Pathology Flashcards

(110 cards)

1
Q

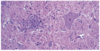
The species, name and cause of this condition

A

Poliocencephalomalacia (cerebrocortical necrosis) of ruminants.
Thiamin deficiency.

How well did you know this?
1
Not at all
2
3
4
5
Perfectly
2
Q

What is shown in the image?

A

Transverse sections of the brain of a 5-year-old golden retriever showing a dilated left lateral ventricle caused by a choroid plexus papilloma obstructing the left interventricular foramen.

How well did you know this?
1
Not at all
2
3
4
5
Perfectly
3
Q

Name the most likely disease seen in this subgross image of a feline brain.

A

FIP induced ependimitis

Gross transverse section of the cerebrum and thalamus from the kitten in Fig. 4.31. The cerebrospinal fluid (CSF) has become gelatinous as a result of formalin fixation of the high protein content of the CSF. The ependymal lining of the lateral ventricles is grossly thickened.

How well did you know this?
1
Not at all
2
3
4
5
Perfectly
4
Q

What is shown in this subgross transverse section of a kitten brain, what is your top DD?

A

FIP

A perivascular cuff of inflammation surrounds the thickened ependymal lining of the ventricles and extend into the adjacent parenchyma. Just ventral to the dorsal portion of the lateral ventricle is a small granuloma (H&E stain).

How well did you know this?
1
Not at all
2
3
4
5
Perfectly
5
Q

What is your top DD in this image of a lamb brain (3 week old)

A

bacterial suppurative meningoencephalitis

(suppurative inflammation obstructing the mesencephalic aqueduct)

How well did you know this?
1
Not at all
2
3
4
5
Perfectly
6
Q

What is shown in the image, 4 MO beagle

A

congenital obstructive hydrocephalus

The dorsal half of the cerebrum has been removed to expose the markedly dilated lateral ventricles and the thinned, stretched-out body of the fornix.

How well did you know this?
1
Not at all
2
3
4
5
Perfectly
7
Q

What is a digestion chamber?

A

Digestion chamber is a term used for a myelin ellipsoid containing axonal granules.
In Wallerian degeneration the axon degenerates through a process of swelling and subsequent granulation that takes about 3 to 4 days. The myelin degenerates simultaneously with the axons. A close interaction exists between the axon and its myelin, and myelin cannot be maintained if the axon degenerates. This is a secondary demyelination. In this process of wallerian degeneration, this secondary demyelination includes the formation of swellings along the internodes, called ellipsoids, and the fragmentation of myelin into droplets.

How well did you know this?
1
Not at all
2
3
4
5
Perfectly
8
Q

What is a Büngner band?

A

After the digestion chamber the Schwann cells that are now reduced to their nuclei and cytoplasmic organelles rapidly proliferate to form a column of cells known as a Büngner band. The adjacent endoneurial cells also proliferate. These columns of Schwann cells provide pathways for regenerating axons to follow to the target that was denervated. They also provide growth factors that induce the outgrowth of axonal buds from the proximal portion of the neuron where the axon is still intact.

How well did you know this?
1
Not at all
2
3
4
5
Perfectly
9
Q

How fast do axonal buds grow?

A

1-4 mm/day

With this knowledge, how long it will take for some evidence of regeneration to occur in a patient with a nerve injury can be estimated by measuring the distance from the site of the lesion to the middle of the denervated muscles. Using the slowest rate (1 mm/day), the distance in millimeters is approximately the same as the number of days to reinnervate the muscle.

How well did you know this?
1
Not at all
2
3
4
5
Perfectly
10
Q

What are neuromas?

A

If an impediment such as hemorrhage or fibrosis prevents the axonal buds from reaching the nearest bands of Schwann cells, the axonal buds will continue to grow in a haphazard manner and form an observable swelling known as a neuroma. These neuromas may be a source of considerable discomfort. They are often a sequel to the neurectomies that are performed in the distal extremities of the horse to eliminate a source of discomfort, such as a degeneration of the distal sesamoid bone, referred to as navicular disease. The resultant neuroma may then be an additional source of irritation and pain for the patient.

How well did you know this?
1
Not at all
2
3
4
5
Perfectly
11
Q

Morphologic diagnosis? What is the main DD?

A

degeneration of the ventral spinal rootlets (black arrows)

Transverse section through the lumbar intumescence of the dog . There is degeneration of the ventral spinal rootlets (arrows) as evidenced by a lack of myelin staining. Note the normal staining of the myelin in the dorsal spinal rootlets (arrowhead) (×2 magnification; Luxol fast blue with cresyl violet counterstain).

How well did you know this?
1
Not at all
2
3
4
5
Perfectly
12
Q

What would be your firs DD?
Young retriever dog with slowly progressive PNS signs and elevated muscle enzyme activity.

