COD 1 Flashcards

(76 cards)

1
Q

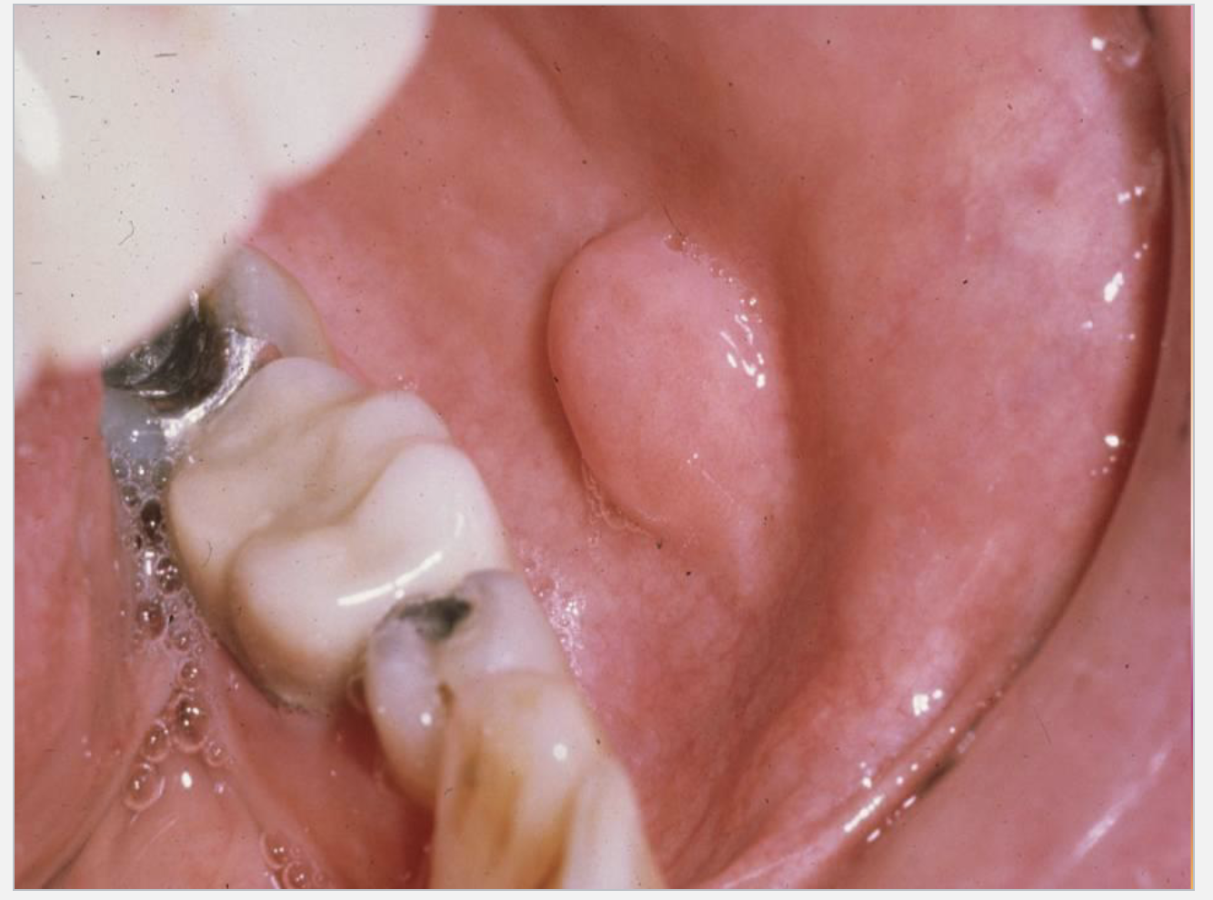
• Benign, reactive bony protuberances arising

from the cortical plate

A

Tori and Exostoses

How well did you know this?
1
Not at all
2
3
4
5
Perfectly
2
Q
  • More common than mandibular tori
  • 25% of US population
  • Females (2:1)
  • Asians and Inuits (Eskimo)
  • No treatment
A

Palatal Torus

How well did you know this?
1
Not at all
2
3
4
5
Perfectly
3
Q

Are palatal or mandibular tori more common?

A

Palatal

How well did you know this?
1
Not at all
2
3
4
5
Perfectly
4
Q
  • Less common than palatal tori
  • 10% of US population
  • Most are bilateral
  • Single or multiple nodules
  • Slight male gender predominance
  • Asians and Inuits
  • No treatment
A

Mandibular torus

How well did you know this?
1
Not at all
2
3
4
5
Perfectly
5
Q
  • Ectopic sebaceous glands

* Development stimulated at puberty

A

Fordyce Granules

How well did you know this?
1
Not at all
2
3
4
5
Perfectly
6
Q

What’s this?

