Infectious Diseases Flashcards

(172 cards)

1
Q

What is the a) causative agent, b) pathogenesis/life cycle, and c) clinicopathological changes encountered in schistosomiasis in dogs?

A

Graham JVIM 2021
a) Heterobilharzia americana (HA) - trematode parasite. Endemic to the Gulf Coast regions of the USA, also reported in Kansas, North Carolina & Indiana.
b) Exposure when immersed in freshwater lakes or streams harboring lymnaeid snails (intermediate host). Free swimming cercariae emerge from the infected snail, penetrate the dog’s skin, and then migrate hematogenously
to the lungs and liver, where sexual maturation takes place –> adult parasites travel via the portal system to the mesenteric veins to mate –> release fertilized eggs into the mesenteric veins and use proteolytic enzymes to migrate through the intestinal walls –> shed in faeces. Upon contact with fresh water, flagellated miracidia emerge from the eggs and infect the snails –> complete life cycle.
c) CSx - D+ +/- hematochezia, weight loss, hyporexia or anorexia, V+, , lethargy, PUPD. CBC - lymphopenia, eosinophilia, anemia, thrombocytopenia. Biochem - hyperglob (polyclonal gammopathy reported), azotemia, increased liver eyzymes, hyperCa (34-50%).

How well did you know this?
1
Not at all
2
3
4
5
Perfectly
2
Q

Ehrlichia canis - name:
- Vector
- Intracellular or extracellular
- Which cells affected
- Bloodwork changes with chronic infection
- Immune cells involved during infection
- Diagnostic methods
- Treatment
- Common co-infections

A
  • Rhipicephalus sanguineus (brown dog tick)
  • Intracellular
  • Monocytes
  • Pancytopenia
  • T lymphocytes (impt for protective immunity during infection) - note immunosuppressive drugs that suppress T Lc
  • Doxycycline 10mg/kg/d x4 wks - clears EC DNA from blood, BM, spleen, liver & lungs; but likely still persistent infection –> recrudescence possible.
How well did you know this?
1
Not at all
2
3
4
5
Perfectly
3
Q

Leptospirosis - which serogroups are covered by bivalent (L2) vs quadrivalent (L4) vaccines?

A

L2: Canicola, Icterohaemorrhagiae
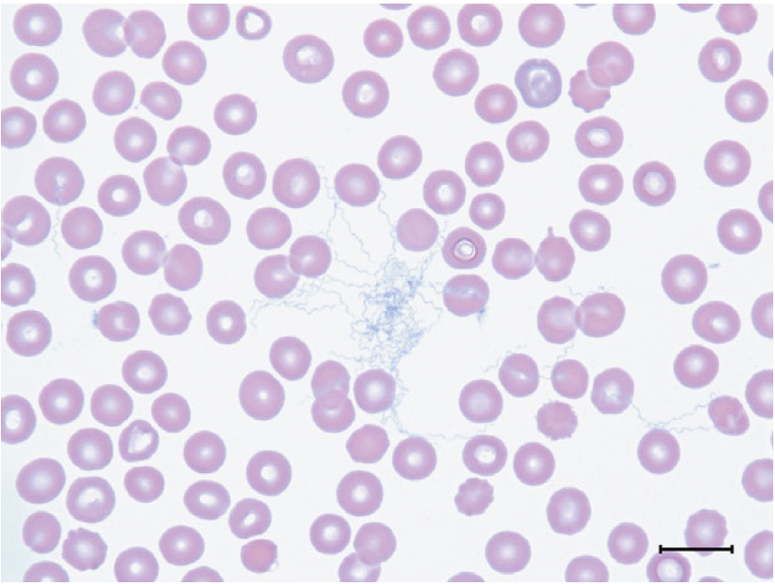
L4: L2 + Australis, Grippotyphosa

How well did you know this?
1
Not at all
2
3
4
5
Perfectly
4
Q

Echinococcosis
1. Major species?
2. Intermediate & definitive hosts?
3. Main clinical manifestations in small animals & transmission routes?
4. Public health risk?

A
  1. E granulosis, E multilocularis (tapeworms)
  2. Dogs - definitive hosts, people - IH
  3. 2 main forms.
    - Autochthonous cystic echinococcosis - common where dogs access infected livestock offal (sheep). Endemic in Alaska, north-central USA, some western states
    - Alveolar echinococcosis - common where dogs eat rodents (IH). Northern hemisphere. (Also occurs in people, slowly progressive disease, 100% fatality if untreated).
  4. Yes, zoonotic. People become infected by ingesting eggs after handling infected dog faeces, or petting infected dogs with ova on body, or contact with contaminated food/water/soil.
How well did you know this?
1
Not at all
2
3
4
5
Perfectly
5
Q

Organism?
Transmission route?
Treatment?
Which test is useful for diagnosis & monitoring tx response?

A

Pythiosis insidosum (dogs)
Ingestion of zoospores in water sources (ponds, wetlands etc.)

Surgical removal of infected tissues
Anti-fungal tx x 3-6mths – itraconazole, terbinafine, IV amp B
(medical manaement alone <10% cured)

ELISA-based anti-P insidiosum antibody assay (serum)

How well did you know this?
1
Not at all
2
3
4
5
Perfectly
6
Q

Organism?
Risk factors?
Major virulence factor & role?
Clinical presentations - dogs vs cats?