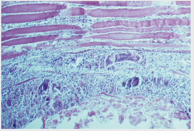
A

Dystrophinnopathy

Muscle biopsy showing extensive muscle cell necrosis with macrophages, mineralization, and rows of activated satellite cells indicative of regeneration in a young male golden retriever with dystrophinopathy. Hematoxylin and eosin stain.

How well did you know this?
1
Not at all
2
3
4
5
Perfectly
13
Q

Most likely DD?
12 YO beagle with monoparesis of the R thoracic limb

A

PNST

Dorsal view of the cervical intumescence with the associated spinal cord roots and spinal nerves (C5 to T2). Image shows a malignant nerve sheath neoplasm of the right C7 dorsal and ventral roots and the spinal nerve.

How well did you know this?
1
Not at all
2
3
4
5
Perfectly
14
Q

Most likely DD?

4-­year-­old thoroughbred gelding with bilateral thoracic limb lameness

A

Transverse section of the cervical intumescence of the horse. The discoloration of the spinal cord gray matter is due to a hemorrhagic myelitis caused by Sarcocystis neurona.

How well did you know this?
1
Not at all
2
3
4
5
Perfectly
15
Q

Most likely diagnosis?

Dog with an acute onset of paraplegia, no trauma was noted.

A

Hemorrhagic necrosis of the SCS L6-Cd

Most likely FCE

How well did you know this?
1
Not at all
2
3
4
5
Perfectly
16
Q

Most likely diagnosis?

Dog with an acute onset of paraplegia, no trauma was noted.

A

Microscopic view of the L7 spinal cord showing diffuse hemorrhagic and ischemic necrosis.

FCE

How well did you know this?
1
Not at all
2
3
4
5
Perfectly
17
Q

Most likely diagnosis?

8 YO warmblood gelding with rectal impaction and penis prolapse

A

Polyneuritis equi

Dorsal view of the cauda equina of an 8-­year-­old warmblood gelding with polyneuritis equi after the adhered extradural spinal nerves were torn apart at autopsy.

How well did you know this?
1
Not at all
2
3
4
5
Perfectly
18
Q

Most likely diagnosis?

5 YO cat found paraplegic with loss of deep pain sensation. No fracture was evident on radiography.

A

Ischemic/traumatic poliomyelomalacia

lumbar and sacral spinal cord segments showing poliomyelomalacia of the lumbosacrocaudal spinal cord segments, related to presumptive abdominal injury by compression by being crushed by the tire of a vehicle, referred to as traumatic poliomyelomalacia. This image is the L5 spinal cord segment approximately 5 to 7 days after the injury.

How well did you know this?
1
Not at all
2
3
4
5
Perfectly
19
Q

Most likely diagnosis?

2-­year-­old thoroughbred, flaccid paraplegia after cryptorchid surgery.

A

2-­year-­old thoroughbred, showing the bilateral symmetric discolouration of gray matter by a poliomyelomalacia associated with recumbency for cryptorchid surgery.

How well did you know this?
1
Not at all
2
3
4
5
Perfectly
20
Q

Most likely diagnosis and ethiology?

3 MO pig with sudden onset of LMN tetraparalysis.

A

Poliomyelomalacia in pigs due to excessive selen in diet

(less likely if fed with 6-­aminonicotinamide)

The toxic effect of the excessive selenium causes a bilateral symmetric degeneration of the center of the ventral gray columns, primarily in the cervical and lumbosacral intumescences and in a few brainstem GSE nuclei. Neuronal cell bodies are spared on the borders of the lesion, which consists of an abundance of macrophages and has numerous small blood vessels coursing through it

How well did you know this?
1
Not at all
2
3
4
5
Perfectly
21
Q

Most likely disease process and ethiology?

Caudal surface of a transverse section of the pons of a 4-year-old standardbred gelding unable to close the mouth.

A

The bilateral symmetric discolorations reflect a chronic astrocytosis that has replaced all the neuronal cell bodies in the nuclei of the motor component of the trigeminal nerves. Areas of active nonsuppurative inflammation and necrosis in the pons and medulla were presumed to be caused by infection by Sarcocystis neurona organisms.

How well did you know this?
1
Not at all
2
3
4
5
Perfectly
22
Q

Horse brain
Most likely DD and cause

A

nigropallidal encephalomalacia

Note the bilateral cavitation where necrosis occurred in the pallidum.

yellow star-thistle (Centaurea solstitialis) or Russian knapweed (Centaurea repens)

How well did you know this?
1
Not at all
2
3
4
5
Perfectly
23
Q

Horse brain
Most likely DD and cause

A

nigropallidal encephalomalacia

Note the bilateral cavitation where necrosis occurred in the substantia nigra.

yellow star-thistle (Centaurea solstitialis) or Russian knapweed (Centaurea repens)

How well did you know this?
1
Not at all
2
3
4
5
Perfectly
24
Q

Most likely neoplastic process in a 5 MO labrador retriever at the level of T13 SCS? Which staining will you use to prove your diagnosis?

