Data interpretation: CT angiogram Flashcards

(70 cards)

1
Q

How do you explain to a patient what a CT angiogram is?

A

Test to check for any blockages or narrowings in arteries

How well did you know this?
1
Not at all
2
3
4
5
Perfectly
2
Q

How do you explain to a patient how a CT angiogram is performed?

A

A dye (called the contrast medium) is injected into a vein in the arm, so it can circulate into the arteries and make them more visible

Multiple x-ray images will be taken of the arteries, and they will be combined to create 3D images of the blood flow in your body

How well did you know this?
1
Not at all
2
3
4
5
Perfectly
3
Q

How do you explain to a patient what a CT coronary angiogram is?

A

Test to check for any blockages or narrowings in the coronary arteries. These are the arteries that supply oxygen and nutrients to your heart

How well did you know this?
1
Not at all
2
3
4
5
Perfectly
4
Q

Where is the right coronary artery (RCA), and what part of the heart does it supply?

A

1

Right atrium and ventricle, inferior LV wall, AV/SA nodes, 1/3 of septum

How well did you know this?
1
Not at all
2
3
4
5
Perfectly
5
Q

If the right coronary artery is blocked, what 3 conditions can this mainly cause?

A

SA/AV dysfunction: Bradyarrhythmias, AV block

Inferior STEMI/NSTEMI

Right ventricular infarction

How well did you know this?
1
Not at all
2
3
4
5
Perfectly
6
Q

Where is the left coronary artery (LCA), and what part of the heart does it supply?

A

4

Left atrium and ventricle, 2/3 of septum

How well did you know this?
1
Not at all
2
3
4
5
Perfectly
7
Q

Which 2 vessels does the LCA bifurcate into?

A

Left anterior descending artery (runs down front of left heart)

Left circumflex artery (wraps around back of heart)

How well did you know this?
1
Not at all
2
3
4
5
Perfectly
8
Q

Where is the left anterior descending artery (LAD), and what part of the heart does it supply?

A

3

Anterior left heart, septum, apex, bundle branches

How well did you know this?
1
Not at all
2
3
4
5
Perfectly
9
Q

Where is the left circumflex artery, and what part of the heart does it supply?

A

2

Lateral and posterior left heart

How well did you know this?
1
Not at all
2
3
4
5
Perfectly
10
Q

If the LAD artery is blocked, what 3 conditions can this mainly cause?

A

Anterior STEMI/NSTEMI

Anterolateral STEMI/NSTEMI

Bundle branch block

How well did you know this?
1
Not at all
2
3
4
5
Perfectly
11
Q

If the LCx artery is blocked, what condition can this mainly cause?

A

Lateral STEMI/NSTEMI

How well did you know this?
1
Not at all
2
3
4
5
Perfectly
12
Q

Which coronary artery can cause a posterior STEMI/NSTEMI?

A

Posterior descending artery (PDA)/posterior intraventricular artery

How well did you know this?
1
Not at all
2
3
4
5
Perfectly
13
Q

What is meant by a right-side dominant or left-side dominant heart?

A

Depends on which side supplies the PDA

Right-side dominant heart: PDA branches off RCA (More common)

Left-side dominant heart: PDA branches off LCx

How well did you know this?
1
Not at all
2
3
4
5
Perfectly
14
Q

Which coronary artery causes an anterior or anteroseptal MI?

A

LAD

How well did you know this?
1
Not at all
2
3
4
5
Perfectly
15
Q

Which coronary artery causes a lateral MI?

A

LCx

Could also be LAD

How well did you know this?
1
Not at all
2
3
4
5
Perfectly
16
Q

Which coronary artery causes an inferior MI?

A

RCA

Could also be LCx in left-dominant heart

How well did you know this?
1
Not at all
2
3
4
5
Perfectly
17
Q

Which coronary artery causes a posterior MI?

A

RCA

Could also be LCx in left-dominant heart

Depends which artery produces PDA

How well did you know this?
1
Not at all
2
3
4
5
Perfectly
18
Q

Which common projections are used in CT angiogram?

A

Right anterior oblique (RAO) caudal: Camera is positioned to the patient’s right and angled slightly downwards towards the feet

RAO cranial: Camera is positioned to the patient’s right and angled slightly upwards towards the head

Left anterior oblique (LAO) cranial: Camera is positioned to the patient’s left and angled slightly upwards towards the head

LAO caudal: Camera is positioned to the patient’s left and angled slightly down towards the feet

How well did you know this?
1
Not at all
2
3
4
5
Perfectly
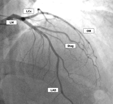
19
Q

Which coronary artery is seen with a CT angiogram in the RAO cranial view?

