imaging Flashcards

(24 cards)

1
Q

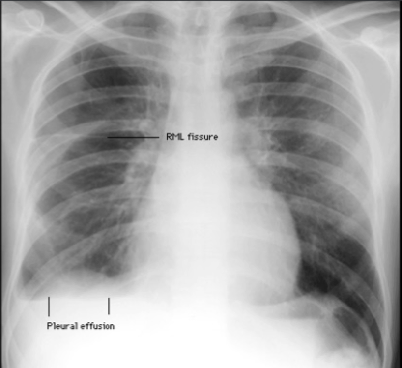
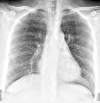
Pleural effusion

A

-must have 75–200 mL to be visible in costophrenic angle
-May appear loculated (~mass/pseudotumor) if there are pleural adhesions
-Round/oval fluid collections in fissures resembling intraparenchymal masses (pseudotumors)

How well did you know this?
1
Not at all
2
3
4
5
Perfectly
2
Q

Loculated effusion CXR

A

-effusion may appear loculated (~mass/pseudotumor) if there are pleural adhesions

How well did you know this?
1
Not at all
2
3
4
5
Perfectly
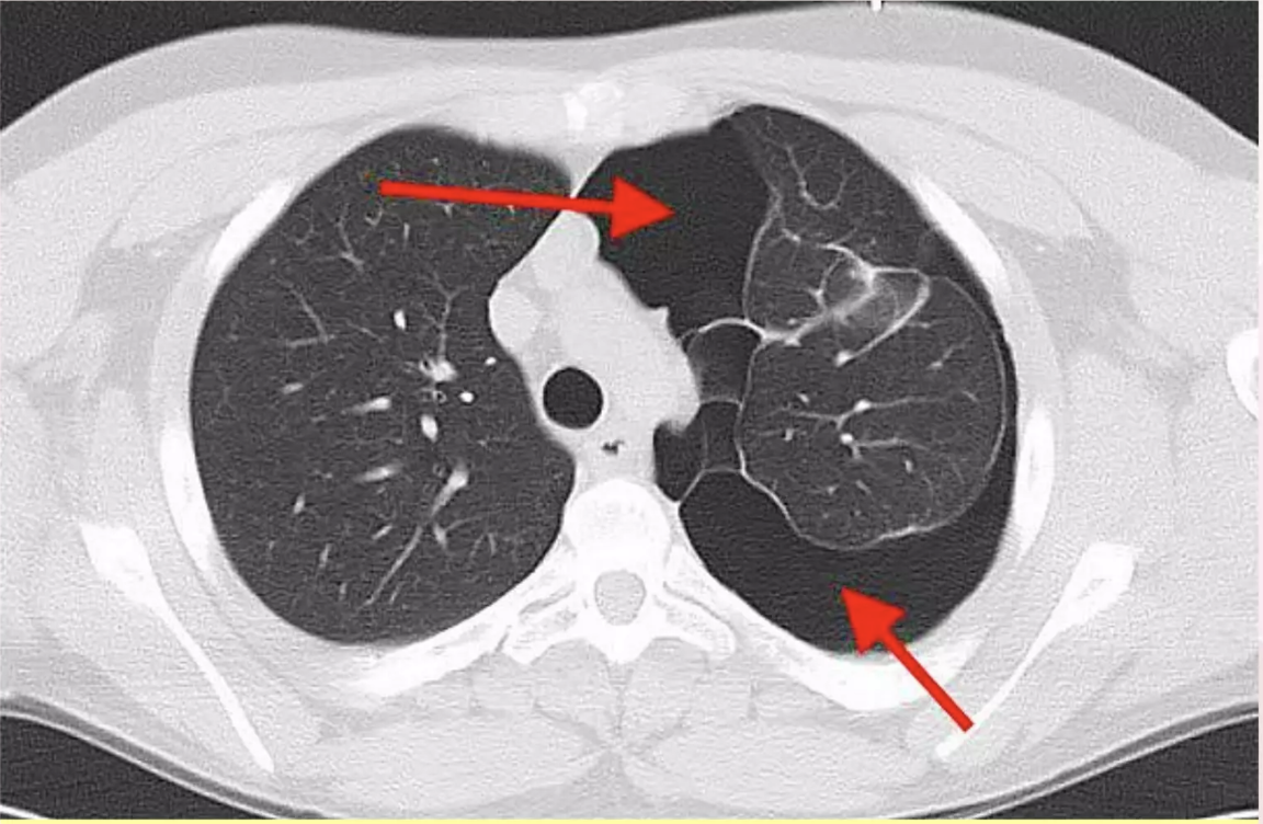
3
Q

pneumothorax

A

DX = visceral pleural lines

How well did you know this?
1
Not at all
2
3
4
5
Perfectly
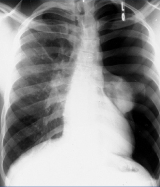
4
Q

?

