COPD - history?
P: dx date, symptoms, baseline ET
R: smoking, FH (alpha-1-AT), occupational exposures (dust, coal, fumes, gases). Risk factors for disease exacerbation: GORD, compliance, OSA, infection
I: spirometry, PFT, ABG, ECG/TTE - was it just GP diagnosis or had formal PFT?
C: adherence to therapy, follow-up, smoking cessation, understanding of action plan
M: action plan, pulmonary rehab, LAMA+LABA+ICS+prophylactic ABx, home O2, nebs, BiPAP, lung reduction surgery?
C: RVF, frequency of hospital admissions, ICU, steroids, NIV, resistant organisms, PTX, steroid side effects (topical, systemic), pulmonary HTN
P: current control, ET, mMRC SOB, exacerbation last 12 months, freq of FU, understanding of prognosis and ACD
How is the patient coping? How is it affecting them?
MRC dyspnoea scale?
0 - not breathless
1 - SOB when hurrying or walking up a slight hill
2 - more breathless compared with people of similar age, has to stop for breath when walking at own pace
3 - stops for breath at about 100m or few minutes only
4 - housebound, breathless when dressing
COPD - examination to comment on? (4)
COPD: cachexia, nicotine staining, flap, cyanosis, tracheal tug, prolonged FET
Chest: Reduced chest expansion, breath sounds, wheeze.
Features of steroid use: Cushingoid, ecchymosis
Pulmonary HTN
GOLD classification of severity of COPD? (Global initiatives for chronic Obstructive Lung Disease)
To diagnose COPD, FEV1/FVC <70%
GOLD 1 (mild): FEV 1 >80%
GOLD 2 (moderate): 50-80%
GOLD 3 (severe): 30-50%
GOLD 4 (very severe): <30%
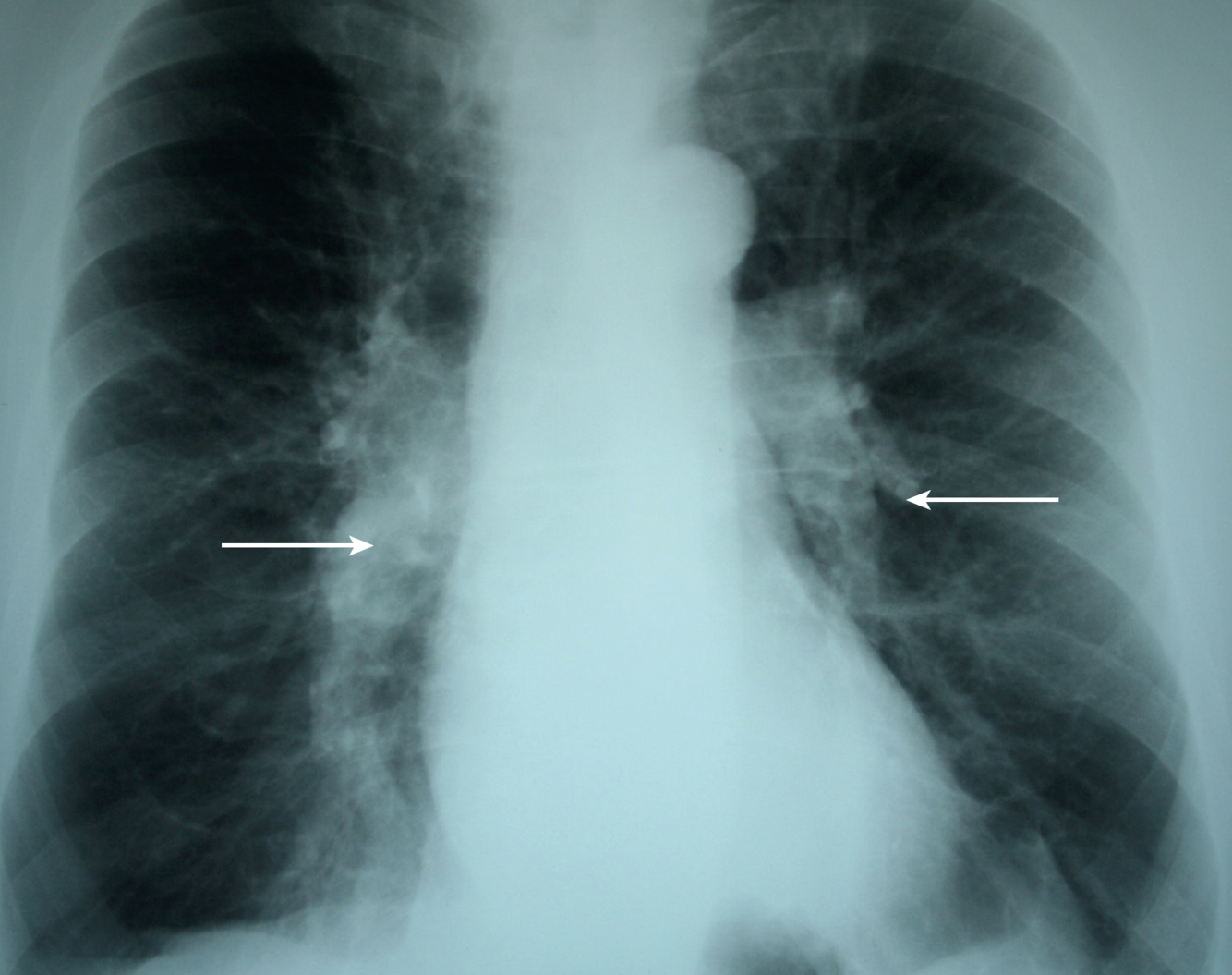
What are you looking for in CXR and CT chest in COPD patients?
CXR: hyperexpansion, increased retrosternal airspace (≥2.5cm), radiolucent bullae (specific for COPD), features of pulmonary HTN (prominent pulmonary arteries)
CT-chest: % of low attenuation area - correlates with severity of the disease

How would you investigate patient with COPD in the outpatient clinic presenting wtih exacerbation?
T: spirometry (irreversible obstruction), PFT (inc TLC, low DLCO), CXR (hyper-expansion, prominent pulmonary vasculature), CT chest (burden of emphysematous disease)
