copd Flashcards

(30 cards)

1
Q

COPD definition

A

Presence of airflow obstruction due to chronic bronchitis or emphysema
- Obstruction is generally progressive -> PREVENTABLE AND TREATABLE DS
-+/- airway hyper-reactivity
-+/- PARTIALLY reversible
-Most patients with COPD have features of both emphysema and chronic bronchitis

Cause of COPD:
-significant exposure to noxious particles or gases

How well did you know this?
1
Not at all
2
3
4
5
Perfectly
2
Q

COPD sx and risk factors

A

Symptoms:
- MC: Dyspnea, cough, +/- sputum

Risk factors:
- TOBACCO Smoking**
- Occupation Dusts
- Air pollution
- Hereditary factors (deficiency of α1-antiprotease = emphysema)

How well did you know this?
1
Not at all
2
3
4
5
Perfectly
3
Q

chronic bronchitis vs emphysema dx

A

Chronic bronchitis:
-Clinical diagnosis*
-Daily* productive cough for 3 months or more for at least 2 consecutive years*

Emphysema:
-Pathologic diagnosis*
-Abnormal permanent enlargement of air spaces distal to the terminal bronchiole, with destruction of their walls and without obvious fibrosis

How well did you know this?
1
Not at all
2
3
4
5
Perfectly
4
Q

emphysema pathogenesis

A

-excessive LYSIS OF ELASTIN (structural proteins) by elastase from lung neutrophils, macrophages, and mononuclear cells

Outcome:
- permanent enlargement of airway spaces
- Destruction of alveoli
- destruction of connective tissue and pulmonary capillaries
-Airways floppy (increased compliance)
-Air flow obstruction

It can progress to….
-V/Q Mismatch
-Cor pulmonale: END STAGE COPD

Excessive elastase activity: Conditions like cigarette smoking, air pollution, and certain infections can activate neutrophils, macrophages, and mononuclear cells in the lungs to release higher amounts of elastase enzymes.

How well did you know this?
1
Not at all
2
3
4
5
Perfectly
5
Q

-V/Q Mismatch emphysema vs bronchitis

A

Emphysema: PERFUSION ISSUE (PE)
- Dead space ventilation
- ventilating areas not perfused due to destruction of capillaries
- ventilated well but not perfused

Chronic bronchitis: VENTILLATION ISSUE (CV)
- Capillaries intact, but not ventilated due to mucus plugs blocking air
- perfused well but not ventilated

How well did you know this?
1
Not at all
2
3
4
5
Perfectly
6
Q

Types of emphysema

A

Centrilobular-MC**

Panlobular- a1 antitrypsan deficency

Paraseptal

Irregular

How well did you know this?
1
Not at all
2
3
4
5
Perfectly
7
Q

air trapping in COPD (mostly emphysema)

A

COPD:
-loss of alveolar attachments and thickened inflammated airway
-loss of elasticity (emphysema)

outcome:
-airway collapses on expiration -> AIR TRAPPING bc inefficient breathing
-a lot of air trapping = SOB

How well did you know this?
1
Not at all
2
3
4
5
Perfectly
8
Q

DLCO pattern emphysema vs chronic bronchitis

A

Emphysema:
-alveoli are being destroyed, though they are increasing in size, the surface area ↓↓↓ = ↓ DLCO

Chronic bronchitis:
- NORMAL
- main problem is mucus and inflammation/narrowing of airway -> alveoli are functional

How well did you know this?
1
Not at all
2
3
4
5
Perfectly
9
Q

chronic bronchitis

A

-Hypertrophy bronchial mucous glands (plugging)
-Goblet cells increase in number
-Damaged cilia
-Bronchial mucosa inflammation
-Bronchial smooth muscle hyper-reactivity -> Bronchospasm
-Increase in MUCOUS production:


-Air flow obstruction
-V/Q mismatch
-Cor Pulmonale

How well did you know this?
1
Not at all
2
3
4
5
Perfectly
10
Q

presentation/symptoms of COPD 3 typical presenations

A

1: Few complaints, but extremely sedentary lifestyle
2: Chronic respiratory symptoms:
-Dyspnea on exertion, cough

