HCV מהם הגנוטיפים הקיימים ל?
גנוטיפ 1 הוא השכיח בארץ עם 70% מהמקרים
גנוטיפ 3 הוא 20% מהמקרים
HCV מהם גורמי הסיכון ל?
בעיקר:
וגם:
דיאליזה, המופיליה, אלכוהוליסטים, משתמשי סמים, מושתלי איברים, צוות רפואי, העברה מאם לילוד, שרמוטות, בן זוג חולה,
HBV, HIV נשאי
אקוטי HCV באילו נסיבות בדכ נגלה?
מה יראו בדיקות הסרולוגיה?
בדכ לא מגלים כי זה לא סימפטומטי, יגלו על רקע הזרקה פעילה של סמים או פרצדורה רפואי.
בסרולוגיה
אנזימים יכולים להגיע עד אלפים ולרדת
HCV RNA יהיה חיובי ל PCR
יכולה להופיע צהבת/ חום/ חולשה/ עייפות
IgG מסוג anti-HCV מתפתח

כרוני HCV מה תהיה הסרולוגיה של?
בעיקר נוגדנים חיוביים ופיסיאר חיובי.
יש סקאלה רחבה שבה האנזימים יכולים להיות.

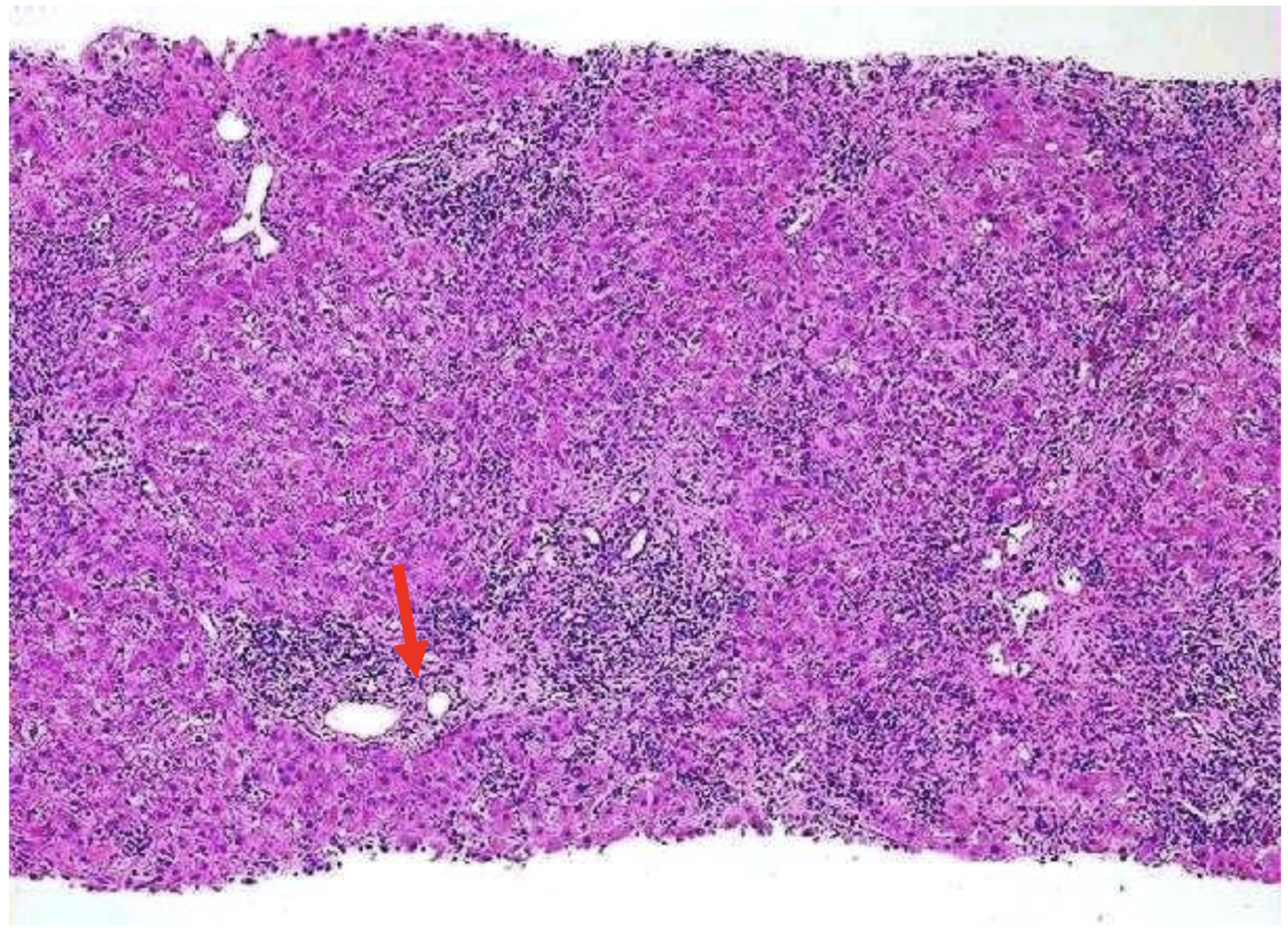
כרוני HCV מה נראה בביופסיה של?
interface hepatitis
דלקת קשה שפולשת לתוך הרקמה, לימפוציטים בין ההפטוציטים

