Clinical Pathology Flashcards

(187 cards)

1
Q

A fear/excitement response is characterized by what leukogram changes?

A

Mature neutrophilia, lymphocytosis, leukocytosis, erythrocytosis

How well did you know this?
1
Not at all
2
3
4
5
Perfectly
2
Q

A stress leukogram is characterized by what leukogram changes?

A

Mature neutrophilia, lymphopenia, monocytosis (in dogs), eosinopenia

How well did you know this?
1
Not at all
2
3
4
5
Perfectly
3
Q

After iron is removed from transferrin in the cell, in what form is it recycled back to the cell surface?

A

Apotransferrin

How well did you know this?
1
Not at all
2
3
4
5
Perfectly
4
Q

anisocytosis

A

variability in cell size

How well did you know this?
1
Not at all
2
3
4
5
Perfectly
5
Q

Anisokaryosis

A

Variation in nuclear size

How well did you know this?
1
Not at all
2
3
4
5
Perfectly
6
Q

Biliverdin is reduced to what molecule?

A

Bilirubin, which then binds to albumin in plasma for transport to the liver and is excreted in bile

How well did you know this?
1
Not at all
2
3
4
5
Perfectly
7
Q

Categories of primary hemostatic disorders (3)

A
  • Not enough platelets
  • Platelets not working
  • Not enough von Willebrand factor
How well did you know this?
1
Not at all
2
3
4
5
Perfectly
8
Q

Causes of inappropriate secondary polycythemia

A
  • Renal neoplasia
  • Neoplasia causing aberrant EPO secretion
How well did you know this?
1
Not at all
2
3
4
5
Perfectly
9
Q

Cytologic criteria of malignancy

A
  • Cellular pelomorphism (anisocytosis, anisokaryosis)
  • Increased or more variable N:C ratio
  • Binucleation and multinucleation (or variable nuclear sizes w/in one cell)
  • Abnormal nuclear shape
  • Nucleoli (more prominent, large, variably sized, and/or multiple nucleoli)
  • Altered chromatin pattern (less condensed - often stippled or coarse)
  • Bizarre mitotic figures
  • Increased basophilia (darker blue)
  • Atypical vacuolation or inclusions
  • Loss of normal components (ex: melanin)
How well did you know this?
1
Not at all
2
3
4
5
Perfectly
10
Q

DDAVP is not effective in what type of vWF disease?

A

Type 3 - b/c all it does is enhance release, and these dogs have no vWF

How well did you know this?
1
Not at all
2
3
4
5
Perfectly
11
Q

Ddx for high AG metabolic acidosis

A

Ketoacidosis
Lactic acidosis
Uremic acidosis
Intoxication (ethylene glycol, salicylates, metaldehyde, others)

How well did you know this?
1
Not at all
2
3
4
5
Perfectly
12
Q

Ddx for hypercalcemia

A

D - vit D toxicosis
R - renal failure
A - Addisons
G - Granulomatous dz
O - Osteolysis
N - Neoplasia
S - Spurious
H - Hyperparathyroidism
I - Iatrogenic/idiopathic
T - Toxins

How well did you know this?
1
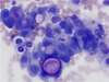
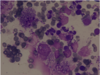
Not at all
2
3
4
5
Perfectly
13
Q

Ddx for hypocalcemia

A
  • Hypoalbuminemia (distributional change)
  • Primary hypoparathyroidism
  • Secondary hypoparathyroidism (renal, nutritional)
  • Hypovitaminosis D
  • Ethylene glycol toxicity (acute RF + calcium oxalate crystal formation)
  • Acute pancreatisis
  • Pregnancy and lactation
  • EDTA anticoagulant
  • Citrate anticoagulant
  • Acidosis
How well did you know this?
1
Not at all
2
3
4
5
Perfectly
14
Q

Ddx for hypoglycemia

A
  1. Increased glucose utilization
  2. Decreased glucose production
  3. LAB ERROR
  4. Starvation
  5. Hepatic insufficiency
  6. Portosystemic shungs
  7. Addisons
  8. Sepsis
  9. Insulinoma or other neoplasia (usually IGF-1 secreting)
  10. Pregnancy toxicosis/ketosis
How well did you know this?
1
Not at all
2
3
4
5
Perfectly
15
Q

