Cours 7 Flashcards

(28 cards)

1
Q

Nomme les 3 constituants cellulaires du tissu sanguin

A

1 - Globules rouges (érythrocytes)
2 - Globules blancs (leucocytes)
3 - Plaquettes (thrombocytes)

How well did you know this?
1
Not at all
2
3
4
5
Perfectly
2
Q

Nomme les fonctions et décris la morphologie des GR

A

Fonctions :
- Transport de l’oxygène
(par diffusion des alvéoles pulmonaires aux capillaires sanguins)

Morphologie :
- Immobiles (pas flagelles/pseudopodes)
- Disque biconcave
- Anucléé
- Membrane plasmique + cytosquelette

How well did you know this?
1
Not at all
2
3
4
5
Perfectly
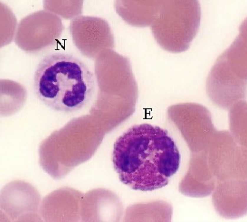
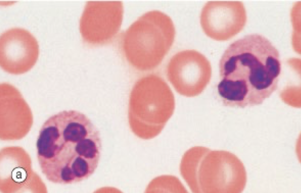
3
Q

Nomme les fonctions et décris la morphologie des NEUTROPHILES (GB)

A

Fonctions :
- Action anti-infectieuse immédiate + non spécifique
- Phagocyte

Morphologie :
- Noyau multilobé
- Polynuclée
- Pseudopode
- Taille moyenne (mais la + petite des granulés)

How well did you know this?
1
Not at all
2
3
4
5
Perfectly
4
Q

Nomme les fonctions et décris la morphologie des ÉOSINOPHILES (GB)

A

Fonctions :
- Effet cytotoxique
- Effet facilitateur de phagocytose
- Faible phagocytose

Morphologie :
- Noyau bilobé
- + grand que neutrophile

How well did you know this?
1
Not at all
2
3
4
5
Perfectly
5
Q

Nomme les fonctions et décris la morphologie des BASOPHILES (GB)

A

Fonctions :
- Empêche coagulation (dans vaisseaux sanguins)
- Augmente perméabilité des capillaires

Morphologie :
- Noyau bilobé
- Gros granules
- Taille intermédaire entre éosinophile et neutrophile

How well did you know this?
1
Not at all
2
3
4
5
Perfectly
6
Q

Nomme les fonctions et décris la morphologie des LYMPHOCYTES (GB)

A

Fonctions :
- Sécrétion des anticorps (par lymphocytes B devenus plasmocytes)

Morphologie :
- PLus petites de la lignée blanche
- Gros noyau rond, cyto mince et non granulaire

How well did you know this?
1
Not at all
2
3
4
5
Perfectly
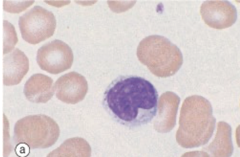
7
Q

Nomme les fonctions et décris la morphologie des MONOCYTES (GB)

A

Fonctions :
- Phagocytose

Morphologie :
- les + plus gros leucocytes
- Grand noyau excentrique, (souvent indentation profonde) - fer à cehval
- Aspect verre dépoli
-

How well did you know this?
1
Not at all
2
3
4
5
Perfectly
8
Q

Nomme les fonctions et décris la morphologie des PLAQUETTES

A

Fonctions :
- Formation clou plaquettaire
(Prévention de l’hémorragie)