כרוני HCV מה קובע את חומרת המחלה ב?
מה הדירוג השונה שפועלים לפיו?
מידת ההצטלקות

אילו מכשירים יש לקביעת פיברוזיס בכבד?
ALT, AST בחשבון גיל, מספר טסיות,
HCV מהם הביטויים האקסטרא הפטיים שיש ל?
עובר רפליקציה HCV באילו תאים?
למה זה יכול לגרום?
תאי כבד ולימפוציטים.
הקריוגלובולינמיה יכולה להיגרם בגלל לימפוציטים (בעיקר תאי בי) מאוקטבים שיוצרים קומפלקס אימוני, הקומפלקס שוקע בכלי דם ובכליה בטמפ שנמוכה מ37 מעלות.
המאפיינים הקליניים של קריוגלובולינמיה הם פורפורה וסקוליטית, חולשה, כאבי פרקים, נוירופתיה פריפרית, שינוי צבע בקצות האצבעות, גלומרולונפריטיס, נון הודג׳קין לימפומה, פוליארטריטיס. כל הנל יכולים להיות אפילו יותר קשים ממחלת הכבד.

לתסמונת המטבולית ומחלות קרדיווסקולריות HCV מה הקשר בין?
סינדרום המטבולי
יכול לגרום להחמרה בעמידות לאינסולין דרך השפעה על סיגנלים
מחלות קרדיווסקולריות
הוירוס יכול להצטבר בתוך קומפלקס ברובד הטרשתי והוא משפיע על מטבוליזם של שומנים
HCV מה המהלך הטבעי של?

HCV מהם הגורמים שמחמירים פיברוזיס ב?
אלכוהול, הדבקה בגיל מבוגר, זכרים, עודף משקל,
HIV ו EBV קו אינפקציה עם
HCV בהקשר של SVT מה המשמעות של?
איך מגיעים למצב זה?
SVR- sustained virological response
סילוק של הוירוס לתמיד, מוכח באמצעות בדיקת פי.סי.אר שלילית למשך 12 שבועות לאחר תום הטיפול.
במידה והטיפול מצליח נראה העלמות של הסימפטומים, שיפור באיכות החיים, שיפוז פיברוזיס בכבד, הפחתה בהדבקה, ירידה בסיבוכים, ירידה בהפטוצלולר קרצינומה.
בתמונה הדגמה של הרגרסיה של הפיברוזיס

HCV מהו הטיפול התרופתי ל?
הוירוס מייצר 3 חלבונים שמהווים טרגט טיפולי




