A 65-year old man presents to the A&E department with a 5 hour history of palpitations.
He has a past medical history of Ischaemic Heart Disease, and he had an MI 2 years ago. His basic observations are as follows:
HR 150, RR 25, BP 125/80, T 37.3, SO2 96%
On examination, JVP was not visible and there was no peripheral oedema. He has palpable peripheral pulses.
Auscultation of his heart and lungs were normal. A portion of his ECG is shown below:
What is the most appropriate management for this patient?
IV Amiodarone
This patient has developed a monomorphic broad complex tachycardia on his ECG.
This is also known as a ventricular tachycardia (VT).
The most appropriate management of VT in a haemodynamically stable patient is IV Amiodarone.
A 27-year-old male presents to A&E unconscious.
His basic observations; HR: 110, RR: 35, BP: 90/65 and Temp. 36.5
As part of his work up and ECG is taken.
What is the most likely explanation for the appearance of his ECG.

Acute pancreatitis
This patient’s ECG shows a polymorphic ventricular tachycardia, with QRS complexes ‘twisting’ along the baseline - this is an ECG of Torsades de Pointes. Torsades de Pointes is caused by lengthening of the QT interval (this refers to a QT interval >450ms).
There are many causes of Torsades de Pointes, one of which is hypocalcaemia, as hypocalcaemia causes prolongation of the QT interval.
Acute pancreatitis can cause hypocalcaemia and therefore, lead to Torsades de Pointes
What causes torsades de pointes? (3)
What is the treatment? (1)
hypocalcaemia, hypokalaemia, hypomagnesaemia,
IV magnesium sulfate
A 32 year old man is admitted to hospital following a road traffic accident. Initial assessment reveals extensive pelvic injury.
The patient is drowsy and speaking incoherently.
A set of observations are performed during initial resuscitation:
What stage of hypovolaemic shock is the patient most likely to be in?

Stage 3
The patient has all the features of stage 3 shock, confusion, tachycardia, hypotension, tachypnoea and reduced pulse pressure.
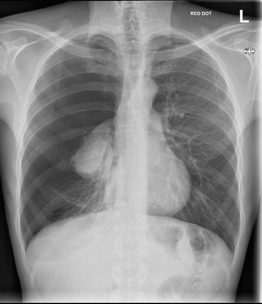
A 50-year-old lady presents to the A&E Department with a 1 day history of pleuritic chest pain. She has a past medical history of COPD. Her observations are as follows:
HR 88, RR 20, BP 120/85, T 37.0, SO2 89%
On examination, she is comfortable at rest. On palpation, there is no tracheal deviation or crepitus over the chest. On auscultation, there is decreased air entry over her right lung.
A chest X-ray is ordered and this is shown below:
What is the best management option for this patient?

