18. Condyle of humerus
How well did you know this?
1
Not at all
2
3
4
5
Perfectly
10
Q

Craniocaudal radiograph of canine antebrachium

What number?
- Medial epicondyle of humerus
- Lateral epicondyle of humerus
- Head of radius
- Body of radius
- Distal metaphysis of radius
- Distal epiphysis of radius
- Body of ulna
- Distal metaphysis of ulna
- Distal epiphysis of ulna (styloid process)
- Medial coronoid process of ulna
- Ulnar carpal bone
- Intermedioradial carpal bone
- Elbow (cubital) joint
- Sesamoid bone of abductor pollicis longus

A
  1. Medial epicondyle of humerus
  2. Medial coronoid process of ulna
  3. Body of radius
  4. Distal metaphysis of radius
  5. Distal epiphysis of radius
  6. Intermedioradial carpal bone
  7. Sesamoid bone of abductor pollicis longus
  8. Ulnar carpal bone
  9. Distal epiphysis of ulna (styloid process)
  10. Distal metaphysis of ulna
  11. Body of ulna
  12. Head of radius
  13. Elbow (cubital) joint
  14. Lateral epicondyle of humerus
How well did you know this?
1
Not at all
2
3
4
5
Perfectly
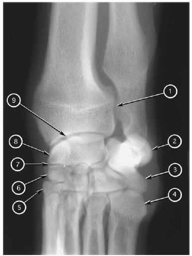
11
Q

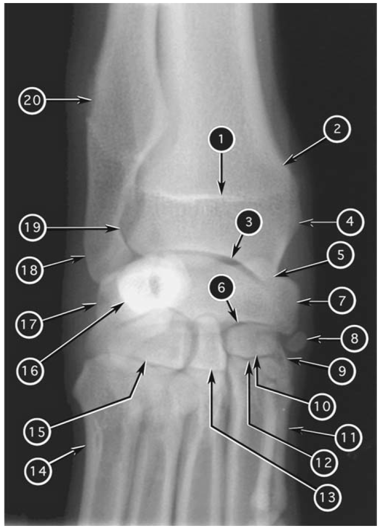
Dorsopalmar radiograph of canine carpus

What number?
- Distal metaphysis of ulna
- Distal epiphysis (styloid process) of ulna
- Ulnar carpal bone
- Distal radioulnar joint
- Distal metaphysis of radius
- Distal physis of radius
- Distal epiphysis of radius
- Styloid process (medial) of radius
- Intermedioradial carpal bone
- Sesamoid bone of abductor pollicis longus
- Antebrachiocarpal joint
- Middle carpal joint
- Carpometacarpal joint
- Accessory carpal bone
- First carpal bone
- Second carpal bone
- Third carpal bone
- Fourth carpal bone
- First metacarpal bone
- Fifth metacarpal bone

A
  1. Distal physis of radius
  2. Distal metaphysis of radius
  3. Antebrachiocarpal joint
  4. Distal epiphysis of radius
  5. Styloid process (medial) of radius
  6. Middle carpal joint
  7. Intermedioradial carpal bone
  8. Sesamoid bone of abductor pollicis longus
  9. First carpal bone
  10. Second carpal bone
  11. First metacarpal bone
  12. Carpometacarpal joint
  13. Third carpal bone
  14. Fifth metacarpal bone
  15. Fourth carpal bone
  16. Accessory carpal bone
  17. Ulnar carpal bone
  18. Distal epiphysis (styloid process) of ulna
  19. Distal radioulnar joint
  20. Distal metaphysis of ulna
How well did you know this?
1
Not at all
2
3
4
5
Perfectly
12
Q

Mediolateral radiograph of canine carpus

What number?
- Accessory carpal bone
- Carpal pad
- Ulnar carpal bone
- Distal epiphysis (styloid process) of ulna
- Distal epiphysis of radius
- Antebrachialcarpal joint
- Middle carpal joint
- Carpometacarpal joint
- Proximal phalanx of first digit
- Proximal sesamoid bone of first digit