3: Acute exacerbation
- Wheezing, PURULENT cough, dyspnea

How well did you know this?
1
Not at all
2
3
4
5
Perfectly
11
Q

physical exam: early and mod-severe ds

A

Early disease:
-Nl or prolonged expiration
-Wheezes

Moderate-severe:
Hyperinflation & air trapping
Decreased breath sounds: Wheezes, rhonchi, crackles
Increased AP diameter

How well did you know this?
1
Not at all
2
3
4
5
Perfectly
12
Q

end stage COPD

A

Significant trouble with expiration = need to reposition to exhale
- May be hypoxic = cyanotic
- May have light HF or HTN

Hoover’s Sign: Paradoxical retraction of lower interspaces during inspiration - sign of hyperinflation (emphysema)

Cor Pulmonale: Enlarged, tender liver +/- neck vein distention

How well did you know this?
1
Not at all
2
3
4
5
Perfectly
13
Q

type A pink puffer - emphysema sx

A

-Often presenting after age 50

Sx:
-DYSPNEA often severe*
-Cough = rare scant clear, mucoid sputum
-Present as thin (wt loss)
- Using accessory muscles for inspiration
-Chest is QUIET -> no congestion in lungs
-NO peripheral edema

  • mostly normal labs because of compensatory mechanism -> pursed lips
    Pink = “normal skin color”
    Puffer = “pursed lips”
How well did you know this?
1
Not at all
2
3
4
5
Perfectly
14
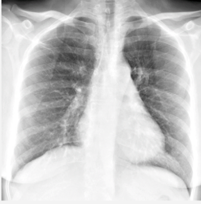
Q

Chest xray pink puffer

A

-Hyperinflation, FLAT diaphragms
-Vascular markings DECREASE
-Parenchymal BULLAE*

Sx:
-DYSPNEA severe
- Using accessory muscles for inspiration
-Chest is QUIET -> no congestion in lungs
-NO peripheral edema

How well did you know this?
1
Not at all
2
3
4
5
Perfectly
15
Q

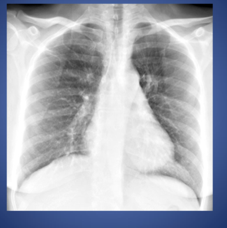
Chest xray blue bloater

A

INCREASED interstitial markings *

sx:
- Chest is noisy with rhonchi, wheezes

How well did you know this?
1
Not at all
2
3
4
5
Perfectly
16
Q

Labs - pink puffer + blue bloater

A

Emphysema:
≅ Hb | ≅/↓ PaO2 | ≅/↓ PaCO2
- mostly NORMAL labs because of compensatory mechanism -> pursed lips

Blue bloater:
↑ Hb | ↓ PaO2 | ↑ PaCO2

17
Q

Pulmonary function tests: pink puffer vs blue bloater

A

pink puffer:
- Obstructive Pattern
- ↑ TLC: increased compliance
- ↓ DLCO

blue bloater:
-Obstructive pattern
- ≅/↑ TLC
- ≅ DLCO

18
Q

type B: blue bloater description + sx

A

Definition: Daily productive cough x3 months for at least 2 consecutive years
–Often presents in late 30s and 40s

sx:
-Mucopurulent chronic cough with frequent exacerbations due to infections
-Dyspnea mild
-Pt presents as overweight and cyanotic but seem comfortable at rest
-Peripheral edema common
-Chest is noisy with rhonchi, wheezes
———–

Blue = cyanosis because they are hypoxemia; hypercapnia (high CO2)
Bloater = fluid retention due to pHTN + overweight

19
Q

labs, imaging, PFTs: blue bloater

A

Labs:
↑ Hb | ↓ PaO2 | ↑ PaCO2

Chest radiograph:
-Increased interstitial markings (“dirty lungs”)
-Diaphragms not flattened

PFTs:
-Airflow obstruction
-Total lung capacity generally normal but may be slightly increased
-DLCO NORMAL
-Static lung compliance NORMAL

20
Q

classification of severity of COPD

A

GOLD 1 (Mild): FEV1 ≥ 80% predicted.
GOLD 2 (Moderate): 50% ≤ FEV1 < 80% predicted.
GOLD 3 (Severe): 30% ≤ FEV1 < 50% predicted.
GOLD 4 (Very Severe): FEV1 < 30% predicted.

