CXR Interpretation Flashcards

(90 cards)

1
Q

Give the overall structure of a CXR interpretation

A
  1. Confirm patient details - name, DOB & unique identifier
  2. Confirm date & time of film
  3. Compare with previous imaging
  4. Rotation
  5. Inspiration
  6. Penetration
  7. Exposure
  8. Airway
  9. Breathing
  10. Cardiac
  11. Diaphragm
  12. Everything else
How well did you know this?
1
Not at all
2
3
4
5
Perfectly
2
Q

What does rotation in CXR refer to?

A

refers to poor positioning – the patient is turned and not straight which can make interpretation difficult

How well did you know this?
1
Not at all
2
3
4
5
Perfectly
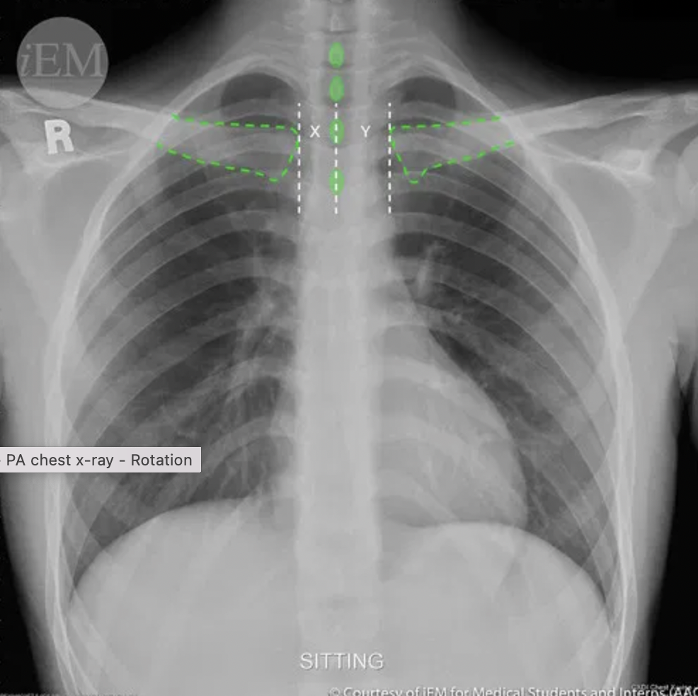
3
Q

How can you assess rotation in a CXR?

A
  1. Medial aspect of each clavicle should be equidistance from the spinous processes
  2. Spinous processes should be vertically orientated against the vertebral bodies
How well did you know this?
1
Not at all
2
3
4
5
Perfectly
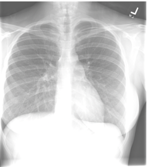
4
Q

In this CXR, which way is the patient rotated?

How do you know?

A

Patient is rotated to the left

Anterior structures move the same direction as rotation → the clavicle/spinous process width is increased on the side to which the patient is rotated

How well did you know this?
1
Not at all
2
3
4
5
Perfectly
5
Q

Should CXRs be taken during inspiration or expiration? Why?

A

Inspiration

Deeper inspirations show more lung and result in better overall images with less haziness at the lung bases and less enlargement of the heart and mediastinum.

How well did you know this?
1
Not at all
2
3
4
5
Perfectly
6
Q

How can you tell if a CXR has been taken during a good inspiration?

A

Count the anterior ribs on the right → 6 anterior ribs should be visible above the right hemidiaphragm

How well did you know this?
1
Not at all
2
3
4
5
Perfectly
7
Q

Anteriorly, which rib should intersect the diaphragm and where?

A

6th rib at the mid-clavicular level

How well did you know this?
1
Not at all
2
3
4
5
Perfectly
8
Q

How can you assess for hyperexpansion on a CXR?

A
  1. Count ribs → >7th anterior rib intersecting the diaphragm at the mid-clavicular line
  2. Check for flattening of hemidiaphragms
How well did you know this?
1
Not at all
2
3
4
5
Perfectly
9
Q

What is lung hyperexpansion a sign of?

A

obstructive airway disease

How well did you know this?
1
Not at all
2
3
4
5
Perfectly
10
Q

What is the standard CXR projection?

A

PA

How well did you know this?
1
Not at all
2
3
4
5
Perfectly
11
Q

When would a PA not be possible?

A

if patient is too unwell to stand

How well did you know this?
1
Not at all
2
3
4
5
Perfectly
12
Q

Why are PA’s preferred over APs?