Morphologie :
- Fragments cytoplasmiques
- Membrane détachée des mégacaryocytes

How well did you know this?
1
Not at all
2
3
4
5
Perfectly
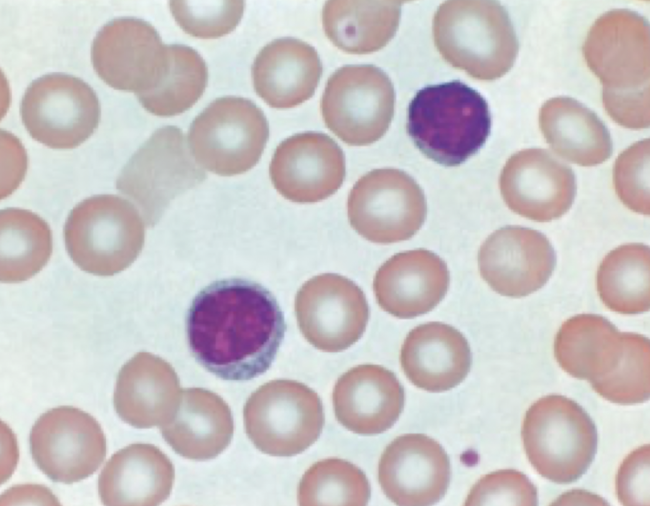
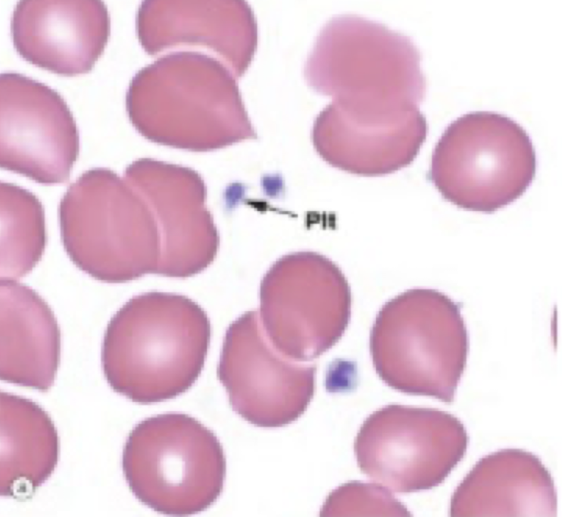
9
Q

Nomme les solutions ou type de cellules sanguines associés aux formes des globules rouges sur l’image

A
How well did you know this?
1
Not at all
2
3
4
5
Perfectly
10
Q

Provenance des :
1) GR
2) Neutrophiles
3) Éosinophiles
4) Basophiles
5) Lymphocytes
6) Monocytes
7) Plaquette

A

1) GR : érythroblaste *

2) Neutrophiles : Myéloblaste *

3) Éosinophiles : Myéloblaste *

4) Basophiles : Myéloblaste *

5) Lymphocytes : Progéniteur lymphoïde

6) Monocytes : Monoblaste *

7) Plaquette : Mégacaryocyte <– Mégacaryoblaste *

  • *Provient d’un progéniteur myéloïde
How well did you know this?
1
Not at all
2
3
4
5
Perfectly
11
Q

Effets des cytokines (2) régulatrices de l’hématopoïèse :

A
  1. Érythropoïétine (EPO)
    - Production GR
  2. Thrombopoïétine (TBO)
    - Production mégacaryocytes et GR
How well did you know this?
1
Not at all
2
3
4
5
Perfectly
12
Q

À quoi correspond le principe de l’hémostase

A

Phénomène naturels qui permettent l’arrêt du saignement en trois phases

How well did you know this?
1
Not at all
2
3
4
5
Perfectly
13
Q

À quoi correspond l’étape de l’hémostase primaire (4)

[comprendre le principe]

A
  1. Bris de paroi endothéliale du vaisseau sanguin
  2. Liaison plaquettes-collagène (via facteurs coagulation + glycoprotéines)
  3. Recrutement fibrinogène (forme clou)
  4. Expression phopholipides des plaquettes
How well did you know this?
1
Not at all
2
3
4
5
Perfectly
14
Q

À quoi correspond l’étape de la coagulation plasmatique (3)

[comprendre le principe]

A
  1. Activation prothrombine en thrombine (via facteurs de coagulation + phopholipides)
  2. Fibrinogène converti en fibrine
  3. Inhibition coagulation
How well did you know this?
1
Not at all
2
3
4
5
Perfectly
15
Q

À quoi correspond l’étape de la fibrolyse (1)

[comprendre le principe]

A
  1. Resolubilisassions de la fibrine
How well did you know this?
1
Not at all
2
3
4
5
Perfectly
16
Q

