TP3b - Système immunitaire Flashcards

(65 cards)

1
Q

Parties du thymus?

A

Cortex
Médullaire (corpuscules de Hassal)

How well did you know this?
1
Not at all
2
3
4
5
Perfectly
2
Q

Parties d’un ganglion lymphatique?

A

Cortex (follicules)
Médullaire (sinus et cordons)

How well did you know this?
1
Not at all
2
3
4
5
Perfectly
3
Q

Parties de la rate?

A

Pulpe rouge
Pulpe blanche

How well did you know this?
1
Not at all
2
3
4
5
Perfectly
4
Q

Technique pour le système immunitaire?

A

Immunofluorescence

How well did you know this?
1
Not at all
2
3
4
5
Perfectly
5
Q

Coloration?

A

HES

How well did you know this?
1
Not at all
2
3
4
5
Perfectly
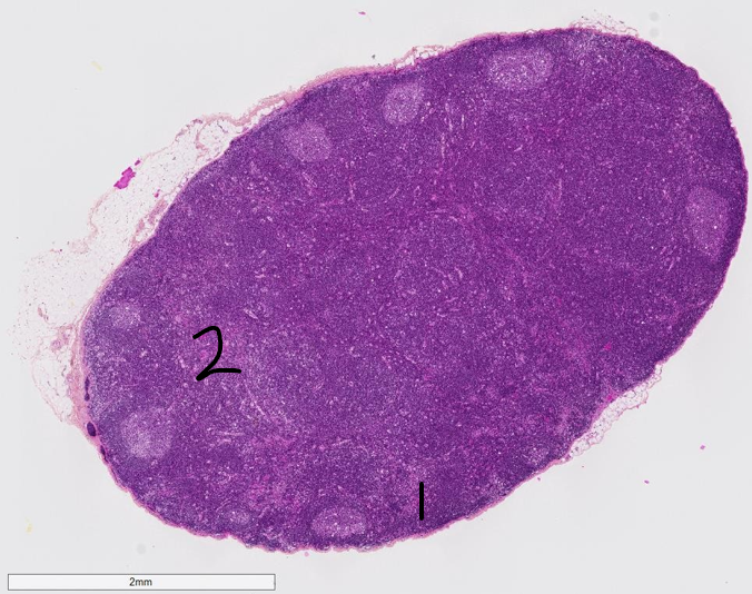
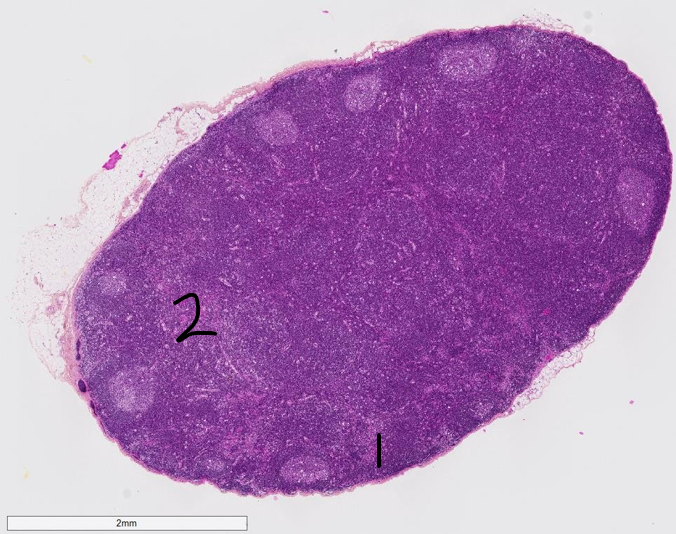
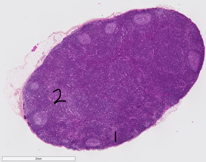
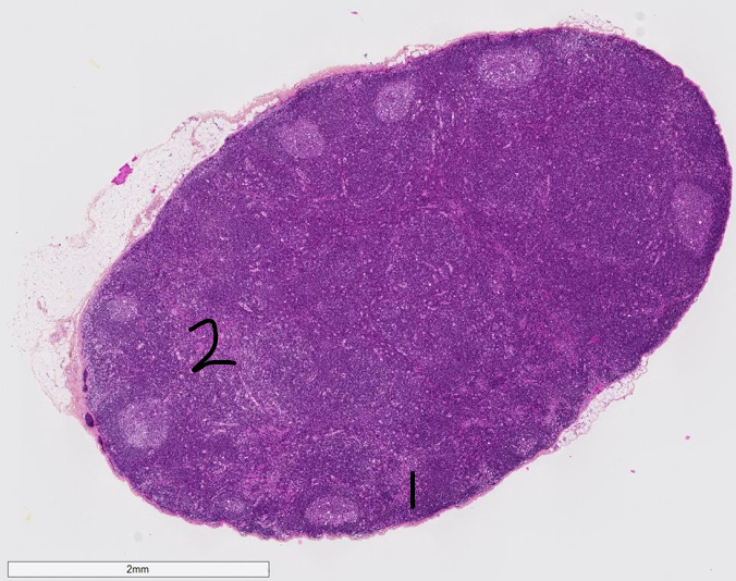
6
Q

Organe?