A

Nephroblastoma (in human pediatrics called Wilims tumor)

polysialic acid marker (Wilms tumor antigen)

How well did you know this?
1
Not at all
2
3
4
5
Perfectly
25
Most likely diagnosis? 6 MO horse with thoracic and pelvic limb ataxia and UMN tetraparesis. Fundic exam revealed a yellow discolouration (accumulation of lipopigment)
degenerative myeloencephalopathy Microscopic transverse section of a midthoracic spinal cord segment stained with Luxol fast blue for myelin. Note the bilateral symmetry of the secondary demyelination of the superficial tracts in the lateral and ventral funiculi. The myelin has been replaced by astrogliosis.
26
Most likely diagnosis? 3 YO horse with an acute, progressive, assymmetric C6-T2 myelopathy
Protozoal microorganisms and non-suppurative inflammation Sarcocystis neurona (or Neospora hughesi)
27
28
Most likely Dx? Horse with an acute T3-L3 myelopathy and tail paresis.
Herpesvirus-1 vasculitis. The orientation of the lesion along the blood vessel is typical, note also the spheroids (axonal swelling) and the swelling of the myelin sheaths. Note the lack of inflammation, which is usually limited to the wall of the blood vessels in the meninges.
29
How to differentiate FCEM from herpesvirus-1 myelitis?
FCEM usually not progressive after 24 h (herpesvirus can progress sometimes up to 2-3 days) FCEM usually asymmetric, and herpesvirus usually symmetric No fever or systemic signs with FCEM
30
Most likely Dx? 2 Mo goat with acute, progressive C6-T2 myelopathy
CAV myelitis (Caprine arthritis-encephalitis virus) swelling and inflammation of the right SC (massive accumulations of mononuclear cells in a perivascular location, as well as throughout the involved parenchyma, where necrosis is extensive. Lesions predominate in the white matter, but extensions into the adjacent gray matter also occur.)
31
Which cells are shown here? SC parenchyma
Gitter cells - lipid filled macrophages
32
Describe the image 3,5 MO Labrador retriever; cerebellar signs since she was 2 weeks old, progressively slightly better
the absence of primarily the vermal and paravermal portions of the cerebellum - only small asymmetric remnants of the most lateral portions of the hemispheres (susp. perinatal viral disease)
33
How can you discern between different types of neuroglial cells in HE stains?
On routine HE stain, we usually only see their nuclei!!!! Oligodendroglia: small, hyperchromatic, exclusively round nuclei, more numerous in the white matter Astrocytes: larger nuclei, round to oval, irregular and paler than those of oligodendrocytes Microglia: small, thin, elongated nuclei (ca 15% of all glial cells)
34
What are Schmidt-Lanterman’s clefts?
fish bone structure of the myelin sheath in the longitudinal section of a nerve
35
Name some of the commonly used special stains in neuropathology (except for HE)
1) Nissl stain (cresyl Echt violet) for neurons, 2) luxol fast blue for myelin (best combined with HE), 3) Bielschowsky silver-based stain for axons, 4) trichrome (Gomorri) stain for connective tissue.
36
What is acidophilic neuronal necrosis?
the final common pathway resulting from neurotransmitterinduced neuronal excitotoxicity (irreversible) *** Neuronal excitotoxicity depends on the excessive sustained release from neurons of certain excitatory neurotransmitters (e.g. glutamate, aspartate) and their decreased removal by astrocytes in the CNS in response to such factors as ischemia, anoxia or hypoglycemia. Subsequent binding of excessive glutamate to various types of ionotropic receptors (e.g. for N-methyl-d-aspartate, NMDA) on neurons results in transmembrane ionic fluxes with rising intracellular levels of calcium leading to activation of proteolytic enzymes, which then damage cell organelles.)
37
What is central chromatolisis?
a frequent reactive response in neurons (reversible). Histologically, there is an initial swelling of the cell body and processes, perinuclear dispersion of Nissl substance with loss of ribosomes from the rough endoplasmic reticulum (RER), a thin intact cytoplasmic border of Nissl substance and peripheral margination and flattening of the nucleus
38
39
Which cell process is visible on the left side of the image?
Dog with neurotropic canine distemper virus encephalitis. Brainstem. Neuronophagia. Microglial nodule removing degenerated neuron. HE. Irrespective of etiology, individual necrotic neurons in the neuropil are removed by the process of neuronophagia mediated by activated phagocytic microglia, which accumulate around the neuron as microglial nodules.
40
Luyxol fast blue/Holmes silver stain staining to differentiate primary from secondary demyelinisation?
