Coagulation Factors
Plasma proteins produced by the liver
The Circulatory System consists of
blood, a central pump, blood distribution and collection networks, and a system for exchange of nutrient and waste products between blood and extravascular tissue.
Nitric Oxide when released from vascular endothelium has what effect
Relaxation and vasodilation
Water distribution between plasma and interstitium is primarily determined by
Hydrostatic and Osmotic pressure differences between the two compartments
Ground substance of ECM consists of
Glycoproteins (Fibronectin and Laminin), Glycosaminoglycans, Proteoglycans, etc
Possible outcomes to thrombi
Lysis
Propagation
Embolization
Organization/ recanalization
Describe the process of hematoma resolution
Hemoglobin (red/blue) enzymatically converted to bilirubin (blue/green) and eventually into hemosiderin (gold/brown)
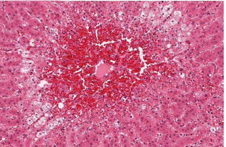
Condition

Subacute Hepatic Congestion
______________________
“Nutmeg Liver”
Types of shock
Cardiogenic Shock
Hypovolemic Shock
Blood Maldistribution
Embolus
Any detacehed intravascular mass which is carried by the blood to a site distal to the point of origin
Pathomechanisms of Edema
Clinical significance of edema
Tissue may become firm and distorted due to an increase in fibrous connective tissue after prolonged edema
Epistaxis
Bleeding from the nose
Plasma accounts for ______% of total water weight
5%
Thrombosis
Formation or presence of a solid mass within the cardiovascular system
Non inflammatory pulmonary edema can be the result of
Left Sided Congestive Heart Failure (CHF)
Clinical significance of hemorrhage is determined by
location and severity
Describe the histologic appearance of edema
Describe what happens during the vasoconstriction step of normal hemostasis
Example of what circulatory distrubance

Edema
Condition

Ascites or Hydroperitoneum
Suffusive Hemorrhage
Larger than ecchymosis and contiguous.
Intracellular Fluid accounts for _________% of total water weight
40%
Hydrothorax
Fluid in the thoracic cavity