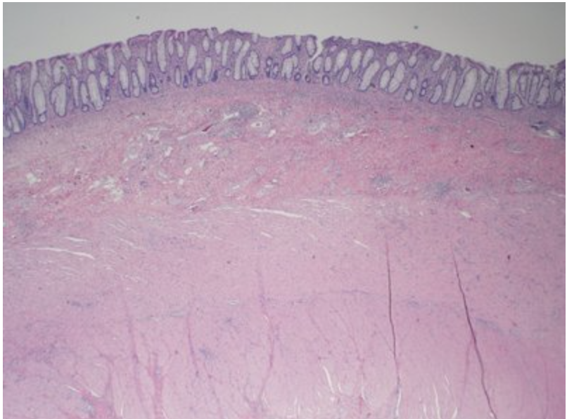
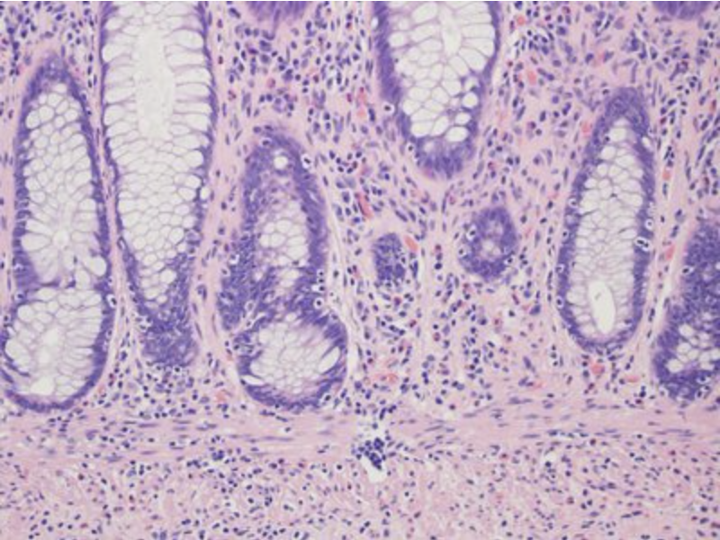
In this image, identify the component responsible for absorption and secretion!

This is a picture of a colon. The correct answer is the epithelium which lines the lumen of the colon. Remember that in the human body, the epithelial tissue’s functions include secretion, absorption and/or protection.

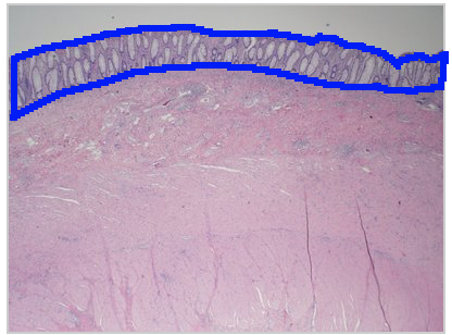
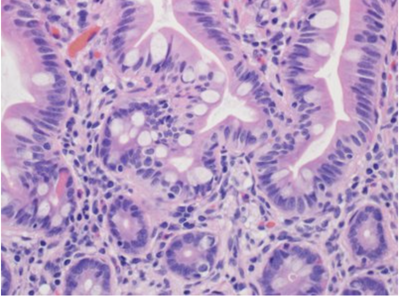
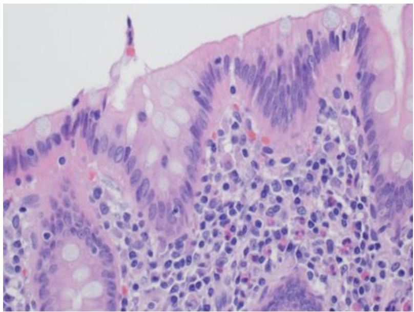
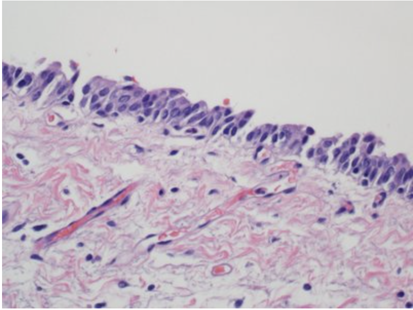
In this image, identify the columnar epithelium.

The shapes and dimensions of epithelial cells are quite variable, ranging from columnar, cuboidal to low squamous cells. In this image, the columnar epithelium is characterized by the cells being taller than they are wide, and the nuclei are basally located.