Chest drain insertion
This patient has features of a secondary spontaneous right-sided pneumothorax, most likely secondary to her underlying COPD.
Patients who have a secondary pneumothorax who are symptomatic or have a pneumothorax measuring >2 cm from the chest rim on radiographs should be offered a chest drain.
A 23 year old lady presents to the Emergency Department (ED) having taking a paracetamol overdose. She reports taking 12 tablets over a couple of hours earlier that morning, with the first tablet taken 3 hours ago.
On assessment she is asymptomatic and clinically stable. Her weight is approximately 60kg.
Which of the following is the next best step in management?
Start treatment with N-acetylcysteine (NAC) immediately
This patient has taken a staggered overdose which is defined as being an overdose taken over > 1 hour.
In these cases, measuring serum paracetamol levels and plotting on a nomogram is not a reliable method to determine if treatment is required.
Patients will usually be given three bags of NAC over a period of 21 hours.
An 89-year-old man presents to A&E with abdominal pain.
The pain has worsened over the past two days and is associated with nausea, vomiting and diarrhoea.
He also reports feeling weak and lethargic.
His past medical history includes hypertension and congestive heart failure The abdomen is soft and non-tender.
Observations are as follows: respiratory rate 11/min, SpO2 95% on room air, pulse rate 130/min, blood pressure 123/87, temperature 37.2.
Baseline blood tests show a hypokalaemia (3.2 mmol/L) but are otherwise normal.
A 12-lead ECG is performed, which shows prolonged PR interval and a down-sloping ST-segment depression most evident in lead V6 and II.
Which of the following is the most likely cause of this patient’s presentation?
Digoxin toxicity
This patient most likely takes Digoxin for congestive heart failure. The abdominal pain, nausea and vomiting may be explained by gastroenteritis, or due to the effects of Digoxin toxicity itself.
Hypokalaemia (which can result from vomiting and diarrhoea) worsens Digoxin toxicity - allowing it to occur in therapeutic concentrations.
The downsloping ST segment is the characteristic ‘Salvador Dali’s moustache’ or reverse tick sign - this does not necessarily indicate toxicity, but is seen with Digoxin use.
Note, yellow discolouration of vision (xanthopsia) is a classic but rare sign of Digoxin toxicity.
A 75 year old man with a history of IVDU (now on methadone for the last 20 years) comes into the A&E after suspected food poisoning.
He feels sick and has vomited four times.
His family have all had similar symptoms earlier today after eating a salad at the local takeaway.
An admission ECG shows a QTc of 490ms.
He is given something for his nausea when he arrived at triage.
He suddenly collapses and is found to be pulseless.
What medication did he receive?
A serotonin 5HT3 antagonist, it is often used as an adjunct with chemotherapy to reduce nausea.
Importantly, it can be given PO/IM/IV making it useful when a patient is unable to keep oral foods down.
One should note that ondansetron can increase QT interval and put a patient at risk of torsades de pointes which is what happened in this case.
This patient is already on another drug notorious for prolonging QT interval – methadone.
A 57 year old farmer presents with difficulty breathing, diarrhoea, urinary frequency and muscle spasms.
On examination his eyes are watering and he appears sweaty.
He is also bradycardic.
What is the most likely cause of his presentation?
Organophosphates
Organophosphates (found in pesticides) cause over-activity of the cholinergic system giving the symptoms described in this scenario.
A 72-year-old woman presents to the emergency department with chest pain and palpitations.
On examination, she has a rapid, regular pulse and bibasal inspiratory crackles.
Her observations are below:
ECG shows a regular QRS rate of 150bpm and QRS duration > 120ms (>3 small squares).
Having completed an ABCDE assessment and established IV access, what is the single best next step?

Synchronised DC cardioversion
This patient has monomorphic VT and is displaying adverse signs (chest pain, indicating myocardial ischaemia, haemodynamic instability and pulmonary oedema).
Therefore, she is clinically unstable and requires immediate electrical cardioversion.
What is a normal QRS width?
what can causes an elongated QRS?
Normal QRS width is 70-100 ms
hypokalaemia
Treatments for
VT (2)
SVT (2)
VT
SVT
An 83 year old man with a past medical history of heart failure presents with shortness of breath, raised JVP, and peripheral oedema.
Auscultation of the lungs reveals bibasal crackles.
Observations are O2 saturation of 94%, respiratory rate of 22, HR 106, BP 82/54, and temperature of 37.1 degrees Celsius.
An echocardiogram performed 3 weeks ago identified an ejection fraction of 20%.
Multiple doses of IV furosemide are given but no improvement is seen.
What is the which of the following is the best next step in management?
IV dobutamine
Intravenous inotropes (e.g. dobutamine, milrinone) may sometimes be necessary in managing patients with a severely reduced LV systolic function.
Inotropes increase the contractility of the heart.
These measures are done to maintain systemic perfusion to the end-organs.
A 22 year old man is brought into the Emergency Department (ED) following an asthma attack.
He is given nebulised salbutamol and ipratropium inhalers, IV hydrocortisone and IV magnesium sulphate.
Despite this, he remains short of breath and auscultation of the chest reveals a wide-spread expiratory wheeze.
An arterial blood gas (ABG) is performed on 15L of oxygen and shows:
Which of the following is the next best step in management?
Mechanical ventilation
This patient has near-fatal asthma which is characterised by raised PaCO2 levels.
Clinically the patient is likely to be exhausted and unable to sustain ventilatory effort thereby leading to Type 2 respiratory failure as shown on the ABG.
The most effective method of managing this would be to intubate the patient and start mechanical ventilation.