A

LAD: Diagonal branches (lateral) and septal perforator (septum)

How well did you know this?
1
Not at all
2
3
4
5
Perfectly
20
Q

Which coronary artery is seen with a CT angiogram in the RAO caudal view?

A

LCA, LAD, LCx

How well did you know this?
1
Not at all
2
3
4
5
Perfectly
21
Q

Which coronary artery is seen with a CT angiogram in the LAO cranial view?

A

RCA and branching into PDA

How well did you know this?
1
Not at all
2
3
4
5
Perfectly
22
Q

Which coronary artery is seen with a CT angiogram in the LAO caudal view?

A

LCA and its bifurcation into the left anterior descending (LAD) and circumflex (LCX) arteries

How well did you know this?
1
Not at all
2
3
4
5
Perfectly
23
Q

If there is mild-moderate stenosis in a coronary artery, how is this treated?

A

Can tell if this is mild/moderate stenosis by diagnosing patient with stable angina and CT angiogram

  1. Medications: Beta-blockers, CCB, nitrates, antiplatelets, statin
  2. Lifestyle changes
How well did you know this?
1
Not at all
2
3
4
5
Perfectly
24
Q

If there is significant stenosis in a coronary artery, how is this treated?

A

Can tell if this is severe stenosis if artery is over 70% stenosed on CT angiogram

Percutaneous coronary interventions: Inserting a catheter with a balloon into the affected artery, inflating the balloon to widen the artery, and often placing a stent to keep it open (balloon angioplasty and drug-eluted stenting)

–Usually drug-eluting stent: Drug coating on the stent is released over time, inhibiting the overgrowth of cells (restenosis)

