CP Week 2 Flashcards

(269 cards)

1
Q

What marks the T4/T5 intervertebral disc level and the attachment of the 2nd costal cartilage?

A

The Sternal Angle (of Louis)

Used to count ribs during physical examination.

How well did you know this?
1
Not at all
2
3
4
5
Perfectly
2
Q

What does the pericardial cavity contain that lubricates surfaces and maintains lung-chest wall contact?

A

A capillary layer of serous fluid

Lack of fluid can lead to friction or tamponade.

How well did you know this?
1
Not at all
2
3
4
5
Perfectly
3
Q

Where is the Transverse Pericardial Sinus located?

A

Posterior to the ascending aorta and pulmonary trunk, anterior to the superior vena cava

It is a critical surgical landmark.

How well did you know this?
1
Not at all
2
3
4
5
Perfectly
4
Q

How does the structure of the right main bronchus differ from the left?

A

Wider, shorter, and runs more vertically

This structure leads to a higher likelihood of foreign body aspiration into the right lung.

How well did you know this?
1
Not at all
2
3
4
5
Perfectly
5
Q

What structures run from anterior to posterior in the superior mediastinum?

A
  • Thymus
  • Veins
  • Arteries
  • Trachea
  • Esophagus
  • Thoracic Duct

Nerves like Vagus and Phrenic run integrated within layers.

How well did you know this?
1
Not at all
2
3
4
5
Perfectly
6
Q

Where do the phrenic and vagus nerves run in relation to the root of the lung?

A

Phrenic nerves run anterior; Vagus nerves run posterior

Important for root of lung dissection.

How well did you know this?
1
Not at all
2
3
4
5
Perfectly
7
Q

When are coronary arteries perfused?

A

During ventricular diastole

Aortic recoil pushes blood back into the aortic sinuses.

How well did you know this?
1
Not at all
2
3
4
5
Perfectly
8
Q

From where do the right and left coronary arteries arise?

A
  • Right coronary artery: right aortic sinus
  • Left coronary artery: left aortic sinus
  • Posterior sinus: typically noncoronary

Important for coronary angiography.

How well did you know this?
1
Not at all
2
3
4
5
Perfectly
9
Q

What is the function of the cardiac skeleton?

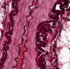
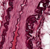
A

Supports valves and acts as electrical insulation

Ensures atria and ventricles contract independently.

How well did you know this?
1
Not at all
2
3
4
5
Perfectly
10
Q

What is the ligamentum arteriosum a remnant of?

A

The fetal ductus arteriosus

It connects the pulmonary trunk to the arch of the aorta.

How well did you know this?
1
Not at all
2
3
4
5
Perfectly
11
Q

What effect does sympathetic stimulation have on heart rate and force?

A

Increases heart rate and force, causing coronary artery dilation

Involves T1-T5/T6 presynaptic fibers.

How well did you know this?
1
Not at all
2
3
4
5
Perfectly
12
Q

What is the anatomy of the right ventricle characterized by?

A

Smooth outflow portion (conus arteriosus/infundibulum) leading to pulmonary trunk

Separated from inflow by the supraventricular crest.

How well did you know this?
1
Not at all
2
3
4
5
Perfectly
13
Q

What principle governs blood flow regulation?

A

The heart pumps all the blood returned to it (Frank-Starling Law)

Cardiac Output is the sum of all local tissue blood flows controlled by tissue needs.

How well did you know this?
1
Not at all
2
3
4
5
Perfectly
14
Q

What happens to cardiac muscle with increased venous return?

A

Stretches cardiac muscle, optimizing actin-myosin interdigitation

This increases force of contraction/stroke volume within physiological limits.

How well did you know this?
1
Not at all
2
3
4
5
Perfectly
15
Q

What is the normal pressure in the pleural cavity?

A

Subatmospheric/negative (e.g., -5 cm H2O at rest)

Results from opposing elastic forces of the lung and chest wall.

How well did you know this?
1
Not at all
2
3
4
5
Perfectly
16
Q

What type of epithelium lines the respiratory tract?

A

Ciliated pseudostratified columnar epithelium with goblet cells

Lines conducting portion from nasal cavity down to terminal bronchioles.

How well did you know this?
1
Not at all
2
3
4
5
Perfectly
17
Q

What is the function of cilia in the respiratory epithelium?

A

Move mucus layer toward the pharynx

Dysfunction can lead to chronic infections and male infertility (e.g., Kartagener Syndrome).

How well did you know this?
1
Not at all
2
3
4
5
Perfectly
18
Q

What are the histological types of capillaries?

A
  • Continuous
  • Fenestrated
  • Discontinuous/Sinusoidal

Each type has different permeability characteristics.

How well did you know this?
1
Not at all
2
3
4
5
Perfectly
19
Q

What are the differences between Type I and Type II alveolar cells?

A
  • Type I: Extremely thin, form blood-air barrier, optimized for gas exchange
  • Type II: Cuboidal, secrete pulmonary surfactant

Type II lowers surface tension; important in conditions like Respiratory Distress Syndrome.

How well did you know this?
1
Not at all
2
3
4
5
Perfectly
20
Q

What is aortic coarctation?

A

Narrowing of the aorta lumen

Classified into preductal or postductal types.

How well did you know this?
1
Not at all
2
3
4
5
Perfectly
21
Q

What characterizes obstructive lung disease?

A

Increased resistance and high lung volumes

Patients seek higher volume to increase airway caliber via radial traction.

How well did you know this?
1
Not at all
2
3
4
5
Perfectly
22
Q

What is the composition of the blood-air barrier?

A

Fused basal laminae of capillary endothelium and Type I alveolar cells

Highly attenuated for rapid gas diffusion.

How well did you know this?
1
Not at all
2
3
4
5
Perfectly
23
Q

What does the ECG T wave represent?

A

Ventricular repolarization

Important in diagnosing conditions like hyperkalemia or ischemia.

How well did you know this?
1
Not at all
2
3
4
5
Perfectly
24
Q

What can cause congenital heart defects during embryonic development?

A

Viral infection during the first trimester (e.g., German measles)

The fetal heart is forming during this period.