A

Tension pneumothorax:
-Large amount of air in the affected hemithorax and CONTRALATERAL shift of the mediastinum

How well did you know this?
1
Not at all
2
3
4
5
Perfectly
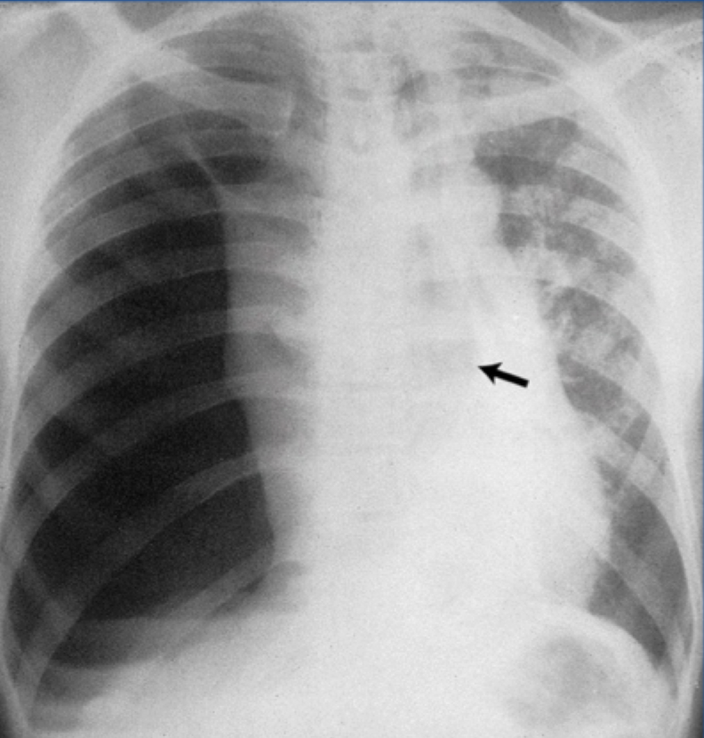
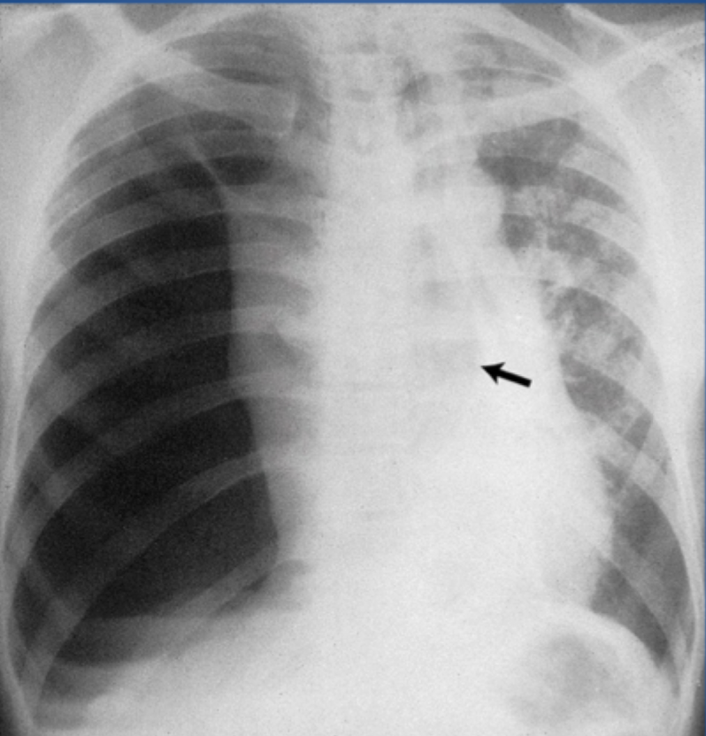
5
Q

?