A

PA films are of higher quality and more accurately assess heart size

How well did you know this?
1
Not at all
2
3
4
5
Perfectly
13
Q

How can the scapulae determine if a CXR is PA or AP?

A

PA → scapulae retracted laterally so do not overlap lungs

AP → scapulae not retracted laterally so remain projected over the lung

How well did you know this?
1
Not at all
2
3
4
5
Perfectly
14
Q

Scapulae in AP CXR:

A
How well did you know this?
1
Not at all
2
3
4
5
Perfectly
15
Q

Scapulae in PA CXR:

A
How well did you know this?
1
Not at all
2
3
4
5
Perfectly
16
Q

How does the heart size differ in AP? Why?

A

Heart size exaggerated as it is an anterior structure

Magnification exaggerated further by shorter distance between x-ray source and patient

How well did you know this?
1
Not at all
2
3
4
5
Perfectly
17
Q

Can you diagnose cardiomegaly on an AP CXR?

A

No - BUT if heart size is normal on AP, you can say it’s not enlarged

How well did you know this?
1
Not at all
2
3
4
5
Perfectly
18
Q

Why are scapulae laterally rotated in PA CXR?

A

Patient places hands around side of detector plate, or stands with hands on hips

How well did you know this?
1
Not at all
2
3
4
5
Perfectly
19
Q

What is the normal cardio-thoracic ratio in a PA CXR?

A

<0.5/50%

How well did you know this?
1
Not at all
2
3
4
5
Perfectly
20
Q

What does xray penetration mean?

A

Penetration is the degree to which x-rays have passed through the body.

How well did you know this?
1
Not at all
2
3
4
5
Perfectly
21
Q

In a good CXR, what 2 criteria can tell if penetration is adequate?

A
  • The left hemidiaphragm should be visible to the edge of the spine
  • The vertebrae should be visible behind the heart
How well did you know this?
1
Not at all
2
3
4
5
Perfectly
22
Q

Underpenetration affects the differentiation of which density structures?

A

Under-penetration results from not enough x-rays passing through to allowing differentiation of dense structures → spine and mediastinum appear white

How well did you know this?
1
Not at all
2
3
4
5
Perfectly
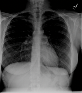
23
Q

How can you tell this CXR is underpenetrated?

A
  • Mediastinum and spine appear white
  • Left hemidiaphragm not visible to edge of spine
  • Vertebrae behind the heart barely visible
  • Lug tissue behind heart cannot be assessed
How well did you know this?
1
Not at all
2
3
4
5
Perfectly
24
Q

Over penetration affects the differentiation of which density structures?