A

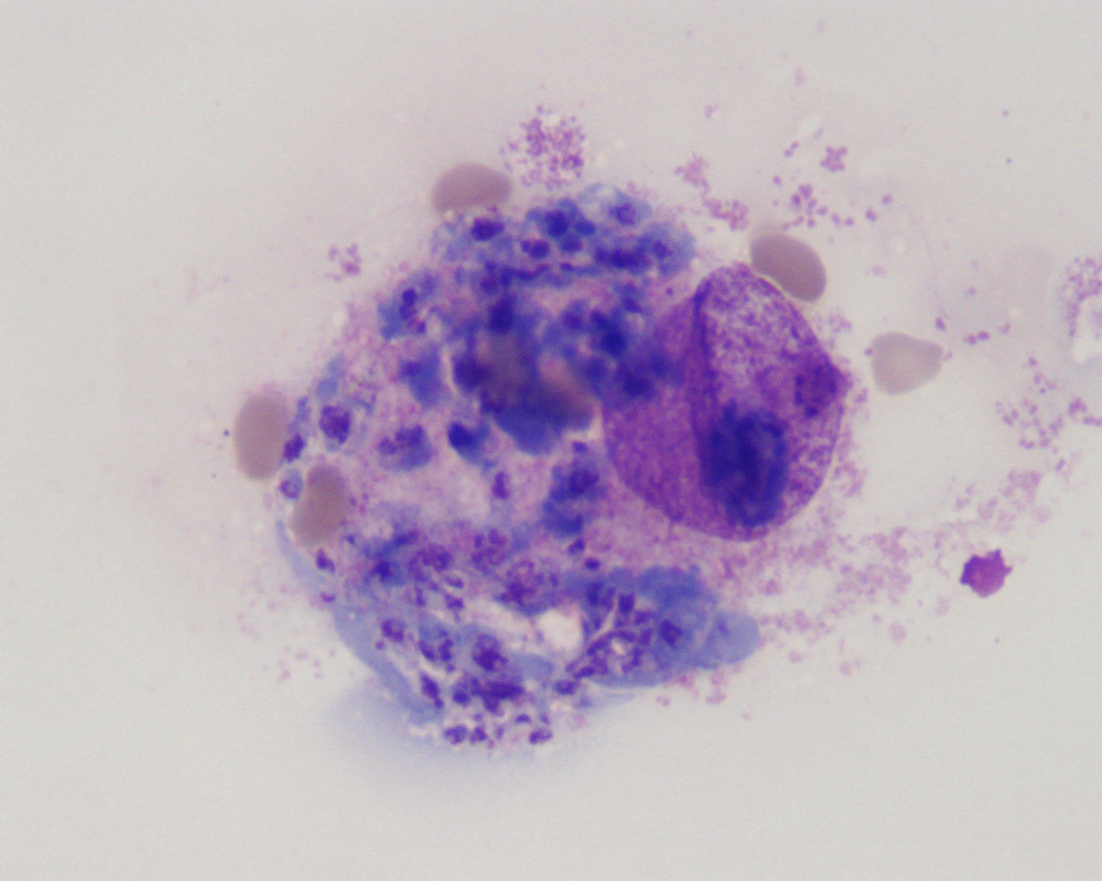
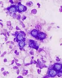
Blastomyces dermatitidis (NB: broad based budding)

Young adult, med to large-breed dogs, dogs involved in outdoor activities, access to water bodies/soil/excavation sites (NB: indoor cats can get it too)

BAD-1 (cell surface glycoprotein) - binds to host cell receptors on macrophages, also helps evasion of host immune response (influences cytokine secretion & impairs complement activation).

Dogs - pulmonary (65-85%) > diffuse lymphadneopathy, cutaneous lesions can be small & variable sized, lameness. GI, neuro uncommon.
Cats - GI & neuro more common. Cutaneous lesions usually large abscesses.

How well did you know this?
1
Not at all
2
3
4
5
Perfectly
7
Q

What are the two main pathogenic leptospirosis species?

What antigen is used for serotyping?

A

L interrogans & L kirschneri. (note species NOT serovar)

O antigen.

How well did you know this?
1
Not at all
2
3
4
5
Perfectly
8
Q

What type of pathogen is Brucella canis?
What testing is available?
Treatment?

A

G- bacteria.

  • Serology (rapid slide agglutination (RSAT) - good sensitivity >95% but if positive, need to repeat test with 2-mercaptoethanol (2ME) to increase Sp & also confirm with AGID/TAT
  • Agar gel immunodiffusion (AGID)) but can take up to 12 weeks to seroconvert.
  • PCR good Sn & Sp but $$$$.
  • Blood and/or fluid culture options (but zoonotic risk)

Tx
- No abx is 100% effective. Usually enro, rifampicin + doxy combo.
- Castration (NB can still persist in prostate with urine shedding)
- Ideally euth :(

How well did you know this?
1
Not at all
2
3
4
5
Perfectly
9
Q

What is the agent that causes Lyme disease?

How is it transmitted?

Name a diagnostic test.

What types of vaccines exist against it?

A

Borrelia bugdorferi sensu lato.

Tick-borne (Ixodes sp.)

Serology - C6 antibody assay (also detects Abt o OspF)

Vaccines include bacterin (lysed spirochetes) or subunit (often OspA & OspC proteins)

How well did you know this?
1
Not at all
2
3
4
5
Perfectly
10
Q

Lyme disease (Bb) - describe the roles of its outer surface proteins.

How are these Osps useful for diagnostic, treatment & prevention purposes?

