Coroscanner Flashcards

(6 cards)

1
Q

Coroscanner est utilisé dans quel cas ?

A

. pour risque faible +++

. acquisition en télédiastole

How well did you know this?
1
Not at all
2
3
4
5
Perfectly
2
Q

Coroscanner: peut se faire de 2 façons

A

. sans injection

. avec injection

How well did you know this?
1
Not at all
2
3
4
5
Perfectly
3
Q

Coroscanner sans injection:

A

. calcul du score calcique

How well did you know this?
1
Not at all
2
3
4
5
Perfectly
4
Q

Score calcique: permet quoi ?

A

. Reflet les calcification coronaires

. donne une valeur pronostic

. reflet le risque d’un évènement CV global

How well did you know this?
1
Not at all
2
3
4
5
Perfectly
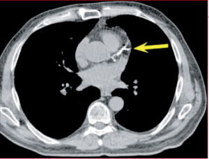
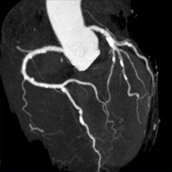
5
Q

Coroscanner avec injection: permet quoi ?

A

. détecte les sténoses coronariennes

. visualise l’anatomie coronaire sans renseignement sur le caractère fonctionnel

. très bonne VPN

. mais mauvaise VPP

How well did you know this?
1
Not at all
2
3
4
5
Perfectly
6
Q

Coroscanner avec injection: du fait du mauvais VPP, quoi faire en cas de positivité ?

A

. si + -> réaliser un test d’ischémie avant la coronographie

. attention mesure faussée en cas :

  • de tachycardie (possible administration de beta-bloquer)
  • si artères calcifiées
  • artères distales
How well did you know this?
1
Not at all
2
3
4
5
Perfectly