CT Flashcards

(51 cards)

1
Q

what is the scientific unit of measurement for radiation (effective dose - refers to radiation risk averaged over entire body)?

A

mSv (millisievert)

How well did you know this?
1
Not at all
2
3
4
5
Perfectly
2
Q

what is the effective radiation dose in the ankle CT?

A

0.07 mSv

How well did you know this?
1
Not at all
2
3
4
5
Perfectly
3
Q

effective dose of radiation ina dults for extremity x rayu

A

o0.0001 mSv

How well did you know this?
1
Not at all
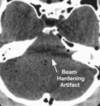
2
3
4
5
Perfectly
4
Q

digital image consists of a square matrix of

A

pixels, each a voxel of tissue

How well did you know this?
1
Not at all
2
3
4
5
Perfectly
5
Q

CT image is

A

map of measured average linear voxels of a section of teh body

How well did you know this?
1
Not at all
2
3
4
5
Perfectly
6
Q

how many hounsfield units is air?

A

-1000

How well did you know this?
1
Not at all
2
3
4
5
Perfectly
7
Q

fat?

A

-60 to -120

How well did you know this?
1
Not at all
2
3
4
5
Perfectly
8
Q

water

A

0

How well did you know this?
1
Not at all
2
3
4
5
Perfectly
9
Q

compact bon

A

+1000

How well did you know this?
1
Not at all
2
3
4
5
Perfectly
10
Q

what is the tissue density calculated from, uses transmission to calculate?

A

attenuation coefficient

How well did you know this?
1
Not at all
2
3
4
5
Perfectly
11
Q

what method is used to calculate attenuation coefficient of each pixel?

A

filtered back projection

How well did you know this?
1
Not at all
2
3
4
5
Perfectly
12
Q

what is term for midpoint of CT number range?

A

window level WL

How well did you know this?
1
Not at all
2
3
4
5
Perfectly
13
Q

Attenuation of each voxel is represented by CT number or ___________ number, which is a linear transformation of the original linear attenuation coefficients, represented by a shade of grey determined by window level and width controls, and actual number by defining a ROI (region of interest)?

A

hounsfield

How well did you know this?
1
Not at all
2
3
4
5
Perfectly
14
Q

what is term for band of CT numbers centered about WL (window level)?

A

WW, window woidth

How well did you know this?
1
Not at all
2
3
4
5
Perfectly
15
Q

if WW (window width) is large, will contrast be more or less?

A

less

How well did you know this?
1
Not at all
2
3
4
5
Perfectly
16
Q

if WW (window width) is small, will contrast be more or less?

A

more

How well did you know this?
1
Not at all
2
3
4
5
Perfectly
17
Q

Which of the following would have the greatest Hounsfield units?

Air
Fat
Water
Compact bone

A

compact bone

How well did you know this?
1
Not at all
2
3
4
5
Perfectly
18
Q

what determines image quality in CT?

Bone: high frequency “edge-enhanced”
ST: low frequency “smoothing”
Trade-off between spatial resolution and noise
slice thickness

A

reconstruction kernel

How well did you know this?
1
Not at all
2
3
4
5
Perfectly
19
Q

2nd generation: Helical, spiral
3rd generation: Multidetector (MDCT)

type of scanning methid?

A

volumetric

How well did you know this?
1
Not at all
2
3
4
5
Perfectly
20
Q

what scanning method?

Scout topogram
Scanogram (e.g. leg length)

A

digital projection

How well did you know this?
1
Not at all
2
3
4
5
Perfectly
21
Q

what generation CT scanner has single detector, pencil-like X-ray beam, 25-30 min scan?

22
Q

what generation CT scanner has up to 30 detectors, fan shape, >90 sec scan?

23
Q

what generation CT scanner 700->2000 detectors, fan-shaped beam, <5 sec scan?

24
Q

what kind of CT uses Shorter time-less motion, Reconstruction in different slice widths, Increasing slices increases efficiency of X-ray beam use (4-slice-80%, 64 slice-97%), Reduced radiation dose, Tube current is automatically adjusted to patient size, Improved spatial resolution, Isotropic imaging, Better multiplanar recon and 3D?

25
what tissue type uses high frequency, endge enhanced?
Bone
26
what tissue type uses low frequency, smoothing?
soft tissue
27
what type of CT do Substances have different attenuation coefficients at different energies (K-edge) New CT systems can acquire images at 2 different energies near simultaneously Typically 80kVp and 140 kVp Can distinguish iodine, Ca++ and UA crystals from ST?
dual energy CT
28
what type of CT allows for 3-D weightbearing CT, uses cone-shaped X-ray beam Reduced radiation dose Standing or sitting 48 seconds for bilateral scan Used in biomechanical evaluation, pre-op planning and post-op evaluation?
WB pedCT
29
what type of CT is Fusion of CT and PET (positron emission tomography) using radioactive isotope of FDG (fluorodeoxyglucose) PET provides tumor specificity CT provides anatomic localization?
PET CT
30
what CT artifact is inconsistency in a single measurement?
streaking
31
what CT artifact is groups of views deviating gradually from true measurement?
shading
32
what CT artifact are errors in individual detector calibration?
rings
33
what CT artifacts are due to helical reconstruction?
distortion
34
what origin of CT artifact are the following? Beam hardening: Beam becomes "harder" (i.e. its mean energy increases) as it passes through the object because lower energy photons are absorbed more rapidly than high energy photons Produces streaks and dark bands Manufacturer correction: filtration, calibration, special software Operator: tilt gantry, filter selection Partial volume: off-center dense object protrudes into the beam path Use thin acquisition width Photon starvation Undersampling
physics based
35
what origin of CT artifact are the following? Metallic materials: Severe streaking due to high density of metal Manufacturers: interpolation techniques Operator: remove jewelry etc. Motion: misregistration artifact Incomplete projection: parts of patient outside FOV degrade the image Operator: patient positioning inside scanner Manufacturers: large bore scanner (up to 70 cm)
patient based
36
what type of artifact is More common in the skull due to thickness of calvarium?
Beam-hardening artifact
37
what type of CT is used for Gout?
Dual energy
38
what type of fracture?
Pylon
39
?
OCD lesion
40
PED CAT
3D weightbearing CT, for biomechanical,
41
PED shows utility in
staging and classifying PT dysfunction and pes planus
42
PET CT
tumor imaging, pet amd ct in one using FDG isotope
43
Infications for foot ankle CT
Fx surgical planning Post op, healing comps or non unions tarsal soalitions cortical tumors gout
44
fx?
calc
45
fx?
talar fx
46
lisfranc
47
??
tarsal coalition
48
trauma with ST entrapment
49
ST infection
50
healing related complications
51
wat is gantry
donut looking thing