A 58-year old man presents to the Emergency Department with nausea and vomiting for the past two hours.
He is known to the alcohol liaison service and his past medical history includes severe depression.
His wife states he has ingested a bottle of anti-freeze.
Examination is unremarkable and observations are stable.
An arterial blood gas (ABG) demonstrates a metabolic acidosis.
What is the most appropriate management in this case?
Fomepizole
Fomepizole inhibits alcohol dehydrogenase.
At a sufficiently high concentration, ethanol saturates alcohol dehydrogenase, preventing it from acting on ethylene glycol, thus allowing the latter to be excreted unchanged by the kidneys.
Historically, this has been done with intoxicating doses of ethanol. However, ethanol therapy is complicated by its own toxicity.
Fomepizole inhibits alcohol dehydrogenase without producing serious adverse effects.
A 20-year-old gentleman is brought into the Emergency Department.
He is a known epileptic and is taking valproate regularly.
He started seizing about 5 minutes ago and is still currently jerking uncontrollably.
His basic observations are as follows: HR 100, RR 12, BP 140/90, T 35.8, SO2 92% RA.
He is immediately put in the recovery position, started on high flow oxygen and an oropharyngeal airway adjunct is inserted.
His blood glucose level is 6.2 mmol/L. After about 15 minutes, he is still seizing.
2 doses of IV Lorazepam 4mg had been administered but it did not seem to help.
His SO2 has improved to 98% on room air.
What is next most appropriate treatment option for this patient?
IV infusion of Phenytoin
This patient is in status epilepticus that has persisted for 15 minutes and failed to improve on 2 doses of IV Lorazepam.
A second, more longer-acting anticonvulsant is needed at this stage, and guidelines recommend an infusion of Phenytoin.
The surgical foundation doctor is called to assess a 32 year old male on a surgical ward.
On arrival the patient is comatose and appears to be making a poor respiratory effort; there is no apparent sign of airway compromise.
The patient’s oxygen saturations are 78%, the respiratory rate is 7 breaths per minute, and heart rate is 121 beats per minute.
What is the next most appropriate action?
Commence manual ventilation with a bag-valve mask
This patient has signs of significant respiratory compromise with low oxygen saturations and a low respiratory rate.
Given the respiratory rate of <10 and associated hypoxia, this patient needs manual ventilation, connecting the bag-valve mask to 15L/min oxygen.
Given a nurse is present, they can assist in calling for help or pulling the emergency buzzer, while the clinician starts ventilation.
A 60-year old man presents to the Emergency department with palpitations and dizziness.
His past medical history includes ischaemic heart disease.
On examination he is sweating and has bibasal lung crepitations.
His blood pressure is 78/52mmHg, respiratory rate 18, Sp02 98% (room air) and temperature 37.4.
His ECG shows a ventricular tachycardia.
What is the most appropriate management in this case?
Cardioversion
As this patient has a ventricular tachycardia (VT) as well as signs of haemodynamic compromise (hypotension) the first-line management is cardioversion.
VT is a broad complex tachycardia originating from a ventricular ectopic focus.
If treated rapidly, VT generally has a favourable short-term outcome.
VF or pulseless VT is treated by unsynchronised defibrillation; whereas other VTs can be treated with synchronised cardioversion.
Amiodarone is used in patients with VT; however, it is not first-line in haemodynamically unstable VT.
When should Implantable cardioverter defibrillators (ICDs) be used?
(2)
ICDs should be considered in patients who have sustained VT causing syncope, sustained VT with an ejection fraction less than 35% or a previous cardiac arrest due to VT or ventricular fibrillation (VF).
ICDs can also be used in myocardial infarctions which are complicated by non-sustained VT.
A 58-year old man is rushed into the Emergency Department via ambulance. He was found unresponsive by a passer-by. There is nobody available to provide any further information.
The ambulance crew provide the following ECG
What is the most likely diagnosis?
How can he be manged?