How well did you know this?
1
Not at all
2
3
4
5
Perfectly
25
What is arteriosclerosis?
Hardening and loss of elasticity of arterial walls ## Footnote Atherosclerosis is the primary cause of ischemic heart disease.
26
What are the remnants of fetal circulation?
* Ductus arteriosus: ligamentum arteriosum * Ductus venosus: ligamentum venosum * Foramen ovale: fossa ovalis ## Footnote Important for understanding neonatal circulation.
27
When does cardiovascular development begin?
Around day 18 ## Footnote This marks the initiation of the heart formation in the embryo.
28
What occurs during days 22-26 of cardiovascular development?
Heart looping ## Footnote This process involves the bending of the heart tube to establish the proper orientation of the heart.
29
When are functional valves in the heart complete?
Approximately 7 weeks ## Footnote This is critical for ensuring proper blood flow through the heart.
30
What do bilateral endocardial tubes fuse to form?
A single heart tube ## Footnote This fusion occurs during embryonic folding.
31
What are the five primitive "rooms" of the heart tube? (Mnemonic: Some People Value Bouncing Tennisballs)
**S**inus Venosus **P**rimitive Atrium Primitive **V**entricle **B**ulbus Cordis **T**runcus Arteriosus
32
What does the sinus venosus develop into?
Smooth part of the Right Atrium, SA node, coronary sinus, and the oblique vein of the left atrium ## Footnote These structures are vital for the heart's electrical conduction and blood flow.
33
What is formed from the primitive atrium?
Trabeculated parts of both adult right and left atrium ## Footnote This structure contributes to the overall shape and function of the atria.
34
What does the primitive ventricle give rise to?
Trabeculated parts of both adult left and right ventricles ## Footnote These parts are essential for effective pumping of blood.
35
What does the bulbus cordis develop into?
Smooth outflow tract of the Right Ventricle and smooth part of the Left Ventricle ## Footnote This includes structures like the **conus arteriosus** and **aortic vestibule**.
36
What does the truncus arteriosus form?
Ascending Aorta and Pulmonary Trunk ## Footnote These are major vessels responsible for carrying blood away from the heart.
37
What is dextrocardia?
Improper or reversed cardiac looping ## Footnote This results in the heart being located in the right chest cavity.
38
What is the role of the secondary heart field (SHF)?
SHF -> Right Ventricle (Finishes the right-side pump). SHF -> Outflow Tract (Builds the two great arteries: Aorta and Pulmonary Artery). ## Footnote SHF cells are crucial for the development of these heart structures.
39
What does the proepicardium contribute to?
Formation of the epicardium and cellular precursors for coronary arteries ## Footnote This is essential for heart vascularization.
40
What happens during AV canal septation?
AV cushions fuse to form the AV septum and valves ## Footnote This separates atrial and ventricular canals.
41
What is the function of the septum primum in atrial septation?
Grows down toward the AV cushions, allowing R → L shunt of oxygenated fetal blood ## Footnote This is important for fetal circulation.
42
What does the septum secundum do?
Grows adjacent to the septum primum, forming the Foramen Ovale ## Footnote This allows for continued shunting of blood in fetal life.
43
What is the membranous interventricular septum formed by?
Fusion of the muscular IVS, AV cushions, and conotruncal ridges ## Footnote Failure to fuse leads to common VSD types.
44
What is the aorticopulmonary septum formed by?
Conotruncal ridges that spiral to separate the truncus arteriosus ## Footnote This is crucial for proper division of the aorta and pulmonary trunk.
45
What role do cardiac neural crest cells (CNC) play?
Form the conotruncal ridges essential for spiraling outflow tract septation ## Footnote CNC are vital for normal heart structure.
46
What is persistent truncus arteriosus (PTA)?
Failure of CNC migration leads to a single outflow vessel ## Footnote This is a cyanotic congenital defect.
47
What causes transposition of the great arteries (TGA)?
Failure of the outflow tract spiraling event ## Footnote This condition results in the aorta arising from the RV.
48
What is a classic chest X-ray finding in TGA (Transposition of the Great Arteries)?
Narrow superior mediastinum with an 'egg-on-a-string' appearance ## Footnote This radiographic appearance indicates misaligned great vessels.
49
What does aortic arch 3 form?
Common Carotid Artery and first part of the Internal Carotid Artery ## Footnote These arteries supply blood to the head and neck.
50
What does aortic arch 4 develop into on the left side?
Arch of the Aorta ## Footnote This extends from the left common carotid to the left subclavian artery.
51
What does aortic arch 6 form on the left side?
Left Pulmonary Artery and Ductus Arteriosus ## Footnote These structures are important for fetal circulation.
52
How does the left recurrent laryngeal nerve course change?
Loops under the Ductus Arteriosus ## Footnote This is due to asymmetrical arch development.
53
What do umbilical arteries become postnatally?
Internal iliac and superior vesical arteries, and umbilical ligaments ## Footnote These derivatives are involved in pelvic circulation.
54
What is the SA Node developed from?
Specialized cardiac myocytes in the right wall of the sinus venosus ## Footnote This development occurs during the 5th week.
55
What does the fetal ductus venosus do?
Bypasses the majority of the liver, directing blood to the IVC ## Footnote This helps in oxygenating blood from the placenta.
56
What is the function of the fetal foramen ovale?
Bypasses the right ventricle/pulmonary circulation ## Footnote This allows for effective fetal blood flow.
57
What connects the pulmonary artery to the aorta in the fetus?
Fetal ductus arteriosus ## Footnote This structure bypasses the non-functional fetal lungs.
58
What is the primary physiologic change that initiates the functional closure of the ductus arteriosus after birth?
Increased PO₂, decreased prostaglandin E2, and bradykinin secretion ## Footnote These factors are crucial for the transition to postnatal circulation.
59
What causes the functional closure of the foramen ovale?
Increased Left Atrial Pressure after the first breath ## Footnote This pressure change leads to the septum primum sealing off the foramen.
60
What does the left umbilical vein become after birth?
Ligamentum Teres Hepatis ## Footnote This remnant is a fibrous cord in the liver.
61
What do the anterior cardinal veins form?
Left Brachiocephalic Vein and Right Brachiocephalic Vein ## Footnote These veins are important for draining the upper body into the heart.
62
What do supracardinal veins develop into?
IVC segment (thoracic), azygos, and hemiazygos veins ## Footnote These veins are critical for venous return from the lower body.
63
What is the definition of the Cardiac Cycle?
Sequence of mechanical events (contraction/relaxation) driven by cyclic variations in cardiac electrical activity.