A

pneumothorax

How well did you know this?
1
Not at all
2
3
4
5
Perfectly
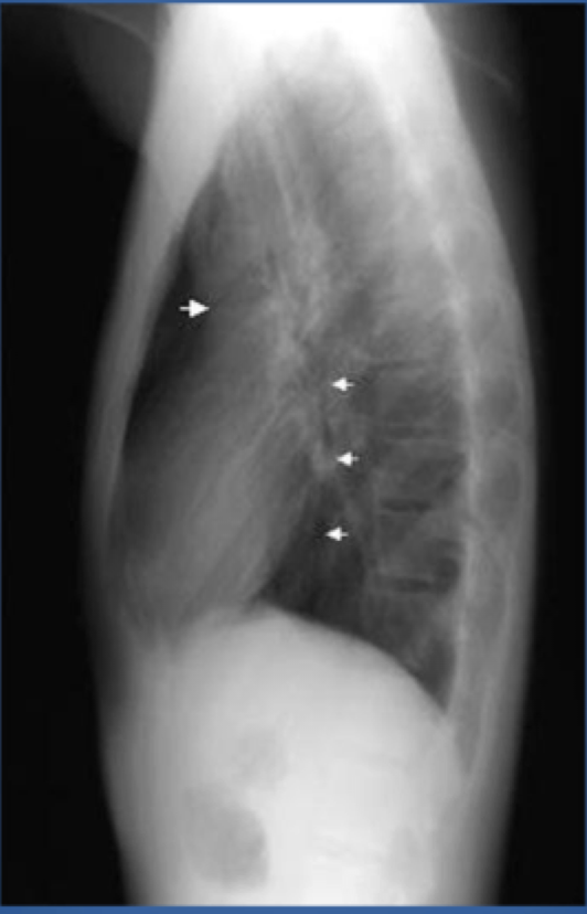
6
Q

what sign is this in pneumothorax

A

deep sulcus sign in supine pts

How well did you know this?
1
Not at all
2
3
4
5
Perfectly
7
Q

?

A

Pneumomediastinum - complication of pneumothorax

How well did you know this?
1
Not at all
2
3
4
5
Perfectly
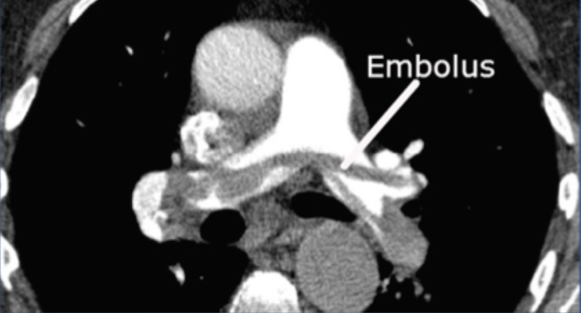
8
Q

?