A

OspA - allows spirochete to adhere to tick mid-gut (A for adhere)

OspC - upregulated when tick ingests mammalian blood (OspA is downregulated). OspC binds tick salivary gland protein to evade immune response + binds to mammalian plasminogen & disseminate within host. Acute infection (3 weeks) C for chomp, circumvent & conquer

VlsE lipoprotein - undergoes recombinational shuffling of genetic code to evade host immunity. V for vary

**OspF **- chronic infection. F for forever

Utility:
- SNAP 4dx + quantitative ELISA (C6) - detects Ab against VlsE
- Multiplex fluorescent assay - Ab against OspA, OspC, OspF
- Bb vaccines induce anti-OspA Ab +/- other Osp. So tests to detect C6, VIsE OspC & OspF can differentiate between natural vs. vaccine-induced Ab as these Ab are not in the vaccine.

How well did you know this?
1
Not at all
2
3
4
5
Perfectly
11
Q

Name the agent most commonly implicated in:
- SNA Aspergillosis in dogs
- SNA Aspergillosis in cats
- SOA Aspergillosis in cats
- Disseminated Aspergillosis in dogs
- Disseminated Aspergillosis in cats

A
  • SNA: A fumigatus (dogs & cats)
  • SOA: A felis (cats)
  • Disseminated: A terreus (dogs), A fumigatus (cats)
How well did you know this?
1
Not at all
2
3
4
5
Perfectly
12
Q

Pneumonyssoides caninum - what is this organism? What clinical signs can this cause?

A

Nasal mite.
URT signs - reverse sneezing.

How well did you know this?
1
Not at all
2
3
4
5
Perfectly
13
Q

What agent?
Vector?
Most common hematologic abnormality?
Treatment?

A

Borrelia turicatae & Borrelia hermsii (spirochetes) aka Tick Borne Relapsing Fever.
Vector = Ornithodoros spp. (soft ticks)
Thrombocytopenia
Tetracyclines

How well did you know this?
1
Not at all
2
3
4
5
Perfectly
14
Q

Agent?
Mode of transmission?
Other diagnostic methods?
Treatment?

A

Cytauxzoon felis. Schizont in macrophage (rare in blood film but usually find at feathered edge).
Tick borne disease (vector = Amblyomma americanum (Lone Star) tick). Bobcats are reservoir host.
Dx: positive PCR or seeing piroplasm merozoites in RBCs (NB: can be present in clinically silent carrier infections)
Atovaquone & azithromycin (superior to imidocarb)

How well did you know this?
1
Not at all
2
3
4
5
Perfectly
15
Q

Causal agent (including stage)?
Vector?
Treatment options (include those from recent literature)?

A

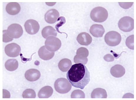
Trypanosoma Cruzi, trypomastigotes (looks like seahorse)
Reduviid (kissing bugs) - Triatoma spp.
No labelled drugs. Current recc - benznidazole, nifurtimox
New drugs - amiodarone & itraconazole (synergistic in disrupting parasite ergosterol synthesis & calcium homeostasis)

How well did you know this?
1
Not at all
2
3
4
5
Perfectly
16
Q
  1. What is the life stage of Leishmania in the sandfly vs host?
  2. What is the vector?
  3. Treatments for Leishmaniasis & MOA?
  4. Clinical response
A
  1. Promastigote in the sandfly. Amastigote in the host.
  2. Sandflies
  3. Meglumine antimoniate & allopurinol (meglumine monotherapy rarely effective to clear infection, drug combo is synergistic + reduced risk of drug resistance)
    * Meglumine selectively inhibit the leishmanial enzymes required for glycolytic and fatty acid oxidation.
    * Allopurinol inhibits Leishmania spp activity by limiting available purines in the host that are required for protozoal survival. Allopurinol is taken up by the protozoa and metabolized into a toxic compound (4-amino-pyrazole-pyrimidine), which incorporates into the parasite’s RNA, causing death.
  4. Remission in 65-100%, can take months
How well did you know this?
1
Not at all
2
3
4
5
Perfectly
17
Q

What is the case definition of a rabies-positive animal?

A

IFA positive (preferably on CNS tissue) or isolation of rabies in cell culture or a lab animal.

How well did you know this?
1
Not at all
2
3
4
5
Perfectly
18
Q

In which of the systemic mycoses is antigen testing NOT recommended?

A

Coccidiodomycosis - poor Sn 20%. Antibody testing (EIA) is sensitive and specific, so preferred.

How well did you know this?
1
Not at all
2
3
4
5
Perfectly
19
Q

Features differentiating atypical bacteria (nocardia, mycobact, actinomyces)?

A

Nocardia: acid-fast, filamentous, monomicrobial
Actinomyces: non-AF, filamentous, polymicrobial
Mycobact: AF, intracellular (in Mp/Np), bacilli

How well did you know this?
1
Not at all
2
3
4
5
Perfectly
20
Q

What % of dogs infected with Brucella suis remain asymptomatic?

A

40% subclinical

How well did you know this?
1
Not at all
2
3
4
5
Perfectly
21
Q

What is a highly sensitive first-line test for diagnosis of Brucella canis in dogs? What additional step in the test assay can be performed to increase specificity? What should you do if you have a positive result for this first-line test?

A

RSAT (rapid slide agglutination test), Sn >95%. Low false neg (ddx abx up to 4-6wks prior, not yet seroconverted ~4-12wks).
False pos due to X-rxn with other G- bact.
If RSAT positive, either:
- Add 2-ME (2-mercaptoethanol) to inhibit IgM X-rxn & increase test specificity.
- Repeat test with AGID or tube agglutination test (TAT)
- Repeat test at 12wks

How well did you know this?
1
Not at all
2
3
4
5
Perfectly
22
Q

What drug is used for monotherapy to treat Leishmaniasis & MOA? What stages of disease may monotherapy be considered?