64
What is the duration of Diastole compared to Systole?
Diastole (0.53 sec) is nearly twice as long as Systole (0.27 sec) at a normal heart rate (75 bpm).
65
What condition severely shortens the critical diastolic filling time?
Tachycardia.
66
What is End Diastolic Volume (EDV)?
Maximum blood volume in the ventricle at the end of diastole, just before contraction; represents Preload (approx 135 mL).
67
What does the P wave represent in cardiac physiology?
SA node fire/atrial depolarization; precedes atrial contraction.
68
What does the QRS Complex signify?
Ventricular excitation/depolarization, signaling the onset of ventricular systole.
69
What causes the First Heart Sound (S1)?
Sharp closure of the Atrioventricular (AV) valves when ventricular pressure exceeds atrial pressure.
70
What is Isovolumetric Contraction (IVC)?
Phase where all four valves are closed; ventricular volume is constant while pressure increases.
71
What marks the Aortic Valve Opening?
Occurs when Ventricular Pressure surpasses Aortic Pressure; starts the ejection phase.
72
What does the T wave signify?
Ventricular repolarization, marking the end of systole and onset of ventricular relaxation.
73
What causes the Second Heart Sound (S2)?
Sharp closure of the Semilunar valves when ventricular pressure falls below arterial pressure.
74
What is the Dicrotic Notch?
Brief disturbance on the aortic pressure curve produced by the closure of the aortic valve.
75
What is End Systolic Volume (ESV)?
Minimum volume of blood left in the ventricle at the end of systole (approx 65 mL).
76
What occurs during Isovolumetric Relaxation (IVR)?
All four valves are closed; ventricular volume is constant while pressure drops.
77
What does the Atrial Pressure A wave represent?
Pressure increase in the atrium due to atrial systole (contraction).
78
What does the Atrial Pressure C wave indicate?
Pressure increase due to the AV valve bulging back into the atrium during early isovolumetric contraction.
79
What does the Atrial Pressure V wave signify?
Pressure increase due to the atrium filling with venous blood while the AV valve is closed.
80
What are Jugular Venous Pressure (JVP) Waves associated with?
Physiologically identical to right atrial pressure changes (A, C, V waves).
81
When is the Third Heart Sound (S3) audible?
During rapid ventricular filling (early diastole); caused by blood *sloshing* into a compliant ventricular wall. ## Footnote A sign of a dilated ventricle
82
What does the Fourth Heart Sound (S4) indicate?
Audible during reduced filling/atrial systole; caused by blood *striking* a stiffened ventricular wall. ## Footnote A sign of a hypertrophied ventricle
83
What are the pressure levels in the Right Heart compared to the Left Heart?
Pulmonary pressures (25/8 mmHg) are lower than Aortic pressures (120/80 mmHg).
84
What characterizes the Right Heart Isovolumetric Phases?
Shorter phases of isovolumetric contraction and relaxation compared to the left heart due to lower required pressures.
85
What is the formula for Cardiac Output (CO)?
CO (L/min) equals Stroke Volume (L/beat) times Heart Rate (bpm) ## Footnote This formula is fundamental in understanding hemodynamics.
86
How is Stroke Volume (SV) calculated?
SV is the difference between End-Diastolic Volume (EDV) and End-Systolic Volume (ESV): SV = EDV - ESV ## Footnote This is crucial for assessing ventricular function.
87
What is the Cardiac Index (CI)?
CO normalized to body size (Body Surface Area) for clinical contexts like medication dosing ## Footnote CI allows for more accurate assessment based on individual size.
88
Define Preload.
Degree of passive tension/stretch exerted on myocardial fibers at the end of diastole, estimated by ventricular and EDV/pressure ## Footnote Preload is a key determinant of cardiac performance.
89
What is Afterload?
Pressure or resistance the ventricle must overcome to eject blood during systole; defined by aortic diastolic pressure and outflow resistance ## Footnote Afterload influences cardiac workload.
90
Define Contractility.
Intrinsic ability of the heart muscle to contract and generate force, **independent of changes in preload or afterload** ## Footnote This is often referred to as **inotropy**.
91
What does the Frank-Starling Law of the Heart state?
Output is directly related to filling (Preload); the heart pumps what it receives, balancing RV and LV outputs ## Footnote This principle is vital for understanding ventricular balance.
92
What is the significance of Starling's Law?
Maintains output balance between pulmonary and systemic circulations; a 1% mismatch shifts total blood volume into one circuit, causing catastrophic pulmonary congestion ## Footnote This can lead to conditions like pulmonary edema.
93
What is the molecular basis of Starling's Law?
Increased sarcomere length (due to filling/Preload) increases Ca²⁺ sensitivity of contractile filaments, leading to greater tension/force generation ## Footnote This highlights the biochemical mechanisms involved in cardiac function.
94
What determines Preload?
Central Venous Pressure (CVP) is the major determinant of right atrial pressure (RAP), which determines ventricular filling (preload) ## Footnote CVP reflects the volume status of the patient.
95
What factors affect CVP/Preload?
* Venous smooth muscle tone * Blood volume * Body position (gravity) * Intrathoracic pressure (respiratory pump) * Skeletal muscle pump ## Footnote These factors influence venous return and cardiac filling.
96
What is a pathophysiologic limit to Preload?
Increased pericardial pressure (effusion/tamponade) or decreased ventricular compliance (hypertrophy) limits diastolic filling, reducing EDV ## Footnote This can lead to compromised cardiac output.
97
How does increased Afterload affect Stroke Volume (SV)?
Increased afterload (e.g., high BP) decreases shortening velocity, forcing the heart to spend more time generating pressure during IVC, reducing overall ejection time and SV ## Footnote This relationship is crucial in systemic hypertension.
98
What is Ejection Fraction (EF)?
Index of cardiac performance, calculated as SV/EDV × 100%; normal range is 55-70% ## Footnote EF is a key indicator of heart function.
99
What happens to EF in Dilated Cardiomyopathy?
EF decreases due to reduced SV (weak pump) and increased EDV (chamber dilation), key measure of systolic heart failure severity ## Footnote This condition reflects severe heart dysfunction.
100
What does the End-Systolic Pressure Volume Relation (ESPVR) describe?
Describes maximal pressure ventricle develops at any given volume; the slope is the best, load-independent index of intrinsic contractility (Inotropy) ## Footnote ESPVR is important for assessing contractility.
101
How do pharmacologic inotropes affect ESPVR?
Positive inotropes (Dobutamine) increase contractility, resulting in a steeper ESPVR slope; Negative inotropes (Esmolol) result in a less steep slope ## Footnote This illustrates the pharmacological manipulation of cardiac function.