1) primary demyelination - there is an absence of blue-staining myelin sheaths but the black silver impregnated axons remain intact 2) secondary demyelination there is a concomitant loss both of axons and then of their myelin sheaths
41
Different morphological forms of astrocytes?
- Protoplasmic (grey matter) and fibrillary (white matter) - requires special staining to differentiate - Gemistocyte (eosinophilic swollen astrocyte with acute injury) and fibrillary astrocyte (with large numbers of glial fibrillary acidic protein (GFAP)-containing thin elongate cell processes) - hypertrophy (astrocytosis) or proliferation (astrogliosis)
42
Most common IHC stain for astrocytes?
glial fibrillary acidic protein (GFAP). Vimentin and nestin can also be co-expressed with GFAP in reactive and neoplastic astrocytes. There is some cross-reactivity of GFAP with normal and neoplastic Schwann cells in the PNS.
43
Most common IHC for oligodendroglia?
no single specific unequivocal marker for oligodendrocytes, there are many antigenic markers for oligodendrocytes /myelin sheath. Some antigens expressed by oligodendrocytes include myelin basic protein (MBP), myelin associated glycoprotein (MAG), and proteolipid protein (PLP), galactocerebroside (GC), -cyclic nucleotide- phosphatase (CNP) transfer rin and the transcription factor Olig2, as well as many antibodies that are useful for more specialized experimental purposes. Normal oligodendrocytes can be definitively labeled using in situ hybridisation for PLP mRNA.
44
Typical IHC markers for resting/activated microglia and macrophages?
IBA1 antibodies to both CD18 and CD11d
45
Typical IHC markers for ependimal cells?
Vimentin, and lesser extent GFAP
46
Name the types of oedema present in images B and C
B = vasogenic oedema (pale areas with widespread separation of myelinated axons by clear vacuolated spaces) C = cytotoxic oedema (status spongiousus) (sharply defined vacuoles in the white matter due to intramyelinic edema)
47
What are Duret hemorrhages?
in the brainstem and cerebellum small target hemorrhages due to stretching and necrosis of blood vessels that may be present with brain oedema
48
Major pathologic and histologic patterns and their causes?
Macroscopic 1) deviation of normal anatomy (malformation, brain swelling, atrophy) 2) space occupying lesion (tumor, abscess, granuloma) 3) malacia 4) pallor, soft consistency of white matter 5) hemorrhage Microscopic 1) malacia 2) perivascular cuffing 3) spongy state 4) hypercellularity 5) accumulation of material in cns cells 6) selective loss of neurons 7) selective loss of myelin/axons
49
Three types of infarcts based on the territory affected?
1) Territorial: main artery 2) Lacunar: perforating arteries 3) Watershed: global ischemia, accentuation of territories that are on the boundary between the territories of two major cerebral arteries. The predilection site for ischemic infarction in that case is the internal capsule and surrounding area (terminal perfusion area of the rostral and middle cerebral arteries or middle and caudal cerebral arteries).
50
A 12 YO mix breed dog is presented with peracute marked encephalopathy, see MRI and macro image. Describe the MRI and macro image, as well as the histological image in the answer section. What is the most likely cause of these lesions?
Dog. Anemic infarct. A: MRI (T2W sequence) showing a well demarcated hyperintense lesion representing a lacunar infarct involving a perforating artery of the rostral midbrain. B: Same animal as in A, well demarcated area of brownish discoloration on both sides of the third ventricle extending into the substantia nigra of the right side. C: On HE the infarcted area appears well demarcated and pale. D: Higher magnification reveals acidophilic neurons, spongy state and prominent capillaries with hypertrophic endothelium (arrow)
51
Which areas of the brain are most sensitive to global ischemia?
1) hippocampus appears to be the most sensitive part, 2) the cerebellar cortex (Purkinje cells) 3) basal nuclei 4) thalamic nuclei
52
Which stain can be used to better visualise/confirm FC emboli?
alcian-blue stain
53
Which inclusion bodies can be present in Borna virus infection?
Joest–Degen inclusion bodies may be present in the nucleus and rarely in the cytoplasm of large neurons of the hippocampus, but often remain undetected
54
Most important agents to cause vasculitis (associated with neuro disease)?
Fungal: Aspergillosis, Bacterial: thrombotic meningoencephalitis (bovine), Viral: Canine hepatitis adenovirus 1, FIP, equine herpes virus 1, malignant catarrhal fever (bovine, Ovine herpesvirus 1), classical swine fever (Pestivirus), bovine virus diarrhea/mucosal disease (BVD/MD) virus (Pestivirus), African swine fever, Non-infectious: SRMA (dog)
