Connective Tissue Flashcards

(31 cards)

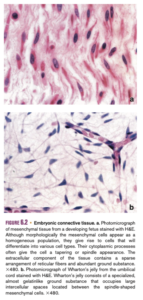
1
Q

What is the classification of connective tissue?

A
How well did you know this?
1
Not at all
2
3
4
5
Perfectly
2
Q

What is Mesenchyme? (3)

A
  • Primitive connective tissue
  • Found in the embryo
  • Formed through proliferation and migration of the
    mesoderm
How well did you know this?
1
Not at all
2
3
4
5
Perfectly
3
Q

What does mesenchyme contain? (4)

A
  • Contains spindle-shaped cells with processes
  • Gap junctions connect processes to adjacent cell
  • Ground substance is viscous
  • Sparse and fine collagen and reticular fibers
How well did you know this?
1
Not at all
2
3
4
5
Perfectly
4
Q

What does mesenchyme gives rise to? (4)

A

o Connective tissue
o Muscle
o Vascular and urogenital systems
o Serous membranes

How well did you know this?
1
Not at all
2
3
4
5
Perfectly
5
Q

What does mucous connective tissue contain? (4)

A
  • Present in the umbilical cord
  • Gelatin-like extracellular matrix (Wharton’s Jelly)
  • Contains spindle-shaped cells
  • Thin, wispy collagen fibers
How well did you know this?
1
Not at all
2
3
4
5
Perfectly
6
Q

Components of connective tissue: (3)

A
  1. Cells
  2. Fibers
  3. Ground substance
How well did you know this?
1
Not at all
2
3
4
5
Perfectly
7
Q

What is Loose/areolar connective tissue? (4)

A
  • Cellular connective tissue with thin and sparse collagen fibers
  • Abundant and viscous ground substance and occupies more volume than fibers
  • Responsible for diffusion to and from small vessels
  • Initial site of immune reaction
How well did you know this?
1
Not at all
2
3
4
5
Perfectly
8
Q

What is the location of Loose/areolar connective tissue?

A

Lamina propria of mucosa (beneath the epithelium)

How well did you know this?
1
Not at all
2
3
4
5
Perfectly
9
Q

What is Dense irregular connective tissue? (4)

A
  • Contains mostly connective tissue fibers
  • Cells are sparse, mainly fibroblasts
  • Little ground substance present
  • Resistant to stretching, distension and tearing
How well did you know this?
1
Not at all
2
3
4
5
Perfectly
10
Q

What is the location of Dense irregular connective tissue? (2)

A

o Submucosa of hollow organs
o Reticular/deep dermis layer of the skin

How well did you know this?
1
Not at all
2
3
4
5
Perfectly
11
Q

What is Dense regular connective tissue? (3)

A
  • Parallel, densely packed collagen fibers
  • Little ground substance present
  • Cells are packed and aligned between fiber bundles
How well did you know this?
1
Not at all
2
3
4
5
Perfectly
12
Q

What is the location of Dense regular connective tissue? (3)

A

o Tendons
- Fibroblasts are called tendinocytes
- These cells are surrounded by a specialized ECM separating it from loadbearing collagen
o Ligaments
- Some ligaments of the spinal column have abundant elastic fibers
- Called elastic ligaments
o Aponeuroses
- Fibers are parallel in each sheet
- The sheets of fibers are layered perpendicularly

How well did you know this?
1
Not at all
2
3
4
5
Perfectly
13
Q

What are collagen fibres? (5)

A
  • Most abundant fiber types
  • Flexible with high tensile strength
  • Stains with eosin
  • Each collagen molecule is a triple helix of a chains and is non-branching
  • Subunits are collagen fibrils forming a banding pattern
How well did you know this?
1
Not at all
2
3
4
5
Perfectly
14
Q

What are collagen fibres synthesized by? (5)

A

Synthesized by:
o fibroblasts
o chondrocytes
o osteoblasts
o pericytes in blood vessels
o epithelial cells (for basement membrane)

How well did you know this?
1
Not at all
2
3
4
5
Perfectly
15
Q

What are elastic fibres? (5)

A
  • Allow tissues to respond to stretch and distension
  • Thinner than collagen fibers
  • Arranged in branching pattern to form a 3D network
  • Interwoven with collagen fibers to limit distensibility and prevent tearing
  • Unusual polypeptide backbone with random coiling
How well did you know this?
1
Not at all
2
3
4
5
Perfectly
16
Q

What are elastic fibres synthesized by?

A
  • Synthesized by fibroblasts and vascular smooth muscles
17
Q

What are reticular fibres? (3)

A
  • Provide framework for cellular constituents of tissues and organs
  • Composed of type III collagen with a banding pattern
  • Branched, but do not bundle to form thick fibers
18
Q

Reticular fibres have _______(stain silver) staining.

19
Q

Where are reticular fibres located in loose connective tissue?

A

o Boundary of connective tissue and epithelium
o Surrounding adipocytes, small blood vessels, nerves and muscle cells

20
Q

Reticular fibres are prominent in _____ healing and ____ formation.

21
Q

What are reticular fibres synthesized by? (4)

A

o Reticular cells in haemopoietic and lymphatic tissue
o Fibroblasts
o Schwann cells of peripheral nerve endoneuria
o Smooth muscle cells in tunica media of blood vessels and muscularis of alimentary canal

22
Q

What is the function of the Extracellular Matrix? (4)

A
  • Provides mechanical and structural support
  • Influences extracellular communication
  • Functions as a biochemical barrier
  • Regulates metabolic functions of surrounding cells
23
Q

What is the ground substance? (2)

A
  • Viscous, clear, colourless, transparent, amorphous, slippery with high water content
  • Supports, surrounds and binds all connective tissue cells and fibers
24
Q

What is the ground substance composed of? (3)

A
  • Composed of specialized proteins and carbohydrates:
    o Proteoglycans
    o Multiadhesive glycoproteins
    o Glycosaminoglycans (GAGs)
25
What is the difference between Resident cells and Wandering/transient cells?
26
What are fibroblasts? (2)
* Principal connective tissue cell * Synthesize all 3 types of fibres and complex carbohydrates of ground substance
27
What is the morphology of fibroblasts? (3)
o In H&E staining, only the nucleus is visible as an elongated disc o Processes extended out of the cell in all directions o Prominent rough endoplasmic reticulum and Golgi apparatus
28
What are macrophages? (4)
* Phagocytotic cells derived from monocytes * Kidney-shaped nucleus present * Cytoplasm contains many lysosomes * Difficult to identify
29
What are adipocytes? (3)
* Stores neutral fat * Produces a variety of hormones, inflammatory mediators and growth factors * Flat, squashed nucleus
30
What are mast cells? (3)
* Develop in bone marrow and differentiate in connective tissue * Large ovoid cell with spherical nucleus * Cytoplasm filled with large, intensely basophilic granules
31
What do granules in mast cells contain? (2)
* Granules contain: o Histamine (causes allergic reactions) o Heparin (anticoagulant)