102
What is the index of contractility: dP/dt_max?
Rate of maximal ventricular pressure rise during isovolumetric contraction; increased dP/dt reflects increased contractility ## Footnote This measurement is critical for evaluating heart function.
103
What does the End Diastolic Pressure-Volume Relation (EDPVR) reflect?
Describes the passive filling curve; its slope reflects ventricular compliance/stretchiness ## Footnote EDPVR is essential for understanding diastolic function.
104
What is the effect of a stiff ventricle (hypertrophy)?
Decreased compliance/stretch leads to higher filling pressure (↑ EDP) at the same volume, limiting diastolic filling and EDV ## Footnote This condition is associated with diastolic dysfunction.
105
How does tachycardia affect Stroke Volume (SV)?
Increased HR severely reduces diastolic time available for ventricular filling, resulting in reduced EDV and decreased SV ## Footnote This highlights the importance of heart rate in cardiac performance.
106
What is the CO/VR equilibrium point?
The intersection of the Cardiac Function Curve (CFC) and Vascular Function Curve (VFC) represents the steady-state CO and RAP ## Footnote This point is crucial for understanding circulatory stability.
107
What is the equation for Venous Return (VR)?
VR is proportional to the pressure gradient driving flow: (Central Venous Pressure - Right Atrial Pressure) / Resistance ## Footnote This equation is fundamental in hemodynamics.
108
What is the Mean Systemic Filling Pressure (MSFP)?
Theoretical pressure if the heart stopped and all vessel pressures equalized; measures the 'fullness' of the circulatory system ## Footnote MSFP provides insight into blood volume status.
109
What is the effect of increased blood volume/venous tone on VFC?
Increased blood volume or sympathetic-induced venous tone (venoconstriction) shifts the VFC upward and to the right, increasing MSFP and VR ## Footnote This is important in the treatment of hypovolemia.
110
What happens to VFC with increased Total Peripheral Resistance (TPR)?
Arteriolar constriction increases TPR causing a counter-clockwise rotation of the VFC (less VR at any given RAP); MSFP remains unchanged ## Footnote Understanding this relationship is key for managing vascular resistance.
111
How does acute cardiac failure affect the PV loop?
Shifts PV loop toward higher ESV (incomplete ejection) and reduced SV; reduced contractility is the primary driver ## Footnote This change is critical for recognizing acute heart failure.
112
What occurs in chronic compensated heart failure?
CO is restored toward normal (5 L/min) via RAAS activation and increased blood volume, but at the expense of significantly increased RAP (preload/congestion) ## Footnote This highlights the compensatory mechanisms in heart failure.
113
What is the thickest layer in all arteries?
Tunica Intima (TI) ## Footnote This layer is crucial for the structural integrity of the artery.
114
What are the key features of the Tunica Media in a Large Elastic Artery?
Many elastic lamellae (elastic sheets) ## Footnote These elastic sheets allow for expansion and recoil of the artery.
115
What characterizes the Tunica Adventitia in a Large Elastic Artery?
Very sparse/thin connective tissue ## Footnote This layer provides structural support but is not as thick as in veins.
116
What is a prominent feature of the Internal Elastic Lamina in a Medium Muscular Artery?
Prominent, wavy border ## Footnote This feature aids in the flexibility and function of the artery.
117
How many concentric layers of smooth muscle can be found in the Tunica Media of a Medium Muscular Artery?
Up to 40 concentric layers ## Footnote This allows for significant regulation of blood flow.
118
What is the characteristic of the Tunica Media in an Arteriole?
Less than 5 layers of smooth muscle cells ## Footnote This limited number of layers allows for fine control of blood flow.
119
What is the appearance of the Endothelium in a Small Muscular Artery/Arteriole?
Scalloped layer/Wavy appearance ## Footnote This structure helps in adapting to changes in blood flow.
120
What is the wall structure of a Capillary?
One or two endothelial cells/basal lamina only ## Footnote This minimal structure facilitates efficient exchange of materials.
121
What is the thickest layer in a Large Vein (Vena Cava)?
Tunica Adventitia (TA) ## Footnote This layer contains longitudinal smooth muscle bundles.
122
How many layers of smooth muscle are typically found in the Tunica Media of a Large Vein (Vena Cava)?
Few layers, small bundles of smooth muscle ## Footnote This reflects the lower pressure in veins compared to arteries.
123
What is the characteristic of the lumen in a Venule?
Irregular, often collapsed lumen ## Footnote This shape helps in the passage of blood under lower pressure.
124
What is the wall structure of a Lymphatic Vessel?
Single layer endothelium; incomplete basal lamina; lacks distinct tunics ## Footnote This structure allows for the absorption of interstitial fluid.
125
What is the Endocardium in the Heart Wall?
Simple squamous endothelium (T. Intima equivalent) ## Footnote This layer lines the heart chambers and is crucial for smooth blood flow.
126
What type of muscle is found in the Myocardium of the Heart Wall?
Cardiac muscle (T. Media equivalent) ## Footnote This muscle type is responsible for the heart's pumping action.
127
What does the Epicardium consist of?
Connective tissue covered by mesothelium (T. Adventitia equivalent) ## Footnote This layer serves as a protective covering for the heart.
128
What is the function of the Sinoatrial (SA) Node in the heart's conduction system?
Natural pacemaker, located right upper atrium ## Footnote It initiates the electrical impulses that regulate heartbeats.
129
What are Purkinje Fibers characterized by?
Large diameter, abundant glycogen, sparse myofibrils (PALE and FAT) ## Footnote These fibers facilitate rapid conduction of electrical impulses.
130
What are the divisions of the Mediastinum?
Superior (T1-T4) and Inferior (T5-T12) divided by the transverse thoracic plane. ## Footnote The transverse thoracic plane is located at the T4/T5 junction and the sternal angle.
131
What contents are found in the Superior Mediastinum?
Aortic Arch/branches, SVC/Brachiocephalic veins, Esophagus/Trachea, Phrenic (C3-C5), Vagus Nerves. ## Footnote Phrenic Nerve provides motor control to the diaphragm.
132
Where is the Anterior Mediastinum located?
Posterior to sternum, anterior to pericardium; contains mostly fat and adult remnants of the Thymus Gland. ## Footnote The thymus is involved in immune function.
133
What are the contents of the Posterior Mediastinum? (DATES)
**D**escending Aorta **A**zygos Vein **T**horacic Duct **E**sophagus **S**ympathetic Trunk ## Footnote Esophagus, Thoracic Aorta, Sympathetic Trunk, Azygos/Hemiazygos system, Intercostal neurovasculature, Thoracic Duct. These structures are important for both vascular and nervous system functions.
134
What is Aortic Coarctation?