Ventricular Fibrillation
Ventricular fibrillation (VF) is an important shockable cardiac arrest rhythm.
This rapid and irregular electrical activity means the ventricles are unable to contract in a synchronised manner, which results in an immediate loss of cardiac output.
Management of VF and pulseless VT
Defibrillation and CPR are the mainstays of treatment. However if persistent, Amiodarone 300mg IV (same dose used to treat monomorphic VT) and Adrenaline 1mg IV (1:10,000) can be given after the third shock has been delivered.
Amiodarone is given as a one-off dose. However Adrenaline may be repeated every other cycle following a shock (i.e. cycles 3, 5, 7 etc.)
The medical foundation doctor has been called urgently to a general medical ward to assess a 45 year old gentleman who has become unresponsive.
The student nurse at the bedside does not know any background or history about the patient.
On A to E assessment, the patient is maintaining his airway, and no abnormality is noted on breathing or circulation assessment.
On assessing disability, the GCS is 4/15, pupils are equal and reactive to light, and bedside blood glucose is 2.3mmol/L.
There is an IV cannula in situ.
What is the single best initial treatment?
100ml 20% glucose IV over 10 minutes
This patient has severe hypoglycaemia causing his unresponsiveness.
He needs to be given 15 - 20g of rapid-acting carbohydrate.
Given this patient is unconscious, IV treatment is indicated. 100ml of 20% glucose corresponds to 20g of glucose, and guidance suggests this is given over 10 mins (although practically it may be given as a slow IV push via a syringe).
A 20-year-old man with no significant past medical history is brought into A&E by ambulance after a collapse.
He was playing football, suddenly fell to the floor, and was unconscious for around 5 minutes.
He reports palpitations prior to the collapse, but no shortness of breath, dizziness, chest pain, or visual symptoms.
There was no abnormal limb jerking while he was on the floor, and no post-ictal state. Neurological examination is unremarkable.
A 12-lead ECG shows a regular, narrow complex tachycardia, with short PR interval and slurred upstrokes on the QRS complexes.
What is the most likely diagnosis?
Wolff-Parkinson-White syndrome
Wolff-Parkinson-White syndrome is a type of supraventricular tachycardia caused by a congenital accessory conduction pathway in the heart.
The classical sign on ECG are short PR intervals and delta waves (slurred upstroke in the QRS complex).
Treatment is by ablation of the accessory pathway.
Features on ECG in WPW
(4)
Delta waves (slurred upstroke in the QRS)
Short PR interval (<120ms)
Broad QRS
If a re-entrant circuit has developed the ECG will show a narrow complex tachycardia

A 35-year-old East Asian lady presents to the Emergency Department complaining of a headache, which came on quite suddenly last evening.
She also feels very nauseous and noticed her left eye becoming quite red.
Apart from having migraines as a teenager, she is otherwise fit and healthy with no significant past medical history.
She recently started taking amitriptyline as she had trouble sleeping.
She has no drug allergies.
Her basic observations are as follows:
HR 100, RR 20, T 37.0, BP 130/80, SO2 98% RA.
Give her underlying diagnosis
Which of the following is the best initial treatment for her?
Acetazolamide and Timolol
This lady has acute angle closure glaucoma.
Risk factors include being female, Asian and the use of certain medications including those with antimuscarinic properties, such as amitriptyline.
Patients with acute angle closure glaucoma complain of a sudden headache, nausea and loss of vision.
Symptoms may worsen at night.
The initial management includes administering IV Acetazolamide and a topical beta-blocker such as Timolol.
An urgent Ophthalmology referral should be made.