A
  1. Distal epiphysis (styloid process) of ulna
  2. Accessory carpal bone
  3. Ulnar carpal bone
  4. Carpal pad
  5. Proximal sesamoid bone of first digit
  6. Proximal phalanx of first digit
  7. Carpometacarpal joint
  8. Middle carpal joint
  9. Antebrachialcarpal joint
  10. Distal epiphysis of radius
How well did you know this?
1
Not at all
2
3
4
5
Perfectly
13
Q

Dorsolateral-palmaromedial oblique radiograph of canine manus

What number?
- First carpal bone
- Second carpal bone
- Ulnar carpal bone
- Accessory carpal bone
- Intermedioradial carpal bone
- Antebrachiocarpal joint
- Middle carpal joint
- Distal radioulnar joint
- Base of metacarpal bone 5

A
  1. Distal radioulnar joint
  2. Accessory carpal bone
  3. Ulnar carpal bone
  4. Base of metacarpal bone 5
  5. First carpal bone
  6. Second carpal bone
  7. Middle carpal joint
  8. Intermedioradial carpal bone
  9. Antebrachiocarpal joint
How well did you know this?
1
Not at all
2
3
4
5
Perfectly
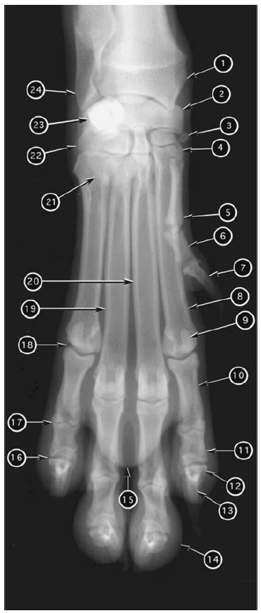
14
Q

Dorsopalmar radiograph of canine manus

What number?
- Accessory carpal bone
- Carpal pad
- Ulnar carpal bone
- Intermedioradial carpal bone
- Sesamoid bone of abductor pollicis longus
- First carpal bone
- Distal epiphysis (styloid process) of ulna
- Distal epiphysis of radius
- Metacarpal pad
- Metacarpal bone 1
- Second metacarpal bone
- Third metacarpal bone
- Fourth metacarpal bone
- Proximal phalanx of digit 1
- Distal phalanx of digit 1
- Proximal phalanx of digit 2
- Middle phalanx of digit 2
- Unguicular (ungual) process of distal phalanx of digit 2
- Unguicular (ungual) crest of distal phalanx of digit 2
- Abaxial proximal sesamoid bone of digit 2
- Digital pad of digit 3
- Proximal interphalangeal joint of digit 5
- Distal interphalangeal joint of digit 5
- Metacarpophalyngeal joint of digit 5

A
  1. Distal epiphysis of radius
  2. Intermedioradial carpal bone
  3. Sesamoid bone of abductor pollicis longus
  4. First carpal bone
  5. Metacarpal bone 1
  6. Proximal phalanx of digit 1
  7. Distal phalanx of digit 1
  8. Second metacarpal bone
  9. Abaxial proximal sesamoid bone of digit 2
  10. Proximal phalanx of digit 2
  11. Middle phalanx of digit 2
  12. Unguicular (ungual) crest of distal phalanx of digit 2
  13. Unguicular (ungual) process of distal phalanx of digit 2
  14. Digital pad of digit 3
  15. Metacarpal pad
  16. Distal interphalangeal joint of digit 5
  17. Proximal interphalangeal joint of digit 5
  18. Metacarpophalyngeal joint of digit 5
  19. Fourth metacarpal bone
  20. Third metacarpal bone
  21. Carpal pad
  22. Ulnar carpal bone
  23. Accessory carpal bone
  24. Distal epiphysis (styloid process) of ulna
How well did you know this?
1
Not at all
2
3
4
5
Perfectly
15
Q
A
How well did you know this?
1
Not at all
2
3
4
5
Perfectly