A

Allopurinol. MOA - inhibits protozoal activity by interfering with the purine pathway & protozoal RNA synthesis. Drug uptake by Leish is metabolised into a toxic compound (4-amino-pyrazole-pyrimidine) which incorporates into its RNA & causes death. Given long-term (min 6 months, usually 1 year+)

Stage 1 (mild CSx, normal bloodwork, non-azotemic, non-proteinuric) OR
Stage 4 (stage 3-4 CKD with nephrotic syndrome, UPC >5, PTE) - as antimony drugs are nephrotoxic

How well did you know this?
1
Not at all
2
3
4
5
Perfectly
23
Q

Pneumocystis canis:
- Where does its life cycle occur?
- Predisposed breeds
- Treatments?

A

Alveolar epithelial cells (trophozoites > cysts)
Young CKCS, Mini Dach
TMPS, folic acid, supportive care. NOT anti-fungals (resistant).

How well did you know this?
1
Not at all
2
3
4
5
Perfectly
24
Q

What are the main species & vector(s) causing Bartonellosis in dogs vs cats?
What are the virulence factors of Bartonella?

A

D/C: B. henselae - C felis (fleas)
D: B. vinsonii & rochalimae - Rhipicephalus sanguineus
C: also B. clarridgeae - fleas

Virulence factors - type IV secretory systems (T4SS) (transports protozoal effector proteins to target cells) + adhesions (allows binding to endothelial cells). Inhibit host cell apoptosis which allows continuous replication > reach critical #s in circulation without causing hemolysis but enough to be picked up by arthropod during bite.

