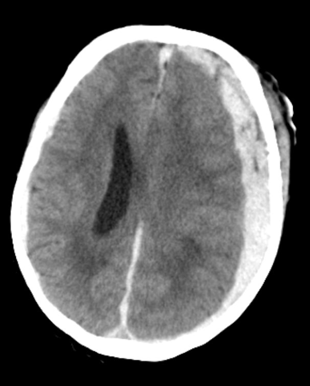
What is this? Where is the blood accumulating?

epidural hematoma
blood accumulates between the skull and dura mater
What vessel is most commonly torn in epidural hematomas?
middle meningeal artery
Can subdural hematoma blood cross skull suture line?
no
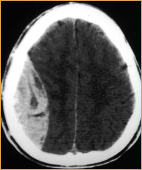
What is this? Where does the blood accumulate?

subdural hematoma
blood accumulates between the dura mater and the arachnoid mater
What vessel is torn in subdural hematoma?
bridging veins
What is this? Where is the blood accumulated?

subarachnoid hemorrhage
subarachnoid space
What vessel(s) is/are the most likely cause of a subarachnoid hemorrhage?
circle of willis vessels
What is this?

intracerebral hemorrhage
What is the leading cause of intracerebral hemorrhage?
hypertension
What is the germinal matrix?
A highly cellular and highly vascularized region in the brain from which cells migrate out during brain development. The germinal matrix is the source of both neurons and glial cells and is most active between 8 and 28 weeks gestation.

What is a germinal matrix hemorrhage?
The germinal matrix is the site of proliferating neuronal and glial precursors in the developing brain, which is located above the caudate nucleus, in the floor of the lateral ventricle, and caudothalamic groove. The germinal matrix contains a rich network of fragile thin-walled blood vessels. Hence the microcirculation in this particular area is extremely sensitive to hypoxia and changes in perfusion pressure. It is most frequent before 35 weeks gestation and is typically seen in very low birth-weight (<1500g) premature infants, because they lack the ability for auto regulation of cerebral blood flow. Consequently, increased arterial blood pressure in these blood vessels leads to rupture and hemorrhage into germinal matrix.
What is this?

germinal matrix hemorrhage
(you can tell it’s a baby brain because it is smooth)
What are the two types of strokes?
ischemic stroke
hemorrhagic stroke
Describe the features (macro and micro) of infarcts
