Data Interptretation: CT Head Flashcards

(42 cards)

1
Q

Which 3 details should you confirm before interpreting a CT head?

A
  1. Patient details
  2. Date and time of CT head
  3. If previous CT heads are available for comparison
How well did you know this?
1
Not at all
2
3
4
5
Perfectly
2
Q

In what order should you interpret a CT head?

A

Blood Can Be Very Bad:

B: Blood

C: Cisterns

B: Brain

V: Ventricles

B: Bone

How well did you know this?
1
Not at all
2
3
4
5
Perfectly
3
Q

If you identify an obvious abnormality on a CT head, how should you then interpret the scan?

A

Comment on any obvious abnormalities then go through Blood Can Be Very Bad approach

How well did you know this?
1
Not at all
2
3
4
5
Perfectly
4
Q

In CT head interpretation, what does ‘Blood’ refer to, and what are the 5 main findings?

A

Areas of haemorrhage:

Extradural haematoma

Subdural haematoma

Subarachnoid haemorrhage

Intraparenchymal blood

Intraventricular blood

How well did you know this?
1
Not at all
2
3
4
5
Perfectly
5
Q

What is extradural haemorrhage, and what does it look like on CT head?

A

Extradural/epidural haemorrhage: Blood collection between skull and dura mater (outer lining of brain)

CT finding: Hyperdense biconvex (lens-shaped/lemon) lesion with well-defined borders, between skull and dura mater

How well did you know this?
1
Not at all
2
3
4
5
Perfectly
6
Q

What is subdural haemorrhage, and what does it look like on CT head?

A

Subdural haematoma: Blood collection between dura mater and arachnoid mater

CT finding: Hyperdense crescent-shaped (banana) lesion with well-defined borders, located between dura mater (outer lining of brain) and arachnoid mater (middle lining of brain)

How well did you know this?
1
Not at all
2
3
4
5
Perfectly
7
Q

What are the main differences between an extradural haematoma and a subdural haemtoma?

A
  1. Extradural haematoma is between skull and dura mater, but subdural haematoma is between dura mater and arachnoid mater
  2. Extradural haematoma develops quickly due to collection of arterial blood, due to precipitating skull fracture which damages middle meningeal artery (major artery supplying dura mater)
  3. Subdural haematoma develops slowly due to collection of venous blood, due to tearing of bridging veins in subdural space
  4. Extradural haematoma looks lens-shaped on CT but Subdural haematoma looks crescent-shaped
How well did you know this?
1
Not at all
2
3
4
5
Perfectly
8
Q

What is subarachnoid haemorrhage, and what does it look like on CT head?

A

Subarachnoid haemorrhage: Blood collection between arachnoid mater (middle lining of brain) and pia mater (inner lining of brain), in the subarachnoid space (CSF, cisterns, fissures/sulci)

CT finding: Hyperdense lesions in CSF-filled areas eg. Sulci (grooves), cisterns (outpouchings of subarachnoid space)

How well did you know this?
1
Not at all
2
3
4
5
Perfectly
9
Q

What are the 2 types of intracerebral haemorrhage that are found on CT head?

A

Intraparenchymal haemorrhage

Intraventricular haemorrhage

How well did you know this?
1
Not at all
2
3
4
5
Perfectly
10
Q

What is Intraparenchymal haemorrhage, and what does it look like on CT head?

A

Intraparenchymal haemorrhage: Blood collection in brain tissue

CT finding: Hyperdense lesions in cerebral hemispheres/brainstem/cerebellum/basal ganglia

How well did you know this?
1
Not at all
2
3
4
5
Perfectly
11
Q

What is Intraventricular haemorrhage, and what does it look like on CT head?

A

Intraventricular haemorrhage: Blood collection in ventricles

CT finding: Hyperdense lesion in ventricle

How well did you know this?
1
Not at all
2
3
4
5
Perfectly
12
Q

In CT head interpretation, what does ‘Can’ refer to, and what are the 4 main findings?