Congenital narrowing of the aorta leading to hypertension in upper extremities and weak/absent pulses in lower extremities. ## Footnote This condition can lead to significant cardiovascular issues.
135
What is a clinical trap associated with Aortic Coarctation?
Significant BP discrepancy (Arm higher than Leg) and development of collateral circulation visible on posterior chest wall (rib notching). ## Footnote Rib notching can be seen on chest X-ray (CXR) as a sign of long-standing coarctation.
136
What characterizes Preductal Coarctation?
Occurs proximal to the ductus arteriosus; more severe presentation resulting in critical systemic hypoperfusion early in life. ## Footnote This condition often requires immediate medical intervention.
137
What is the Postductal Coarctation Pitfall?
Occurs distal to the ductus arteriosus; less severe as collateral blood vessels develop, delaying symptom onset. ## Footnote Symptoms may not present until later in life.
138
What is the mechanism of Patent Ductus Arteriosus (PDA)?
Failure of the ductus arteriosus to close within 72 hours of birth. ## Footnote The ductus arteriosus connects the pulmonary trunk and descending aorta in fetal life.
139
What is the shunt direction in Patent Ductus Arteriosus?
Typically Left-to-Right (Aorta to Pulmonary Trunk), causing increased pulmonary flow and volume overload. ## Footnote This can lead to left ventricular hypertrophy.
140
What is a Bronchoesophageal Fistula?
Abnormal connection due to failure of tracheoesophageal septum separation, allowing air/fluids to pass between. ## Footnote This condition can lead to serious complications like aspiration pneumonia.
141
What symptoms are associated with Bronchoesophageal Fistula?
Recurrent respiratory infections, coughing/wheezing, dysphagia, regurgitation, failure to thrive in infants. ## Footnote These symptoms can significantly affect infant growth and health.
142
What is the function of the Greater Thoracic Splanchnic Nerve?
Contains preganglionic sympathetic fibers from T5-T9 that synapse in the Celiac Ganglion, providing sympathetic innervation to the Foregut. ## Footnote This nerve is crucial for regulating digestive processes.
143
What do the Lesser and Least Thoracic Splanchnic Nerves innervate?
Lesser (T10-T11) hits Superior Mesenteric/Aorticorenal ganglia (Midgut); Least (T12) hits Renal ganglion (Kidneys). ## Footnote They play roles in regulating functions of the midgut and kidneys.
144
What are the symptoms of Mediastinal Syndrome?
Chest pain, cough, dysphagia, fatigue resulting from compression, infection, or tumors in the mediastinum. ## Footnote SVC Syndrome is a common presentation of this condition.
145
True or False: Pericardial pain is midline and intensifies with breathing.
True. ## Footnote It can mimic pain associated with myocardial infarction (MI).
146
What type of pain is associated with pathology in the Posterior Mediastinum?
Pain in the upper back between the shoulder blades. ## Footnote This referred pain can indicate underlying mediastinal issues.
147
What is the sensory innervation responsible for pericardial pain referral?
Phrenic (C3, C4, C5) ## Footnote Pain refers to the neck or shoulder due to sharing the C5 root with the brachial plexus.
148
What are the primary blood supplies to the pericardium?
Pericardiophenic and Musculophrenic arteries ## Footnote These are branches of the Internal Thoracic Artery.
149
What is the clinical significance of the oblique pericardial sinus?
Space for fluid/blood accumulation ## Footnote Significant during effusions/tamponade when the patient is supine.
150
What does the anterior interventricular artery (LAD) supply?
R/L ventricles and anterior 2/3 of the interventricular septum ## Footnote Blockage is known as the 'widowmaker.'
151
What does the posterior interventricular artery (PDA) supply?
R/L ventricles and posterior 1/3 of the interventricular septum ## Footnote Derived from RCA in most cases.
152
What structures are formed from the fetal vitelline vein derivatives?
Hepatocardiac portion of IVC, Portal Vein, Superior/Inferior Mesenteric Veins, Splenic Vein ## Footnote The right side persists.
153
What causes post-natal left ventricular hypertrophy?
Increased systemic workload ## Footnote The absence of the placenta forces the Left Ventricle to work harder, leading to wall thickening.
154
What is a potential complication of left atrial enlargement?
Compression of the adjacent esophagus ## Footnote This can cause dysphagia or a sensation of food sticking.
155
What is a sign of aortic coarctation pathophysiology?
Rib Notching ## Footnote Chronic high pressure causes intercostal arteries to enlarge, carving notches in the inferior rib borders.
156
What is the etiology of a bronchoesophageal fistula?
Failure of the tracheoesophageal septum to separate fully ## Footnote Occurs during 4th-8th week development, allowing fluid exchange and causing aspiration pneumonia.
157
Where is the sympathetic trunk located?
Immediately lateral to the thoracic vertebral bodies ## Footnote Often visualized in dissection as the 'pearl necklace' (T1-L2 ganglia).
158
What does the Somatic Nervous System control?
Voluntary actions of skeletal muscle ## Footnote Interacts with the external environment
159
How does the Autonomic Nervous System (ANS) regulate the body?
Uses 2 neurons to regulate involuntary internal environment ## Footnote Targets smooth muscle, cardiac muscle, or glands
160
Where do the preganglionic cell bodies of the Sympathetic Division originate?
Thoracolumbar segments (T1-L2) of the spinal cord ## Footnote Also known as thoracolumbar outflow
161
Where do the preganglionic cell bodies of the Parasympathetic Division originate?
Craniosacral segments (CN III, VII, IX, X, S2-S4) ## Footnote Also known as craniosacral outflow
162
Where are the cell bodies for preganglionic sympathetics located?
Intermediate gray (lateral horn) within T1-L2 ## Footnote Part of the spinal cord anatomy
163
What is the synapse location for short preganglionic sympathetic fibers?
Ganglia near the CNS, either paravertebral or prevertebral ganglia ## Footnote This allows for quick responses
164
What is the synapse location for long preganglionic parasympathetic fibers?
Ganglia located away from the CNS, typically near or in the effector organ ## Footnote This supports localized responses
165
What neurotransmitter is primarily released by sympathetic postganglionic neurons?
Norepinephrine (NE) ## Footnote Supports the 'fright or flight' response
166
What neurotransmitter is released by both pre- and postganglionic parasympathetic neurons?
Acetylcholine (ACh) ## Footnote Indicates cholinergic activity
167
What are the effects of the sympathetic nervous system on the heart and lungs?
Raises heart rate, causes pupillary dilation (mydriasis), and results in bronchial dilation ## Footnote Known as the 'fight or flight' response
168
What are the effects of the parasympathetic nervous system on the heart and eyes?
Lowers heart rate and causes pupillary constriction (miosis) ## Footnote Known as the 'rest and digest' response
