CSF Flashcards

(23 cards)

1
Q

Where is CSF produced?

A

Studies of CSF production determined that 35% was derived from the third and lateral ventricles, 23% from the fourth ventricle, and 42% from the subarachnoid space

How well did you know this?
1
Not at all
2
3
4
5
Perfectly
2
Q

What is the Queckenstedt, or jugular compression, maneuver?

A
  • compression of the external jugular veins results in increased CSF pressure
  • can be used when collecting CSF in instances when CSF flows slowly,
  • having an assistant carefully, without moving the patient, compress the external jugular veins may increase the flow of CSF, allowing for more rapid collection. :
  • This extracranial venous compression causes an immediate increase in intracranial blood volume, which requires more space. CSF volume is compressed and displaced through the foramen magnum, causing an elevation in the pressure in the spinal cord subarachnoid space
How well did you know this?
1
Not at all
2
3
4
5
Perfectly
3
Q

Hypercapnia causes cerebral arterial vasodilatation or vasoconstriction?

A

Hypercapnia causes cerebral arterial vasodilation, which increases the volume of intracranial blood. Ensuring normal ventilation prevents dilation of cerebral blood vessels, which would contribute to an increase in ICP

How well did you know this?
1
Not at all
2
3
4
5
Perfectly
4
Q

How can hypocapnia be caused, by hiper- or hypoventilation? Does hypocapnia cause vasodilatation or vasocontriction?

A

hyperventilation will decrease carbon dioxide in blood (hypocapnia); this is a procedure that may be used during intracranial surgery to cause cerebral vasoconstriction.

How well did you know this?
1
Not at all
2
3
4
5
Perfectly
5
Q

What is the cerebral perfusion pressure?

A

mean arterial blood pressure minus ICP, it determines the oxygen and nutrient supply to the parenchyma.

CPP = MABP - ICP

How well did you know this?
1
Not at all
2
3
4
5
Perfectly
6
Q

Which cerebral gyrus is commonly displaced in subfalcine herniation (midline shift)?

A

the cingulate gyrus

How well did you know this?
1
Not at all
2
3
4
5
Perfectly
7
Q

Explain the miosis and mydriasis which occur due to a caudal transtentorial herniation.

A

patients initially often develop a constricted pupil followed by a widely dilated unresponsive pupil ipsilateral to the herniation, altered mentation, and gait deficits. The progressive increase in pressure initially causes pupillary constriction possibly because of disinhibition of oculomotor parasympathetic neurons from loss of the influence of prosencephalic upper motor neurons, whereas the subsequent pupillary dilation represents loss of function of these oculomotor neurons

How well did you know this?
1
Not at all
2
3
4
5
Perfectly
8
Q

Which cerebellar lobules usually herniate in a foramen magnum herniation?

A

Pyramis and uvula (caudoventral aspect of the vermis).

How well did you know this?
1
Not at all
2
3
4
5
Perfectly
9
Q

What is the major site of CSF absorption?

A

the arachnoid villi that are located in the venous sinuses or cerebral veins. Collection of these vili are known as arachnoid granulations.

How well did you know this?
1
Not at all
2
3
4
5
Perfectly
10
Q

What are other sites of CSF absorption besides the arachnoid vili?

A

1) the veins and lymphatics found around the spinal nerve roots and spinal nerves at the intervertebral foramina and associated with cranial nerves I, II, and VIII, where they pass through the skull bones.

2) CSF passes through the cribriform lamina of the ethmoid bone, where it is absorbed or leaks into the nasal cavity, resulting in cerebrospinal rhinorrhea.

3) The small amount of CSF in the interstitial spaces of the parenchyma may be absorbed into the parenchymal blood vessels. CSF is formed and absorbed throughout the ventricles and the subarachnoid space.

How well did you know this?
1
Not at all
2
3
4
5
Perfectly
11
Q

What is the role of the P-glycoprotein?

A

an adenosine triphosphate–dependent efflux pump expressed by brain capillaries that transports xenobiotics into the blood, thereby preventing accumulation in the brain parenchyma.

How well did you know this?
1
Not at all
2
3
4
5
Perfectly
12
Q

Name the gene which mutates, and typical breeds for defect coding of P-glycoprotein.

A

ABCB1 gene
- most common in collies but also occurs in Australian shepherds, border collies, and old English sheepdogs

How well did you know this?
1
Not at all
2
3
4
5
Perfectly
13
Q

What constitutes the blood-CSF barrier and where is it found?