A

Ganglion lymphatique

How well did you know this?
1
Not at all
2
3
4
5
Perfectly
7
Q

En 1?

A

Cortex

How well did you know this?
1
Not at all
2
3
4
5
Perfectly
8
Q

En 2?

A

Médullaire

How well did you know this?
1
Not at all
2
3
4
5
Perfectly
9
Q

Coloration?

A

HES

How well did you know this?
1
Not at all
2
3
4
5
Perfectly
10
Q

Organe?

A

Ganglion lymphatique (cortex)

How well did you know this?
1
Not at all
2
3
4
5
Perfectly
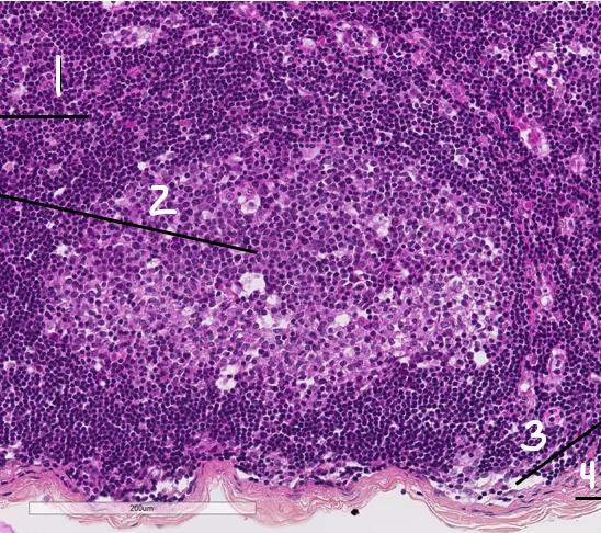
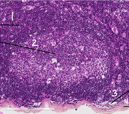
11
Q

En 1 et 2?

A

Follicule lymphoïde

How well did you know this?
1
Not at all
2
3
4
5
Perfectly
12
Q

En 1?

A

Follicule lymphoïde - manteau (foncé)

How well did you know this?
1
Not at all
2
3
4
5
Perfectly
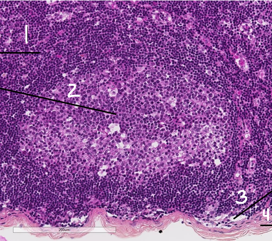
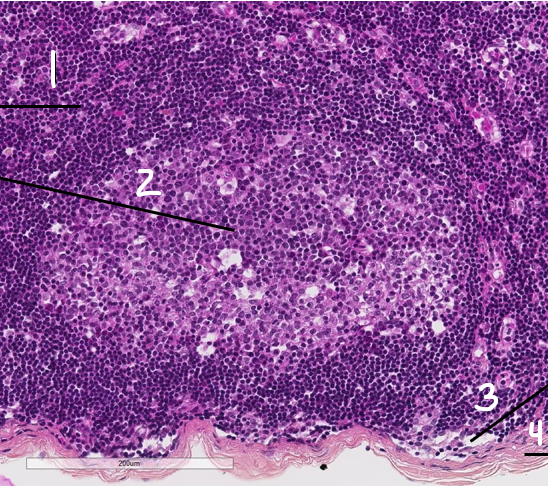
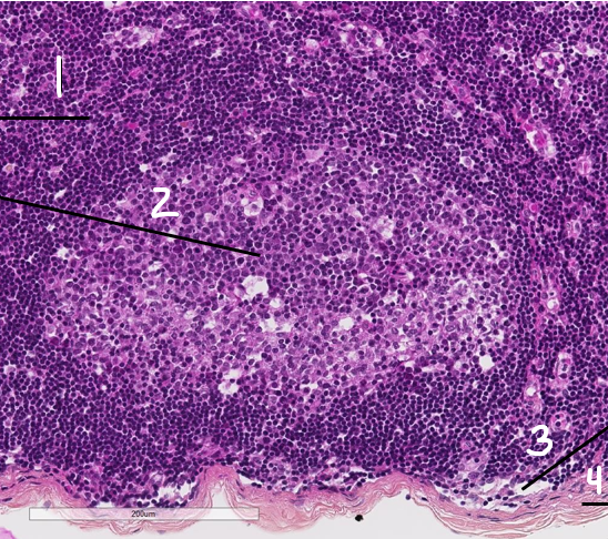
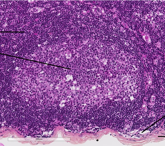
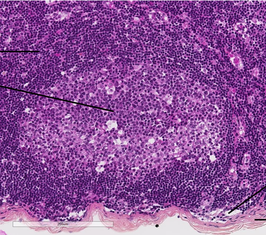
13
Q

