COD 3 Flashcards

(43 cards)

1
Q

What’s this?

A

Pseudomembranous candidiasis

How well did you know this?
1
Not at all
2
3
4
5
Perfectly
2
Q

What’s this?

A

Pseudomembranous candidiasis

How well did you know this?
1
Not at all
2
3
4
5
Perfectly
3
Q

Does pseudomembranous or hyperplastic candidiasis wipe off?

A

Psuedomembranous

How well did you know this?
1
Not at all
2
3
4
5
Perfectly
4
Q

What’s this?

A

Angular chelitis

How well did you know this?
1
Not at all
2
3
4
5
Perfectly
5
Q

What’s this?

A

Hyperplastic candidiasis

How well did you know this?
1
Not at all
2
3
4
5
Perfectly
6
Q

What’s this?

A

Atrophic/Erythematous candidiasis

How well did you know this?
1
Not at all
2
3
4
5
Perfectly
7
Q

What’s this?

A

Central papillary atrophy

Median rhomboid glossitis

How well did you know this?
1
Not at all
2
3
4
5
Perfectly
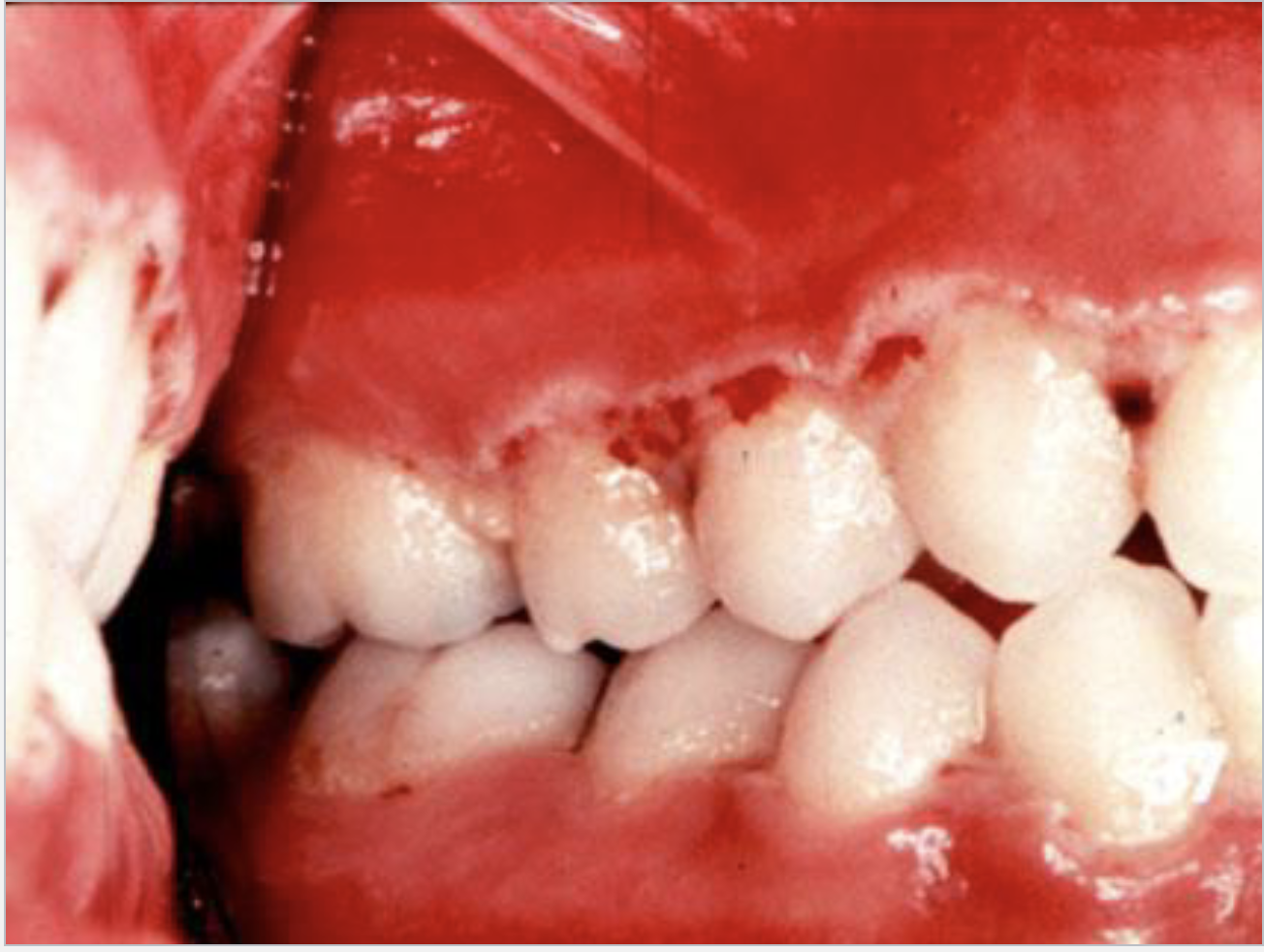
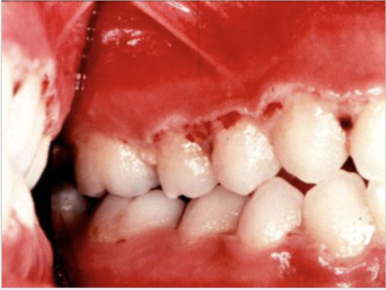
8
Q

What’s this?