How well did you know this?
1
Not at all
2
3
4
5
Perfectly
25
What are the clinical manifestations of Bartonellosis? Which ones are most common in dogs vs cats?
Dogs: 5 mechanisms. Intravascular infection most common - endocarditis 30% (aortic valve, CHF likely, increased morbidity vs other bact causes), pyrexia, lameness. Also - immune-mediated dz, lymphatic dz > effusions, pyogranulomatous inflammation (visceral organs/disseminated), peliosis hepatis. Cats: subclinical most common. Gingivitis & lymphadenopathy common if FIV+. Can get uveitis, SQ abscesses, neuro signs, endocarditis rare.
26
What diagnostic tests have the highest sensitivity for diagnosis of Bartonellosis in dogs? What tests are poorly specific for Bartonellosis in cats and why?
Dogs: Bartonella enriched culture + PCR (using BAPGM = bartonella alpha proteobacteria growth medium). Thriple blood draw (3 samples over 3 days). Serology: Ab >1:512 useful for endocarditis but poor Sn for local dz/other body systems. NB: cats also recc enriched culture + PCR. Cats: Serology (Ab) & PCR poor Sp as high prevalence, IgG titres persist for long time, & positive result doesn't indicate cause of dz.
27
Treatment options for Bartonellosis in dogs/cats?
Dual abx to reduce resistance dvpt. Start 2nd abx 5-7d after 1st abx as endotoxins from rapid bact death can cause SIRS/severe rxn CNS infx: doxy/azithro + rifampin Home tx: doxy + enro Endocarditis: doxy + amikacin (in-hosp) Generally 4-6 wks, recheck enriched culture + PCR 2-6 weeks after abx stopped. +/- reduction in Ab titres. Cats: prado + doxy; only tx clinical cats
28
What diagnostic tests are recommended for diagnosis of Anaplasma phagocytophilum in cats? Discuss limitations.
In-house SNAP 4dx Plus or Multi-Analyte (Ab): canine assay. Discordant results between assays. Blood smear - detect morulae in neutrophils/granulocytes. Disadv: can't differentiate with E. ewingii, cats have lower #s cf dogs so false negs. PCR (spleen, blood, buffy coat, BM) - high Sn/Sp in acute infx, but false negs possible in chronic infx. IFAT or ELISA (Ab titres): increase/decrease Ab titre by 4x within 4wks confirms acute infx.
29
What infectious agent is the LipL32 protein associated with? What is its diagnostic utility?
Leptospirosis. LipL32 protein = membrane protein expressed only by pathogenic leptospires and is conserved across serogroups. PCR identifies lipL32/hap1 gene. Newer ELISA assays detect LipL32 protein (not commercially available yet)
30
Which serogroups do the bivalent vs quadrivalent lepto vaccines protect against?
Bivalent - Icterohaemorrhagiae, Canicola Quadrivalent - bivalent + grippotyphosa + australis.
31
What is the incidence of amicrofilariaemic (a-MF) infections in dogs with HWD? What diagnostic tests are used to evaluate microfilaria status in antigen-positive dogs? What treatment may be considered only for dogs with a-MF infections & what is the main AE?
10-20% Modified Knott's test, filter test - concentrates MF. Diethylcarbamazine (anthelmintic): possibly paralyses worm. - AE: immune mediated rxn in 30% cases if MF present but missed (occurs within 1hr = depression, ptyalism, vomiting, diarrhea, weak pulse, pale MM, poor CRT, bradycardia; can become recumbent, dyspnoeic and tachycardic. Fatal in 18% dogs with ADR.) - Note drug is not recommended
32
Summarise key findings with different classes of HWD in dogs?
Class I - positive Ag, asymptomatic, mild TXR changes. Class II - positive Ag, moderate dz. Split S2 heart sound. +/- mild-moderate proteinuria. Moderate TXR changes. Class III - positive Ag, severe dz. R-CHF (ascites). TXR - +/- pleural effusion. Pulmonary hypertension. +/- severe proteinuria. Class IV - class III + caval syndrome. Intravascular hemolysis & hemoglobinuria (RBC lysis from shearing forces of blood across tricuspid valve),. hepatic & renal failure.
33
Recommended treatments for HW & MOA of drugs?
MLs: L3 & L4 larvae. E.g. selamectin, milbemycin, ivermectin. (some have adulticidal activity at high doses). MOA - increase Cl- channel ions in parasite cell memb to Cl- > inhibit electrical activity of muscle & nerve cells; also increase GABA-receptor activity (inhibitory NTR) Melarsomine dihydrochloride: L5 & adults. MOA unknown (arsenical compound).
34
Is anti-thrombotic therapy recommended for dogs with HWD, and if so when?
CURATIVE 2022 HWD dogs are considered HIGH risk for thrombosis. Dilofilaria antigen itself is thrombogenic; but presence of worm/worm fragments are associated with persistent thrombosis. Recommended for severe dz & those receiving adulticide tx. Aspirin/dipyridamole or ticlopidine (P2Y12-R inhibitor) Note not recommended in AHS guidelines
35
List key differences between cats vs dogs with HWD (in terms of life cycle, pathogenesis, clinical manifestations & treatment).
Cats - More resistant to infx - Lower worm burden (usually 1-4, <10) - Commonly no to low MF counts - so **MF testing poorly Sn** - Shortened worm lifespan (up to 4yrs) - Lower % patent infections (<20%), longer pre-patent period (7-8mths post infx) - 50% cats that reject infx at immature L5 develop respiratory dz (HARDS/pulmonary larval dirofilariasis) - More severe inflammatory response to less # worms as pulmonary arterial tree is smaller with less collateral circulation. - Dx: antibody good screening test (high Sn for early infx). Antigen tests high Sp but low Sn (single male infx in 30% cats) - Tx: adulticide not recommended (no clear benefit & risk of PTE). Use short course pred + monthly preventative to manage respiratory signs
36
Which structure/component of FeLV is detected in routine diagnostic tests?
p27 antigen. Viral capsid protein, MW 27kDa. - POC (SNAP) test, ELISA - detects free circulating p27 Ag. Initial viremia (~1st 3 wks). Good screening test. - Direct FAT - detects intracellular p27 Ag (after virus infects BM > Ag within platelets & granulocytes). Not as a screening test but used to confirm positive results.
37
What are the 4 classes of FeLV infection and what are expected diagnostic test findings?