A

Oral lymphoepithelial cyst

How well did you know this?
1
Not at all
2
3
4
5
Perfectly
7
Q

What’s this?

A

Foliate papillae and lingual tonsils

How well did you know this?
1
Not at all
2
3
4
5
Perfectly
8
Q

What’s this?

A

Fissured tongue

How well did you know this?
1
Not at all
2
3
4
5
Perfectly
9
Q

What’s this?

A

Fordyce Granules

How well did you know this?
1
Not at all
2
3
4
5
Perfectly
10
Q

What’s this?

A

Traumatic ulcer

How well did you know this?
1
Not at all
2
3
4
5
Perfectly
11
Q

What’s this?

A

Traumatic ulcer

How well did you know this?
1
Not at all
2
3
4
5
Perfectly
12
Q

What’s this?

A

Traumatic ulcer

How well did you know this?
1
Not at all
2
3
4
5
Perfectly
13
Q

What’s this?

A

Traumatic ulcer

How well did you know this?
1
Not at all
2
3
4
5
Perfectly
14
Q

What’s this?

A

Traumatic ulcer

How well did you know this?
1
Not at all
2
3
4
5
Perfectly
15
Q

What’s this?

A

Mucocele

How well did you know this?
1
Not at all
2
3
4
5
Perfectly
16
Q

What’s this?

A

Ranula (sublingual gland)/Mucocele

How well did you know this?
1
Not at all
2
3
4
5
Perfectly
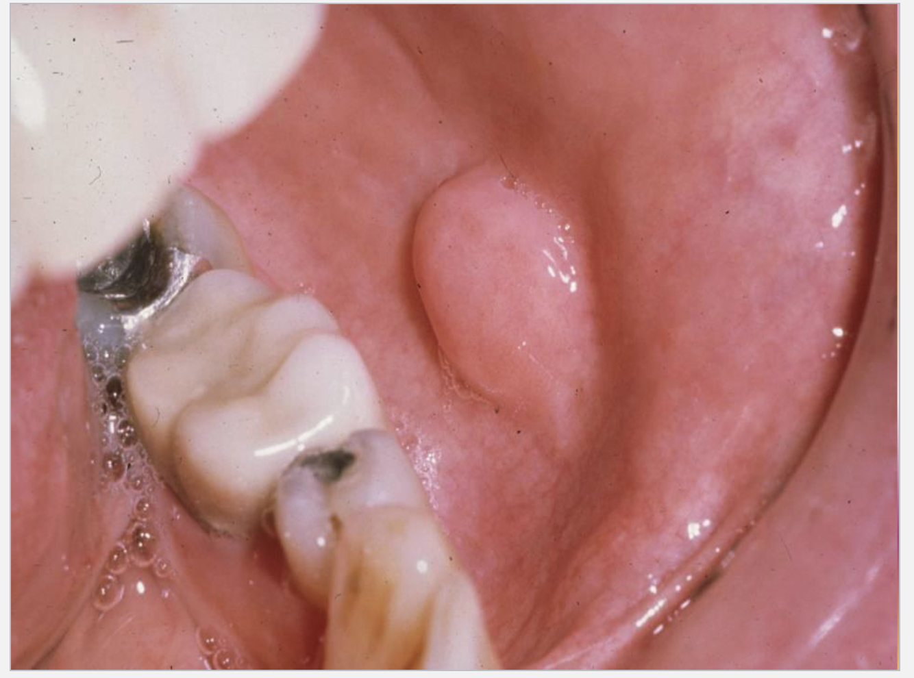
17
Q

• Most common “tumor” of the oral cavity
• Inflammatory fibrous hyperplasia
• Not a true neoplasm of fibroblasts - a
reactive lesion rather than a true neoplasm

A

Traumatic (Irritation) Fibroma

How well did you know this?
1
Not at all
2
3
4
5
Perfectly
18
Q

What’s this?

A

Traumatic (irritation) fibroma

How well did you know this?
1
Not at all
2
3
4
5
Perfectly
19
Q

What’s this?

A

Traumatic (irritation) fibroma

How well did you know this?
1
Not at all
2
3
4
5
Perfectly
20
Q

What’s this?