21
Q

bronchodilators

A

Goal: Improve symptoms, exercise intolerance, and overall health status

Anticholinergics:
- Ipratropium Bromide
- Tiotropium bromide**
- First-Line Therapy
SABA
- Albuterol
- Metaproterenol

LABA
- Formoterol
- Salmeterol

22
Q

treatment based on group A, B, E

A

Group A- CAT<10, mMRC 0-1
- bronchodilator
Group B- more symptomatic but still no exacerbations
- LABA or LAMA
Group E- LABA+LAMA (has has exacerbations + hospital visit) -> consider LABA + LAMA + ICS -> prof is hesitant to give steroid ever

23
Q

steroids (inhaled)

A

-Improves quality of life
-Decreases severity and # of exacerbations in pts with moderate to severe copd
-topical agent -> need to reach target tissue
-Delivery system/Inhaler Choice and inhaler technique are very important
-It is very important to demonstrate the inhaler technique and assess patient’s ability to use it properly

-2020 GOLD Guidelines recommend reassessing inhaler technique and inhaler choice on every visit

24
Q

antibiotics

A

Commonly prescribed to outpatients with COPD for the following indications:
-Treat an acute exacerbation/infection
-NOT for prophylaxis

Drugs:
- Augmentin
-bactrim
-doxy

25
pulmonary rehab
Goal: Improve exercise capacity & Decrease hospitalizations - Goal is to be able to do more physical activity for the limited lung function that they have - Graded aerobic physical exercise program ---- Graded aerobic physical exercise programs - ex: walking 20 minutes three times weekly or bicycling -Prevents deterioration of physical condition -Improves ability to carry out daily activities -Training of inspiratory muscles -Decrease hospitalizations -Improve Quality of lif
26
O2 therapy
Indication: resting hypoxemia (<88%) Benefits: -Include longer survival -Reduced hospitalization needs -Better quality of life ------ Hypoxemic patients who are likely to benefit are: -Pulmonary hypertension -Chronic cor pulmonale -Eythrocytosis -Impaired cognitive function -Exercise intolerance -Nocturnal restlessness -Morning headache
27
other treatments for COPD?
-Human alpha 1 antitrypsin for deficient patients -Opioids = controversial -Lung transplantation- Substantial improvements in pulmonary function and exercise performance have been noted after Lung volume reduction surgery: -Bilateral resection of 20–30% of lung volume - Goal: Providing adequate space for the normal lung to function Endobronchial Valve placement can achieve the same goal without surgery Bullectomy: indicated when large bullae occupies 30–50% of the hemithorax
28
Acute Exacerbation of COPD- what tests should you do and what treatment?
1: CXR: R/O things that can cause exacerbation -> CHF, pneumonia, pneumothorax - ABG useful; spirometry - not useful Tx: - Oxygen - Bronchodilators - Oral Steroids: Prednisone 40mg then taper - Antibiotics: tx infection - Non-invasive PPV: Decreases need for mechanical ventilation ----- Spirometry: NOT useful in acute setting
29
prevention of COPD
STOP SMOKING!!! -Slows the decline in FEV1 Get the Flu and pneumovax (pneumococcal) shot!!
30
summary
-Obstructive airways disease largely due to SMOKING -Not completely reversible like asthma -Emphysema-Lung destruction and hyperinflation -Chronic Bronchitis-Airway inflammation and mucous production -GOLD Guidelines-Degree of obstruction plus exacerbations and symptoms -Frequently reassess inhaler choice and pt’s ability to properly use the device -SMOKING CESSATION --