CML לוקמיה מיאלואידית כרונית Flashcards

(7 cards)

1
Q

איזה חלבון כימרי נפוץ בחולי לוקמיה בכללי
בפרט CML ובחולי?

A

bcl-abl
CML נמצא ב95% מהחולים שיש להם
חלבון מסוג טירוזין קינאז שגורם לאקטיבציה בלתי פוסקת של הקינאז, פרוליפרציה מסיבית והישרדות מוגברת של התאים.

How well did you know this?
1
Not at all
2
3
4
5
Perfectly
2
Q

CML מהם שלבי ההתפתחות של?

A

שלב כרוני- השלב העיקרי שנראה בקליניקה. בלי טיפול המהלך הטבעי הוא 3-5 שנים.
עד 10% בלאסטים בדם או בלשד העצם.
נראה חולשה, חוסר תיאבון, מלאות בטנית, הזעות לילה.
לויקטוציטוזיס משמעותי (100,000), תרומבוציטוזיס. אנמיה.
שלב מואץ- נמשך 12-18 חודשים.
בטווח של 10-19% בלאסטים. יותר באזופילים.
בי.סימפטומס, מוות מהיר ALL/AML שלב בלאסטי-
מעל 20% בלאסטים.

How well did you know this?
1
Not at all
2
3
4
5
Perfectly
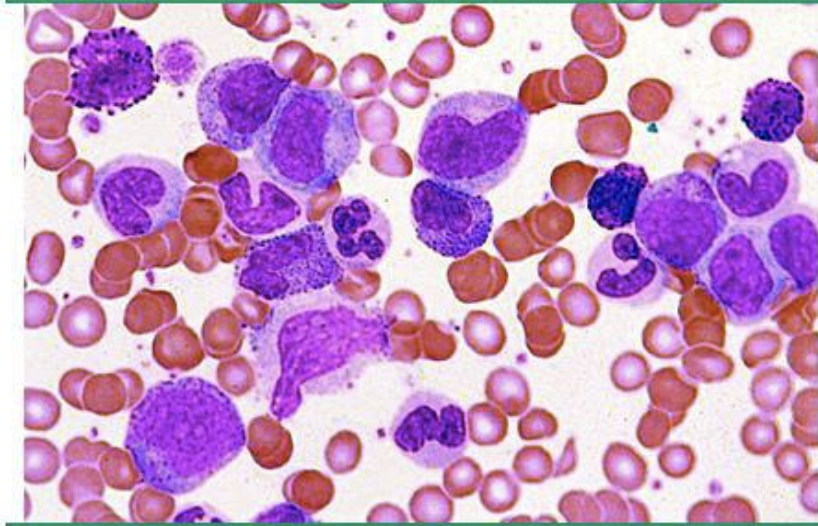
3
Q

CML בתמונה משטח דם של
מה המאפיינים החשובים?

A

ריבוי גרנולוציטים, באזופילים.

How well did you know this?
1
Not at all
2
3
4
5
Perfectly
4
Q

CML מהן השיטות לאבחנה ומעקב של?

A

PCR- מאפשר לעשות אבחנה ולכמת את המחלה. הכי מקובל
קריוטיפ הכי פחות רגיש.

How well did you know this?
1
Not at all
2
3
4
5
Perfectly
5
Q

CML מה הטיפול הנוכחי ב?

A
  1. השתלות הלוגנאיות- מקובל במי שטירוזין קינאז אינהיביטור לא עובד בהם, או שמגיעים למחלה מתקדמת משלב התחלתי.
  2. Imatinib/ gleevec- טירוזין קינאז אינהיביטור.
    תופעות לוואי נפוצות- ירידה בספירות, הפרעות אלקטרוליטריות, תפרחת, עייפות.
  3. אפשר גם דור מתקדם יותר של טירוזין קינאז אינהיביטור.
  4. אינטרפרון- לנשים בהריון.
How well did you know this?
1
Not at all
2
3
4
5
Perfectly
6
Q

TKI- tyrosin kinase inhibitors
באיזו מחלה משתמשים?
אילו תופעות לוואי יש לאיזו תרופה?

A

CML משתמשים ב
1. Imatinib- דור ראשון,
עושה בצקות- ברגליים ופריאורביטליות.
בגלל שיש לה תופעות לוואי יחסית קלות לאחרות מתחילים איתה ככל שיש יותר מחלות רקע למטופל.
2. Bosutinib- דור שני
3. Nilotinib- דור שני
תופעות לוואי וסקולריות וקרדיאליות.
4. Dasatinib- דור שני
עושה נוזל פלאורלי
5. Ponatinib- דור שלישי
תופעות לוואי וסקולריות וקרדיאליות.
שהיא מוטציה שכיחה שמתפתחת בתגובה לטיפול T315Iהיחידה שיעילה במוטציה

How well did you know this?
1
Not at all
2
3
4
5
Perfectly
7
Q

CML מה המטרה בטיפול ל?

A

להפסיק את הטיפול.
במי אפשר:
מטופלים שקיבלו טיפול 3-5 שנים, שהייתה להם תגובה מולקולרית עמוקה לפחות שנתיים ועברו ניטור קפדני.
bcr-abl בשנה הראשונה צריך לבדוק כל חודש

How well did you know this?
1
Not at all
2
3
4
5
Perfectly