Qual a definição de constipação?
Toda evacuação dolorosa ou com dificuldade por um tempo ≥ 3 dias.
Como é a evolução da constipação não tratada?
É uma evolução de autoperpetuação, pois a dor à evacuação impede a criança de evacuar, que promove maior retenção e maior dificuldade e dor de evacuar (ciclo vicioso). A distensão do reto em longo prazo reduz a sensibilidade do reflexo da defecação e da efetividade da peristalse.
Com a constipação prolongada, qual evento pode ocorrer com as fezes proximais e por que ocorre?
A constipação prolongada pode fazer com que as fezes mais amolecidas do reto proximal escoem através do bolo fecal impactado, exteriorizando-se de forma imperceptível pela criança. É o soiling ou encoprese, podendo ser referido, pelos pais, como diarreia.
Qual a epidemiologia da constipação?
A enorme maioria das vezes é funcional (até 95%), sendo a minoria por alguma doença orgânica.
Quais as etiologias orgânica de constipação?
Anatômicas (ânus imperfurado, estenose anal), musculatura (Down), doença de Hirchsprung, medula ancorada, espinha bífida, drogas (narcóticos, anticolinérgicos, antidepressivos), doenças intestinais (celíaca, alergia alimentar, fibrose cística, DII), endocrinopatias (DM, hipoK, hiperCa, hipotir).
O que é a constipação funcional?
Atraso/dificuldade de defecação por > 2s. Não é provocada por qualquer anormalidade estrutural ou funcional no TGI.
Qual a clínica da constipação funcional?
Se inicia logo após o período neonatal (caracteristicamente) e desenvolve-se após a passagem dolorosa do bolo fecal, criando o ciclo vicioso dor-retenção-constipação-dor. As fezes são volumosas e de grande calibre (quando consegue evacuar). É frequente a encoprese.
Como a dor durante a evacuação da constipação funcional pode ser identificada?
A criança apresenta contração da musculatura glútea, extensão rígida das pernas, pode se agachar ou esconder para evacuar.
Qual clínica deve me levantar a suspeita de constipação 2ária a doenças orgânicas?
Perda de peso, déficit ponderoestatural, dor abdominal grave, vômitos e fístulas/fissuras perianais persistentes.
Quais os achados de EF da constipação funcional?
Grande bolo fecal palpável na região suprapúbica e ampola dilatada preenchida com fezes ao toque retal.
Quando eu devo pensar em lesão medular causando constipação?
Presença de tufos de pelos ou massas na região da coluna + desaparecimento de reflexos cutâneo-superficiais cremastérico e retal.
Quais achados podem sugerir sd da medula ancorada?
Ausência de reflexos profundos em MMII associados à espasticidade.
Como fazer o dx de constipação funcional em crianças?
Através dos critérios de ROMA IV:

Como tratar a constipação funcional?
Orientar benignidade do quadro, desimpactação fecal para remover o bolo fecal endurecido (bisnaga de sorbitol, solução fosfatada ou glicerinada, PEG), mudanças na dieta (ingerir fibras e água), treinamento de toalete e laxativos osmóticos (lactulose, hidróxido Mg) ou lubrificantes (óleo mineral ou PEG).
Como é o treinamento de toalete?
Sentar-se com a criança no vaso sanitário 3x ao dia após as principais refeições por 5 minutos (aproveitar do reflexo gastrocólico), apoiando os pés em superfície plana.
Quais outros nomes para a doença de Hirchsprung?
Megacólon agangliônico congênito.
Qual a definição da doença de Hirchsprung?
É uma doença esporádica em que há o não desenvolvimento (migração) dos plexos nervosos de Meissner (submucoso) e Auerbach (mioentérico) na parede intestinal durante o desenvolvimento do intestino durante a vida fetal.
Qual a fisiopatologia da doença de Hirchsprung?
Há uma falha na migração neuroblástica do segmento intestinal proximal para o distal, promovendo inervação anormal (as células nervosas não chegam ao segmento ou chegam e morrem) do intestino com consequente impossibilidade de relaxamento (obstrução intestinal).
Quais as principais localizações da doença de Hirchsprung?
75% dos casos a região acometida é limitada ao retossigmoide e em 10% acomete todo o cólo.
Qual a epidemiologia da doença de Hirchsprung?
1:5000 NV, masculino, associação com algumas anormalidades cromossômicas (Down) e outras malformações (cardiopatias, GU, retardo mental, microcefalia, fácies anormal).
Qual o QC da doença de Hirchsprung?
Neonatal: falha/atraso na eliminação do mecônio (> 48h - todas as crianças normais eliminam em até 48h), dilatação das alças proximais com aumento da pressão intraluminal e isquemia da mucosa (distensão abdominal e proliferação bacteriana - enterocolite necrosante). Caso não haja dx no período neonatal (a criança conseguiu eliminar mecônio), haverá um quadro de constipação crônica e déficit ponderoestatural, massa palpável em QIE e suprapúbica, porém AMPOLA VAZIA ao TR. Há, ainda, fezes em fita (caproica). Pode haver soiling. Pode haver o sinal do esguicho.
Quais os principais ddx da doença de Hirchsprung no período neonatal que devem ser diferenciados?
Íleo meconial, sd da impactação meconial e atresia intestinal.
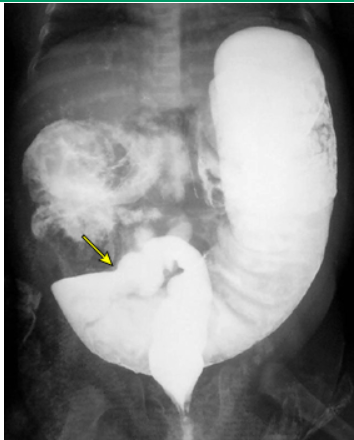
Como pode ser feito o dx da doença de Hirchsprung?
O procedimento de escolha é a bx retal 2 cm acima da linha denteada. Outros: manometria anorretal com pressão se mantendo ou elevando, radiografia abdominal contrastada com zona de transição entre a região acometida e a poupada.

Quais os achados de bx na doença de Hirchsprung?
Ausência de células ganglionares, bandas de nervos hipertrofiados e alta concentração de acetilcolinesterase entre a submucosa e a muscular.