Ddx for metabolic alkalosis

A
  • Hypochloremic alkalosis (loop/thiazide diuretics, vomiting, iatrogenic from sodium bicarb administration)
  • Concentration alkalosis (pure water loss, hypotonic fluid)
  • Chloride-resistant alkalosis (Cushings, hyperaldosteronism)
  • Hypoalbuminemic alkalosis (PLE, PLN, hepatic synthetic failure)
How well did you know this?
1
Not at all
2
3
4
5
Perfectly
16
Q

Ddx for normal AG (hyperchloremic) metabolic acidosis

A

Addisons
DIarrhea
Renal tubular acidosis
Post-hypocapnia
Iatrogenic (carbonic anhydrase inhibitors, ammonium chloride, TPN)

How well did you know this?
1
Not at all
2
3
4
5
Perfectly
17
Q

Ddx for respiratory acidosis

A

Large airway obstruction
Small airway disease (asthma, chronic bronchitis)
Pulmonary parenchymal disease (CHF, pneumonia)
Restrictive pleural space diseases
Neuromuscular disorders causing respiratory muscle failure
Increased CO2 production with concurrent hypoventilation (heatstroke)
Iatrogenic (mechanical underventilation)
Marked obesity

How well did you know this?
1
Not at all
2
3
4
5
Perfectly
18
Q

DDx for respiratory alkalosis

A
  • Hypoxemia –> stimulation of peripheral chemoreceptors
  • Non-hypoxemic activation of pulmonary stretch/nociceptors (pulmonary embolism, pulmonary fibrosis, pulmonary edema)
  • Activation of central respiratory centers –> hyperventilation
  • Iatrogenic from overzealous mechanical ventilation
  • Sepsis
  • Fever
  • Fear/pain/anxiety
How well did you know this?
1
Not at all
2
3
4
5
Perfectly
19
Q

Decreased folate indicates what?

A

Disease of the proximal small intestine (dietary deficiency, uncommon)

How well did you know this?
1
Not at all
2
3
4
5
Perfectly
20
Q

Differentials for hyperglycemia

A
  1. Diabetes (decreased uptake into cells)
  2. Stress (corticosteroids antagonize insulin and cause gluconeogenesis)
  3. Postprandial
  4. Excitement
  5. Renal failure
  6. Pancreatitis
How well did you know this?
1
Not at all
2
3
4
5
Perfectly
21
Q

Do cats with Hageman trait have clinical signs of bleeding?

A

NO - clot formation is not dependent on Factor XII, and Hageman trait is a deficiency of factor XII

How well did you know this?
1
Not at all
2
3
4
5
Perfectly
22
Q

Do dogs with vWF disease present with petechiation?

A

Usually NO

How well did you know this?
1
Not at all
2
3
4
5
Perfectly
23
Q

Do platelet-bound antibody tests differentiate between primary and secondary ITP?

A

NO

Have to rule out causes of secondary ITP to diagnose primary

How well did you know this?
1
Not at all
2
3
4
5
Perfectly
24
Q

Echinocytes may be seen with what ddx?

