Connective tissue differs from other tissue in structure…
Mostly ECM with relatively few cells
Cells of connective tissue: mesenchymal cells give rise to…
Fibroblasts and Lipblasts
Fibroblasts
Most common cells in connective tissue proper
produce and maintain collagen and elsatin to form fibers
Synthesize and secrete components of ground substance
Lipblasts
give rise to adipocytes (fat cells) specialized for cytoplasmic storage of lipid
Tissue with large population of adipocytes also serves to cushion and insulate (skin, kidney)
Macrophages
Specialize in removal od dead cells and tissue debris
can activate immune system and promote inflammatory response
also secrete enzymes to break down dead tissue and growth factors to promote their repair and healing
Mast cells
type of immune cell which stores chemical mediators important in localized immune response and tissue repair
often located near blood vessels, in tissue lining digestive and respiratory tract (areas where threats can be detected)
ECM
Contains structural proteins (collagen and elastin fibers) embedded in viscious gel made up of protein-polysaccharide complexed (proteoglycans) water, and adhesive glycoproteins that bind to matrix proteins and cell membrane proteins (laminin, fibronectin)
Basement membrane
Specialized ECM that underlies all epithelial cells
Provides structural support
Fibers made of collagen
Collagen
Reticular
Fibers made of elastin
Elastic
Collagen/ reticular fibers function
Impart tensile strength, provide supporting framework
Sheering/tearing forces
Elastic fibers function
elasticity and resiliance
allows for deformation and recoil
Fibrillar- Type I
Most abundant and widely distributed. Forms collagen fibers of ECM
Fibrillar Type III
forms reticular fibers
Fibrillar type IV
Network or sheet forming. Major strucural proteins of basement membrane
Fibrillar type VII
linking/anchoring
anchors layers of basement membrane to eacother
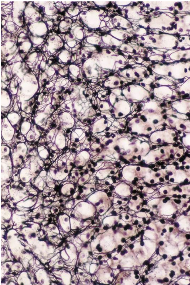
Reticular Fibers
Form a delicate network of thin fibers that provide supportive stroma for bone marrow, lymph nodes, organs including liver and spleen

Reticular fibers
Elastic Fibers
Form sparse networks interspersed with collagen bundles in tissue subject to stretching or bening (skin, vertebral ligaments, elastic arteries, vocal cords)

Elastic Fibers

Loose connective tissue proper
Loose Connective Tissue Proper
Description
Function
Location


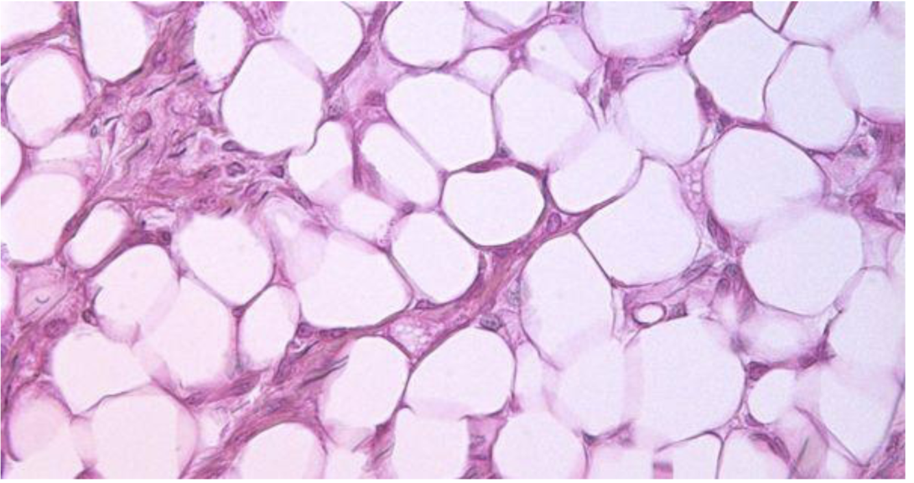
Adipose Tissue
Connective Tissue Proper Loose Adipose
Description
Function
Location