A
  • between plasma and CSF at the choroid plexus, in the choroid plexus, the blood-brain barrier is absent
  • 1) capillary endothelial (fenestrated), 2) basal membrane 3) ependyma (tight junctions)
  • this allows substances to pass freely from the bloodstream into the brain tissue and also in the opposite direction. However, here, tight junctions are present in the overlying ependyma (choroid plexus epithelium), thus creating a two-way barrier between brain tissue and ventricular CSF
How well did you know this?
1
Not at all
2
3
4
5
Perfectly
14
Q

What is external hydrocephalus, and what internal hydrocephalus?

A

external - CSF accumulation in a dilated subarachnoid space. This is also referred to as hydrocephalus ex vacuo

internal - ventricular dilation with CSF accumulation.

How well did you know this?
1
Not at all
2
3
4
5
Perfectly
15
Q

What is compensatory hydrocephalus?

A

Hydrocephalus ex vacuo
a disease process has caused the loss of parenchyma and CSF volume has increased (hydrocephalus) to take up the space previously occupied by that portion of the lost parenchyma. CSF increases in volume to compensate for the loss of parenchyma.

How well did you know this?
1
Not at all
2
3
4
5
Perfectly
16
Q

What are the 2 forms of obstructive hydrocephalus?

A

acquired
developmental

17
Q

Which CNS cells are most affected with the FIP virus?

A

the virus has a predilection for the ependymal lining of the entire ventricular system, including the choroid plexuses and the central canal in the spinal cord

18
Q

Name one disease in cats and one in young farm animals that cause obstruction of the mesencephalic aqueduct.

A

-FIP
-bacterial meningoencephalitis

19
Q

Name the most important finding and most likely disease in this macro of a feline brain

A

lack of patency of the mesencephalic aqueduct (leading to obstructive hydrocephalus of the 3r and lat ventricles)

FIP

20
Q

What causes a dural fibrosis that affects the arachnoid villi and interferes with the absorption of CSF, resulting in CSF hypertension in cattle?

A

vitamin A deficiency

21
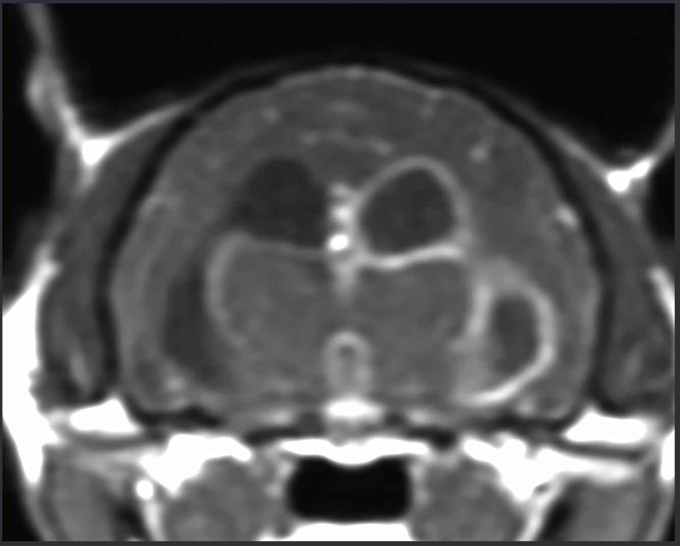
Q

Name the most likely species and disease in this MRI image?

A

feline brain
FIP infection

Transverse postcontrast T1-weighted image at the level of the mid-cerebrum of an 11-month-old ragdoll kitten that was presented for progressive tetraparesis and vestibular ataxia. There is strong contrast enhancement of the ependymal lining of the left lateral ventricle and third ventricle with lesser enhancement of the ependymal lining of the right lateral ventricle. There is also leptomeningeal enhancement. The “surface-oriented” topography of the enhancement pattern combined with the signalment is consistent with feline infectious peritonitis virus infection.

22
Q

What is the main pathologic mechanism in canine “congenital” hydrocephalus?

A

a stenosis of the mesencephalic aqueduct, which produces a hypertensive noncommunicating hydrocephalus, often associated with a malformation of the mesencephalon.

23
Q

Name dog breeds predisposed to congenital hydrocephalus

A

Chihuahua, Pekingese, pug, Boston terrier, Yorkshire terrier, Pomeranian, and English bulldog