A

Renal failure, lymphoma, rattle snake bites

How well did you know this?
1
Not at all
2
3
4
5
Perfectly
25
Eosinophilia is most commonly associated with what?
Parasitism (Flea allergy dermatitis, other parasites) or neoplasia (eosinophilic leukemia, mast cell degranulation)
26
Glucosuria ddx
1. DM 2. Transient (stress, post-prandial) 3. Nephrotic syndrome
27
Hemoglobin is broken down into what two products?
Iron and biliverdin
28
Hemophilia A is a disorder of what clotting factor?
VIII
29
Hemophilia B is a disorder of what clotting factor?
IX
30
Hepcidin expression is increased in response to __ and __ and decreased in response to __ and __.
Increased in response to inflammation, iron overload Decreased in response to hypoxia, anemia
31
Heritability of hemophilia A and B?
autosomal, x-linked, recessive males are typically affected while females are typically carriers
32
How are factors II, VII, IX, and X activated and what molecule is required for their activation?
Carboxylation, requires vit. K
33
How does DDAVP (desmopressin) help with vWF disease?
DDAVP (desmopressin) - enhances release of vWF from storage sites Disadvantages: only administer once daily due to potential for water retention and hyponatremia; has short duration of action
34
How does vincristine help with ITP?
Promotes megakaryocyte release from the bone marrow
35
How is type 2 vWF disease diagnosed?
Qualitative ELISA that measures binding of vWF to collagen, which is dependent on high MW multimers
36
How long after exposure would a coagulopathy happen if an animal ingests anticoagulant rodenticide?
2-5 days PT prolonged w/in 36-72h aPTT prolonged after PT prolongation
37
How long does it take the body to start compensating for: 1. An acute respiratory disorder? 2. A chronic respiratory disorder? 3. Very chronic (>30d) respiratory acidosis? 4. Metabolic disorders?
1. 15 minutes 2. 7 days 3. 30 days 4. 24 hours
38
How long does it typically take for a regenerative RBC response?
3-5 days
39
How much of the function iron pool is stored in hemoglobin?
>60% of total body iron
40
How much total body iron is typically bound to transferrin at one time?
<1%
41
Hypercholesterolemia ddx
Primary - post-prandial Secondary - Hypothyroidism, Cushings, DM, pancreatitis, nephrotic syndrome, cholestasis
42
Hyperkalemia in DM results from what mechanism?
Translocation of potassium from the ICF to ECF
43
Hypernatremia can be divided into what three large categories for ddx?
Water defecit vs. water loss>Na loss vs. Na gain
44
Hypoalbuminemia with hyperglobulinemia is seen commonly with what two conditions
Chronic liver disease and multiple myeloma
45
Hypoalbuminemia with hypoglobulinemia is seen commonly with what three things?
PLE, exudates, and hemorrhage
46
If platelets are below __ we can see spontaneous bleeding
30-35k
47
Important growth inducer for hematopoiesis
IL-3
48
In anemia of inflammatory disease, what pattern of ferritin and transferrin would you see on an iron panel?
Ferritin = high-normal to increased Transferrin = low-normal to low
49
In iron deficiency anemia, what pattern of ferritin and transferrin would you see on an iron panel?
Ferritin = decreased Transferrin = high-normal to increased
50
In which types of vWF disease is prophylactic therapy indicated?
Type 2 and 3 Type 1 have variable bleeding tendency so consider tx on a case by case basis
51
Increased folate is associated with what conditions
- Intestinal bacterial overgrowth (EPI< decreased gastric acid) - Low intestinal pH - Parenteral supplementation
52
Iron enters the duodenal enterocytes via what transporter?
DMT1
53
Is EPO production altered in relative polycythemia?
No - this is just a fluid imbalance
54
Is ferritin a positive or negative acute phase protein?
Positive - will increase when inflammation happens
55
Is PTT normal or prolonged in Hageman trait?
Prolonged
56
Is PTT, PT, or both prolonged in hemophilia patients?
PTT is prolonged, PT will be normal
57
Is transferrin measured directly or indirectly?
Indirectly - reported as total iron binding capacity (TIBC). FOUND ON IRON PANELS
58
Ketonuria ddx
1. DM 2. starvation
59
Lipemia ddx