A

Traumatic (irritation) fibroma

How well did you know this?
1
Not at all
2
3
4
5
Perfectly
21
Q

• Distinct from irritation fibroma –may not be
associated with an identifiable source of
chronic irritation and occurs at younger age
• Often exhibits a papillary surface and may be
clinically mistaken for papilloma

A

Giant Cell Fibroma

How well did you know this?
1
Not at all
2
3
4
5
Perfectly
22
Q

What’s this?

A

Giant Cell Fibroma

How well did you know this?
1
Not at all
2
3
4
5
Perfectly
23
Q

What’s this?

A

Giant Cell Fibroma

How well did you know this?
1
Not at all
2
3
4
5
Perfectly
24
Q

What’s this?

A

Giant Cell Fibroma

How well did you know this?
1
Not at all
2
3
4
5
Perfectly
25
What's this?
Giant Cell Fibroma
26
``` • Synonyms – Inflammatory fibrous hyperplasia – Denture injury tumor – Fibrous epulis – Denture epulis • Redundant fibrous tissue • Associated with denture flange ```
Epulis Fissuratum
27
What's this?
Epulis Fissuratum
28
What's this?
Epulis Fissuratum
29
• Denture papillomatosis • Poor oral hygiene combined with ill-fitting prosthesis • Surgical excision and correct prosthesis
Inflammatory Papillary Hyperplasia
30
What's this?
Inflammatory Papillary Hyperplasia
31
What's this?
Inflammatory Papillary Hyperplasia
32
What's this?
Inflammatory Papillary Hyperplasia
33
``` • Enlargement begins in the interdental papillae and forms pseudopockets • Non-specific clinical appearance • Multiple drugs are synergistic • ```
Medication Associated | Gingival Enlargement
34
What are the 3 drugs that cause Medication associated with gingival enlargement?
Dilantin Procardia Cyclosporin
35
