Intertrigo
Skin Fold Pyoderma
Plaques
Coalesced papules

Pustule
MDx

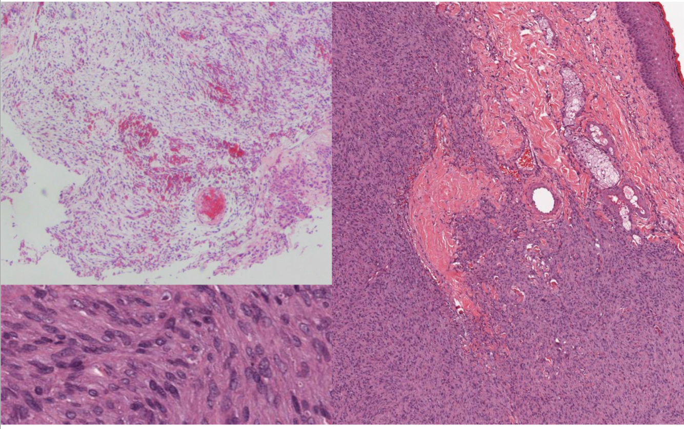
Grade II soft tissue sarcoma
Pathogenesis of sarcoptic mange
Portals for bacterial infection of skin
Pores - Follicular Openings
Hematogenous Spread
Direct entry through damaged skin
Histological appearance of callus
Epidermal hyperplasia
Subcorneal Vesicle
Stratum corneum forms the roof of the vesicle
Pyoderma
Clinical term encompassing several diseases
“Pus in the skin”
Usually bacterial infection involved
Disease and Cause

Impetigo - Superficial Pyoderma
Bacterial infection secondary to immunosuppression/debilitation
Purpura hemorrhagica
Red or purple macules or patches (hemorrhage or infarct) in the skin or mucous membranes
Disease

Arabian Fading Syndrome
Vesicle / Bulla
Palpable elevation filled with clear fluid
Vesicle - < 1cm
Bulla - > 1cm
Mdx

Cutaneous Infarcts
Disease and Cause

Purpura hemorrhagica
Streptococcus equi
Wheal
Elevated, irregular shaped area of cutaneous edema, solid, transient
Disease

Histiocytoma
Idiopathic Sterile Granuloma and Pyogranuloma Syndrome
Rare
Cause unknown
Diagnosis of exclusion
Mdx

Papular dermatitis
Pathogenesis of purpura hemorrhagica
Type III hypersensitivity immune mediated vasculitis
Albinism
Melanocytes present but defect to synthesize melanin; color dilution is a mild form

Vesicle / Bulla
Acantholysis
Disruption of intercellular junctions
Disease

Puppy Strangles