E: exclude infection (CXR, sputum culture), working up for alternative diagnosis - eosinophils (asthma), PE, ECG/Trop/TTE for ischaemia, consider anti-AT-1if FH, malignancy
Severity: PFT (FEV1), ABG (RF,acidosis), inflammatory markers (if infection)
Treatment baseline - spiro, PFT
Screen complications - ECG/TTE (pulmonary HTN), sputum (resistant organisms), bicarb (for TIIRF), polycythaemia, steroid complications, malnutrition (grip strength, BMI, serum albumin)
How would you manage this patient with COPD?
Goal: minimise exacerbation, maximise function, prevent complications
Confirm dx: spirometry (FEV1/FVC <70%, FEV1, check reversibility - is there ACOS), PFT (increased TLC, dec DLCO), CT chest (burden of emphysema)
A: screen secondary causes/exacerbating factors: GORD, infection, anaemia, HF, depression that makes adherence worse. Exclude antitrypsin deficiency.
T: Non-pharm
T: Pharm - As per GOLD guideline, ABx prophylaxis, Consider Bullectomy (localised disease), lung transplant (once FEV1 <25%)
Ensure FU and screen for complications
What constitutes COPD action plan? (i.e. how would you modify patient’s action plan? - 3)
Breathlessness increases → increase bronchodilator
Breathlessness increases and interferes with ADLs → short course of corticosteroids
Increased sputum production → PO ABx
What are the features of poor prognosis in COPD? (7)
Low BMI
Hypoxia
Hypercapnoea
Recurrent exacerbations
Older age
Pulmonary HTN
Decline in FEV1
Side effects of theophylline? (4)
Oesophageal reflux
Cardiac arrythmia
Nausea
Insomnia
Not very effective
What are indication for supplemental O2 for air-travel in this COPD / chronic lung disease patient?
indication for Lung transplant in COPD patient? (4)
FEV1 <25% - End-stage disease
No other significant organ failure / comorbidity
Age <65
Have not had previous thoracic surgery
(1-year survival >80% in this group)
What is your approach to prevent deterioration of COPD (pharmacological)?
Goals: prevent deterioration and manage exacerbation.
Prevent deterioration