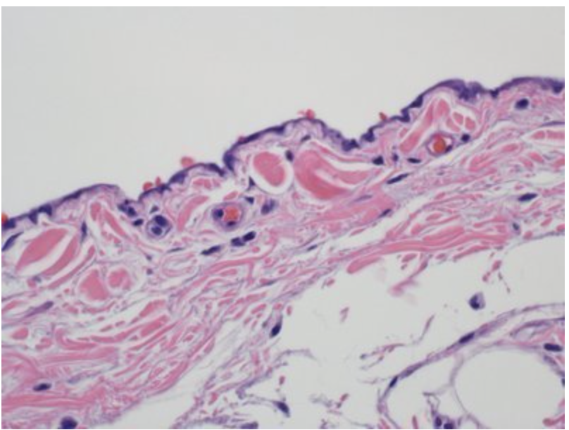
In this image, identify the structure that brings nutrients and oxygen to both the epithelial and connective tissues!

Most epithelia rest on connective tissue that contains the microvasculature bringing nutrients and oxygen to both tissues. Notice the red blood cells within these vessels.

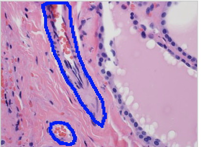
In this image, identify the lamina propria!

The conective tissue that underlies the epithelia lining the organs of the digestive, respiratory and urinary systems is called lamina propria

In this image, identify the structure that forms a scaffold for epithelial repair and regeneration!

Basement membranes have many functions. They provide structual support and polarity to epithelial cells and attach epithelia to underlying connective tissue. Proteins of the layered meshwork help filter substances entering the epithelium from below; concentrate mitogenic growth factors, and form a scaffold for epithelial repair and regeneration.

This epithelium is an example of a …

The correct is answer is “Squamous Epithelium”. Very thin cells that line body surface. This is a case of mesothelial cells that line internal organs. This epithelium facilitates movement of the viscera.
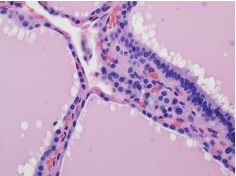
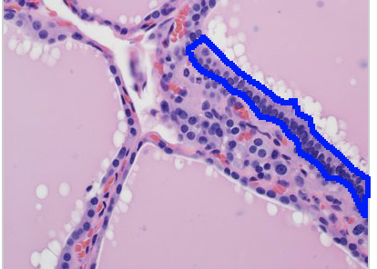
This epithelium is an example of a …

The correct answer is “columnar epithelium”. Cells are taller than wide. Nuclei are basally located. This picture is from the epithelium of an appendix. It provides protection and secretion.
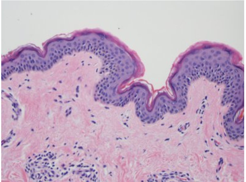
This represents an example of a …

The correct answer is a “Stratitified” epithelium, or more precisely a stratified squamous epithelium from the skin. The cells form multiple layers with the less differentiated ones near the underlying connective tissue. The main functions of this squamous epithelium are protection and prevention of water loss.
Identify the epithelium with one of its functions being distensibility.

The correct answer is “Transitional epithelium” that lines the bladder. This epithelium lines much of the urinary tract, extending from the kidney pelvis to the proximal part of the urethra. These cells are specialized to protect underlying tissues from the hypertonic and potentially cytoxic effects of the urine. Unique morphological features of the cells allow distension of the transitional epithelium as the bladder fills. The picture of the tansitional epithelium in the question derives from an empty bladder. The same epithelium looks as below when the bladder is full.

In this image, identify the cuboidal epithelium!

Cuboidal epithelium contains cells that have roughly similar width and thickness.

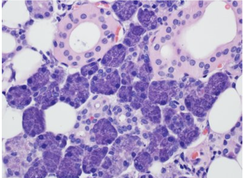
In this image, identify the duct portion fo the exocrine gland!

The picture represents the exocrine portion of the pancreas.