A

NUG

-punched out interdental papilla

How well did you know this?
1
Not at all
2
3
4
5
Perfectly
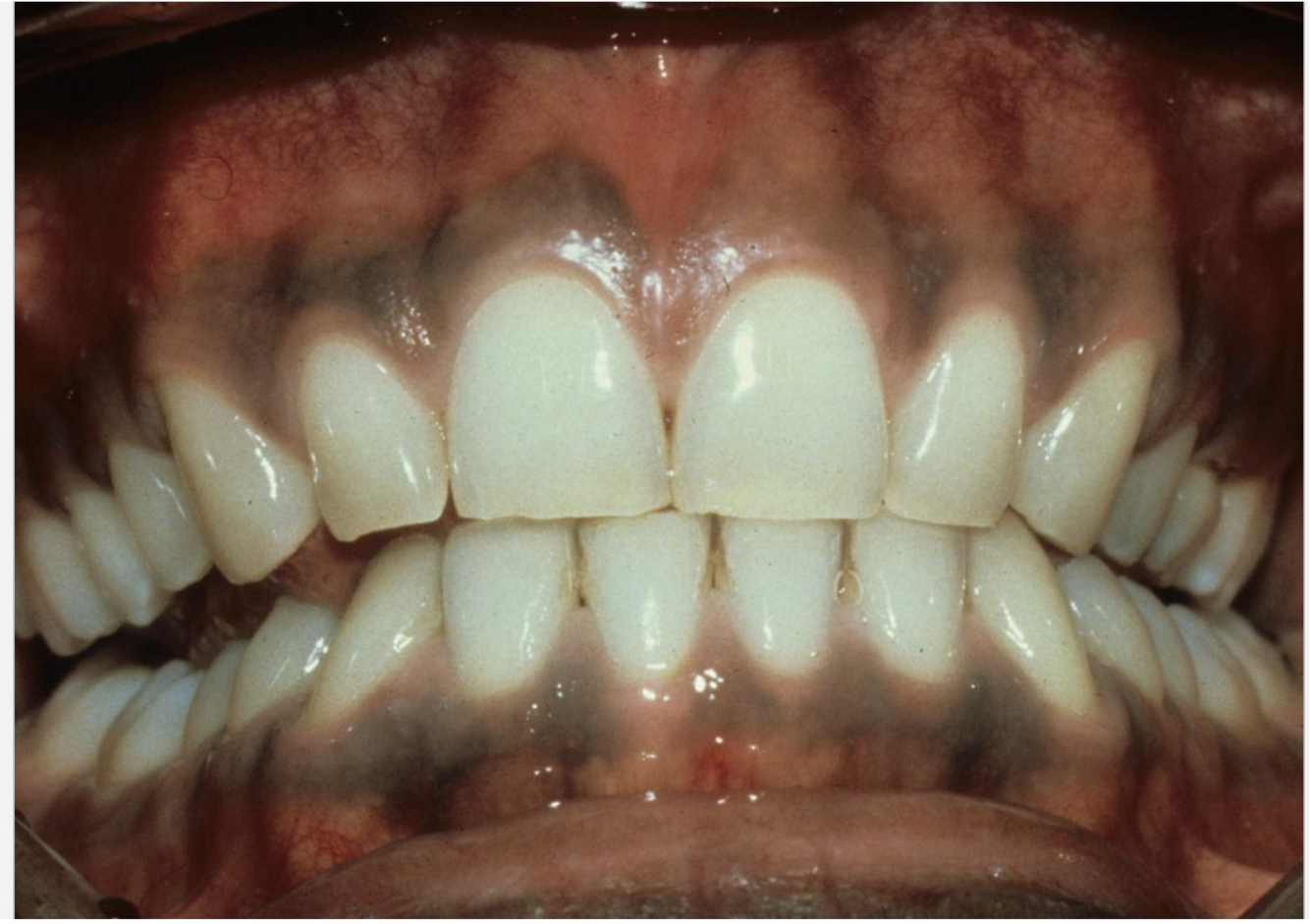
9
Q

What’s this?

