O que é a cólica do lactente?
É uma sd comportamental de neonatos e lactentes jovens em que ocorrem episódios paroxísticos de choro e irritabilidade que se iniciam e cessam rapidamente (duram até 48h) sem causa aparente.
Qual a evolução da cólica do lactente?
Tendem à resolução espontânea aos 3-4 meses.
Quais os critérios dx para cólica do lactente?
Todos os critérios de ROMA IV preenchidos: lactente com menos de 5 meses de início e término dos sintomas, períodos recorrentes e prolongados de choro do lactente ou irritabilidade sem causa óbvia e que não podem ser previnidos ou resolvidos, ausência de febre, déficit ponderoestatural ou outra evidência de doença.
Qual a conduta na cólica do lactente?
Orientação sobre benignidade do quadro.
O que é a sd de dor abdominal?
É uma dor abdominal crônica (> 3 meses) que pode ter causas orgânicas ou funcionais (SII, dispepsia não ulcerosa).
Quando eu vou suspeitar de causas orgânicas para a sd de dor abdominal?
Quando acordar o paciente à noite, perda de peso, vômitos, sangue nas fezes, febre, < 6a, artrite ou dor em flancos/quadrantes abdominais. Outras: dor à palpação abdominal, visceromegalias e fissuras anais.
Quando eu vou suspeitar de causas funcionais para a sd de dor abdominal?
Início após os 6a, localização periumbilical e na linha média (pref), intensa a ponto de interromper a atividade dela e duração > 2 meses.
Quais os critérios dx para SII?
ROMA IV: todos os critérios por 2 meses antes do dx: 1. Dor abdominal ≥ 4 d/mês associado a um dos seguintes: relacionado a defecação, à mudança na frequência das evacuações ou no aspecto das fezes. 2. A dor não se resolve após evacuação (quando alivia, provavelmente é constipação funcional). 3. Não pode ser explicado por outra causa médica.
O que é a intussuscepção intestinal (II)?
Também chamada de invaginação intestinal, é a entrada de uma alça intestinal proximal dentro de sua parte distal em trechos adjacentes.

Qual a evolução da II caso não haja redução?
Congestão venosa (por obstrução do retorno venoso), sangramento da mucosa, comprometimento arterial, isquemia/infarto/necrose, perfuração, peritonite e sepse.
Qual a epidemiologia da II?
80% dos casos < 2 anos e 60% em < 1 ano (é uma doença do lactente jovem). Sexo masculino.
Qual a etiopatogenia da II?
Não se sabe ao certo, mas postula-se que haja uma relação de uma infecção por algum vírus intestinal associada a alterações nas proteínas da dieta, promovendo hiperplasia das placas de Peyer com predisposição para a invaginação.
Qual o principal local de II?
A região íleo-cólica.
Qual o QC da II?
Dor abdominal AGUDA e SÚBITA (lactente chora, fica irritado e flete a coxa sobre o abdome) em paroxismos e progressiva (aumento da intensidade e frequência com o passar do tempo). Com o passar do quadro, podem aparecer letargia, vômitos, diarreia sanguinolente com aspecto de geleia de morango/framboesa (60% dos casos). Se houver peritonite, hipotensão e choque. EF: pode-se palpar uma massa em salsicha no QSD com a FID vazia (sinal de Dance). O TR evidenciando sangue corrobora a hipótese.
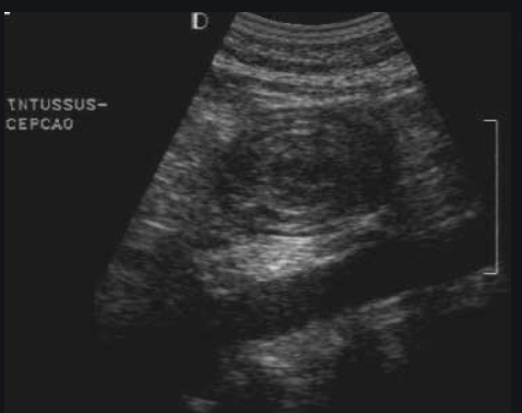
Como é feito o dx de II?
Clínico + exames complementares (USG abdominal é o de escolha - imagem tubular em pseudorrim no corte longitudinal e a imagem em alvo no corte transversal).

Qual o tto da II?
É uma emergência, devendo ser feita a redução através do enema ou da cirurgia. A ressecção intestinal deve ser feita apenas em casos de necrose de alça.