Cystitis Flashcards

(12 cards)

1
Q

What is cystitis?

A

Inflammation of the bladder

How well did you know this?
1
Not at all
2
3
4
5
Perfectly
2
Q

What are some causes of cystitis

A

UTI
Parasites
In-dwelling catheters
Interstitial (Aseptic) cystitis
Cystitis cystica

How well did you know this?
1
Not at all
2
3
4
5
Perfectly
3
Q

What is the main parasite that can cause cystitis?

A

Schistosomiasis haematobium

How well did you know this?
1
Not at all
2
3
4
5
Perfectly
4
Q

How does schistosomiasis cause cystitis

A

Fresh water snails release the water-borne parasite into rivers or lakes
S. haematobium penetrates the skin of a person swimming and lays its eggs in the bladder
This causes persistent inflammation as the body isn’t good of getting rid of eggs

How well did you know this?
1
Not at all
2
3
4
5
Perfectly
5
Q

What is a possible complication of schistosomiasis?

A

Persistant inflammation due to eggs can lead to squamous metaplasia and eventually squamous cell carcinoma (SCC)

How well did you know this?
1
Not at all
2
3
4
5
Perfectly
6
Q

How does schistosomiasis present?

A
  • Haematuria
  • Hydronephrosis
  • Renal failure
  • SCC
How well did you know this?
1
Not at all
2
3
4
5
Perfectly
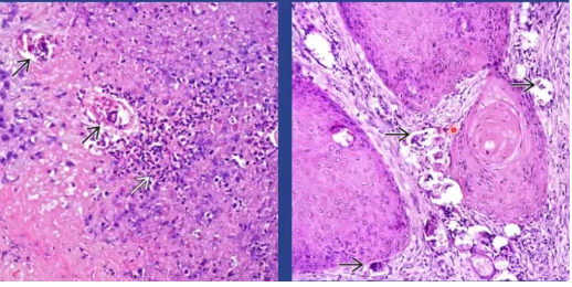
7
Q

Describe the histology of schistosomiasis

A

Schistosome eggs with surrounding granulomatous inflammation, haemorrhage or ulceration

How well did you know this?
1
Not at all
2
3
4
5
Perfectly
8
Q

What is a risk of in-dwelling catheters?

A
  • an result in persistent inflammation
  • Persistence of injury → scarring, metaplasia and SCC
How well did you know this?
1
Not at all
2
3
4
5
Perfectly
9
Q

Who is most at risk of SCC in cases of in-dwelling catheter cystitis

A

Hugely problematic if paraplegic for example - lack of sensory feedback of irritation

How well did you know this?
1
Not at all
2
3
4
5
Perfectly
10
Q

What is thought to be the cause of interstitial cystitis?

A

may be hypersensitivity reaction or autoimmune

How well did you know this?
1
Not at all
2
3
4
5
Perfectly
11
Q

How does interstitial (aseptic) cystitis present and show on investigation?

A
  • Persistent symptoms of dysuria and frequency
  • Persistently negative cultures and urinalysis
  • Variable pathology - some inflammation, congestion, mast cells
How well did you know this?
1
Not at all
2
3
4
5
Perfectly
12
Q

What is cystitis cystica?

A
  • Descriptive term, doesn’t identify any cause
  • Reactive infolding of bladder mucosa into cysts
How well did you know this?
1
Not at all
2
3
4
5
Perfectly