A

spiral CT pulmonary angiography of PE

How well did you know this?
1
Not at all
2
3
4
5
Perfectly
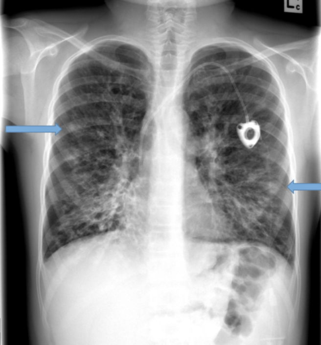
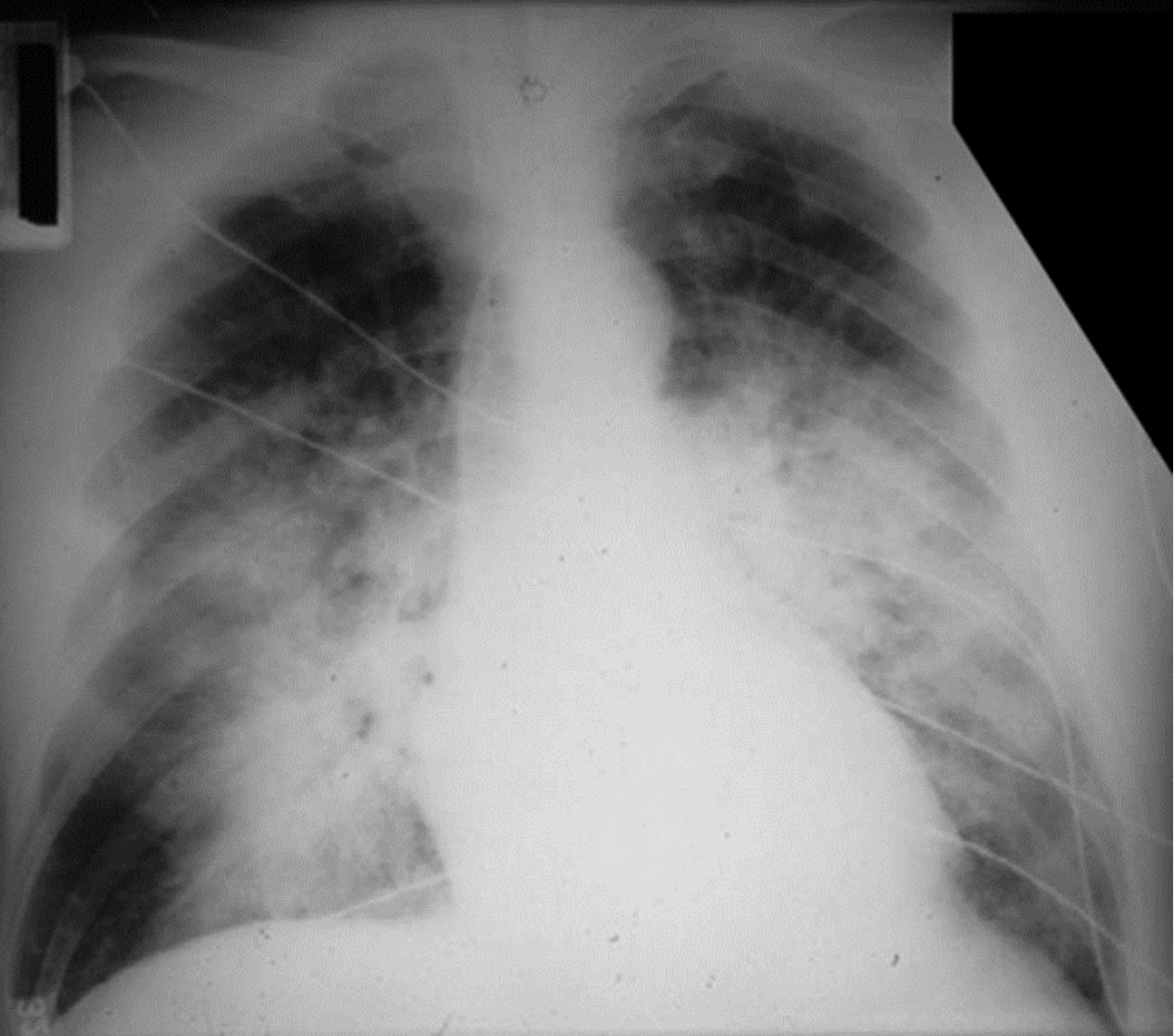
9
Q

?

A

pulmonary HTN!!!! - r heart enlargement and dilated pulmonary arteries

Chronic disease:
- Dilation of right & left main and lobar pulmonary arteries

Advanced disease:
- Right ventricular & right atrial enlargement

How well did you know this?
1
Not at all
2
3
4
5
Perfectly
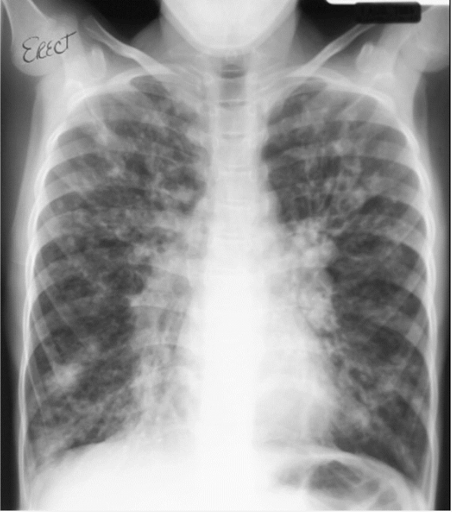
10
Q

?