A

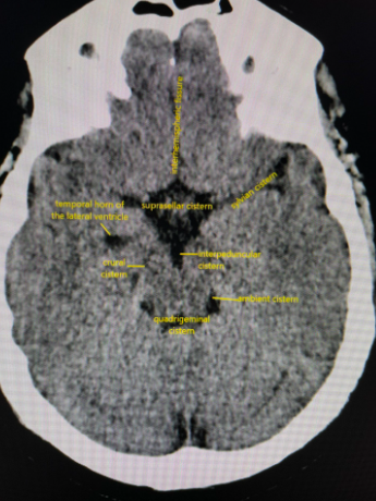
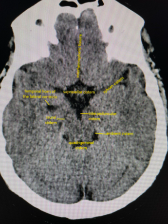
Can: Cisterns

  1. Ambient cistern effacement/blood/asymmetry
  2. Suprasellar cistern effacement/blood/asymmetry
  3. Quadrigeminal cistern effacement/blood/asymmetry
  4. Sylvian cistern effacement/blood/asymmetry
How well did you know this?
1
Not at all
2
3
4
5
Perfectly
13
Q

What is cistern effacement, and what does it look like on CT head?

A

Cistern effacement: Compression or obliteration of cisterns, caused by surrounding lesions eg. Tumour, haematoma

How well did you know this?
1
Not at all
2
3
4
5
Perfectly
14
Q

What is a cistern, and how many are there on a CT head?

A

Cisterns: Outpouchings in subarachnoid space, due to uneven distance between pia mater and arachnoid mater

  1. Ambient cistern: Ring surrounding midbrain
  2. Suprasellar cistern: Pentagon-shaped
  3. Quadrigeminal cistern: Smile-shaped
  4. Sylvian cistern: Upper outer corners
How well did you know this?
1
Not at all
2
3
4
5
Perfectly
15
Q

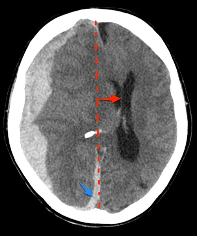
In CT head interpretation, what does ‘Be’ refer to and what are the main findings?

A

Brain

  1. Sulcal effacement
  2. Grey-white matter differentiation
  3. Midline shift
  4. Hyperdensities or hypodensities
  5. Pneumocephalus
How well did you know this?
1
Not at all
2
3
4
5
Perfectly
16
Q

What does sulcal effacement look like on a CT head, and what conditions does it indicate?

A

Sulcal effacement: Loss of normal, symmetrical gyral-sulcal pattern of brain tissue

Indicates increased intracranial pressure

How well did you know this?
1
Not at all
2
3
4
5
Perfectly
17
Q

How can you identify grey-white matter differentiation on CT head, and what does loss of it indicate?

A

Normal grey-white matter differentiation: Grey matter looks hyperdense (lighter) and white matter looks hypodense (darker), due to grey matter having cell bodies and dendrites but white matter has myelinated axons

Loss indicates cerebral oedema secondary to infarction (ischameic stroke), hypoxic brain injury, tumour, cerebral abcess or rupturedd cerebralal aneurysmsm

18
Q

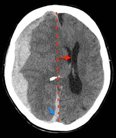
What does midline shift look like on CT head, and what conditions does it indicate?

A

CT finding: Brian tissue displaced across midline so structures look wavy

Indicates increased intracranial pressure secondary to traumatic brain injury, stroke, tumour, haematoma

19
Q

Give 4 examples of hypodense foci on CT head, within the brain tissue?

A

Oedema

Pneumocephalus (air)

Infarction (ischaemic stroke)

Hypodense vessel sign: Focal area of decreased density in a blood vessel usually due to fat embolus

20
Q

Give 4 examples of hyperdense foci on CT head, within the brain tissue?

A

Blood (haematoma or haemorrhagic stroke)

Thrombus

Calcification

Hyperdense vessel sign: Focal area of hyperdensity within a blood vessel due to an acute thrombus

21
Q

In CT head interpretation what does the ‘Very’ refer to, and what are the main 4 findings?

A

Ventricles

  1. Ventricular effacement
  2. Ventricle shift
  3. Hydrocephalus
  4. Blood and choroid plexus
22
Q

What does ventricular effacement look like on CT head, and what conditions does it indicate?