1. Post-prandial 2. Hypothyroidism 3. DM 4. Pancreatitis 5. Cholestatic liver disease 6. Nephrotic syndrome
60
Macrocytosis
RBCs that are larger than normal --> increased MCV
61
Malnutrition, intestinal malabsorption, and EPI lead to hypoalbuminemia by what mechanism
Amino acid deficiency
62
Metabolic acidosis is characterized by what
low pH, low HCO3-, low CO2 (resp compensation) AG can be: 1. High - results from accumulation of excess anions via gain of an acid 2. Normal - results from loss of bicarbonate or retention of H+ with associated hyperchloremia **This is the most common acid-base disturbance in small animal medicine**
63
Metabolic alkalosis is characterized by
increased pH, increased HCO3-, increased CO2 (compensatory)
64
Microcytosis can be seen commonly with what two main disease processes?
Iron deficiency and PSS
65
microcytosis
RBCs that are smaller than normal --> decreased MCV
66
Most common cause of non-regenerative anemia?
Anemia of inflammatory disease (aka anemia of chronic disease but doesn't have to be chronic)
67
PLN is characterized by what protein changes?
Hypoalbuminemia with normal globulins
68
Primary polycythemia/polycythemia vera
Acquired myeloproliferative disorder leading to clonal expansion of single hematopoietic stem cell RBC production proceeds w/out regard for EPO level Expected to have LOW plasma EPO due to negative feedback mechanism --> assay is human, no reference ranges in animals but if 0 helps confirm diagnosis Typically diagnosed by: Erythrocytosis in presence of normal O2 saturation and in the absence of conditions know to be associated with polycythemia
69
Quantitative ELISA testing for vWF concentration can detect what two types of vWF disease?
Type 1 and 3 because the vWF in these types is low Will not detect type 2
70
Respiratory acidosis is characterized by
decreased pH, increased CO2, increased HCO3-
71
Respiratory alkalosis is characterized by
high pH, low CO2, low HCO3- (compensatory)
72
Schistocytes may be seen with what disease processes
DIC, hemangiosarcoma, uremic syndromes, glomerulonephritis, heart failure, burns, microangiopathic hemolytic anemia
73
Should you administer vit K if anticoagulant rodenticide ingestion is suspected but not confirmed?
NO - a one time prophylactic vit K injection may cause transient normalization of PT at 36-48h but clinical bleeding days later when the effect wears off after a single injection Instead, test PT at 36-48h post suspected ingestion and treat accordingly
74
Spherocytes are pathopneumonic with what condition?
IMHA
75
T/F: A polycythemic animal warrants bone marrow aspiration to aid in the differentiation of primary from secondary polycythemia.
False - bone marrow evaluation cannot distinguish primary from secondary polycythemia. In either case, erythroid hyperplasia with complete maturation is present.
76
T/F: Appropriate secondary polycythemia results from hypoxemia
True - think things like congenital heart defects with R-to-L shunting, chronic pulmonary dz (VQ mismatch), chronic upper airway obstruction (usually brachycephalics), high altitude (clinically silent), defective O2 carrying capacity of Hb (CO poisoning, congenital methemoglobinemia)
77
T/F: FIP results in a monoclonal gammopathy
False - polyclonal
78
Three major mechanisms for hypokalemia
1. Decreased intake - unlikely by itself, usually from giving IV fluids without K+ supplementation 2. ECF into ICF - hyperkalemic periodic paralysis in horses 3. Increased loss - vomiting/diarrhea, CRF, post-obstructive diuresis, diuretics
79
Total iron binding capacity is __ in anemia of inflammatory disease and __ in true iron deficiency anemia
Low-normal in anemia of inflammatory disease; normal in iron deficiency anemia
80
Treatment of anticoagulant rodenticide toxicity?
ALL OF THIS IS IF INGESTION IS CONFIRMED Decontamination - emesis + activated charcoal -If follow up is high: Base line PT 36-48h after ingestion, if prolonged start Vit K therapy for 2-4 weeks and measure PT 36-48h after discontinuing - If follow up is low: start Vit K, if able measure 36-48h after discontinuing vit K If signs of clinical bleeding: give plasma to restore clotting factors (doesn't need to be fresh frozen); blood transfusion if clinical anemia; vit K
