CIR. APENDICITIS Flashcards

(37 cards)

1
Q

Cual la definicion de APENDICITIS?

A

Es el proceso inflamatorio del apéndice cecal.

How well did you know this?
1
Not at all
2
3
4
5
Perfectly
2
Q

CUAL LA PREVALENCIA EN APENDICITIS?

A

Prevalencia: 10 a 30 años, hombres.

How well did you know this?
1
Not at all
2
3
4
5
Perfectly
3
Q

Cuales son las medidas del Apéndice cecal?

A

Mide 6 a 9 cm y diámetro de 5 mm;

How well did you know this?
1
Not at all
2
3
4
5
Perfectly
4
Q

Cual la ubicacion del Apéndice cecal?

A

Localización: 2 a 3 cm inferiormente del orifício
ileocecal;

How well did you know this?
1
Not at all
2
3
4
5
Perfectly
5
Q

Cuales son las posibles posiciones del Apéndice cecal?

A

Subsecal, retrocecal, preileal, retroileal y pélvica

How well did you know this?
1
Not at all
2
3
4
5
Perfectly
6
Q

Cual la posicion mas comun del Apéndice cecal?

A

Retrocecal.

How well did you know this?
1
Not at all
2
3
4
5
Perfectly
7
Q

Como es la irrigacion del Apéndice cecal?

A

Irrigación: Arteria apendicular, R. A. ileocolica, R. A. mesentérica superior.

How well did you know this?
1
Not at all
2
3
4
5
Perfectly
8
Q

Cuales son las capas del Apéndice cecal?

A
  • Mucosa.
  • Submucosa.
  • Serosa.
  • Muscular.
How well did you know this?
1
Not at all
2
3
4
5
Perfectly
9
Q

Cual la función del Apéndice cecal?

A

Órgano inmunitario que secreta IgA, defensa contra microorganismos.

Ademas, produccion de moco para absorcion de heces y deposito de bacterias beneficas.

How well did you know this?
1
Not at all
2
3
4
5
Perfectly
10
Q

Cuales son las causas de APENDICITIS?

A

*Obstrucción de la luz por Fecalitos.

*Parásitos.

*Semillas de frutas y verduras

How well did you know this?
1
Not at all
2
3
4
5
Perfectly
11
Q

Cual es el Patognomónico del APENDICITIS?

A
  • Fecalitos.
How well did you know this?
1
Not at all
2
3
4
5
Perfectly
12
Q

Cuales son las fases de APENDICITIS?

A

Catarral: 4 a 6h;
o Edematosa.

Supurativa 6 a 12h,
o Inflamatoria.

Gangrenosa 12 a 24h;
o Necrozada.

Perforada » 24h.

How well did you know this?
1
Not at all
2
3
4
5
Perfectly
13
Q

Cual la clinica de APENDICITIS?

A

Anorexia;

Dolor migratorio del epigastrio, al mesogastrio, y se instala en FID.

Fiebre, náuseas y vómitos.

How well did you know this?
1
Not at all
2
3
4
5
Perfectly
14
Q

Cual la CronoIogia de Murphy?

A
  • CronoIogia de Murphy (dolor migratorio del epigastrio, al mesogastrio, y se instala en FID.
How well did you know this?
1
Not at all
2
3
4
5
Perfectly
15
Q

Cual la triada de Murphy?

A
  • Dolor migratorio en FID
  • Fiebre
  • Náuseas y vómitos
How well did you know this?
1
Not at all
2
3
4
5
Perfectly
16
Q

Cual la triada de Dieulafoy?

A
  • Hiperestesia cutánea en FID
  • Defensa muscular en FID
  • Dolor provocado en FID
17
Q

Cual la diferencia de dolor irradiado y migratorio?

A
  • Duele todo camino.
  • Duele en puntos seguidos hasta si instalar.
18
Q

Cuales son los estudios complementarios de apendicitis?

A
  • Laboratorios.
  • Rx.
  • Ecografia.
19
Q

Que espera encontrar en estudios de laboratorios en apendicitis?

A

Laboratorios: leucocitosis con desviación a la izquierda.

20
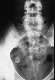
Q

Que espera encontrar en estudios de imagen RX en apendicitis?

A

Rx: asa de centinela, borramiento del musculo psoas; niveles hidroaéreos.