A

Ventricle looks thinner and smaller, instead of normal wide sickle-shape

Indicates increased intracranial pressure secondary to cerebral odema released from tumour, ischaemic stroke OR haemorrhaging

23
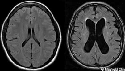
Q

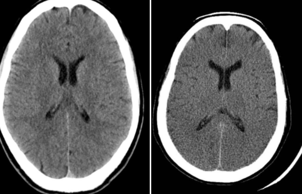
What is hydrocephalus, and what does it look like on CT head?

A

Hydrocephalus: Abnormal accumulation of CSF in brain ventricles and spinal cord

CT finding: Ventricles look swollen with loss of sharp points, with dark colour (hypodense due to fluid accumulation)

24
Q

Which conditions cause hydrocephalus?

A

Blockage in CSF flow: Spina bifida, tumour, traumatic brain injury, meningitis

Impaired CSF absorption: Stroke, medications

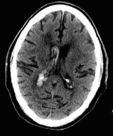
25
How can you tell if there is blood in the ventricles on a CT head, and which conditions can cause this?
Ventricle appear hyperdense, due to blood collection, and hyperdensity pools due to blood being denser than CSF Indicates intraventricular haemorrhage
26
What is the choroid plexus, and why is it important to consider when assessing for intravascular haemorrhage?
Choroid plexus: Network of cells in ventricle that produces CSF As age increases the choroid plexus calcifies, which can be mistaken for blood on CT head
27
In CT head interpretation, how do you tell the difference between calcification and blood?
Compare the colour of the hyperdense area to the skull bone colour 1. Same colour (pure white) as skull bone: Hyperdense area is calcification 2. Darker colour (light grey): Hyperdense area is blood
28
In CT head interpretation, what does 'Bad' refer to and what are the 4 main findings?
Bone: Any skull fractures 1. Linear fracture 2. Depressed fracture 3. Diastatic fracture 4. Basilar fracture
29
What is a linear skull fracture, and what does it look like on CT head?
Linear skull fracture: Straight, non-displaced break in skull bone Usually causes minimal brain damage CT finding: Thin line interrupting the cortical outline of skull bone
30
What is a depressed skull fracture, and what does it look like on CT head?
Depressed skull fracture: Skull bone is pushed inward, towards the brain, due to a head injury Urgent neurosurgery needed if bone fragment is compressing brain CT finding: Bony fragment is displaced inwardly, can also look like a curve
31
What is a diastatic skull fracture, and what does it look like on CT head?
Diastatic skull fracture: Along the suture lines of the skull, the areas where the skull bones connect CT: Thin break in bone at suture lines
32
What is a basilar skull fracture?
Basilar skull fracture: Fracture at base of skull (supports bottom of brain), caused by blunt force trauma
33
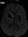
What is diffusion-weighted imaging, and why is it used in stroke?
DWI: Type of MRI sequence that measures diffusion of water molecules within tissues Highly sensitive to ischaemic changes
34
What does an ischaemic stroke look like on DWI brain?
Hyperdense lesion
35
What does a haemorrhagic stroke look like on DWI brain?
Hypodense lesion
36
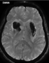
Which MRI sequences are used to identify haemorrhagic strokes, and what are the findings?
DWI SWAN: SWAN (susceptibility-weighted angiography) is highly sensitive for visualisation of blood vessels and blood products Haemorrhagic stoke findings: Hyperintense in hyperacute stage then becomes hypointense with hyperintense outer ring
37
Which 2 MRI sequences are used to identify ischaemic strokes, and what are the findings?
DWI T2-weighted & ADC: These sequences detect ischaemic changes within minutes to hours of onset, and DWI shows area of penumbra which guides treatment Ischaemic stroke findings: Hyperintensity on DWI and T2, hypointensity on ADC
38
In suspected stroke, what is the first-line imaging and why?
Non-contrast CT head To exclude haemorrhage
39
In suspected stroke, what imaging should you do after excluding haemorrhage?
DWI brain with T2 and ADC sequencing These can detect ischaemic changes and confirm ischaemic stroke
40
If a non-contrast CT head shows no haemorrhage, why should you do further imaging instead of immediately confirming ischaemic stroke diagnosis?
Non-contrast CT head doesn't show ischaemic changes within 6 hours onset So if patient has hyperacute ischaemic stroke it won't show on CT but will show on DWI scans
41
42