81
True or false: iron cannot be actively excreted so iron concentration is regulated at the level of absorption
TRUE
82
True or false: serum ferritin correlates well with tissue iron stores
True - however, because it is a positive acute phase protein, it can also be increased in inflammatory disease
83
True or false: transferrin is a negative acute phase protein
True - when inflammation occurs, transferrin production decreases
84
True/false: iron is sequestered in cells in response to systemic inflammation
True - the body is motivated to sequester iron so it's not available to invading pathogens
85
What are ddx for sodium gain leading to hypernatremia
- Hypertonic fluid administration - Salt poisoning
86
What are ddx for water deficit leading to hypernatremia?
- Primary hypodipsia - DI - High environmental temps - Fever
87
What are ddx for water loss>Na loss leading to hypernatremia
- Vomiting - Diarrhea - Peritonitis - DM - CRF
88
What are side effects of hydroxyurea?
Mild: alopecia, nail sloughing, skin lesions Severe: bone marrow suppression, pulmonary fibrosis
89
What are some BM toxins that could cause a neutropenia?
Bracken fern Estrogen Anticancer drugs
90
What are the 4 mechanisms of systemic regulation of iron levels?
1. Dietary regulator - uptake by duodenal enterocytes is affected by amount of iron recently consumed 2. Stores regulator - uptake by duodenal enterocytes is affected by body iron circulation 3. Erythropoietic regulator - uptake by duodenal enterocytes is increased according to erythropoietic demands 4. Inflammatory regulator - iron is sequestered in cells in response to systemic inflammation
91
What are the expected compensatory changes in HCO3- for a CAT with respiratory acidosis that is acute, chronic, or very chronic (>30d)
1. Acute: HCO3- increases by 0.15mEq/L 2. Chronic (up to 30d): unknown 3. Very chronic (>30d): unknown
92
What are the expected compensatory changes in HCO3- for a CAT with respiratory alkalosis that is acute vs. chronic?
Cats 1. Acute: HCO3- INCREASES by 0.25mEq/L 2. Chronic: HCO3- decreases by 0.55mEq/L
93
What are the expected compensatory changes in HCO3- for a DOG with respiratory acidosis that is acute, chronic, or very chronic (>30d)
1. Acute: HCO3- increases by 0.15mEq/L 2. Chronic (up to 30d): HCO3- increases by 0.35mEq/L 3. Very chronic (>30d): HCO3- increases by 0.55mEq/L
94
What are the expected compensatory changes in HCO3- for a DOG with respiratory alkalosis that is acute vs. chronic?
Dogs: 1. Acute: HCO3- decreases by 0.25mEq/L 2. Chronic: HCO3- decreases by 0.55mEq/L
95
What are the main mechanisms of thrombocytopenia?
1. Decreased production from BM damage (toxic chemicals, drugs, radiation, plant toxins, viruses like distemper or FeLV) 2. Increased destruction (immune mediated, viruses, drugs such as antihistamines or sulphonamides) 3. Sequestration in the spleen 4. Increased consumption - DIC, vasculitis 5. Loss- bleeding; usually mild to moderate
96
What are the phases of the cell based model of coagulation?
Initiation Amplification Propagation Inhibition of coagulation
97
What are the Ps to consider as differentials with a marked neutrophilia with left shift?
Pyometra Peritonitis Pleuritis Pneumonia Pancreatitis Pyelonephritis Prostatitis
98
What are the two necessary components of coagulation in the cell based model?
1. A cell bearing tissue factor 2. Platelets
99
What are the two pathways involved in secondary hemostasis?
Intrinsic and extrinsic pathways
100
What are the vitamin K dependent coagulation factors?
II, VII, IX, X
101
What are three infectious agents that could cause a neutropenia?
Parvovirus FIV FeLV
102
What breed can have macrocytosis as a normal finding?
Poodles
103
What breeds are associated with platelet dysfunction and what are their associated disorders?
1. Great Pyrenees - Glanzmann thrombasthenia 2. GSD - platelet procoagulant deficiency (Scott Syndrome) 3. Basset hound - CALDEG-GEFI thrombopathia 4. Greater Swiss Mountain Dog - P2Y12 receptor disorder
104
What breeds can have microcytosis as a normal finding?
Akitas and Shibas
105
What breeds most commonly have Von Willebrand disease and what types do they get?
