Coloration Flashcards

(41 cards)

1
Q

Coloration de base en histologie

A

H & E
Hématoxilyne-Éosine

How well did you know this?
1
Not at all
2
3
4
5
Perfectly
2
Q

De quoi est composé le H&E

A

Hématoxyline
Éosine

How well did you know this?
1
Not at all
2
3
4
5
Perfectly
3
Q

Qu’est-ce que l’hématoxyline?

A

Colorant basique qui a une affinité cellulaires chargés négativement (ou acides)

How well did you know this?
1
Not at all
2
3
4
5
Perfectly
4
Q

Que colore l’hématoxyline?

A

Les noyaux (acides nucléiques) –> violet / bleu

How well did you know this?
1
Not at all
2
3
4
5
Perfectly
5
Q

Qu’est-ce que l’étosine?

A

Colorant acide qui a une affinité pour les éléments cellulaires chargés positivement (ou basiques).

How well did you know this?
1
Not at all
2
3
4
5
Perfectly
6
Q

Que colore l’éosine?

A

Le cytoplasme et les autres éléments cellulaires basiques –> rose/rouge

How well did you know this?
1
Not at all
2
3
4
5
Perfectly
7
Q

Qu’est-ce que la coloration HES?

A

Hématoxyline - Éosine - Safran

How well did you know this?
1
Not at all
2
3
4
5
Perfectly
8
Q

Qu’est-ce que le safran?

A

Coloration acide qui lie les structures basiques du collagène

How well did you know this?
1
Not at all
2
3
4
5
Perfectly
9
Q

Exemple de structure comportant du collagène?

A

Matrice extracellulaire

How well did you know this?
1
Not at all
2
3
4
5
Perfectly
10
Q

Qu’est-ce que ça signifie quand il y a du blanc sur une lame?

A

C’est optiquement vide (lumière ou lipides dissous)

How well did you know this?
1
Not at all
2
3
4
5
Perfectly
11
Q

La coloration HES est __________.

A

Une coloration de routine.

How well did you know this?
1
Not at all
2
3
4
5
Perfectly
12
Q

Particularité du Triangle de Masson (bleu)?

A

Bleu d’aniline

How well did you know this?
1
Not at all
2
3
4
5
Perfectly
13
Q

Qu’est-ce que le bleu d’aniline?

A

Colorant acide qui lie les structures basiques du collagène et du mucus (les rend bleus)

How well did you know this?
1
Not at all
2
3
4
5
Perfectly
14
Q

La coloration Trichrome de Masson _____

A

Est une coloration spéciale

How well did you know this?
1
Not at all
2
3
4
5
Perfectly
15
Q

Les artefacts les plus fréquents?

A

-Globules rouges
-Espacement vide
-Plis
-Bulles
-Déchirures
-Adipocytes vides
-Dépôts
-Stries

How well did you know this?
1
Not at all
2
3
4
5
Perfectly
16
Q

Les globules rouges sont un problème de ________

A

Prélèvement (saignement)

How well did you know this?
1
Not at all
2
3
4
5
Perfectly
17
Q

L’espacement vide est un problème de _______

A

Fixation (rétrécissement), circulation (rétrécissement), bain d’étalement (expansion)

18
Q

Les plis sont des problèmes de _______

A

-Coupe au microtome (forme circulaire du tissu)
-Bain d’étalement (température trop basse)

19
Q

Les bulles sont un problème de ______

A

Montage de la lamelle (bulles dans le milieu de montage)

20
Q

Les déchirures sont un problème de ______

A

-Coupe au microtome (couteau)
-Bain d’étalement (température trop élevée)

21
Q

Les adipocytes vides sont un problème de _______

A

Circulation (dissolution des lipides)

22
Q

Les dépôts sont des problèmes de ______

A

-Bain d’étalement (saletés)
-Coloration (précipités)

23
Q

Les stries sont des problèmes de _____

A

Coupe au microtome (couteau usé / particule dure dans le tissu)

24
Q

Quelles sont les incidences de coupe?

A

-Transversale
-Longitudinale
-Oblique

25
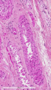
Type de coloration?
Trichrome de Mason (bleu)
26
Type de coloration?
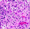
HES (Hématoxyline-Éosine-Safran)
27
Type de coloration?
H&E (Hématoxyline-Éosine)
28
Incidence de coupe?
Transversale
29
Incidence de coupe?
Longitudinale
30
Incidence de coupe?
Oblique
31
Artefact en 1?
Globules rouges
32
Artefact en 2?
Espacement vide
33
Artefact en 3?
Plis
34
Artefact en 4?
Bulles
35
Artefact en 5?
Déchirure
36
Artefact en 6?
Adipocytes vides
37
Artefact en 1?
Strie
38
Artefact en 2?
Espacement vide
39
Artefact en 3?
Dépôts
40
Artefact en 4?
Déchirure
41
Artefact en 5?
Plis