En 2?

A

Centre germinatif (clair)

How well did you know this?
1
Not at all
2
3
4
5
Perfectly
14
Q

En 3?

A

Sinus sous-capsulaire

How well did you know this?
1
Not at all
2
3
4
5
Perfectly
15
Q

En 4?

A

Capsule conjonctive

How well did you know this?
1
Not at all
2
3
4
5
Perfectly
16
Q

Technique?

A

Immunofluorescence

How well did you know this?
1
Not at all
2
3
4
5
Perfectly
17
Q

Organe?

A

Ganglion lymphatique - follicule lymphoïde

How well did you know this?
1
Not at all
2
3
4
5
Perfectly
18
Q

En 1?

A

DAPI : tous les noyaux de toutes les cellules

How well did you know this?
1
Not at all
2
3
4
5
Perfectly
19
Q

En 2?

A

Lymphocytes B (CD20)
- Centre germinatif
- Manteau

How well did you know this?
1
Not at all
2
3
4
5
Perfectly
20
Q

En 3?

A

Lymphocytes T (CD4)
- Autour du follicule

How well did you know this?
1
Not at all
2
3
4
5
Perfectly
21
Q

Technique?

A

Immunofluorescence

How well did you know this?
1
Not at all
2
3
4
5
Perfectly
22
Q

Organe?

A

Ganglion lymphatique fusionné

How well did you know this?
1
Not at all
2
3
4
5
Perfectly
23
Q

En 1?

A

Lymphocytes B :
Cellules volumineuses = centre germinatif

How well did you know this?
1
Not at all
2
3
4
5
Perfectly
24
Q

En 2?

A

Lymphocyte T :
En dehors du follicule lymphoïde

How well did you know this?
1
Not at all
2
3
4
5
Perfectly
25
En 3?
Lymphocytes B : Très dense en cellules = manteau
26
Coloration?
HES
27
Organe?
Ganglion lymphatique - médullaire
28
En 1?
Sinus médullaire (canal)
29
En 2?
Cordon médullaire
30
C'est quoi?
Lymphocytes (majorité des cellules)
31
Coloration?
HES
32
Organe?
Ganglion lymphatique - médullaire
33
Structure pointée?
Cellules réticulées (soutien du canal)
34
Organe?
Thymus
35
Coloration?
HES
36
En 1?
Cortex (foncé)
37
En 2?
Capsule (tissu conjonctif)
38
En 3?
Médullaire (pâle)
39
Coloration?
HES
40
Organe?
Thymus - cortex
41
En 1?
Septa (tissu conjonctif)
42
En 2?
Macrophages et cellules épithéliales
43
En 3?
Cellules T (en cours de maturation)
44
Coloration?
HES
45
Organe?
Thymus - médullaire
46
En 1?
Cellules épithéliales (abondantes)
47
En 2?
Corpuscules de Hassal = cellules épithéliales en dégénérescence
48
Coloration?
HES
49
Organe?
Rate
50
En 1?
Pulpe blanche
51
En 2?
Pulpe rouge
52
En 3?
Capsule (fibro-élastique)
53
Coloration?
HES
54
Organe?
Rate - pulpe rouge
55
En 1?
Parenchyme : macrophages
56
En 2?
Parenchyme : Cellules sanguines (en transit)
57
En 3?
Parenchyme : Lymphocytes
58
En 1, 2 et 3?
Parenchyme
59
En 4?
Sinus veineux = globules rouges vers la veine splénique
60
Coloration?
HES
61
Organe?
Rate - pulpe blanche
62
En 1?
Artère centrale
63
En 2?
Follicule lymphoïde : centre germinatif (clair)
64
En 3?
Follicule lymphoïde : zone du manteau et zone marginale (zone foncée)
65
2 + 3?
Follicule lymphoïde