55
Most important diseases to cause leukoencephalitis and demyelinisation?
Viral: Canine distemper, FIV, FeLV, visna, border disease (Pestivirus, sheep and goats) Non-infectious: Polyneuritis, allergic encephalitis, NE
56
Which conditions can lead to porencephaly?
- fetal Border disease infection, - swayback with in utero copper deficiency, - fetal hyperthermia Porencephaly is a usually single, cystic, fluid-filled cavity of varying size, in the wall of the cerebral hemispheres, usually in one frontal lobe. Uncommonly, there may be connections between the cyst and with both or either the ventricular and subarachnoid space. Typically it involves mainly white matter. Occasionally the cystic cavities may be bilateral and symmetrical.
56
Name some neurotropic agents
- Rabies (Lyssavirus, all animals) - Pseudorabies (suid herpersvirus 1) - Tick-born encephalitis (dogs, horses) - Post vaccinal distemper (dog); - Borna virus disease (cat, horse, sheep); - West Nile virus (horse, cattle, sheep, dog, cat); - Western, Venezuelan and Eastern equine encephalitis, Japanese encephalitis virus, - louping ill (sheep); - teschovirus (Picornaviridae, pigs) - vomiting and wasting disease (coronaviride), - swine vesicular disease (pig)
56
What is shown in the image?
Acute suppurative bacterial meningitis. Calf. Congestion and whitish-yellow clouding of the meninges due to accumulation of predominantly polymorphonuclear inflammatory cells. ** This disease in juvenile animals is caused by bacterial sepsis with suppuration in many organ systems. Frequently isolated bacteria in calves are E. coli, Salmonella and Pasteurella spp, in foals Salmonella spp and Actinobacillus equuli, in small ruminants also Staphylococcus pyogenes and in swine Hemophilus parasuis. In addition to purulent meningitis with clouding of the meninges, there is also suppuration of the choroid plexus and ependyma with accumulation of pus in the ventricles. As a result of the ependymitis, the subependymal parenchyma is destroyed and replaced by large abscesses. A thick granulomatous and fibrous capsule around such abscesses indicates chronicity of the process.
57
Name some agents/diseases to cause granulomatous disease in domestic animals
1) Suppurative/granulomatous: tuberculosis, abscess, fungal, FIP 2) non-suppurative/granulomatous: visna, caprine arthritis-encephalitis, equine infectious anemia
58
See image, most likely dx? SC of a pig
Selenium poisoning (poliomyelomalacia) There is bilaterally symmetrical loss of staining in the ventral horns of the cervical intumescence due to poliomyelomalacia. Microscopically, initial lesions include neuropil vacuolation, necrosis of glial cells, capillary hypertrophy and neuronal degeneration. In the chronic stage, the picture is predominated by neuronal loss and extensive gliosis with capillary proliferation in the ventral horns. In addition, many brainstem nuclei and cerebellar roof nuclei may be similarly affected.
59
Most likely diagnosis? Horse. there is concurrent hepatic necrosis
Equine leukoencephalomalacia or moldy corn disease - ingestion of moldy corn contaminated with Fusarium moniliforme Fatal disease, lesions are characterized by bilateral but fairly asymmetrical areas of leukoencephalomalacia in the centrum semiovale and corona radiata and sometimes in the brainstem and cerebellar white matter. Acutely malacic foci are yellowish-brown to hemorrhagic, soft and progress to form fluid-filled cavities. Histologically in acute cases, vessels are necrotic with intravascular thrombi. The white matter is necrotic and massively infiltrated with gitter cells and some neutrophils. In the periphery of the necrosis, proteinaceous edema dissects the white matter and vessels are surrounded by small hemorrhages and cuffs of eosinophils, lymphocytes and neutrophils.
60
IHC stains for different neuro-neoplasia?
Astrocytomas: GFAP, Vimentin Oligodendrocytoma: Olig2, GFAP Meningiomas: CK, Vimentin Ependymomas: GFAP, Vimentin, CK (cytokeratin low and high MW) Choroid Plexus tumors: CK, GFAP
61
Which intraventricular neoplasia has a tendency of forming pseudorosettes?
Ependimoma ** A key feature is the formation of perivascular pseudorosettes around blood vessels with a characteristic nuclear-free perivascular zone, which is GFAP immunoreactive.
62
The clear subtype of ependymoma can look like oligodendroglioma. Which staining can be used to differentiate the two?
GFAP
63
Breed and age predisposition for choroid plexus neoplasia?