A

Prevents differentiation of low-density structures → lung fields appear black

How well did you know this?
1
Not at all
2
3
4
5
Perfectly
25
What aspects are involved when assessing the ‘airway’ in a CXR interpretation
1. Trachea 2. Carina 3. Bronchi 4. Hilar structures
26
What are you inspecting the trachea for in ‘airway’?
Deviation
27
How should a normal trachea appear?
Normal → Trachea normally **centrally** located or deviating very slightly to the **left**
28
What is a true vs apparent tracheal deviation?
True → pushing/pulling by pathology Apparent → rotation of patient can give appearance of apparent tracheal deviation (inspect clavicles to rule out)
29
Give 2 causes of a true tracheal deviation caused by the pushing of the trachea
1. Large pleural effusion 2. Tension pneumothorax
30
Give a cause of a true tracheal deviation caused by the pulling of the trachea
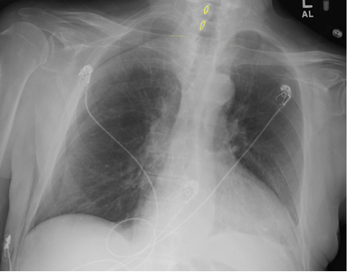
Consolidation with associated **lobar collapse**
31
Diagnosis:
Large pleural effusion with tracheal deviation
32
What is the carina?
The carina is cartilage situated at the point where the **trachea divides** into the L and R bronchus. On appropriately exposed CXR, this division should be **clearly visible**.
33
Why is the carina an important landmark in NG tube placement?
NG tube should **bisect** the carina if it is correctly placed in the GI tract
34
How does the R and L main bronchus differ? Which is more likely for **inhaled foreign objects** to become lodged in?
R main bronchus is **wider**, **shorter**, and **more vertical** than the L main bronchus Right
35
What does the hilum of each lung consist of?
The **main pulmonary vasculature** and the **major bronchi** (also a collection of lymph nodes)
36
Which hilum is often positioned slightly higher?
The left is often positioned slightly higher than the right
37
Are the hilar the same size?
The hilar are usually the **same size**, so asymmetry should raise suspicion of pathology.
38
Why is the hilar point an important landmark?
Anatomically it is where the **descending pulmonary artery** intersects the **superior pulmonary vein.**
39
What does a **bilateral symmetrical** hilar enlargement indicate?
Sarcoidosis
40
What does a **unilateral/asymmetrical** hilar enlargement indicate?
Underlying malignancy
41
What does an **abnormal hilar position** indicate?
Can be due to a range of different pathologies → Inspect for evidence of hilar being **pushed** (e.g. by an enlarging soft tissue mass) or **pulled** (e.g. lobar collapse)
42
Patient presents with joint pain & erythema nodosum. What can be seen on CXR? Diagnosis?
Both hilar are larger and denser than normal (bilateral hilar enlargement). Diagnosis → sarcoidosis
43
What aspects of the CXR are you interpreting in the ‘breathing’ aspect?
1. Lungs 2. Pleura
44
When interpreting a CXR, how should you divide up the lungs?
Divide each lung into 3 zones (upper, middle, lower) → each zone occupies ⅓ of the height of the lung **Compare** the lung zones. NOTE → These zones do NOT equate to the lung lobes (e.g. left lung has 3 zones but 2 lobes).
45
Asymmetry of lung density when comparing lung zones can indicate pathology. What does abnormal whiteness indicate? What does abnormal blackness indicate?
Abnormal whiteness → Increased density e.g. consolidation Abnormal blackness → decreased density
46
Some lung pathology causes **symmetrical** changes in lung fields which can make it more difficult to recognise. Give an example of a lung pathology that causes symmetrical changes.
Pulmonary oedema
47
What would the complete absence of lung markings indicate?
Pneumothorax
48
What is an air bronchogram?
This is air-filled bronchi (dark) being made visible on the background of an airless lung i.e. opacification of surrounding alveoli → dark lines through area of white
49
Describe the changes seen in this CXR
* Left middle zone is white → consolidation (increased density) * Dark lines through the area of white is a good example of air bronchogram (this is air-filled bronchi (dark) being made visible on the background of an airless lung i.e. opacification of surrounding alveoli) Diagnosis → pneumonia, consolidation with pus
50
Are the pleura usually visible in a healthy CXR?
No
51
If the pleura are visible and there is evidence of pleural thickening, what condition does this indicate?
Mesothelioma
52
What is a hydropneumothorax?
Fluid (hydrothorax) or blood (haemothorax) can accumulate in the pleural space (hydropneumothorax) → results in mixed pattern of both **increased** and **decreased** **opacity** within the pleural cavity
53
If the lung edge (visceral pleura) is visible and there is black surrounding this edge, what condition should be suspected?
Pneumothorax
54
What features can be seen in this CXR? Diagnosis?
* Left lower zone is uniformly white * At top of white area is concave surface → meniscus sign * Left heart border, costophrenic angle and hemidiaphragm are obscured * Diagnosis → large left pleural effusion
55
What is a pulmonary meniscus sign?
A crescent-shaped inclusion of air surrounded by consolidated lung tissue.
56
What 2 aspects should be assessed in the ‘cardiac’ assessment of a CXR?
1. Heart size 2. Heart borders
57
What is a healthy heart size on a CXR?
