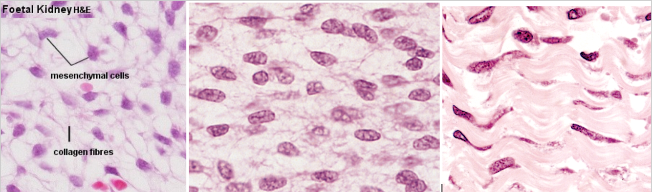
What are 2 Embryonic CT?
What is Mesenchymal CT?

What is Mucous CT?
*Embyronic CT

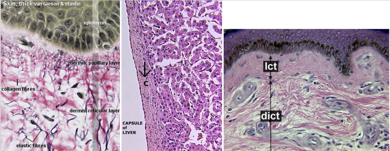
What is Loose (Areolar) CT?

What is Dense Irregular CT?

What is Dense Regular Collagenous CT?

What is Dense Regular Elastic CT?

What is Reticular CT?
*Does not stain with H and E

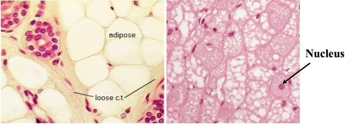
What is Adipose Tissue?

What is Uniocular Adipocytes?

What is Multiocular Adipocyte?