Golden retriever. Middle-aged dogs (6 YO) There is a higher frequency of carcinomas (CPC) than papillomas (CPP).
64
Most common location of choroid plexus neoplasia?
4th ventricle with a decreasing incidence rostrally in the third and lateral ventricles.
65
CSF analysis difference between choroid plexus papiloma vs. carcinoma.
CPP grade I have a maximum protein concentration < 80 mg/dl compared with a minimum of 108 mg/dl for CPC. At least 47% of carcinomas have exfoliated tumor cells not present with papillomas
66
Name two embryonal tumours of the brain
1) medulloblastoma - young animals, cerebellum/4th ventricle, Homer–Wright (neuroblastic) rosettes sometimes 2) PNET (primitive neuroectodermal tumour aka neuroblastoma) - young animals, supratentorial equivalent of the medulloblastoma, Homer–Wright (HW) rosettes are specifically diagnostic but are rare, olfactory neuroblastoma and cerebral neuroblastoma
67
Name the peripheral sheet tumours:
1) benign PNST (Schwannoma, neurofibroma, perineurioma) 2) malignant PNST
68
How can you differentiate between benign and malignant PNST?
A malignant PNST is usually defined as a tumor with nerve sheath differentiation and neoplastic cell invasion beyond the confines of the epineurium. Grossly, these tumors lack an epineural tumor capsule and may aggressively invade the surrounding structures.
69
Which cells are meningiomas probably derived from?
either the leptomeninges or from various cell types forming arachnoid granulations. ** As in people there is a strikingly decreasing incidence in their localization from the olfactory bulbs caudally, which correlates directly with the decreasing density of arachnoid villi.
70
Name the different meningioma
Grade I: transitional, meningothelial, psammomatous, fibrous, angiomatous, microcystic Grade II: choroid, atypical Grade III: malignant (characterized by mitotic figures >20 per 10 HPF (400X)), papilary subtype (distinctive but rare in the dog)
71
Where do GCT (granular cell tumours) in the usually arise?
they are of uncertain histogenesis. in the CNS they occur in the neurohypophysis of the pituitary gland, combined with meningiomas, or as primary monomorphic tumors mainly superficially over the cerebral hemispheres. ** they may be T1W and T2W hyperintense (distinctive feature)
72
Classification of lymphoma to affect the CNS?
1) primary B or T cell - usually in the deep structures, T more common in the dog 2) intravascular (angiocentric or endotheliotropic) 3) metastatic - usually retricted to the dura and leptomeninges
73
Breeds of dog predisposed for CNS histiocytic sarcoma?
Bernese Mountain Dog, Rottweiler, Dobermann, Pembroke Welsh Corgi and Retrievers (Golden, Flat-coated and Labrador).
74
Where are canine germ cell tumours (germinomas) usually found?
lateral suprasellar sites thalamus * derived from the extraneuraxial gonadal germ cells * location and MRI appearance similar to meningioma
75
What is the typical location of an ectopic SC nephroblastoma, which breeds are predisposed, median onset of clinical signs and which ICH stainig can be used to onfirm
T9-L3 SCS, Boxer, Goldern Retriever, GSD Median onset of clin signs is 14 months (5-48 MO) WT-1, the Wilm’s nephroblastoma tumor gene product staining can be used to confirm renal origin
76
Name the degenerative patterns in the grey and white matter and associated diseases
see image
77
Name the hereditary degenerative diseases associated with neuronal degenerations, as well as the species and breed affected - motor neuron diseases of small animals:
Motor neuron disease 1) Hereditary canine spinal muscular atrophy (HCSMA) - autosomal dominant in Brittany Spaniels 2) Stockards paralysis of Great Dane–Saint Bernard or Great Dane–Bloodhound crossbreeds with a complex mode of inheritance 3) Familial motor neuron disease in Rottweiler dogs - also megaoesophagus due to deg. neurons in nucleus ambiguous 4) Hereditary progressive neurogenic muscular atrophy in English Pointer pups - autosomal recessive (no loss of motor neurons but accumulation of cytoplasmatic bodies reminiscent of a storage disease) 5) MND in the following breeds: Dobermann, Griffon Briquet Vendéen, Collie sheepdog, Pug, Dachshund, Fox Terrier and Saluki 6) Asymmetric MND in GSD (cervical spinal cord - thoracic limbs) 7) MND in cats - deletion in the LIX1 gene, autosomal recessive, rapid early progression followed by stabilisation
78
Name the hereditary degenerative diseases associated with neuronal degenerations, as well as the species and breed affected - motor neuron diseases of large animals:
* equine motor neuron disease (EMND) - not hereditary, vitamin E def. 1) bovine spinal muscular atrophy (SMA): Brown Swiss, Holstein, Friesian, Red Danish associated with variant of FVT1 gene, and Blonde D Aquitane where it is not associated with this variant 2) pigs: lower motor neuron disease with neurofilamentous accumulation in Yorkshire and Humpshire breeds
79
Name the multi-systemic neurodegenerative disorders and breeds affected:
1) Multisystem axonopathy and neuronopathy in Golden Retriever: MND + severe axonopathy 2) Multisystemic chromatolytic neuronal degeneration in Cairn Terrier: MND + chromatolytic changes of brainstem, thalamic and deep cerebellar nuclei 3) Hereditary neuronal abiotrophy in Swedish Lapphund: MND + spinal gangliaPurkinje cells, deep cerebellar nuclei + axonal damage 4) Pigs: hereditary porcine neuronal system degeneration
80
Name the hereditary degenerative diseases associated with neuronal degenerations, as well as the species and breed affected - neurons of the cerebellum
Purkinje cell degeneration aka cerebellar cortical abiotrophies (CCAs) mostly autosomal recessive 1) CCA dogs: Scottish Terrier, Chow Chow, Airedale Terrier, Border Collie, Rough-Coated Collie, Lagotto Romagnolo, Beagle, Rhodesian Ridgeback, Australian Kelpie, Gordon Setter, Old English Sheepdog, Labrador Retriever, Finnish harrier 2) CCA horses: Arabian horse, Gotland pony 3) CCA bovine: Holstein, Shorthorn, Hereford, Angus 4) CCA pigs: Yorkshire, Large White 5) CCA sheep: Merino, Coriedale
81
Name the neurodegenerative diseases with combined degeneration of Purkinje cells and other systems
1) olivopontocerebellar atrophy (OPCA) in cats: progressive cerebellar signs, loss of Purkinje cells, basket cells, Golgi cells, stellate cells and granule cells was observed. Pontine nuclei and the olivary complex were also severely depopulated 2) Striatonigral and cerebello-olivary degeneration (Canine multiple system degeneration) is an autosomal recessive disease in Kerry Blue Terriers and Chinese Crested Dogs: Purkinje cells + of the olivary nuclei, neuronal loss and gliosis in the substantia nigra and acidophilic neuronal degeneration in the caudate nucleus 3) Late-onset progressive spinocerebellar degeneration in Brittany Spaniels (saluting disease): Purkinje cells + bilateral and symmetrical neuronal degeneration in sensory neuronal systems of the medulla oblongata and spinal cord, together with secondary axonal degeneration. 4) multisystem neuronal abiotrophy in Miniature Poodles, CCA is combined with degenerative changes throughout the cerebral cortex.
82
Name the neurodegenerative diseases with granule cell degeneration of the cerebellum, as well as breeds affected
Cerebellar granule cell degeneration: Border Collie, Coton de Tuléar, Bavarian Mountain Dog, Lagotto Romagnolo
83
Which breeds are affected by Neuronal vacuolation and spinocerebellar degeneration in dogs?
Rottweiler dogs, Boxers, Siberian Huskies ** Clinically, there is weakness and ataxia in the pelvic limbs progressing within weeks to severe generalized ataxia, tetraparesis and laryngeal paralysis. Intracytoplasmic neuronal vacuolation and mild spongiform change have been found in the cerebellar nuclei and in nuclei of the extrapyramidal system, thalamus, ventral and dorsal horns of the spinal cord as well as in spinal ganglia and ganglia of the autonomic nervous system. There are also changes in the PNS with Wallerian-like degeneration.
84
name the two large groups of diseases with the prominent feature of axonal degeneration
1) axonopathies which look like Wallerian degeneration and therefore manifest themselves primarily in the white matter 2) axonal diseases with conspicuous focal swellings of the axon (axonal spheroids). This change can be found in the white matter but when such swelling begins at the distal end of the axon (where they synapse with their target neurons) the lesions are most obvious in the gray matter. ** The distinction between these groups is not always clear since, in several conditions, features of more than one subgroup may be present and in some conditions also neuronal cell bodies are affected
85
Name the neurodegenerative diseases with Wallerian-like axonal degeneration as the primary feature, as well as the species and breeds affected
86
DDs for diseases causing necrosis based on their preferance for grey vs white matter?
1) Billateral symmetric: Grey matter; cortex: - Thiamin def (ruminants) - salt intox - seizures - hypoglicemia - lead intox - sulfur intox - feline hippocampal necrosis - vascular (global ischemia) Grey matter; deep - thiamine def. (carnivores) - metronidazole tox. in carnivores - nigropaliodal encephalomalacia Grey matter; SC - selenium intox White matter - carbon monoxide - swayback (enzootic ataxia, copper deficiency) 2) focal/multifocal asymmetric - equine leukoencephalomalacia - vascular (ischemic infarcts) - inflammatory (NE, NME, visna, CAE)