Heart should occupy no more than **50%** of the thoracic width (e.g. a cardiothoracic ration of \<0.5). Note - This rule applies only to PA CXRs (as AP films exaggerate heart size).
58
What defines cardiomegaly on a CXR
If the heart occupies \>50% of the thoracic width on a PA CXR
59
Give some pathologies behind cardiomegaly
* Valvular heart disease * Cardiomyopathy * Pulmonary hypertension * Pericardial effusion
60
Pulmonary oedema manifests in two forms on a CXR. What are these?
1. Interstitial oedema 2. Alveolar oedema
61
How does interstitial oedema present on an CXR?
Septal lines (Kerley B lines) are caused by thickening of the **interlobular septa** which separate the 2ary lobules at the periphery of the lungs.
62
How can interstitial oedema develop into alveolar oedema?
As interstitial oedema progresses, fluid leaks from the interstitial tissue into the alveoli and small airways
63
How does alveolar oedema present on a CXR?
In the setting of acute pulmonary oedema, this alveolar shadowing radiates out from the **hilar** areas (where there is relatively more interstitial tissue), in a **bat’s wing** pattern
64
Which part of the heart makes up most of the right heart border?
Right atrium
65
Which part of the heart makes up most of the left heart border?
Left ventricle
66
The heart borders become difficult to distinguish from the lung fields as a result of pathology which **increases the opacity of overlying lung tissue.** Consolidation of which lobe is typically associated with reduced definition of the right heart border?
Right **_middle_** **lobe** consolidation
67
What is the lingula of the lung?
The term lingula refers to **the tip or tongue-like projection of the upper lobe of the left lung (**left lung equivalent of the right lung's middle lobe)
68
What pathology is reduced definition of the left heart border typically associated with?
Lingular consolidation
69
In healthy individuals, which hemidiaphragm is typically higher on a CXR?
The right - due to presence of liver The **diaphragm** should be **indistinguishable** from the underlying **liver** on an erect CXR
70
What structure underlies the left hemidiaphragm?
stomach
71
how is the stomach best identified on a CXR?
By the gastric bubble located within it
72
what is the most common cause of a pneumoperitoneum?
bowel perforation
73
How can a pneumoperitoneum be spotted on a CXR?
Air accumulates under the diaphragm causing it to **lift** and become **visibly separate from the liver** * Diaphragm is crisply defined on both sides * Air under the diaphragm (asterisks) is seen as crescents of relatively low density (black)
74
If a pneumoperitoneum is spotted on a CXR, what is the next investigation?
CT abdomen
75
What condition can result in the false impression of free gas under the diaphragm (pseudo-pneumoperitoneum)?
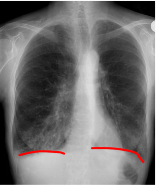
**Chilaiditi syndrome**
76
What forms the costophrenic angles?
the **dome of each hemidiaphragm** and the **lateral chest wall**
77
How should costophrenic angles present on a CXR?
Costophrenic angles should be **clearly visible** as a well-defined **acute angle.**
78
What can the blunting (loss) of costophrenic angles indicate?
Can indicate presence of **fluid** or **consolidation** in the area (lower lobes as the lower lobes of both lungs lie directly in contact with each hemidiaphragm)
79
How can lung hyperinflation (e.g. COPD) affect the costophrenic angles?
**Diaphragmatic flattening** can lead to subsequent loss of the acute angle (blunting)
80
What is the mediastinum
A division of the thoracic cavity that contains the heart, great vessels., lymphoid tissue and a number of potential spaces where pathology can develop.
81
The exact boundaries of the mediastinum aren’t particularly visible on a CXR but what 2 important structures should you assess?
1. Aortic knuckle 2. Aortopulmonary window
82
What is the aortic knuckle?
Located at the **left lateral edge of the aorta** as it arches back over the **left main bronchus**
83
What does reduced definition of the aortic knuckle contours indicate?
Aneurysm
84
What is the aortopulmonary window?
This is a space located between the arch of the aorta and the pulmonary arteries
85
What pathology can lead to the loss of the aortopulmonary window
* **mediastinal lymphadenopathy** (e.g. malignancy)
86
What is involved in the ‘everything else’ aspect of assessing a CXR?
1. Mediastinal contours 2. Bones 3. Soft tissues 4. Tubes, valves & pacemakers
87
What bone structures should you assess for pathologies e.g. fractures, lytic lesions?
* Clavicles * AC joints * Glenohumeral joints * Humerus * Ribs & vertebrae
88
What soft tissue should you pay particular attention to in a CXR? Why?
Breast tissue → possible to mistake breast tissue for increased density of underlying lung, particularly if there has been a mastectomy on the other side.
89
How will a pacemaker appear on a CXR?
Typically appear as a **radio-opaque disc or oval** in the **infraclavicular region** connected to pacemaker wires which are positioned within the heart.
90
Before completing your assessment of a CXR, what are the ‘review areas’ where pathology is often missed?
* Lung apices * Retrocardiac region * Behind the diaphragm * Peripheral region of lungs * Hilar regions