1. Abortive - complete virus elimination. Ag -, PCR -, Ab + (variable titres) 2. Regressive - infection not in BM cells. Still infectious via blood transfusions. Ag -, PCR -, Ab + (high titres) 3. Latent - infection alr in BM cells. Ag -, PCR +/- 4. Progressive - poor immunity, high mortality. Ag +, PCR +, Ab -/low lvls (Also atypical/localised infx. Test Ag negative but still infectious e.g. mammary glands in lactating queens)
38
Describe the different FeLV subtypes & associated disease manifestations?
- FeLV-A: only subtype that is naturally transmitted (horizontally). Can mutate into other subgroups (B & C have higher pathogenicity). - FeLV-B: commonly associated with malignancies esp T-cell mediastinal LSA (also multicentric LSA). - FeLV-C: pure red cell aplasia, see macrocytic anemia w/o retics. Receptor interaction blocks the differentiation of erythroid progenitors by interfering with signal transduction pathways essential for erythropoiesis. - FeLV-D: unsure if pathogenic or not - FeLV feline acquired immunodeficiency syndrome: highly immunopathogenic, infects CD41 & CD81 T Lc & B Lc in blood, LNs, myeloid cells.
39
What are the clinical manifestations of canine parvovirus?
In-utero or <8wks exposure: - Generalised infx > death <2wks old - Myocarditis (arrhythmias & sudden death or survive but develop chronic myocardial fibrosis, pulm oedema, CHF) >8wks exposure: enteritis (SI crypt necrosis, reduced absorption, incr permeability). CNS signs (secondarye.g. neuroglycopenia, sepsis, electrolyte derangements > primary), BM/lymphoid tissue > neutropenia, lymphopenia, GI bact translocation > 2' infx --> sepsis, SIRS
40
CPV-2 is susceptible to which disinfectant(s)?
Sodium hypochlorite (1 part common household bleach to 30 parts water), minimum 10 mins exposure. NOT inactivated by most disinfectants/detergents.
41
What is the causal agent for feline panleukopenia, and its characteristics?
Carnivore protoparvovirus 1 or FPV. SS DNA, non-enveloped virus.
42
What % paroviral infection in cats are due to FPV vs CPV variants? Can FPV affect dogs, and why/why not?
90-95% FPV, 5-10% CPV variants No. FPV can replicate in lymphoid tissues of dogs (thymus & BM) but cannot bind to the canine transferrin receptor (TfR), which is critical for efficient infection, so onward transmission of infection does not occur.
43
Diagnostic tests for cryptosporidium parvum? Treatment?
Fluorescein-labeled monoclonal antibody staining of faecal smear ZN/acid-fast staining of faecal smear - oocysts stain pink Faecal PCR Faecal float/smear not useful as oocysts are too small & hard to see even at 100x ELISA Ab not useful (positive in most animals) Tx tylosin or azithromycin - but no tx stops oocyst shedding
44
Sample of faecal smear. Organism? Treatment?
Cystoisospora spp (Coccidiosis) Tx TMPS, toltrazuril/ponazuril (coccidiocidal)
45
Treatment options for Bartonellosis in dogs/cats?
Dual abx to reduce resistance dvpt. Start 2nd abx 5-7d after 1st abx as endotoxins from rapid bact death can cause SIRS/severe rxn CNS infx: doxy/azithro + rifampin Home tx: doxy + enro Endocarditis: doxy + amikacin (in-hosp) Generally 4-6 wks, recheck enriched culture + PCR 2-6 weeks after abx stopped. +/- reduction in Ab titres. Cats: prado + doxy; only tx clinical cats
46
What larval stage is the infective stage of heartworm disease?
L3
47
How long does it take to see microfilaria on testing in heartworm infection?
6-8 months because this is how long it takes for adults to mature and reproduce
48
Dogs/cats are more efficient at clearing heartworm larvae in immature stages
Cats
49
What is the only FDA approved adulticide for treatment of heartworm disease?
Melarsomine
50
Piroplasms/piriform inclusions are seen in RBCs with what disease
Babesia Remember piro means pear
51
Babesia, Cytauxzoon, and Bartonella are ERYTHROCYTIC/LEKOCYTIC/THROMBOCYTIC/EXTRACELLULAR/ENDOTHELIAL
Erythrocytic
52
Ehrlichia, Anaplasma, and Hepatazoon are ERYTHROCYTIC/LEKOCYTIC/THROMBOCYTIC/EXTRACELLULAR/ENDOTHELIAL
Leukocytic
53
A. platys is ERYTHROCYTIC/LEKOCYTIC/THROMBOCYTIC/EXTRACELLULAR/ENDOTHELIAL
Thrombocytic
54
Borrelia is ERYTHROCYTIC/LEKOCYTIC/THROMBOCYTIC/EXTRACELLULAR/ENDOTHELIAL
Extracellular
55
Rickettsia is ERYTHROCYTIC/LEKOCYTIC/THROMBOCYTIC/EXTRACELLULAR/ENDOTHELIAL
Endothelial
56
Rhipicephalus sanguineus/"Brown dog tick" carries what dieases?
Babesia sp. Ehrlichia canis Bartonella vinsonii ss berkhoffi
57
Amblyoma ammericanum/"Lone star tick" carries what diseases?
Ehrlichia chaffensis Ehrlichia ewingii Cytauxzoonosis
58
Ixodes scapularis/"eastern black leg tick" carries what diseases?
Babesia sp. Anaplasma phagocytophilum Borrelia
59
Dermacentor variabilis/"American dog tick" carries what diseases?
Babesia sp. Rock mountain spotted fever Cytauxzoonosis
60
Is Babesia zoonotic?
NO - species that infect cats and dogs have not been found to infect people
61
What subspecies of Babesia canis are most prevalent in North America?
Babesia canis vogeli Babesia gibsoni
62
What breed of dogs are inherently susceptible to Babesia canis vogeli?
Greyhounds
63
What breed of dogs are associated with increased rates of Babesia gibsoni infection?
Pitbulls This is thought to be b/c transmission is more from fighting (and less from ticks)
64
T/F: Babesia felis is common in cats in the US
False - rare, most common in cats in South Africa
65
What is the infective form of Babesia canis that is transmitted in tick saliva?
Sporozoites - this is the form that penetrates RBCs
66
What is the circulating form of Babesia canis in dogs?
Merozoites Sporozoites will undergo merogony (binary fission) in RBCs then lyse the RBC and be released as merozoites
67
Where does the sexual phase of Babesia canis happen in the tick?
Midgut
68
What are clinical signs of Babesia?
Lethargy Anorexia Weakness Pyrexia Weight loss Less common signs are seizures, paresis, ataxia, masticatory myositis, ascites, edema, hemorrhage, respiratory distress
69
You are examining a greyhound presenting for anorexia, lethargy, and weight loss. You note pyrexia and splenomegaly. What infectious ddx should be on your list?