87
What causes swayback and which species is affected
Sheep, in utero deficiency of Cu or molybdenum rich food. Blind, incoordination, paralysis & death Gross lesions (false porencephaly) - Cavitation in periventricular white matter (centrum semiovale and corona radiata) * Distribution pattern: Multifocal bilateral, Symmetrical, Rarefaction of white matter with edema
88
identify the lesion & location & pattern, and organize the wording Morphological diagnosis & Name the disease
89
What causes equine leukoencephalomalacia?
Fumonisin B1 Fusarium moniliforme (Moldy corn disease) Micotoxin – pathogenesis (Moldy corn disease) * Fumonisin B1 Fusarium moniliforme * Endothelial cell target Gross lesions - White matter (centrum semiovale and corona radiata) >> brainstem & cerebellar WM Distribution pattern * Multifocal bilateral * Asymmetrical Histological lesions * Endothelial cell necrosis (+/- ITVS thrombi) * Malacia restricted to white matter with gitter cells
90
Most likely site of lesion in porcine selenium intox
* Cervical & lumbar intumescences >>> brainstem and deep cerebellar N. * Bilateral symmetrical necrosis with gross softening and cavitation of ventral horns * Spongy change with degeneration of neurons and loss, and gliosis and vascular proliferation Cause: Iatrogenic supplementation
91
Toxin that causes focal bilateral symmetric encephalomalacia in ruminants?
* Toxin – pathogenesis (enterotoxemia) – ε-toxin Clostridium perfringens D (neuronal excitotoxicity) – Endothelial cell target * Gross lesions MR imaging - Basal nuclei (BN), thalamus & midbrain * Distribution pattern – Bilateral – Symmetrical – Both GM and WM (corona radiata, IC, cerebellar peduncles) * Histological lesions – Vasogenic edema – Endothelial cell necrosis & sharply demarcated malacia – Axonal & cell body necrosis
92
Most likely disease, species, and lesion?
Feline Hippocampal Necrosis * Relatively frequent in Europe * Suspect environmental toxic * Aggressive behavior and complex focal seizures * Lesions restricted to hippocampus (bilateral) and maybe piriform lobe * Acute vs Chronic * Neuronal swelling and chromatolysis in CA layer * Gemistocytic like astrocytes * Capillaries with endothelial hypertrophy * Chronic: gliosis and vascular proliferation
93
Name these cells and which diseases are they specific for?
Alzheimer type II astrocytes - metabolic encephalopathy (specially hepatic encephalopathy)
94
What is shown and most likely DD in a cat?
Intra-myelinic oedema --> bromethalin intox in cats (rodenticide)
95
What is shown? name some diseases and species that cause this change
Chromatolitic neurons, HE staining, grey matter Sheep - enzootic ataxia (post natal copper def., prenatal is called swayback) Bovine spinal muscular atrophy Dog: hereditary spinal muscular atrophy feline spinal muscular atrophy Asymmetric spinal muscular atrophy in german shepherd dogs
96
What causes enzootic ataxia in sheep/goats?
* Post-natal copper deficiency * Onset 3-12 weeks * Progressive paraparesis and ataxia * Sub-Gross lesions - Motor neurons ventral horn - Dorsolateral and ventromedial WM tracts Distribution pattern - Multifocal bilateral - Symmetrical Histological lesions - Chromatolytic neurons - Wallerian-like degeneration with secondary demyelination
97
Horse, most likely Dx?
Nigropalidal necrosis (yellow star thistle)
98
What causes maple syrup disease in calves?
Maple syrup urine disease, MSUD (hereditary neuraxial edema in calves) * Neonatal (1-3 days) Hereford calves with seizures * Inherited defect branched chain ketoacid dehydrogenase complex which normally metabolize leucine, isoleucine and valine * MSUD from elevated urine isoleucine levels * Path: Spongy change in neuraxis due to intra-myelinic edema with diffuse vacuolation of WM
99
100
What is shown with yellow and white arrows in this transverse section of a nerve?
Yellow - myelin ovoids White - degenerating axon
101
What is shown with yellow and white arrows in this transverse section of a nerve?
Yellow - myelin ovoids White - degenerating axon
102
What is shown in this image?
Foamy macrophages (resolving phase)
103
What is shown in this image?
Chronic axon loss
104
What is shown in this image?
regeneration
105
What is shown in this image?
regeneration
106
What is shown in the image?
Renaut bodies - incidental finding, function still debasted, due to mechanical stress?
107
What is shown in the image?
Renaut bodies - incidental finding, function still debasted, due to mechanical stress?
108
What is shown in the image?
Onion bulbs