169
What is the organization of paravertebral sympathetic ganglia?
Typically 3 cervical, 11-12 thoracic, 4 lumbar, and 4 sacral ## Footnote Located along the sympathetic chain
170
What are examples of prevertebral sympathetic ganglia?
* Celiac * Superior Mesenteric * Inferior Mesenteric * Aorticorenal ## Footnote These ganglia are associated with splanchnic targets
171
What pathways can preganglionic sympathetic fibers take?
Can synapse at the same level, ascend, descend, or leave the chain without synapsing ## Footnote This forms splanchnic nerves
172
What is the function of white communicating rami?
Carries myelinated preganglionic fibers to the sympathetic chain ## Footnote Found only in the T1-L2 segments "White on, Grey off"
173
What is the function of grey communicating rami?
Carries unmyelinated postganglionic fibers from the sympathetic chain to the spinal nerve ## Footnote Found from C1 to S5 "White on, Grey off"
174
What do cardiopulmonary splanchnic nerves innervate?
Heart and lungs ## Footnote Originates from T1-T4 segments
175
Where does the Greater Splanchnic Nerve originate and what does it innervate?
Originates from T5-T9 and innervates Foregut derivatives ## Footnote Synapses in the Celiac ganglion
176
Where does the Lesser Splanchnic Nerve originate and what does it innervate?
Originates from T10-T11 and innervates Midgut derivatives ## Footnote Synapses in the Superior Mesenteric ganglion
177
Where does the Least Splanchnic Nerve originate and what does it supply?
Originates from T12 and supplies kidneys and suprarenal glands ## Footnote Synapses in the Aorticorenal ganglion
178
What do Pelvic Splanchnic Nerves innervate?
Pelvic viscera ## Footnote Parasympathetic fibers from S2-S4
179
What forms the Stellate Ganglion?
Fusion of the Inferior cervical sympathetic ganglion and the first thoracic ganglion ## Footnote Associated with Horner's Syndrome
180
What percentage of preganglionic parasympathetic fibers does the Vagus Nerve (CN X) carry?
Approximately 75% ## Footnote Extends to the abdomen until the splenic flexure
181
What is the function of CN III in the parasympathetic system?
Innervates sphincter pupillae and ciliary muscle ## Footnote Preganglionic fibers synapse in the Ciliary ganglion
182
What is the function of CN VII in the parasympathetic system?
Supplies the lacrimal gland and mucosal glands of the nasal cavity/palate ## Footnote Preganglionic fibers synapse in the Pterygopalatine ganglion
183
What does CN IX innervate in the parasympathetic system?
Innervates the parotid gland ## Footnote Preganglionic fibers synapse in the Otic ganglion
184
What characterizes visceral sensory pain?
Poorly localized, dull, or diffuse discomfort ## Footnote Arises from internal organs/viscera
185
What characterizes somatic sensory pain?
Well localized sensation ## Footnote Arises from skin, connective tissue, and skeletal muscle
186
What does the cardiac plexus receive input from?
Sympathetic input from T1-T4 and parasympathetic input from the Vagus nerve (CN X) ## Footnote Important for heart rate and rhythm regulation
187
What dermatomes are affected by referred pain from heart ischemia?
T1 to T4 ## Footnote Often perceived in the chest and left arm
188
What dermatomes are affected by referred pain from the foregut?
T5 to T9 ## Footnote Pain perceived in the epigastric region
189
What dermatomes are affected by referred pain from the midgut?
T10 to T11 ## Footnote Pain perceived in the periumbilical region
190
What dictates the heart rate in cardiac conduction?
The fastest inherent rate (autorhythmicity) ## Footnote The SA node dominates at approximately 70 bpm. Failure of the SA node can lead to AV node takeover.
191
What is Pacemaker Potential Phase 4 characterized by?
Slow depolarization driven by Funny channels and T-type Ca²+ channels ## Footnote Decreased K+ permeability is also part of this phase; associated with chronotropy modulation.
192
What occurs during Pacemaker Depolarization Phase 0?
Rapid upstroke mediated solely by Long-lasting L-type Ca²+ channels ## Footnote Unlike contractile cells which have rapid Na+ influx; associated with Calcium Channel Blockers (CCBs).
193
What do nodal cells lack during their action potential?
Phase 1 (Early Repolarization) and Phase 2 (Plateau) ## Footnote Nodal cells skip straight to Phase 3 Repolarization.
194
What determines the upstroke velocity in Ventricular AP Depolarization Phase 0?
Opening of fast voltage-gated Na+ channels ## Footnote Associated with Class I Antiarrhythmics.
195
What causes the plateau phase in Ventricular AP Phase 2?
Inward L-type Ca²+ current balancing outward K+ efflux ## Footnote This phase has a longer duration than in atrial cells; associated with L-type CCBs.
196
What is the sympathetic chronotropic effect mediated by?
Noradrenaline acting on β1 receptors ## Footnote Increases cAMP to enhance Funny current (If), speeding up heart rate; associated with tachycardia and β-agonists.
197
What effect does acetylcholine have on AV nodal conduction?
Decreases ICa²+ and increases outward K+ current ## Footnote This slows AV nodal conduction; associated with prolonged PR Interval.
198
What does the ECG P Wave represent?
Electrical activation (depolarization) of the atria ## Footnote Initiated by the SA node firing.
199
What does the ECG PR Interval indicate?
Time from P wave start to QRS complex start ## Footnote Represents conduction time through the AV node and HIS/Bundle branches; associated with heart blocks.
200
What does the ECG QRS Complex represent?
Rapid ventricular depolarization ## Footnote Atrial repolarization occurs simultaneously but is electrically masked.
201
What does the ECG ST Segment represent?
Time from end of ventricular depolarization to beginning of T wave ## Footnote Corresponds to the period where ventricles are contracting and emptying; associated with myocardial ischemia/infarction.
202
What is the Absolute Refractory Period (ARP)?
Period where the cell membrane cannot be re-excited by any external stimulus ## Footnote This occurs regardless of voltage applied at the single cell level; prevents tetanization.
203
What is the Supernormal Period (SNP)?
Short interval following RRP where the cell is more excitable ## Footnote A weaker than normal depolarizing stimulus can trigger a propagated AP; associated with arrhythmia trigger.
204
What is the mechanism of excitation-contraction coupling in cardiac muscle?
Ca²+-induced Ca²+ release (CICR) ## Footnote Small Ca²+ influx via L-type channels triggers massive Ca²+ release from the Sarcoplasmic Reticulum via Ryanodine receptors; associated with heart failure.
205
What prevents sustained, tetanic contraction in cardiac muscle?
The refractory period is almost as long as the entire mechanical contraction period ## Footnote This prevents tetanus, which would be fatal.
206
What is First Degree Heart Block characterized by?
Slightly delayed conduction to the ventricles ## Footnote Results in a prolonged PR interval (greater than 0.2 seconds or 5 small boxes).