A

Med- induced gingivitis

How well did you know this?
1
Not at all
2
3
4
5
Perfectly
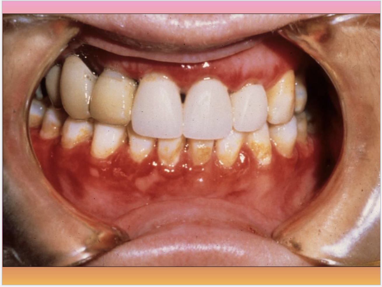
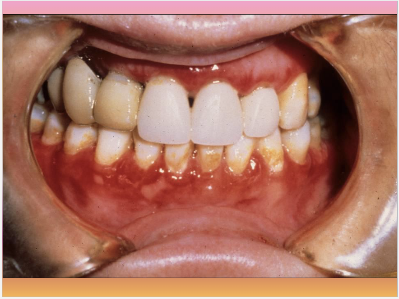
10
Q

What’s this?

A

Desquamative gingivitis

How well did you know this?
1
Not at all
2
3
4
5
Perfectly
11
Q
\_\_\_\_\_\_\_\_\_ as a Manifestation of 
Systemic Disease
• Diabetes mellitus
• Human Immunodeficiency Virus infection
• Decreased numbers of leukocytes
– Neutropenia
• Abnormal function of leukocytes
– Leukocyte dysfunction syndromes
• Papillon-Lefevre Syndrome
A

Periodontitis

How well did you know this?
1
Not at all
2
3
4
5
Perfectly
12
Q

Inflammation of soft tissue covering partially erupted tooth

A

Pericoronitis

How well did you know this?
1
Not at all
2
3
4
5
Perfectly
13
Q

What is this?

A

Pericoronitis

How well did you know this?
1
Not at all
2
3
4
5
Perfectly
14
Q
• Cause unknown
– Hypersensitivity to environmental factor ?
• Common at tip and lateral border
• Red 
– Multiple erythematous zones
– Atrophy of filliform papillae
• White
• Elevated, yellow-white, serpiginous border
A

Geographic Tongue

How well did you know this?
1
Not at all
2
3
4
5
Perfectly
15
Q

What’s this?

A

Geographic tongue

How well did you know this?
1
Not at all
2
3
4
5
Perfectly
16
Q

What’s this

A

Geographic Tongue

How well did you know this?
1
Not at all
2
3
4
5
Perfectly
17
Q

What’s this

A

Geographic Tongue

How well did you know this?
1
Not at all
2
3
4
5
Perfectly
18
Q

What’s this?

A

Geographic Tongue

19
Q
Histopathology of \_\_\_\_\_\_\_:
• Psoriasiform mucositis
–Resembles psoriasis
• Exocytosis of neutrophils into epithelium
• Munro microabscesses
A

Geographic Tongue

20
Q

What’s this?

A

Physiologic pigmentation

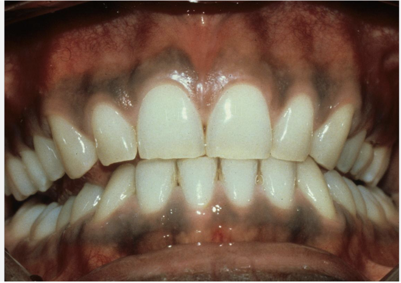
21
Q

What’s this?

A

Physiologic pigmentation

22
Q
  • Focal increase in melanin
  • Normal number of melanocytes
  • Lower lip vermillion most common
A

Oral Melanotic Macule

23
Q

What’s this?

A

Oral Melanotic Macule

24
Q

What’s this?

A

Oral Melanotic Macule

25
What's this?
Oral Melanotic Macule
26
``` • Elongated filliform papillae • Exogenous pigmentation may impart a brown or black appearance • Various associated factors –Heavy smoking –Antibiotic therapy ```
Hairy Tongue
27
What's this?
Hairy Tongue
28
What's this?
Hairy Tongue
29
• A white patch or plaque that can’t be characterized clinically or pathologically as any other disease.
Leukoplakia
30
What's this?
Leukoplakia
31
What's this?
Leukoplakia
32
• A red patch or plaque that can’t be characterized clinically or pathologically as any other disease.
Erythroplakia
33
What's this?
Erythroplakia
34
What's this?
Erythroplakia
35
Blurring in border of lips usually due to sun damage
ACTINIC CHEILITIS
36
What's this?
ACTINIC CHEILITIS
37
What's this?
ACTINIC CHEILITIS
38
• Bilateral asymptomatic white lesions of posterior buccal mucosa (Wickham striae) • Also papules and plaques
Reticular Lichen Planus
39
What's this?
Reticular Lichen Planus
40
What's this?
Reticular Lichen Planus
41
What's this?
EROSIVE LICHEN PLANUS
42
What's this?
EROSIVE LICHEN PLANUS
43
What's this?
EROSIVE LICHEN PLANUS