What are the risk factors for TB? (4)
Immigrants from countries with high rates of TB (Africa, South America, Asia)
Immunodeficiency - HIV, drugs (e.g. anti-TNFs, steroids), transplant, steroids
Chronic diseases: diabetes, CKD, Chronic liver (cirrhosis), chronic lung disease (silicosis, COPD), malnutrition, malignancy
Substance use: Smoking, alcohol, drug use
TB - history?
P: symptoms, diagnosis date
Risk factors - contact, recent immigrant, ImmSx, chronic disease, substances, had BCG (at what age)?
I: How was it dx? CXR/CT, Mantoux/IGRA screening, TB sputum culture (having to give early morning sputum), Bronchoscopy/BAL
C: compliance - how is the drug administered (TB clinic - supervised vs. self)
M: Tx history - in detail. Doses, duration, previous treatments and resistance
C:
Prognosis/current Progress
IGRA +ve means what?
It is a diagnostic test for latent TB infection.
It cannot distinguish between latent vs active TB disease.
Negative IGRA does not rule out active TB at any stage.
What constitutes a positive tuberculin skin test (TST/Mantoux)?
≥5mm (High-Risk)
≥10mm (intermediate-risk) - all other at-risk groups, i.e.
≥15mm in all other patients.
When would you choose IGRA (interferon gamma release assay) over TST?
When patient had BCG vaccination as they are less likely to return to have TST read.
Rifampicin - usual daily dose and 3 side effects?
600mg/day.
RifamPicin
Red-orange urine
P450 inducer
Hepatitis
Isoniazid - 3 side effects + daily dose
INH - 300mg (reduce the dose in CKD to 2-3 times per week)
Iron accumulation in mitochondria → sideroblastic anaemia
Neuropathy (peripheral) - give vitamin B6 (Pyridoxine)
Hepatitis
Ethambutol usual dose and side effect (1)?
15mg/kg.
Ethambutol = Eye problems
Optic neuritis, decreased acuity + red/green discrimination
Pyrazinamide usual dose and side effects (2)?
1.5 - 2g / day
PyRAZinamide - Raise uric acid - Gout
Hepatitis
PAS (Para-Aminosalicylic Acid) - purpose, dose and 3 side effects?
12g.
Hepatitis
Diarrhoea
Hypersensitivity
Streptomycin side effects (2) and dose?
StReptOmycin
Ototoxicity
Renal impairment
1g/day - contraindicated in pregnancy
TB - exam finding to report?
General: Cachexia & wasting
Chest: upper-lobe coarse crackles/wheezes due to partial bronchial obstruction by lymphadenopathy
Amphoric breath sound (rare)
Extra-pulmonary (LN, Heart, Abdo, Renal, Bones)
Lymphadenopathy (especially in HIV patient) - most common
TB pericarditis - say no muffled breath sounds to suggest tamponade
Abdominal mass - say no evidence of TB peritonitis (severe tenderness)
Renal angle tenderness (GU involvement)
Pott’s - lumbar spine/Hips/Knees
Positive TST (or IGRA) but no active disease on CXR and sputum for AFB. What is your management?
A careful approach to balancing the risk of disease vs. risk of treatment. Especially in elderly ≥65 (risk increases from 50) given risk of serious hepatotoxicity - there is linear relationship between the two.
Regime is usually INH for 9 months (90% never re-activate)
Causes for false -ve TST? (4)
ImmuSx
Elderly (re-check after 3 weeks)
Miliary TB (50%)
Recent exposure (re-check after 12 weeks)
Does QuntiFERON GOLD assay positivity always indicate TB infection? If IGRA -ve, does it mean that patient does not have TB?
No - false +ve can occur with other atypical mycobacteria. 98% specificity.
False -ve also occur, as sensitivity is only 80-85% (not a great NPV)
What are the indications of testing for Latent TB infection (LTBI)? in which setting is TST preferred and why?
Individuals who are at risk of…
What is your approach to investigating a suspected active TB?
What are the risk factors for MDRTB? (3)
Prior TB treatment
Progression whilst receiving therapy
From a region (or contact with) with high prevalence of MDRTB (China, India, Russia - I would look this up)
TB PCR/NAAT - What are caveats?
False-positive can occur (contamination/lab-error) hence should be interpreted in conjunction with AFB smear
Does not distinguish between dead / live organisms - so can remain +ve even after therapy. Therefore NAAT is only appropriate for initial diagnostic purposes but not for monitoring treatment
Must be confirmed by culture
What is the 1st line drug regime for pulmonary & extra-pulmonary TB?
Pulmonary TB
RIPE - 4 drugs - Rifampicin, Isoniazid, Pyrazinamide, Ethambutol for 2 months, followed by 4 months of 2 drugs (usually rifampicin and INH).
Extra-pulmonary: same, except for
CNS (12 months + steroids for TB meningitis) or bone/joint (Pott’s - 9 months) disease.
What is your approach to managing this patient with TB? (e.g. previously treated TB in transplant patient presenting with SOB/Cough)
Confirm previous dx: sputum/specimen/biopsy AFB cultures, histo, NAAT, sensitivities to drugs, and regimes patient received. Pulmonary vs. extra-pulmonary.
A:
T: non-pharm (once confirmed)
T: Pharm
Involve GP, Family, TB specialist for ongoing support and monitoring of adherence
Ensure F/U - monitor progress & screen for complicaitons
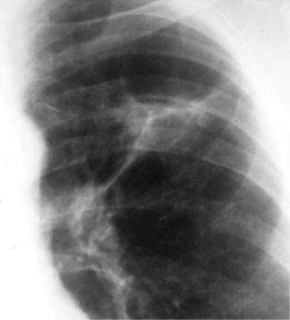
Comment on below CXR (in context of patient with TB)?

Ghon focus is a small round area of shadowing that results from granulomatous inflammation. Classically found in the midzone (upper part of lower lobe or lower part of upper lobe).
If the Ghon focus also involves infection of adjacent lymph nodes / hilar lymph nodes - it is known as Ghons complex (or primary complex) - seen in the photo.
When it undergoes fibrosis/calcify (as part of healing) - it is called Ranke complex.
In contrast, TB reactivation/re-infection - cavitation occur & there is no lymphadenopathy.
Patient was started on RIPE for TB. LFTs are derranged - what should you do?
This depends on the degree of derrangement.
Transaminitis up to 3 times ULN - no cause for concern and poorly correlates to significant hepatotoxicity.
Newly dx TB patient. If a close contacts (e.g. household) relative or colleague have negative TST, what would you do?
Treat for 12 weeks and repeat the TST