207
What indicates a normal ECG axis using the Quadrant Method?
Positive deflection in both Lead I and Lead aVF ## Footnote Mean Electrical Axis is normal (0° to +90°).
208
What characterizes Right Axis Deviation (RAD) using the Quadrant Method?
QRS is negative in Lead I but positive in Lead aVF ## Footnote RAD occurs within the range of +90° to +180°.
209
What happens if an ectopic focus fires faster than the SA node?
It takes over and drives the whole heart ## Footnote This can lead to tachyarrhythmia.
210
What does the mean QRS vector represent?
The average direction of electrical current in the heart ## Footnote Normally flows toward the apex (down and left, approximately 59 degrees).
211
How are visceral afferent fibers related to the DRG and sympathetic nerves?
Their cell bodies are in the DRG, but their fibers travel alongside sympathetic efferent fibers from the viscera.
212
What does the term 'splanchnic' refer to?
'Splanchnic' simply means visceral and is used loosely in contexts like cardiopulmonary splanchnics (pathway T1-T4).
213
What are the targets of the Lesser Splanchnic Nerve?
Origin T10-T11; synapses at Superior Mesenteric Ganglia; innervates: * Jejunum * Ileum * Appendix * Ascending Colon * Proximal 2/3 of the Transverse Colon.
214
What structures does the Lumbar Splanchnic Nerve innervate?
Origin L1-L2; synapses at Inferior Mesenteric Ganglia; innervates: * Distal 1/3 of the Transverse Colon * Descending Colon * Sigmoid Colon * Rectum.
215
What are the symptoms of Horner's Syndrome?
Symptoms include: * Constricted pupil (miosis) * Drooping eyelid (ptosis) * Vasodilation/facial flushing * Anhydrosis (lack of sweating).
216
List the four major checkpoints of the CN VII parasympathetic pathway to the submandibular/sublingual glands (Nerve -> Branch -> Ganglion -> Target).
Facial nerve CN VII -> chorda tympani -> submandibular ganglion -> submandibular and sublingual glands ## Footnote This pathway is separate from the parotid gland's parasympathetic innervation, which is carried by the Glossopharyngeal Nerve (CN IX) and synapses in the otic ganglion.
217
What is the anatomical difference between the right and left Recurrent Laryngeal Nerve?
Right RLN loops under the right subclavian artery; Left RLN loops under the arch of the aorta (or ligamentum arteriosum).
218
What is the clinical significance of foregut referred pain?
Visceral pain from the foregut (T5-T9) is often referred to the chest/epigastric region; ~70% of chest pain presentations are abdominal in origin.
219
Describe the pain pattern in acute appendicitis.
Initial pain is dull/diffuse around the umbilicus (T10 dermatome); if the appendix expands, pain becomes sharp and localized, commonly referring to McBurney's Point.
220
What is the consequence of losing the AV nodal delay?
Loss of the AV nodal delay would lead to simultaneous contraction and potential ventricular failure.
221
What ionic mechanisms underlie the unstable Phase 4 of the nodal action potential?
The unstable Phase 4 slope is due to increased I_f, transient T-type Ca2+ channels, and decreased outward K+ permeability.
222
How does the Purkinje fiber action potential differ from ventricular myocytes?
Purkinje fibers exhibit an unstable Phase 4, while ventricular myocytes have a stable Phase 4 (Resting Potential -80 to -90 mV).
223
What is the primary driver of atrial myocyte depolarization?
Atrial Phase 0 is slower than ventricular Phase 0 and is driven by both Na+ and L-type Ca2+ currents.
224
What is the significance of the I_K,Ach channel in atrial repolarization?
Atrial repolarization (Phase 3) is shorter than ventricular due to the I_K,Ach potassium channel activated by Acetylcholine (ACh).
225
How does ACh affect AV nodal conduction?
ACh slows AV nodal conduction by decreasing inward Ca2+ current and increasing outward K+ current.
226
What are the calibration standards for ECG paper?
1 small box (1mm) = 40 milliseconds (0.04s) horizontally and 0.1 millivolt (0.1mV) vertically; five small boxes = 0.2 seconds.
227
What does the QRS voltage indicate?
The magnitude correlates with the mass of depolarizing myocardium. ## Footnote The Left Ventricle (LV) often dictates the main electrical axis due to its larger muscle mass. → High voltage can be a sign of Ventricular Hypertrophy.
228
What is the primary mechanism of ventricular filling during the cardiac cycle?
Majority of ventricular filling is passive, driven by a 5 mmHg LA-LV pressure gradient. ## Footnote High flow occurs due to open Mitral/Tricuspid valves offering almost zero resistance.
229
How is the cardiac cycle duration broken down at 75 bpm?
Diastole (0.53s), Filling (0.41s: Rapid 0.12s, Reduced 0.19s), Ejection (0.22s: Rapid 0.09s). ## Footnote Filling phase dominates the cardiac cycle.
230
When does the fastest pressure generation occur in the cardiac cycle?
During the Isovolumetric Contraction (IVC) phase. ## Footnote This reflects peak contractility kinetics.
231
What are the key descents observed in atrial pressure during the cardiac cycle?
X descent during rapid ejection and Y descent immediately after AV valve opens. ## Footnote These descents mark important phases in atrial pressure dynamics.
232
What does the Frank-Starling mechanism indicate about the heart's operation? (which part of the curve)
The heart operates on the ascending limb of its length-tension curve. ## Footnote Increasing preload stretches sarcomeres for optimal overlap and maximal force generation.
233
How does increased afterload affect stroke volume?
Increased afterload decreases stroke volume, spending more time generating pressure during IVC. ## Footnote This results in less time available for actual ejection.
234
How does the right heart cycle length compensate during the cardiac cycle?
Right heart systole is longer, with shorter IVC and IVR phases due to lower pulmonary pressures. ## Footnote Total cycle time is equal, but the right heart adapts to maintain function.
235
What happens to atrial systole's contribution to end-diastolic volume during tachycardia?
Atrial systole's contribution rises from ~10% to 20%+ at high heart rates. ## Footnote This prevents severe filling collapse due to reduced diastolic filling time.
236
What is the effect of arterial constriction on the vascular function curve?
Arterial constriction rotates the Vascular Function Curve counter-clockwise. ## Footnote Mean systemic filling pressure (MSFP) remains unchanged despite changes in vascular resistance.
237
What initial effect does acute sympathetic activation have on the cardiac function curve?
It causes arteriolar constriction, temporarily depressing the Cardiac Function Curve before positive effects take over. ## Footnote This results in reduced stroke volume initially.
238
NE_beta1 -> PKA signaling enhances contractility (Inotropy) by phosphorylating what specific Ca2+ channel?
The L-type Ca2+ channels (Dihydropyridine Receptors) on the cell membrane. ## Footnote This increases Ca2+ influx, massively triggering Ca2+-Induced Ca2+ Release (CICR) from the SR, increasing force generation.