Babesia canis
70
What PE findings might you see with Babesia canis?
SPLENOMEGALY Pyrexia +/- pigmenturia (bilirubinuria, hemoglobuinuria)
71
What hematologic changes might you see on CBC in a dog with Babesia?
Thrombocytopenia - most common Anemia
72
What are the mechanisms of anemia in Babesiosis?
Immune mediated destruction Osmotically fragile erythrocytes --> hemolysis Direct injury to RBCs by Babesia Cyclic nucleotides, oxidative injury - increased urinary methemoglobinuria; inhibition of erythrocytes 5'-nucleosidase leading to cyclic nucleotides; increased production of superoxide; lipid peroxidation Activation of Kallikrein system --> excess fibrinogen-like proteins develop --> sticky RBCs leading to vascular stasis
73
What are the two mechanisms through which Babesia causes thrombocytopenia?
Immune-mediated destruction Consumption (coagulation, DIC)
74
What is the cause of most clinical signs of Babesia?
Tissue hypoxia
75
Complicated Babesiosis is mostly associated with what subspecies?
B. canis rossi
76
What is one infectious (tick borne) ddx for acute pancreatitis?
Complicated babesiosis
77
T/F: Serology for Babesia is highly sensitive
False - low sensitivity; has cross reactivity; 36% of PCR positive dogs had negative serology in one study
78
What is the most sensitive and specific diagnostic for diagnosis of Babesia?
PCR - serial sampling 2-4 weeks apart will increase sensitivity, especial in chronically infected dogs
79
How is Babesia canis treated?
Imidocarb diproprionate (MOA unclear) - 2 IM injections 2 weeks apart
80
What are side effects of Imidocarb?
Anticholinergic effects - SLUDDE (salivation, lacrimation, urination, defecation, diarrhea, emesis; also shivering)
81
What can you pre-treat with prior to Imidocarb to prevent anticholinergic effects?
Atropine - can give SC to decrease side effects
82
T/F: Imidocarb clears B. gibsoni
False - doesn't clear B. gibsoni or conrade but decreases morbidity and mortality
83
How is Babesia gibsoni treated?
Atovaquone + Azithromycin
84
What is the MOA of atovaquone?
Inhibits mitochondrial electron transport chain
85
What is the MOA of azithromycin
Binds 50S subunit of ribosomes to block translation of mRNA
86
Why shouldn't you use atovaquone as a single agent?
Can develop resistance
87
What are the major side effects of atovaquone and how can they be minimized?
GI signs Liquid formulation causes less GI upset
88
If you're unsure what species of Babesia you have, what should you treat with?
Atovaquone + azithromycin
89
Signet ring-shaped piroplasms are seen with what parasite?
Cytauxzoon
90
What is the main species of Cytauxzoon we worry about?
C. felis
91
Where is Cytauxzoon most commonly found
Southeastern US
92
What is the reservoir host for cytauxzoon
Bobcat
93
What are the two main vectors for Cytauxzoon
Amblyomma americanum (Lone star tick) Dermacenter variabilis
94
Where in the tick does the sexual phase of reproduction happen with Cytauxzoon
Midgut
95
What is the infective form of Cytauxzoon
Sporozoites
96
What cells does Cytauxzoon infect?
Mononuclear cells
97
Once inside mononuclear cells, Cytauxzoon undergoes binary fission to form __ which eventually leads to rupture of the cell.
Schizonts These distend and eventually occlude vessels
98
What is released from ruptured mononuclear cells in Cytauxzoon that will then invade RBCs?
Merozoites
99
How many days prior to clinical illness do you usually see piroplasms in RBCs with Cytauxzoon?
1-3 days
100
What are the two mechanisms for pathogenesis of Cytauxoon?
1. Asexual schizogenous reproduction within mononuclear phagocytic cells; schizonts distend the mononuclear cells which occludes vessels (most severe in lymphoid tissues, lung, liver, and spleen) 2. Parasitizes erythrocytes --> hemolysis and anemia
101
What clinical signs can you see with Cytauxzoon?
Lethargy Anorexia Pyrexia Within hours to day, progresses to weakness, icterus, resp distress, obtunded mentation, seizures
102
What PE findings might you see with Cytauxzoon?
Pyrexia Icterus +/- pale MM Mild to moderate lymphadenomegaly, splenomegaly, hepatomegaly Hyperesthetic during muscle palpation +/- pigmenturia (bilirubinuria, hemoglobinuria)
103
What bloodwork changes might you see in cats with Cytauxzoon?
Pancytopenia or bicytopenia, intraerythrocyte signet rings Hyperbilirubinemia +/- elevated liver enzymes
104
What is the most sensitive and specific test for diagnosis of Cytauxzoon?
PCR
105
How is Cytauxzoon treated?
Atovaquone + azithromycin Same as Babesia gibsoni
106
Atovoquone must be given with __ to maximize absorption
Fatty meal
107
What percentage of cats survive Cytauxzoon infection?
60%
108
Is Cytauxzoon zoonotic?
NO
109
Infection with Hepatozoon requires what?
INGESTION of tick - not a tick bite
110
What species tick carries Hepatozoon americanum vs. Hepatozoon canis
Hepatozoon americanum - Amblyomma maculatum Hepatozoon canis - Rhipicephalus sanguineus
111
What develop in tissues with Hepatozoonosis?
Meronts
112
What is the infective stage of Hepatozoon?
Sporozoites
113
What causes release of sporozoites in the GI tract of dogs after they ingest the tick?
Bile
114
Sporozoites travel from the GIT to where in dogs infected with H. americanum?
Muscle Form meronts in the muscle that will rupture and cause severe pyogranulomatous inflammation
115
Positive serology for H. canis indicates __
Exposure - not presence of organism
116
What is the best diagnostic test for H. americanum infection?
MUSCLE BIOPSY
117
What is treatment for H. americanum?
TMS + clindamycin + pyrimethamine OR Ponazuril **MUST FOLLOW BOTH protocols with decoquinate for 2 years (!!!) If you don't follow with decoquinate they will relapse after completing treatment due to asexual recycling of the organism
118
What is treatment for H. canis?
Imidocarb +/- doxycycline Give until you no longer see gamonts in blood smear
119
Is Hepatozoon zoonotic?
NO
120
What are the two main species of Leishmania of concern in veterinary patients and what form of disease does each cause?