A

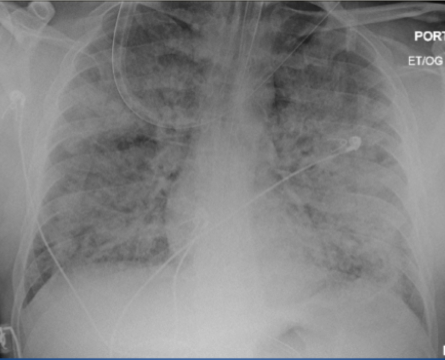
Acute respiratory distress syndrome
- normal heart
-no pleural effusion
-bilateral widespread pulmoonary inflitrates
-air bronchograms

How well did you know this?
1
Not at all
2
3
4
5
Perfectly
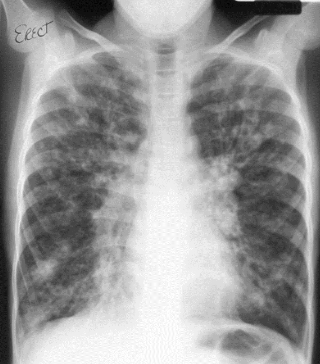
11
Q

?

A

Acute respiratory distress syndrome
- normal heart
-no pleural effusion
-bilateral widespread pulmoonary inflitrates
-air bronchograms

How well did you know this?
1
Not at all
2
3
4
5
Perfectly
12
Q

?

A

acute respiratory distress syndrome
- normal heart
-no pleural effusion
-bilateral widespread pulmoonary inflitrates
-air bronchograms

How well did you know this?
1
Not at all
2
3
4
5
Perfectly
13
Q

young kid eats furniture polish
Symptoms:
- vomiting, coughing
- respiratory distress
- cyanosis
- fever

A

aspiration of toxic material

Patchy airspace consolidation particularly in:
- LOWER lobes
- medial basal segments

How well did you know this?
1
Not at all
2
3
4
5
Perfectly
14
Q

?

A

retention of FB

How well did you know this?
1
Not at all
2
3
4
5
Perfectly
15
Q

Bronchoscopy of what?

A

Bronchoscopy of Carcinoid Tumor
- looks PINK or PURPLE

How well did you know this?
1
Not at all
2
3
4
5
Perfectly
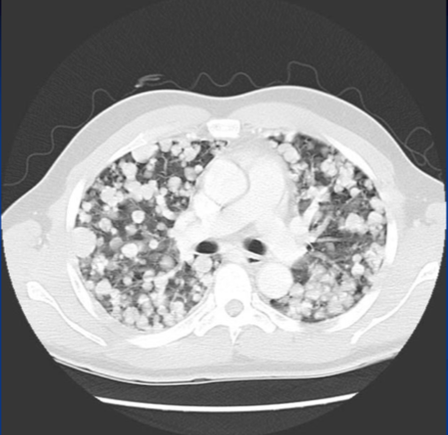
16
Q

?

A

Cannonball lesions = metastatic lung cancer
- multiple spherical densities with sharp margins
-MC: lower lung zones

MC = ASYMPTOMATIC

May present with:
-Cough, hemoptysis
-Dyspnea and hypoxemia (advanced)
-Symptoms are more often referable to the site of the PRIMARY tumor

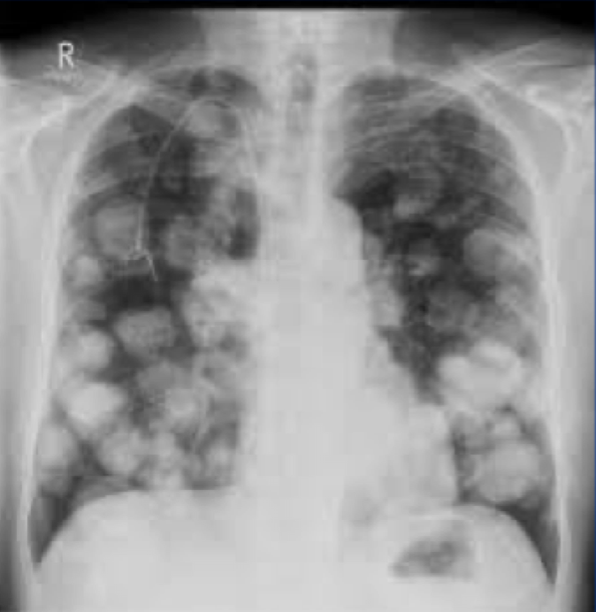
17
Q

?