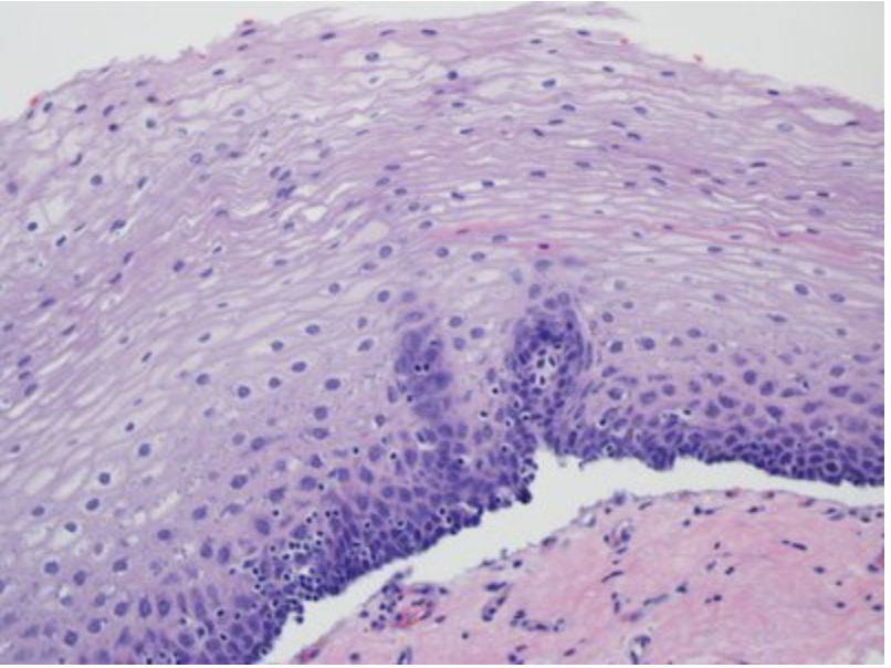
In this image, identify the layer of cells that are involved in renewal of mature epithelial cells!

Epithelial tissues are relatively labile structures whose cells are renewed continuously by mitotic activity and stem cell populations. The rate of renewal varies widely; it can be fast in tissues such as the intestinal epithelium, which is replaced every week. In stratified epithelial tissue such this squamous epithelium of the esophagus, stem cells and mitosis occur only within the basal layer in conact with the basal lamina.

Which of the following best described an epithelial tissue?
Aggregated polyhedral cells
Which of the following best described the main functions of a connective tissue?
Support and protection of organs/tissues
Which of the following best dictates the size and morphology of a cell?
Location in the body
Association with connective tissue
Cell function
Proliferation rate
CELL FUNCTION
The shapes and dimensions of epithelial cells are quite variable, ranging from tall columnarto cuboidal to low squamous cells. The cells’ size and morphology are generally dictated by their function. Epithelial cell nuclei vary in shape and may be elliptic (oval), spherical, or flattened, with nuclear shape corresponding roughly to cell shape. Columnar cells generally have elongated nuclei, squamous cells have flattened nuclei, and cuboidal or pyramidal cells have more spherical nuclei.
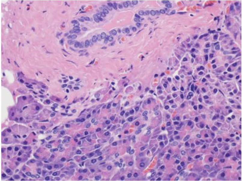
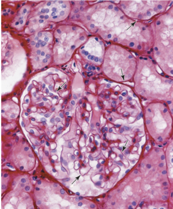
In this picture, a section of kidney is shown. The main roles of the structures highlighted by the arrow include…

Support and filtering
Secretion and absorption
Contraction and relaxation
Nerve transmission
SUPPORT AND FILTERING
The basal surface of all epithelia rests on a thin extracellular, felt-like sheet of macromolecules referred to as the basement membrane, a semipermeable filter for substances reaching epithelial cells from below. Nearest the epithelial yaer is an electron dense layer, 20-100 nm thick, consisting of a network of fine fibrils that comprise the basal lamina and beneath this layer is a more diffuse and fibrous reticular lamina. The terms “basement membrane” and “basal lamina” are sometimes used interchangeably, but “basal lamina” usually denotes the fine extracellular layer seen ultrastructurally and “basement membrane” the entire structure beneath the epithelial cells visible with the light microscope.
Function of:
Tight or occluding junctions
Adherent or anchoring junctions
Gap junctions
Tight or occluding junctions - Form a seal between adjacent cells.
Adherent or anchoring junctions - Sites of strong cell adhesion
Gap junctions - Channels for communication between adjacent cells
Difference between/ function of
Microvilli
Stereocilia
Cilia
Microvilli - Cytoplasmic projections in apical cell surfaces
Stereocilia - Cytoplasmic projections with distal branching
Cilia - Highly motile apical structures
Squamous vs Cuboidal vs Columnar
Squamous - Cells are thin and flattened
Cuboidal - Cell width and thickness roughly similar
Columnar - Cells taller than they are wide
Difference between
Simple epithelium
Stratefied epithelium
Pseudostratified epithelium
Transitional epithelium
Simple epithelium - Contains one cell layer
Stratified epithelium - Contains two or more layers
Psudostratified epithelium - Tall cells all attached to the basement membrane but their nuclei are at different levels
Transitional epithelium - Cells allow distention of epithelium of the urinary bladder