Leishmania infantum - visceral Leishmania braziliensis - cutaneous
121
What is the vector for Leismania?
Female sandfly Phlebotomus - old world Lutzomyia - new world
122
Describe the life cycle of Leishmania
Amastigotes released in midgut of sandfly --> transform into promastigotes --> migrate to pharyngeal valve and are transferred during feeding --> invade macrophages, graulocytes, or get phagocytosed in host --> transform into amastigotes which can rupture out of cells and then infect new cells
123
What is the infectious form of Leishmania?
Metacyclic promastigotes
124
Glomerulonephritis and nephrotic syndrome can happen in end stage visceral disease why
Development of autoantibodies and circulating immune complexes
125
Immune complex formation is what type of hypersensitivity?
Type 3
126
What CBC changes might you see with Leishmania?
Mild to moderate normocytic, normochromic, non-regenerative anemia Mild thrombocytopenia in up to 50% of cases WBCs variable (pancytopenia to leukocytosis)
127
What chemistry findings might you see with Leishmania?
Hyperglobulinemia with hypoalbuminemia (>75% of dogs) - typically polyclonal Mild to moderate azotemia (16-38%)
128
How is Leishmania diagnosed?
Typically cytologically, but can do serology or PCR
129
How is Leishmania treated?
Meglumine antimoniate (or miltefosine) + Allopurinol
130
What is the MOA of meglumine
Inhibit protozoal enzymes and damage protozoal DNA
131
What is the MOA of allopurinol?
Interferes with protein synthesis by Leishmania
132
What is the MOA of miltefosine?
Activates proteases in Leishmania spp. and causes apoptotic death of the parasite
133
Trypanosomiasis is also known as
Chagas disease
134
What is the major condition caused by Trypanosoma cruzi
Myocarditis
135
What vector transmits Trypanosoma cruzi
Reduviid aka Kissing BUg Triatoma spp.
136
What is the infective form in the life cycle of Trypanosoma cruzi?
Trypomastigote
137
What is the vector for Bartonella in cats?
Fleas
138
What species of Bartonella is most common in cats
Bartonella henselae
139
Are cats usually clinical for Bartonella?
No - they're usually subclinical as they are the reservoir host
140
What species of Bartonella is most common in dogs?
B. vinsonii subsp. berkhoffii
141
What is the most common clinical manifestation of Bartonella in dogs?
Endocarditis Aortic valve >>> mitral valve
142
What is the test of choice for diagnosis of Bartonella?
PCR Enhanced with BAPGM prior to PCR (medium that enhances organism)
143
T/F: Azithromycin is the treatment of choice for Bartonella
False - no longer recommended due to rapid development of resistance
144
How is Bartonella usually treated
Fluoroquinolone + doxycycline Rifampin + doxycycline If endocarditis: treat initially with aminoglycoside
145
Is Bartonella zoonotic?
YES - Cat scratch fever
146
What tick transmits Lyme disease
Ixodies Ixodies scapularis on the east coast, Ixodies pacificus on the west coast
147
How long does a tick need to be attached to transmit Borrelia?
36-48h
148
Which outer surface protein of Borrelia helps it adhere to the tick midgut?
OspA
149
Which outer surface protein of Borrelia helps with transmission to the tick salivary gland?
OspC
150
Which outer surface protein of Borrelia helps it evade the host immune response?
VisE
151
Which outer surface protein of Borrelia is found in the chronic infection stage?
OspF
152
What are the two most common clinical manifestations of Borrelia in dogs?
Arthropathy Nephropathy
153
What causes Lyme nephropathy
Deposition of immune mediated complexes
154
UPC with Lyme nephritis is usually
>5
155
Which outer surface protein is typically a marker for Lyme vaccination?
OspA
156
What are the two forms of Anaplasma, what species are associated with each, and what cells do they infect?
Granulocytic - A phagocytophilum - invade granulocytes Thrombocytic - A platys - invade platelets
157
What tick species transmits A. phagocytophilum
Ixodes scapularis
158
What tick species transmits A. platys
Rhipicephalus sanguineous
159
Anaplasma phagocytophilum binds to what structure on the neutrophil surface?
P-selectin glycoprotein ligand-1 (PSGL-1) --> makes it hard for the neutrophil diapedesis out of the vessel
160
How long is the cycle of cyclical thrombocytopenia with A. platys?
10-14 days Over time the thrombocytopenia can change to more immune mediated
161
How is Anaplasma diagnosed?
Identification of morula within infected cells PCR - confirms active infections; healthy animals can be PCR positive Serology - Elisa (4dx) - recombinant MSp2/p44 protein; lack of quantification to document seroconversion - IFA acute and convalescent serology; IgG first detectable ~8d after exposure; cross reactivity between Anaplasma spp.
162
What are the two forms of Ehrlichia infection, what species are associated with each, and what cells do they infect?
Monocytic - E. canis and E. chaffeensis - monocytes Granulocytic - E. ewingii - granulocytes
163
What tick species carries E. canis and E. chaffeensis?
Rhipicephalus sanguineous (Brown dog tick)
164
What tick species carries E. ewingii?
Ambyloma americanum (Lone star tick)
165
What breed of dog is predisposed to E. canis
German shepherds
166
What is the hallmark change with monocytic ehrlichiosis?
Thrombocytopenia + hyperglobulinemia (which can be polyclonal or monoclonal)
167
What is the gold standard for diagnosis of ehrlichiosis?
IFA
168
What is the causative agent of Rocky Mountain Spotted Fever?
Rickettsia rickettsia
169
What species of tick carries Rickettsia?
Dermacentor
170
How long does a tick have to be attached to transmit RMSF through tick bite?
5-20h Remember this isn't the only way they can transmit - can be through ingestion of tick, wound contamination with tick feces, or secretion from tick coxial gland
171
What breeds are predisposed to RMSF?
GSD Springer spaniels - remember though they have phosphofructokinase (PFK) deficiency which causes fragility of RBCs
172
What changes might you see on histopath with RMSF?
Necrotizing vasculitis Perivascular polymorphonuclear and lymphoretircular cell infiltration