What, generally, do the neural crest, neural tube, and the lumen of the neural tube give rise to?
neural crest = PNS
Neural tube = CNS
Neural tube lumen = Ventricles
What is anencephaly? What are the characteristsics?
Failure of closure of the neural tube at the cranial end
Absence of the skull and brain with a “frog-like” appearance
What is spina bifida occulta? what is a typical finding on the skin over the development abnormality
failure of closure of the vertebral arch
dimple or patch of hair
What is meningocele?
meningo- = meninges
-cele = hernia
hernaition of the meninges through the unformed vertebral arch
What is meningomyeloocele?
meningo- = meninges
myele- = of the spinal cord
-cele = hernia
hernaition of the meninges and spinal cord through the unformed vertebral arch
What is cerebral aqueduct stenosis? Which ventricles will enlarge as a result? Will the baby’s head be enlarged?
congenital stenosis of the canal that connects the 3rd and 4th ventricles
lateral and 3rd ventricles
YES! the baby’s skull has not completely fused together, so it will become enlarged
What is Dandy-Walker malformation? What does it cause?
Congenital failure of the cerebellar vermis to develop. The vermis is what separates/connects the two sides of the cerebellum.
Dilation of the 4th ventricle (no vermis, 4th ventricle can expand)

Describe the differences of Chiari Type I, II, and III malformations.
Chiari type I is congenital extension of the cerebellar tonsils through the formamen magnum (by 5mm or more) which can cause obstruction of CSF flow -> hydrocephalus
Chiari type II is the same thing as type I plus there is a myelomeningocele
Chiari type III is herniation of the cerebellar tonsils plus a myelomeningocele at the foramen magnum; they are associated with anencephaly

What are the 3 types of neuronal migration disorders?
Holoprosencephaly
Heterotopias
Lissencephaly
After the cranial neural tube closes at approximately day _____, three swellings develop. These are called…?
Day 25

What intermediate structures do the prosencephalon give rise to? What adult structures do these ultimately become?
Prosencephalon -> telencephalon and diencephalon
Telencephalon -> cerebral hemispheres and lateral ventricles
Diencephalon -> thalamus, hypothalamus, and third ventricle
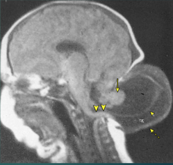
What is your Dx?

Chiari type III malformation (myelomeningocele at the foramen magnum)
What is your Dx?

Lissencephaly (neuronal migration disorder that leads to an absence of sulci)
What is holoprosencephaly?
Abnormal cleavage of the prosencephalon -> telencephalon and diencephalon; results in inadequate forebrain development. Usually fatal.
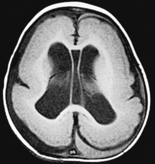
What is your Dx?

Heterotopia (gray matter where there should be white matter - neuronal migration disorder)