21
Q

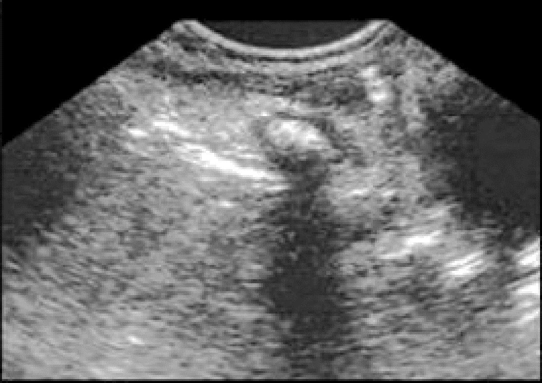
Que espera encontrar en estudios de imagen Ecografia en apendicitis?

A

Ecografia: fecalito, aumento de tamaño, pared engrossada, doble pared y liquido.

22
Q

Para que sirve la ESCALA DE ALVARADO?

A

Diagnostico de Apendicitis.

23
Q

CUAL ES LA ESCALA DE ALVARADO?

A

Sintomas.
Signos.
Valores de Laboratorio.

24
Q

CUAL LA INTERPRETACION DE LA ESCALA DE ALVARADO?

A

De 0 a 4 (-);
5 a 6 posible;
7 a 8 probable;
9 a 10 (+) Indicacion QX

OJO: Para algunos desde 7 es Indicacion QX.

25
Cuales signos de apendicitis? ABCD OPeracion LHSR
*Aron: dolor en epigastrio al comprimir FID; *Blumberg positivo; *Chutro: desviación del ombligo hacia la derecha; *Dunphy: dolor em FID a la tos; *Obturador: decúbito dorsal, flexiona pierna, rotación interna, dolor en FID *Psoas: decúbito lateral, extensión y abducción pierna, dolor en lumbar derecha *San martino: tacto rectal, dolor FID *Lennander: diferencia de temperatura rectal y axilar en 1°C *Horn: leve tracción del testiculo derecho, dolor en FID *Rosving: dolor en FID al comprimir FII
26
Cual la características apendicitis en Niños?
*Niños: dolor abdominal y diarrea.
27
Cual la características apendicitis en Ancianos?
*Ancianos: no presenta defensa muscular ni fiebre, progresa rápido a peritonitis. OJO. Ecografia.
28
Cual la características apendicitis en Embarazada?
*Embarazada: Blumberg (-), apéndice cerca del ombligo, peritonitis generalizada. OJO. Ecografia. Qx: Video-Laparoscopica (todos) *>28 sem QX: convencional segun alguns DR.
29
Cuales son los diagnostico diferencial en Apendicitis?
Mujer: embarazo ectópico roto, salpingitis, quiste torcido de ovario, enfermedad pélvica inflamatoria: flujo purulento. General: ITU, Gastroenteritis, colecistitis aguda, pancreatitis aguda, diverticulitis.
30
Cuales son los signos de apendicitis con posicion retrocecal?
*Obturador: decúbito dorsal, flexiona pierna, rotación interna, dolor en FID *Psoas: decúbito lateral, extensión y abducción pierna, dolor en lumbar derecha *San martino: tacto rectal, dolor FID
31
Cual la conducta de apendicitis?
- Internación - NPO - RL, SF 0.9%, dextrosa 5% - Profilaxis antibiótica (cefazolina), analgesia (ketorolaco), protetor gastrico (omeprazol) - Laboratorios - Apendicectomía
32
Cuales son las complicaciones de apendicitis?
* Perforación. * Peritonitis local. * Peritonitis general. * Pileflebitis: es el paso del proceso infeccioso a la vena porta. * Plastron. OJO: Absceso apendicular más común.
33
Cuales musculos que diseca en apendicectomía?
- Oblicuos externo y interno, - Rectos y Transverso del abdomen. - Piramidal.
34
Cual es triangulo apendicular?
*Mc burney *Morris *Lanz
35
Para que sirve el triangulo apendicular?
DELIMITA LA UBICACION MAS FRECUENTE DEL APENDICE CECAL INFLAMADO.
36
Donde si localiza trocánter en videolaparoscópica APENDICECTOMIA?
Ombligo. Suprapubico. Flanco IZQ
37
Cuales son los tiempos de apendicectomía?
- Ligadura y sección de mesoapendice - Jareta seromuscular. - tripsia y coprostasis - ligadura y seccion de la base apendicular, antisepcia del muñon - invaginacion y cierre de jareta seromuscular - mesoplastia con los hilos de la jareta tipica sigue 6 pasos atipica no sigue los 6 pasos