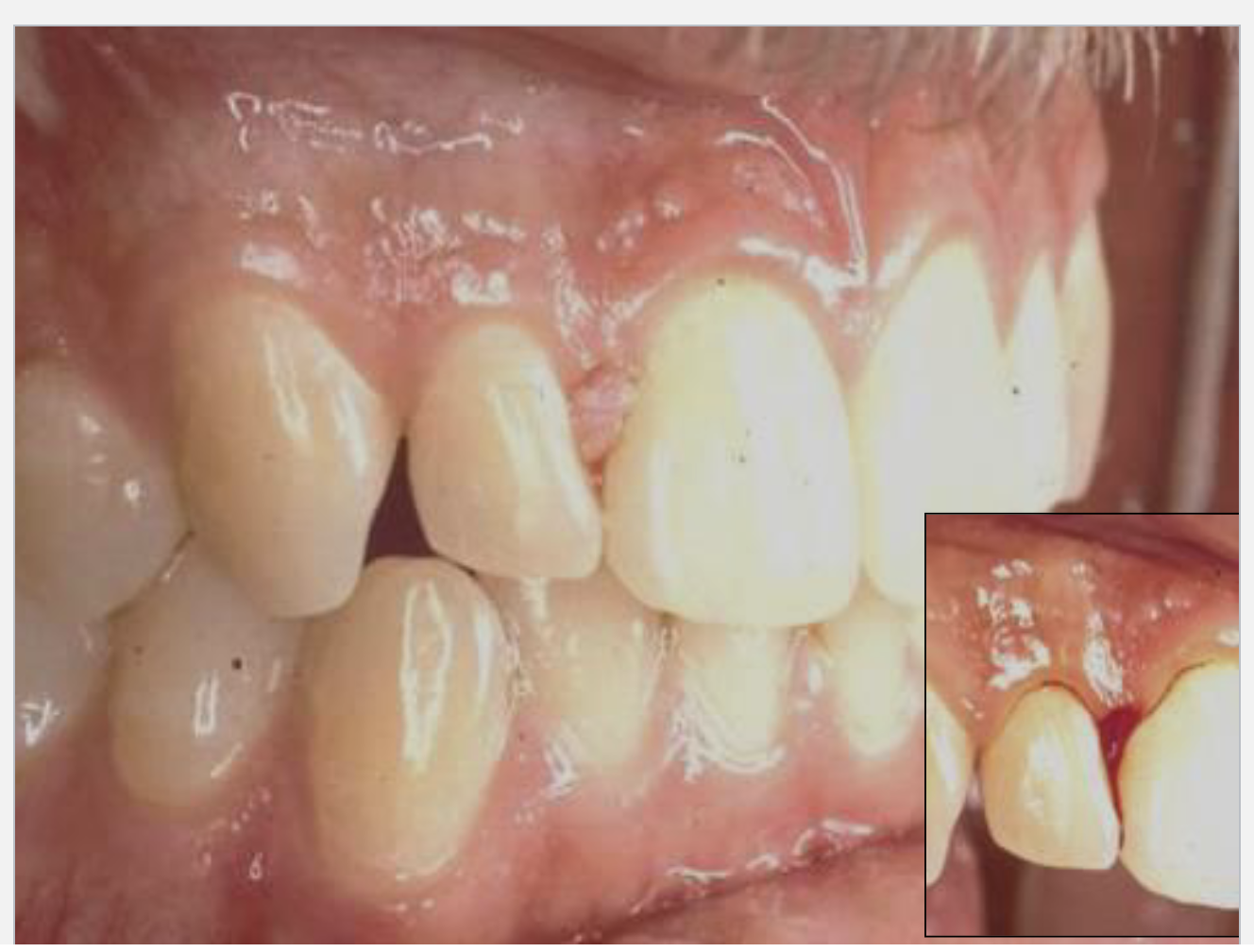
* A reactive vascular lesion - essentially a capillary hemangioma * Definite female predilection - vascular effects of hormones * Name is a misnomer. It is unrelated to infection. It is not “pyogenic” and is not a true granuloma * May exhibit rapid growth * Gingiva most common site, but not limited to gingiva. It occurs throughout the body on any skin or mucosal surface
Pyogenic Granuloma
36
``` Clinical Variants of ______ • Pyogenic granuloma • Granuloma gravidarum – Pregnancy tumor • Epulis granulomatosum • Pulp polyp ```
Pyogenic Granuloma
37
Pregnancy Tumor • A clinical variant of pyogenic granuloma • May involute without treatment post partum and undergo fibrous maturation
Granuloma Gravidarum:
38
What's this?
MEDICATION ASSOCIATED | GINGIVAL ENLARGEMENT
39
What's this?
PYOGENIC GRANULOMA
40
What's this?
PYOGENIC GRANULOMA
41
What's this?
PYOGENIC GRANULOMA
42
What's this?
PYOGENIC GRANULOMA
43
What's this?
PYOGENIC GRANULOMA
44
What's this?
PYOGENIC GRANULOMA
45
What's this?
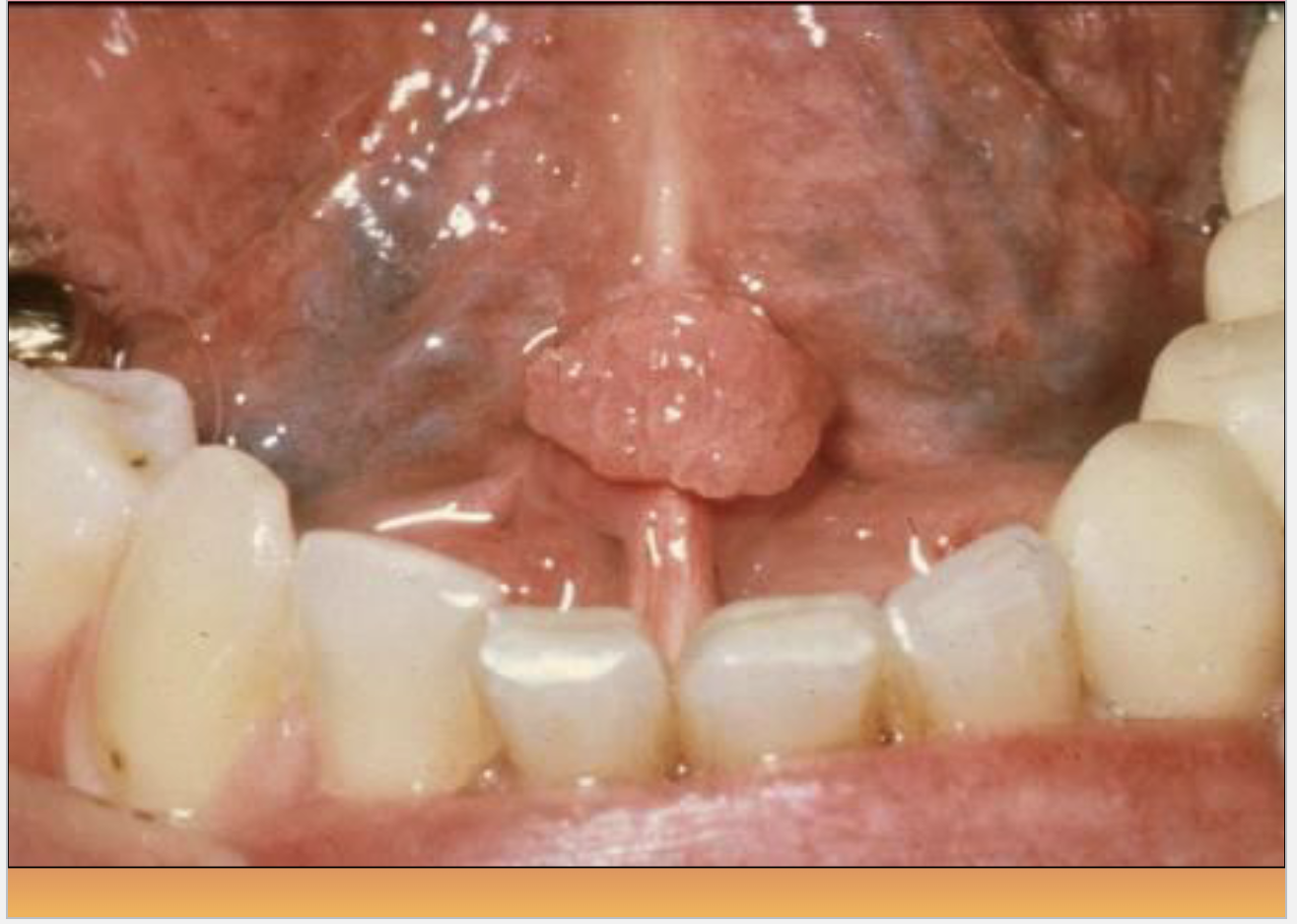
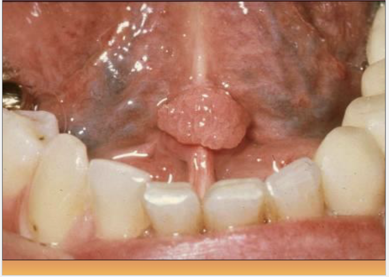
Peripheral Ossifying Fibroma
46
What's this?
Peripheral Ossifying Fibroma
47
What's this?
Peripheral Ossifying Fibroma
48
What's this?
Peripheral Ossifying Fibroma
49
What's this?
PERIPHERAL GIANT CELL GRANULOMA
50
What's this?
PERIPHERAL GIANT CELL GRANULOMA
51
What's this?
PERIPHERAL GIANT CELL GRANULOMA
52
What's this?
PERIPHERAL GIANT CELL GRANULOMA
53
* Squamous papilloma * Verruca vulgaris * Condyloma acuminatum
Human Papilloma Virus
54
* Solitary lesion in adult * Pedunculated, exophytic papule * Numerous surface projections