Explique le fonctionnement des sarcomères

A

Sarcomère = unité des myofibrille responsable de la contraction des fibres musculaires

  • Bande H : zone myosine seulement
  • Bande I : zone actine seulement
  • Ligne Z : Limites sarcomère (actine retenue ici)
  • Ligne M : Zone discoïde (myosine retenue ici)
  • À l’état contraction : bande H et I se chevauchent
17
Q

Explique la contraction musculaire :
(implication de la jonction neuromusculaire/actine/myosine/Ca2+)

A

1 - PA envoie l’ACh à la jonction neuromusculaire

2 - Récepteurs cholinergiques du sarcolemme = déclenchement relâche du Ca2+ dans RE

3 - Calcium se fixe sur troponine = changement de conformation de l’actine

4 - Déplacement de tropomyosine = libération site sur actine = contact tête myosine-site.

5 - Chevauchement actine-myosine = contraction

18
Q

Nomme les 3 types de tissus musculaires

A

1 - Muscle SQUELETTIQUE (strié)

2 - Muscle LISSE

3 - Muscle CARDIAQUE

19
Q

Caractéristiques (7) du muscle SQUELETTIQUE

A

1 - Contrôle de posture + mouvements

2 - Volontaire

3 - Cellules volumineuses/allongées/1m de long possible

4 - Polynucléées (en situation périphérique)

5 - Fibres < faisceaux < endomysium < péri < épi

6 - Striations transversales = organisation myofribrilles

7 - Mécanisme contraction par glissement filaments

20
Q

Caractéristiques (7) du muscle LISSE

A

1 - Composition des structures viscérales (vx sanguins/tractus gastro-intestinal/utérus/vessie)

2 - Involontaire / autonome

3 - Petites cellules fusiformes

4 - 1 noyau central

5 - Réseau collagène (en périphérie)

6 - Pas de striations (myofibrilles sur corps dense)

7 - Cellules raccourcies et épaissies lors de contractions

21
Q

Caractérsistiques (6) du muscle CARDIAQUE

A

1 - Contractibilité rythmique/continue du coeur

2 - Cellules ramifiés / allongées / interconnectées

3 - Noyau unique central (+ qq cellules bi-nucléées)

4 - Involontaire / spontanément contractile / autonome

5 - Striations transversales (disques intercalaires)

6 - Mécanisme contraction par glissement filaments

22
Q

1) Qu’est-ce qui entoure les fibres musculaires ?

2) Qu’est-ce qui sépare les faisceaux (regroupement de fibres) ?

3) Qu’est-ce qui entoure les faisceaux et le Périmysium ?

A

1) Fibres entourées par ENDOMYSIUM

2) Faisceaux séparés par PÉRIMYSIUM (tissu conjonctif lâche)

3) Faisceaux et Périmysium entouré par ÉPIMYSIUM
(tissu conjonctif dense orienté)

23
Q

Caractéristiques (5) fibres aérobiques ou rouge ou type 1

A
  • Contraction lente
  • Riche en myoglobines et mitochondries
  • Richement vascularisées
  • Posture et endurance
  • PEU D’HYPERTROPHIE
24
Q

Caractéristiques (6) fibres anaérobiques ou blanche ou type 2

A
  • Contraction rapide
  • plus volumineuse
  • Riche en glycogène
  • Puissance sur courte période
  • HYPERTROPHIE
  • Relation dense avec tissu nerveux
25
3 types d'hypertrophie
1. Hypertrophie myofibrillaire 2. Hypertrophie sarcoplasmique 3. Hypertrophie par hyperplasie
26
Explique le principe d'hypertrophie myofibrillaire
Adaptation de solidité et d'épaisseurs des myofibrilles suite à un dommage pour résister aux stimuli futurs
27
Explique le principe d'hypertrophie sarcoplasmique
- Adaptation par épuisement des réserves - Augmentation du volume du liquide intracellulaire dans le sarcoplasme = gonflement muscle
28
Explique le principe d'hypertrophie par hyperplasie
- Augmentation du nombre de fibres msuculaires (controversé)