Dobermans - type 1 German shorthair and wirehair pointers - type 2 Scotties and shelties - type 3 More breeds have been diagnosed but these are most common
106
What changes might you see on an iron panel with iron deficiency anemia?
Low ferritin with high-normal to high transferrin
107
What characterizes a metabolic acidosis?
Increased H+ Decreased HCO3-
108
What characterizes a metabolic alkalosis?
Increased HCO3- Decreased H+
109
What characterizes a respiratory acidosis?
Increased CO2
110
What characterizes a respiratory alkalosis?
Decreased CO2
111
What conditions are associated with a Na:K ratio of <25:1
- Addisons - Uroabdomen - Acute renal failure - GI disease (whipworms, Salmonella) - Chylothorax
112
What degree of thrombocytopenia would you expect with primary vs. secondary ITP?
Primary - severe Secondary - mild to moderate
113
What diseases are associated with acquired platelet dysfunction?
Uremia Hepatobiliary disease
114
What does an abnormal BMBT indicate?
Abnormality of platelet function or Von Willebrand dz
115
What drugs are commonly associated with IMHA?
Sulfas Beta lactams
116
What drugs are most commonly associated with ITP and why?
Antibiotics b/c they form haptens (piece of the abx that attaches to cell surface and tags it for immune degredation) Beta lactams and sulfas most common
117
What enzyme reduces vitamin K after it is oxidized?
Vitamin K epoxide reductase
118
What erythrocyte parasites in dogs and cats are associated with a regenerative anemia?
Cytauxzoon felis (cats) Babesia spp. (dogs) Mycoplasma spp.
119
What form of iron is primarily stored in the cytoplasm of Kupffer cells?
Hemosiderin
120
What happens during the amplification phase of the cell-based coagulation model?
Thrombin that was generated during the initiation phase activates platelets, releases vWF, and generates active factors V, VIII, and XI. Calcium may induce clustering of phosphatidyl serine on the platelet surface and facilitate binding of coagulation factors, thereby promoting clot formation.
121
What happens during the inhibition of coagulation phase of the cell-based coagulation model?
Factor Xa that dissociates from the procoagulant cell membrane is inactivated by AT or TFPI
122
What happens during the initiation phase of the cell-based coagulation model?
Flowing blood contacts exposed TF on damaged cells --> generates factor IXa and thrombin on the surface of the damaged cell. Thrombin and factor IXa then diffuse away from the cell surface.
123
What happens during the propagation phase of the cell-based coagulation model?
Factors II, V, VIII, IX, X, and XI generated in earlier steps on procoagulant surface assemble into intrinsic tenase. THis causes factor Xa to form on the platelet surface, leading to thrombin generation directly on the platelet. Thrombin then cleaves fibrinogen to fibrinopeptide A - when this occurs rapidly enough to outstrip antithrombin activity, an insoluble fibrin matrix forms
124
What is a strong ion and the strong ion gap?
Strong ion = ions that fully dissociate at physiolgic pH Strong ion gap = difference between all measured plasma strong cations and strong anions **May be more sensitive for animals with multiple disorders affecting acid-base status.**
125
What is Hageman trait?
Factor XII deficiency - most common deficiency of the intrinsic pathway in cats
126
What is normal pH range?
7.43-7.34
127
What is normal range for CO2?
25-35mmHg <25mmHg --> hyperventilation --> resp alkalosis >35mmHg --> hypoventilation --> resp acidosis
128
What is normal range for HCO3-?
19-23mEq/L (dogs); 17-21mEq/L (cats)
129
What is the anion gap?
Difference between all measured cations and anions in plasma. More cations can be measured than anions, so AG quantifies the unmeasured anions in plasma. Cations: Na+, K+, Mg2+, CA2+ Anions: Cl-, HCO3-, albumin, organic acids, phosphate, sulfate
130
What is the blood product of choice for vWF disease dogs during acute bleeding or as surgical prophylaxis?
Cryoprecipitate - contains more vWF in less volume Disadvantages: Short half-life (may need to give every 8-12h for severe bleeding)
131
What is the definition of erythrocytosis?
