
1) Trachea;
(2) Carina;
(3,4) Right and left main bronchi;
(5,6) Right and left hilar structures;
(7) Right horizontal fissure;
(8) Right cardiac border formed by right atrium;
(9) Left cardiac border formed by left ventricle;
(10) Aortic knuckle;
(11) Descending thoracic aorta;
(12) Right paratracheal line;
(13,14) Right and left hemidiaphragms;
(15,16) Costophrenic angles;
(17) Gastric air bubble;
(18) Gas in the colon.

(1,2) Right and left clavicles;
(3,4) Right and left sternoclavicular joints;
(5,6) Right and left scapulae;
(7,8) Right and left humeral heads;
(9) Spinous process of T1;
(10,11) Right and left transverse processes of T1;
Anterior ribs (AR) 1–6;
Posterior ribs (PR) 1–10.

The posterior-anterior (PA) film.
(1) Horizontal fissure;
(2,3) Left and right hilum;
(4) Trachea;
(5,6) Right and left diaphragm;
(7) Costophrenic angles;
(8) Trachea;
(9) Aortic knuckle
https: //studentconsult.inkling.com/read/corne-chest-x-ray-made-easy-4/chapter-1/figure-1-3

Lateral film. (1,2) Right and left hemidiaphragm;
(3) Gastric air bubble;
(4) Retrosternal space;
(5) Horizontal fissure;
(6) Oblique fissure;
(7) Hila.
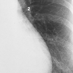
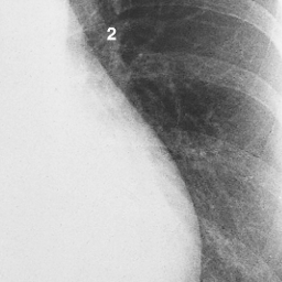
Right and Left diaphragms: difference
The right hemidiaphragm: stretches across the whole thorax and can be clearly seen passing through the heart border.
The left hemidiaphram (2) seems to disappear when it reaches the posterior border of the heart.