239
What three key physiological effects are mediated by PKA phosphorylation during sympathetic activation?
Chronotropy increases HR via I_f current Inotropy increases force via Ca2+ Lusitrophy increases relaxation ## Footnote Clinically, positive lusitropy is essential for maximizing diastolic filling time when HR is jacked up by the sympathetic system.
240
The positive Lusitropic effect involves PKA phosphorylating which critical pump system?
SERCA2a pump (Phosphlamban) complex ## Footnote This speeds up Ca2+ reuptake into the SR post-contraction. Pitfall: Lack of proper Ca2+ reuptake is a mechanism in cardiac failure.
241
PKA shortens the cardiac Action Potential Duration (APD) by acting on which channel?
The slow delayed rectifier K+ channels I_Ks accelerating Phase 3 repolarization. ## Footnote Board Trap: Shortened APD prevents sustained, tetanic contraction, which would be fatal. This shortening is seen on the ECG as a reduced QT interval.
242
What is the pathophysiologic limit of bradycardia?
If HR falls below ~40 bpm, maximum stroke volume can no longer compensate for the slow rhythm, causing Cardiac Output to decrease in direct proportion to the HR. ## Footnote This refers to the relationship between heart rate and cardiac output in bradycardia.
243
What triggers an increase in blood volume or venous tone that shifts the VFC (Venous Function Curve) up/right?
Key activators include: * Sympathetic activation (alpha-1 receptor targeted venoconstriction) * RAAS activation (fluid retention) * Aldosterone/ADH * Exercise * IV Fluids ## Footnote These factors are crucial for understanding changes in venous compliance and flow characteristics.
244
What effect does vasoconstriction have on the VFC rotation?
Vasoconstriction causes a counter-clockwise rotation of the VFC via Angiotensin II, ADH, Endothelin, and increased sympathetic tone. ## Footnote This rotation indicates changes in arteriolar resistance while maintaining MSFP.
245
What are the three components of the sympathetic response in the CO/VR curve sequence?
1. Initial increase in arterial resistance temporarily decreases CO and shifts the CFC downward. 2. Later, increased contractility shifts CFC up. 3. Increased venous tone shifts VFC up/right, restoring CO at a higher RAP. ## Footnote This sequence illustrates the body's compensatory mechanisms during sympathetic activation.
246
Describe the stepwise compensation in CHF progression.
Heart failure compensation follows: * A (Normal) * B (Acute MI: decrease in contractility) * C (Baroreceptor reflex: increase in sympathetic drive) * D (Chronic/Compensated: RAAS activation, volume retention, CO restored at the expense of increased RAP/preload/congestion). ## Footnote This sequence highlights the adaptive responses of the heart to failure.
247
What is the clinical definition of venous congestion?
Abnormal blood accumulation in the venous circulation leading to elevated capillary hydrostatic pressure, causing disproportionate fluid filtration into interstitial spaces, resulting in edema. ## Footnote Examples include pulmonary congestion or peripheral edema.
248
What hemodynamic changes occur in cardiac failure as represented in the PV loop?
Cardiac failure shifts the PV loop towards increased volumes and decreased pressures: * Decreased Stroke Volume (narrower loop width) * Increased End-Diastolic Volume/Pressure * Decreased Aortic/Ventricular/Pulse pressures. ## Footnote These changes indicate the impaired functioning of the heart in failure.
249
What is a significant pitfall regarding stroke volume in chronic compensated CHF?
In chronic compensated heart failure (RAAS activated), the PV loop shifts further right compared to acute failure, indicating reliance on high EDV/EDP to maintain output, with stroke volume decreasing further. ## Footnote This reflects the progressive nature of heart failure and its impact on stroke volume.
250
ID: Manubrium, Sternal Angle, Body, Xiphoid process
## Footnote The Sternal Angle is critical for locating the 2nd rib and the transverse thoracic plane.
251
ID the following muscles (top). ID its attachments, blood supply, and innervations.
Pectoralis minor Clavicle, Sternum, Bicipital groove Pectoral banch of thoracoacromonial trunk Lateral and medial pectoral nerves
252
ID the following muscles (middle). ID its attachments, blood supply, and innervations.
Pectoralis minor Ribs 3-5, Coracoid process Pectoral banch of thoracoacromonial trunk Medial pectoral nerve
253
ID the following muscles (bottom). ID its attachments, blood supply, and innervations.
Serratus anterior Ribs 8-9, medial border of scapula Lateral thoracic artery Long thoracic nerve
254
ID the muscles from superficial to deep and the direction they run
**External** intercostal muscles (run superomedial/inferior direction). **Internal** intercostal muscles (run superolateral/inferior direction). **Innermost** intercostal (run same direction as internal intercostals
255
ID: Intercostal neurovascular bundle
In the **costal groove** (superior to inferior): Intercostal **V**ein Intercostal **A**rtery Intercostal **N**erve
256
Internal intercostal muscle fascicles (1) run between adjacent ribs (2). An intercostal vein (3), artery (4), and nerve (5) run along the caudal border of each rib.
257
ID: yellow pin
Transversus thoracis muscle
258
ID: green arrow
Internal thoracic artery (and vein adjacent to it)
259
Parietal Pleura Identify its regions: Costal, Diaphragmatic, Mediastinal, and Cervical (cupola)
260
ID green region
Costodiaphragmatic recess (the largest recess, important for effusion accumulation)
261
ID (color coded)
Intercostal VAN
262
ID the lung surfaces/features (Apex, Costal surface, Mediastinal surface, Diaphragmatic surface; Cardiac notch and lungula)
263
ID lung fissures
Oblique fissure (both lungs). Horizontal fissure (right lung, delineating the middle lobe).
264
Main (primary) bronchus (Right is wider, shorter, more vertical—aspiration trap!). Secondary (lobar) bronchi. Tertiary (segmental) bronchi. Basic Science: ID bronchi by the presence of cartilage in their walls.
265
Pulmonary arteries, Pulmonary veins, Primary bronchii. Trap Alert: Arteries are thick-walled and usually superior to the thinner-walled veins.
266
Pulmonary arteries, Pulmonary veins, Primary bronchii. Trap Alert: Arteries are thick-walled and usually superior to the thinner-walled veins.
267
ID: the blue structure
Pulmonary ligament ## Footnote Fold of parietal pleura extending inferiorly from the root of the lung
268
## Footnote Phrenic nerve is located anterior to the root of the lung. Innervates the diaphragm (motor and central sensory). Pericardicophrenic artery and vein medial to the root of the lung and adjacent with the phrenic nerve.
269
## Footnote Vagus Nerve (CN X) is located posterior to the root of the lung. Contributes parasympathetic input to the pulmonary plexus. NOTE the fibrous pericardium around the heart inferiorly*