Increase in concentration of erythrocytes --> takes into account elevated PCV resulting from decreased fluid volume, so technically is a more precise term
132
What is the definition of polycythemia?
Increase in the total volume of RBCs or red cell mass
133
What is the end goal of primary hemostasis?
Platelet plug formation
134
What is the equation for calculating anion gap?
AG = (Na + K) - (Cl - HCO3) Normal dog: 12-24 Normal cat: 13-37
135
What is the expected change in PCO2 for 1mEq/L decrease in HCO3- in a dog or cat with a metabolic alkalosis with respiratory compensation?
PCO2 increases by 0.7mmHg --> same for both dogs and cats
136
What is the expected change in PCO2 for 1mEq/L decrease in HCO3- in a dog vs. cat with a metabolic acidosis with respiratory compensation?
Dog: PCO2 decreases by 1.0mmHg Cat: Does not compensate
137
What is the formula for strong ion gap in dogs and cats?
Dog SIG = (Alb) x 4.9 - AG Cat SIG = (Alb) x 7.4 - AG Normal value in dogs and cats: -5 to +5 mEq/L
138
What is the mechanism of erythrocytosis in a fear/excitement response and what is its duration?
Splenic contraction, transient response (20-30 mins)
139
What is the MOA of hydroxyurea?
Interferes with DNA synthesis via inhibition of thymidine incorporation
140
What is the most common cause of relative polycythemia?
Dehydration (vomiting, diarrhea, PU/PD without adequate intake, splenic contraction)
141
What is the most common hematologic change associated with hydroxyurea?
Macrocytosis
142
What is the most common type of FeLV- associated anemia?
Pure red cell aplasia
143
What is the most important initiator of coagulation in the cell based model?
Tissue factor
144
What is the most important molecule in regulating iron homeostasis?
Hepcidin 1. binds ferroportin and triggers internalization of ferroportin - inhibits export from duodenal enterocytes - prevents export from other cells for use in physiologic processes 2. Inhibits DMT1 expression
145
What is the other common name for factor II?
prothrombin
146
What is the pathophysiology of hemophilia A and B?
Lack of factor VIII or IX inhibits formation of tenase complex --> inhibits thrombin generation --> prevents clot formation
147
What is the soluble form of iron and where is it stored primarily?
Ferritin, primarily stored in cytoplasm of hepatocytes
148
What is the treatment for primary polycythemia (or secondary polycythemia where the underlying cause cannot be resolved)?
1. Phlebotomy 2. Myelosuppressive therapy with hydroxyurea
149
What is the typical lifespan of RBCs?
100-120 days
150
What is type 1 vWF disease?
Low levels of plasma vWF but all multimers are present (they're all just low) --> mild to moderate bleeding b/c we just don't have enough of it but have all varieties
151
What is type 2 vWF disease?
variable levels of vWF, large multimers are absent Large multimers bind more strongly to collagen, so these dogs don't clot as well --> moderate to severe bleeding
152
What is type 3 vWF disease?
vWF is absent (all multimers absent) --> severe bleeding
153
What liver enzymes are cholestatic/inducible enzymes?
ALP and GGT
154
What liver enzymes are hepatocellular leakage enzymes?
ALT, AST, SDH, GLDH, LDH
155
What molecule binds and transports iron in blood?
Transferrin
156
What molecule does iron bind to when stored in the cell?
Ferritin (apoferritin is ferritin that is not bound to iron)
157
What pattern of hyperglobulinemia would you expect to see with acute inflammation?
Alpha and beta, but not gamma globulins
158
What pattern of hyperglobulinemia would you expect to see with chronic inflammation?
Elevated alpha, beta, and gamma globulins
159
What pattern of hyperglobulinemia would you expect to see with multiple myeloma?
Elevated gamma globulins --> monoclonal gammopathy
160
What receptor mediates iron uptake into cells?
Transferrin receptor 1 (TFR1) - expressed on any cells that are rapidly dividing because they have high iron requirements
161
What regulates iron absorption in the GIT?
Apoferritin saturation
162
What substances are associated with oxidant-mediated hemolytic anemia?
Alliums (onions, garlic), zinc (dogs), skunk musk (dogs), acetaminophen (cats)
163
What system removes RBCs when tagged for degradation