A

CT: metastatic lung cancer**
CT is more sensitve …………….
Cannonball lesions = metastatic lung cancer
- multiple spherical densities with sharp margins
-MC: lower lung zones

MC = ASYMPTOMATIC

May present with:
-Cough, hemoptysis
-Dyspnea and hypoxemia (advanced)
-Symptoms are more often referable to the site of the PRIMARY tumor

18
Q

ring shadows and tram-tracks?

A

BRONCHIECTASIS:
- Dilated and thickened bronchi: Appears like tram-tracks or ring shadows
-Scattered irregular opacities, atelectasis, and focal consolidation may be present
-honeycombing = CYSTIC bronchiectasis

19
Q

?

A

CYSTIC FIBROSIS

-Hyperinflation (early)
-Peribronchial cuffing
-Mucous plugging
-Bronchiectasis (ring shadows,cysts)
-Increased interstitial markings
-Small rounded peripheral opacities
-Focal atelectasis
-Pneumothorax

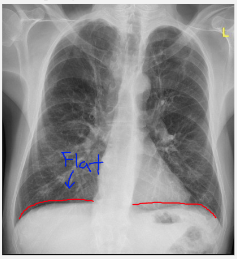
20
Q

what abnormalities?

A

-Hyperinflation, FLAT diaphragms
-Vascular markings DECREASE
-Parenchymal bullae

pink

21
Q

COPD: is it chronic bronchitis or emphysema?

A

CHRONIC BRONCHITIS!!
- Increased interstitial markings
- Diaphragms not flattened

emphysema:
-Hyperinflation, FLAT diaphragms
-Vascular markings DECREASE
-Parenchymal bullae

22
Q

?

A

Bronchiectasis

Xray:
- Dilated and thickened bronchi: Appears like tram-tracks or ring shadows
-Scattered irregular opacities, atelectasis, and focal consolidation may be present
-honeycombing = CYSTIC bronchiectasis

23
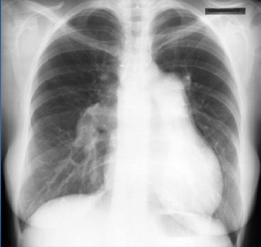
Q

?

A

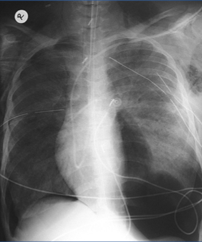
Deep sulcus sign + contralateral shift of mediastinum/esophagus -> TENSION PNEUMOTHORAX

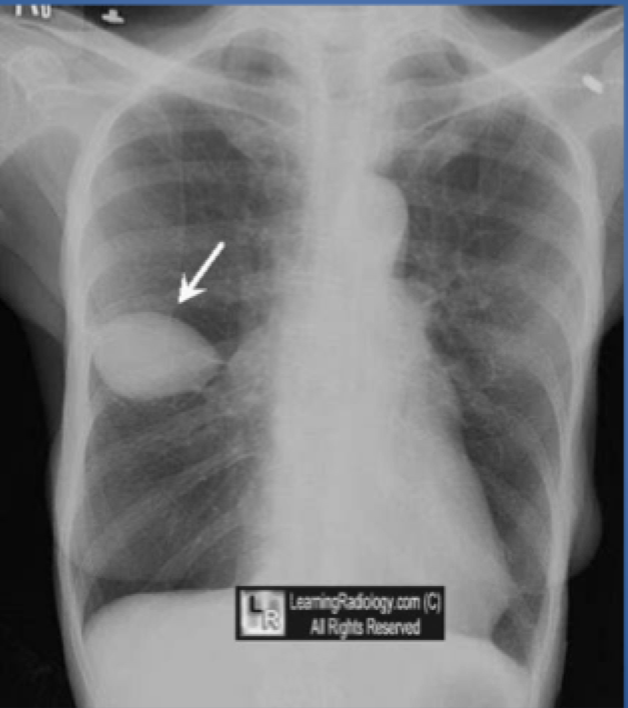
24
Q

?

A

Left sided pneumothorax