Squamous Papilloma
55
* Skin of hands in children * Multiple, clustered lesions common * White, verrucoid surface * Autoinoculation of oral mucosa
Verruca Vulgaris
56
* Venereal wart - sexually-transmitted disease * Multiple, clustered lesions common * Sessile, pink exophytic mass, larger than squamous papilloma * Low risk sub-types 6 and 11 frequently found (vaccine) * High-risk sub-types 16 and 18 may also be present
Condyloma Acuminatum
57
What's this?
Squamous Papilloma
58
What's this?
Squamous Papilloma
59
What's this?
Squamous Papilloma
60
What's this?
Verruca Vulgaris
61
What's this?
Verruca Vulgaris
62
• Initial exposure to virus in an individual without immunity • Generally occurs at young age after physical contact with infected individual • Mostly subclinical disease - 80% of US population has antibodies to HSV
Primary Herpetic Gingivostomatitis
63
• Flu-like illness with fever, malaise, arthralgia, headache • Cervical lymphadenopathy
Primary Herpetic Gingivostomatitis
64
What's this?
Primary Herpetic Gingivostomatitis
65
What's this?
Primary Herpetic Gingivostomatitis
66
What's this?
Primary Herpetic Gingivostomatitis
67
What's this?
Primary Herpetic Gingivostomatitis
68
What's this?
Primary Herpetic Gingivostomatitis
69
What's this?
Primary Herpetic Gingivostomatitis
70
What's this?
Primary Herpetic Gingivostomatitis
71
What's this?
SECONDARY HERPES SIMPLEX INFECTION
72
What's this?
SECONDARY HERPES SIMPLEX INFECTION
73
What's this?
SECONDARY HERPES SIMPLEX INFECTION
74
What's this?
SECONDARY HERPES SIMPLEX INFECTION
75
What's this?
SECONDARY HERPES SIMPLEX INFECTION
76
What's this?
SECONDARY HERPES SIMPLEX INFECTION