Fractures Flashcards

(34 cards)

1
Q

Radiographic Considerations

A

2 views minimum
Pre and post reduction films
Cast changes
Post-op osseous surgery

How well did you know this?
1
Not at all
2
3
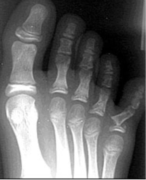
4
5
Perfectly
2
Q

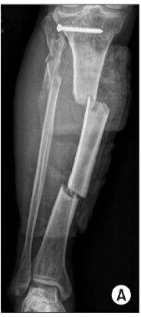
Transverse Fracture

A

Fracture line is
transverse to the
longitudinal axis
of the bone

How well did you know this?
1
Not at all
2
3
4
5
Perfectly
3
Q

Oblique Fractures

A

Fracture line is
oblique to the
longitudinal axis
of the bone

How well did you know this?
1
Not at all
2
3
4
5
Perfectly
4
Q

Spiral Fractures

A

Fracture line is
rotated around the
longitudinal axis of
the bone
The length is at
least twice as long
as the width of the
bone involved

How well did you know this?
1
Not at all
2
3
4
5
Perfectly
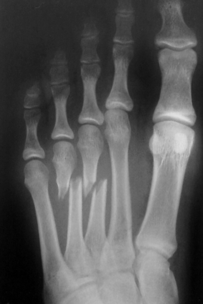
5
Q

Fracture Location

A

Proximal- 1/3
Middle-1/3
Distal of Bone-1/3

How well did you know this?
1
Not at all
2
3
4
5
Perfectly
6
Q

Intraarticular
Fracture

A

Involves
the joint surface,
secondary DJD may
develop

How well did you know this?
1
Not at all
2
3
4
5
Perfectly
7
Q

Extraarticular

A

Does
not involve joint
surface

How well did you know this?
1
Not at all
2
3
4
5
Perfectly
8
Q

Open fracture –
(Compound)

A

disruption of soft
tissue exposing the
bone to air

How well did you know this?
1
Not at all
2
3
4
5
Perfectly
9
Q

Closed fracture

A

soft tissue has not
been breached

How well did you know this?
1
Not at all
2
3
4
5
Perfectly
10
Q

Simple Fracture

A

one fracture line
(2 fracture fragments)

How well did you know this?
1
Not at all
2
3
4
5
Perfectly
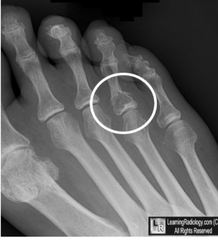
11
Q

Comminuted fracture

A

multiple fracture lines exist in the same bone (3 or more fracture fragments)

How well did you know this?
1
Not at all
2
3
4
5
Perfectly
12
Q

Segmental
fragment

A

middle
segment of bone
that has been
displaced

How well did you know this?
1
Not at all
2
3
4
5
Perfectly
13
Q

Butterfly fragment

A

a triangular
portion of bone
that has been
displaced

How well did you know this?
1
Not at all
2
3
4
5
Perfectly
14
Q

Complete fracture

A

penetrates all cortices

How well did you know this?
1
Not at all
2
3
4
5
Perfectly
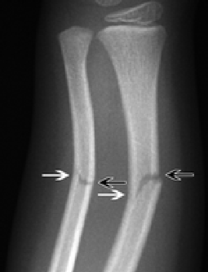
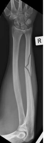
15
Q

Greenstick Fracture

A

Incomplete fracture or
disruption of convex surface of
bone, which can cause
angulation deformity

How well did you know this?
1
Not at all
2
3
4
5
Perfectly
16
Q

Torus Fracture

A

Incomplete fracture or
disruption of concave
surface of bone, which
can cause angulation
deformity
Compression fracture

17
Q

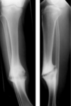
Stress Fracture

A

Stress fracture –
gradually develops
from multiple
repetitions of force

18
Q

Non-displaced
fracture

A

no change
in the normal
relationship of the
fracture ends

19
Q

Displaced fracture

A

distal fragment
altered from normal
relationship with
proximal fragment by
at least 2mm
Bayonet

20
Q

Angulated fracture

A

longitudinal axis of
displaced distal bone fragment is angled away
from proximal bone

21
Q

Rotation fracture

A

rotation of distal bone
along its longitudinal axis from proximal
fragment

22
Q

Subluxation

A

ess than 100% but greater
than 0% apposition between two bone at the
joint level

23
Q

Dislocation

A

no contact (0% apposition)
between two bones at the joint level

24
Q

Pathologic fracture

A

Weakened by
preexisting disease

25
Impaction Fracture
The fracture fragment is impacted/impaled on the shaft of a long bone, shortened segment
26
Avulsion Fracture
Occur at site of muscle, tendon, or ligament attachment; from abrupt pull, piece of bone is avulsed with soft tissue
27
Diastasis
Separation of a normally joined part
28
Delayed union
Fracture healing taking longer than expected consider fracture type, age, and bone. Less than 6 months.
29
Nonunion
No signs of healing at 6 months or later
30
Radiographic Types of nonunion
Hypertrophic Rich blood supply Hypotrophic Poor blood supply
31
Hypertrophic Rich blood supply
Elephant  Horse hoof  Oligotrophic
32
Hypotrophic Poor blood supply
Torsion wedge  Comminution  Defect  Atrophic
33
Malunion
Healing in improper anatomic alignment
34
Pseudoarthrosis
a nonunion or false joint no ligamentous support, but often has motion,