Monocyte-macrophage system
164
What transports iron across the basement membrane into plasma?
Ferroportin
165
What two breeds are associated with canine cyclic neutropenia?
Weimaraners and border collies
166
What two types of neoplasia are commonly associated with IMT?
Lymphomas (typically indolent forms) Histiocytic sarcoma
167
What vit. K dependent clotting factor has teh shortest half life?
Factor VII
168
When should you suspect a platelet dysfunction disorder in an animal?
When they have normal platelet count, normal coagulation times, and in which vWF disease has been ruled out **These are UNCOMMON in animals**
169
Where are the vit. K dependent clotting factors produced?
Liver
170
Will BMBT be normal or prolonged in dogs with platelet function disorders?
Prolonged PFA-100 (platelet analyzer) will be abnormal
171
Increased EPO production in response to hypoxia is induced by what?
HIF-1 binding hypoxia-response element on EPO gene, which leads to increased transcription of the EPO gene —> increased EPO production
172
What other clin path parameters can influence accuracy of Hct or PCV measurements and how?
Lipemia, icterus: no effect. Hemolysis (sample collection or storage) Insufficient centrifugation speed: falsely increase PCV (RBCs don't pack properly)
173
Cytology of normal joints - what cells?
Occasional MN small & large Lc/phagocytes
174
What is the association between PCV and point of care blood glucose?
Inverse relation (lower HCT --> high BG & vice versa). Correction formula available.
175
What is the association between PCV & POC blood glucose measurements?
Inverse relation (lower HCT --> high BG & vice versa). Correction formula available.
176
2yo MN Lab, recent travel to Arizona. FNA of scapular mass. Diagnosis?
Coccidioiodomycosis immitis osteomyelitis
177
3yo MN X breed dog. FNA of carpal mass. Diagnosis?
Blastomycosis dermatitidis
178
FNA of lytic bone lesion. 4yo MN dog. Diagnosis?
Histoplasma capsulatum (small, intra/extracellular, within Mp)
179
2yo FS GSD. FNA of lytic vertebral lesion. Diagnosis?
Aspergillus sp. (terrus/fumigatus most common)
180
3yo MN dog. FNA of spleen. Diagnosis & treatment options?
Leishmaniasis (infantum/donovani) Allopurinol monotx OR Combo allopurinol + meglumine antimionate if not azotemic (preferred) Combo allopurinol + miltefosine = alternative Tx proteinuria if significant
181
What 2 parameters can falsely increase USG?
Marked glucosuria (e.g. hyperosmolar hyperglycemic syndrome) Marked proteinuria USG increases by 0.005 per 1g/dL of glucose/protein in urine
182
Cytological diagnosis? List the types of disease, mode of inheritance & breeds that are associated with this condition?
Cystinuria. Inherited defect in proximal tubule COLA AA transporter. Mutations in SLC3A1 (encodes heavy chain) or SLC7A9 (encodes light chain). Type Ia – autosomal recessive. SLC3A1. Newfies, Labs, Landseers. Type IIa - autosomal dominant with incomplete penetrance. SLC3A1. ACD, Border Collies Type IIb - SLC7A9. Mini Pins Type III - sex linked, androgen dependent. Intact males. Mastiffs, English & French bulldogs
183
In which 2 breeds may this be a normal finding?
Ammonium biurate (thorny apple shape) Dalmatians & Eng Bulldogs.
184
Cytological diagnosis? What condition is this classic for? What other ddx?
Calcium oxalate MONOhydrate (dihydrate = X shaped) Ethyelen glycol toxicity (but not sensitive finding; less commonly see CaOx dihydrate) DDx other dz causing hypercalciuria (eg paraneoplastic LSA)
185
FNA of bladder trigone mass from 8yo MN dog. Cytological diagnosis? And what are the pink cytoplasmic vacuoles called?
Urothelial cell carcinoma Melamed–Wolinska bodies (unique feature of TCC)
186
FNA of renal mass from 1yo dog. 2 main ddx? What IHC stains can differentiate?
Renal LSA (cats usually B cell; granules may suggest T cell or granular LSA) Nephroblastoma (YOUNG animals) - Arises from embryonic metanephric blastema. - IHC: cytokeratin+ (epithelial), vimentin+ (mesenchymal). Wilm's tumor gene product + confirms dx.
187
What are the lower detection limits of the urine dipstick & SSA test?
Urine dipstick = 30mg/dl (below that = microalbuminuria) SSA test = 5mg/dl (can detect globulins + BJ proteins)