How well did you know this?
1
Not at all
2
3
4
5
Perfectly
25
Which patients are suitable for PCI, to treat stenosed coronary arteries?
Single/limited vessel disease Focal blockages High-risk patients Unstable angina, stable angina, heart attack, positive stress tests
26
If a patient with significant coronary artery stenosis can't have PCI, what treatment should they get instead?
Coronary artery bypass grafting (CABG): Taking a healthy blood vessel from another part of the body and using it to create a detour around the blocked or narrowed section of the coronary artery, allowing for improved blood flow to the heart muscle
27
Which patients are indicated for CABG, instead of PCI to treat coronary artery stenosis?
LMCA disease: If this artery is blocked it will cause the most harm due to supplying left side of heart Multiple vessel disease Diffuse blockages
28
What are the main points to consider when deciding between PCI or CABG, for coronary artery stenosis treatment?
PCI: Minimally invasive so has faster recovery, but patient will need Aspirin + Clopidogrel/Ticagrelor for at least 6–12 months afterwards CABG: Suitable for more difficult anatomy and multiple vessel disease, but open-heart surgery so has longer recovery
29
For CABG, which 2 vessels are usually used?
Left internal mammary artery Saphenous vein
30
What 3 vascular conditions is CT angiogram whole aorta used for?
Aortic dissection Aortic coarctation Abdominal aortic aneurysm
31
For identifying AAA or aortic dissection, which CT angio whole aorta views are used?
Axial: Horizontal slice into upper and lower half Coronal: Vertical slice into front and back half Sagittal: Vertical slice into left and right half
32
What are the 3 main reasons for CT angio whole aorta, in AAA?
1. Is it ruptured or unruptured 2. To measure size 3. To decide on management
33
What is the main reason for CT angio whole aorta, in aortic dissection?
Stanford classification Type A (involving the ascending aorta) Type B (involving only the descending aorta, starts after left subclavian artery)
34
Where is the right common carotid artery, and what body region does it supply?
1 Divides into right external and internal carotid arteries to supply head, neck and brain
35
Where is the right subclavian artery, and what body region does it supply?
10 Mostly right arm, some branches into head and right thorax
36
Where is the brachiocephalic artery, and what body region does it supply?
2 Divides into right subclavian and right common carotid
37
Where is the left common carotid artery, and what body region does it supply?
4 Divides into left external and internal carotid arteries to supply head, neck and brain
38
Where is the left subclavian artery, and what body region does it supply?
11 Mostly left arm, some branches into head and left thorax
39
Where are the right and left coronary artery, and what body region does it supply?
9 Heart muscle
40
Where is the celiac trunk, and what body region does it supply?
3 Major artery in the abdomen that primarily supplies the foregut, which includes the abdominal esophagus, stomach, liver, gallbladder, pancreas, spleen, and portions of the duodenum Branches into the left gastric, splenic, and common hepatic arteries
41
Where are the superior mesenteric arteries, and what body region does it supply?
6 Midgut, which includes parts of the small intestine and large intestine
42
Where are the renal arteries?
5
43
Where are the gonadal arteries?
8
44
Where are the inferior mesenteric arteries, and what body region does it supply?
12 Hindgut, most of the large intestine
45
Where is the common iliac artery, and what body region does it supply?
7 Supplies pelvis and legs
46
At which spinal level does the abdominal aorta bifurcate, and which vessels does it form?
L4 Into left and right common iliac arteries
47
Where is the external iliac artery, and what body region does it supply?
1 Thigh, and most of the leg
48
Where is the internal iliac artery, and what body region does it supply?
9 Pelvic organs (bladder, rectum), reproductive organs, GLUTEAL REGION
49
How do you tell the difference between the external and internal iliac arteries?
External iliac artery runs down whole leg Internal iliac artery curves inwards
50
Where is the common femoral artery?
Continuation of the external iliac artery, before it bifurcates into deep femoral artery and superior femoral artery
51
Where is the deep femoral artery, and what body region does it supply?
5 Posterior and medial thigh, hip, femur
52
Where is the superior femoral artery, and what body region does it supply?
4 Anterior thigh, then lower leg
53
How do you tell the difference between the superior and deep femoral artery?
Superior femoral artery runs down lower leg Deep femoral artery is on outside (supplies posterior thigh)
54
Where is the popliteal artery, and what body region does it supply?
3 Knee joint, calf muscles, lower leg
55
Where is the anterior tibial artery, and what body region does it supply?
6 Anterior calf and foot (becomes dorsalis pedis artery)
56
Where is the tibioproneal trunk, and what does it bifurcate into?
2 Splits into peroneal (fibular) artery and posterior tibial artery
57
What does the popliteal artery bifurcate into?
Anterior tibial artery Tibioperoneal trunk
58
Where is the peroneal/fibular artery, and what body region does it supply?
8 Lateral calf and lateral foot
59
Where is the posterior tibial artery, and what body region does it supply?
7 Posterior calf, medial ankle and heel, sole
60
What does an arterial occlusion look like on a lower limb CT angiogram?
Dark, non-opacified segment in the artery, often accompanied by a lack of visualization of the vessel distally Could be blood flow in collateral vessels to compensate
61
What is the circle of willis?
Circulatory anastomosis of arteries at the base of the brain, formed from the connection of the internal carotid and vertebral arteries
62
Why is the circle of willis a ring structure?
Ensures blood flow to the brain, even if one of the main arteries is blocked
63
What are the 4 main arteries that form the circle of willis?
Right internal carotid artery Left internal carotid artery Right vertebral artery Left vertebral artery
64
Where do the vertebral arteries originate from, and what body region do they supply?
Branch off the right and left subclavian arteries Supply posterior circulatory system of brain and spinal cord
65
Where is the anterior cerebral artery, and what part of the brain does it supply?
12 Medial frontal lobe, medial parietal lobe, motor and sensory cortex of leg
66
If a patient has an ACA stroke, what deficits will they have?
Motor and sensory cortex of leg: Contralateral leg and foot weakness and loss of sensation, impaired gait Frontal lobe: Personality changes (loss of inhibition, cognitive impairment), urinary incontinence Parietal lobe: Spacial neglect on contralateral side, language problems eg. inability to read or write
67
Where is the middle cerebral artery, and what part of the brain does it supply?
11 Lateral frontal (broca's area), lateral parietal, lateral temporal lobes (wernicke's area), motor/sensory cortex (face, arm), basal ganglia (via lenticulostriate arteries)
68
If a patient has an MCA stroke, what deficits will they have?
Motor and sensory cortex of face and arms: Contralateral weakness and sensory loss in face and arm, pronator drift Lateral frontal lobe: Brocka's/expressive aphasia Lateral parietal lobe: Spacial neglect on contralateral side, language problems eg. inability to read or write Lateral temporal lobe: Receptive aphasia Basal ganglia: Movement problems eg. dysarthria
69
Where is the posterior cerebral artery, and what part of the brain does it supply?
8 Occipital lobe, inferior temporal lobe, thalamus
70
If a patient has a PCA stroke, what deficits will they have?
Occipital lobe: Homonymous Hemianopia: Loss of vision in one half of the visual field, on the side opposite the stroke Visual Agnosia: Inability to recognize objects, faces, or words despite intact visual perception. Alexia without Agraphia: Inability to read without an inability to write. Prosopagnosia: Difficulty recognizing familiar faces. Palinopsia: Persistence or recurrence of visual images after the stimulus is gone. Visual Hallucinations: Can be a feature of PCA strokes, especially those affecting the occipital lob