A 32-year-old male attends the Emergency department complaining of severe chest pain of one hour.
On examination he is 6’4” tall and of slim build.
His blood pressure is 135/80 mmHg and he has an early diastolic murmur.
Electrocardiogram shows 1 mm ST elevation in II, III, and aVF.
What is the likely diagnosis?
What is the most appropriate action?
In a suspected presentation of an atypical (an inferior) myocardial infarction and a diagnosis of aortic artery dissection must be excluded.
These features are consistent with Marfan’s syndrome and aortic dissection.

What is the rule of nines?
The ‘rule of nines’ is used to approximate the body surface area (BSA) burnt.
For adults
What is the half-life of carboxyhemoglobin?
What is the half-life of carboxyhemoglobin on 100% oxygen?
The half-life of carboxyhemoglobin is four hours but this falls to 30 minutes when breathing 100% oxygen.
What is the mount Vernon formula?
The Mount Vernon formula uses colloid at 0.5 ml per Kg x %BSA of burn every four hours for the first 12 hours following injury, then every six hours for the next 12 hours.
At what point are IV fluids required in burn victims?
A 27-year-old asthmatic who has been unwell for 24 hours with a productive cough, fever and episodic wheeze.
He initially managed it at home with his regular salbutamol inhaler but was having worsening shortness of breath so presented to the hospital.
Your colleague has clerked him and thus far prescribed four sets of back to back salbutamol nebulisers, one set of ipratropium nebulisers and intravenous hydrocortisone.
The patient is now tiring and speaking in words only, with a silent chest.
His respiratory rate is climbing and his saturations are 90% on 10 litres of oxygen.
What therapeutic intervention should be given next?
Magnesium sulphate 2 g
Oxygen
Bronchodilation with short-acting beta₂-agonists (SABA)
Corticosteroid
ipratropium bromide
IV magnesium sulphate
IV aminophylline

Management stages of acute asthma attack in ER
(6)
Oxygen
Bronchodilation with short-acting beta₂-agonists (SABA)
Corticosteroid
ipratropium bromide
IV magnesium sulphate
IV aminophylline

Mechanism of action of ipratropium
Ipratropium exhibits broncholytic action by reducing cholinergic influence on the bronchial musculature.
It blocks muscarinic acetylcholine receptors, without specificity for subtypes, and therefore promotes the degradation of cyclic guanosine monophosphate (cGMP), resulting in a decreased intracellular concentration of cGMP.
Most likely due to actions of cGMP on intracellular calcium, this results in decreased contractility of smooth muscle in the lung, inhibiting bronchoconstriction and mucus secretion. It is a nonselective muscarinic antagonist,
A 54-year-old female is admitted after suddenly collapsing in the street whilst out shopping with her friend. On examination she appears drowsy, has a pulse of 110 beats per minute and a temperature of 37.1°C.
She has nuchal rigidity which elicits a moan.
There is no eye opening to pressure over the sternum, but pressure over the nail bed elicits this withdrawal of the limb.
She is generally hyper-reflexic with bilateral extensor plantar responses.
What is her GCS?
What diagnosis do you suspect?

The 54-year-old female who collapses in the street sounds as if she may have had a subarachnoid haemorrhage.
Her GCS is E1, V2, M4 = 7.
A 19-year-old female is brought to the Emergency department following a car accident.
On examination she has a head wound, has a pulse of 110 beats per minute, smells of alcohol, is confused.
She shouts for her boyfriend while thrashing around on the couch and only partially co-operates with examination.
Her eyes are fully open, pupils appear slightly dilated and reflexes appear brisk with down going plantar responses.
Calculate her GCS
E4
V4 (as confused)
M6 (obeys commands) = 14
An 80-year-old male is admitted after being found collapsed at home.
No history is obtainable.
On examination he has a pulse of 45 beats per minute, a temperature of 34°C, no eye opening to pressure over the eyebrows and he makes no audible sounds.
No movements can be elicited and he has generally brisk reflexes with bilateral extensor plantar responses.
What is his GCS?
The 80-year-old male with what sounds like raised intracranial pressure has E1, V1, M1 = 3, suggesting a grave prognosis.
Which virus is associated with hepatocellular carcinoma?
Approximately 2% of those with cirrhosis from hepatitis C develop hepatocellular carcinoma.
A 10-year-old boy attends the Emergency department with a scalp laceration he sustained playing football.
Examination confirms a superficial clean incised wound approximately 2 cm in length.
Which would be the best way of managing this wound?
Tissue adhesive glue is very useful for scalp wounds particularly in children.
Wounds must be clean and less than about 3 cm in length. Glue should not be used to close wounds around the eyes or over joints.
A 58-year-old dairy farmer attends the Emergency department following a fall at work. He slipped in the cowshed cutting his leg on some metal fencing.
On examination he has a severely contaminated deep wound on the lateral aspect of his thigh.
After completing the examination and obtaining an x ray to exclude a foreign body you would like to clean the wound.
Which cleaning agent is the best to use?
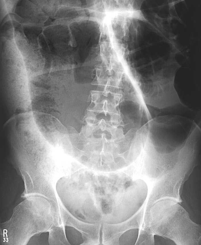
On examination he has abdominal swelling, guarding and numerous audible bowel sounds.
What is the diagnosis?

Sigmoid volvulus
A 3-year-old boy is brought to the Emergency department with onset of stridor in the last few hours.
Over the past three days he has been unwell with coryzal symptoms and ear temperature of 38.2°C.
What is the diagnosis?
What is the infective agent?
Croup may be caused by different viruses although most commonly as a result of infection with parainfluenza.
Typically it occurs in young children a few days after a coryzal illness with symptoms of a barking cough, a low grade fever and an inspiratory stridor.
Symptoms are worse at night.
A 9-month-old boy is referred to ENT as he has been noted to have stridor.
He sometimes chokes when drinking or feeding.
His head circumference has risen from the 50% at birth to the 98% and he has short limbs.
What is the diagnosis?
This child has achondroplasia, which is often associated with hydrocephalus (Arnold-Chiari malformation).
This in turn can be associated with vocal cord palsy.

A 22-year-old male is admitted wheezing with a respiratory rate of 35/min, a pulse of 120 beats per min, blood pressure 110/70 mmHg, peak expiratory flow rate <50% predicted.
He has been given back-to-back nebulisers of salbutamol 5 mg and ipratroprium 0.5 mg for the last 45minutes and is on face mask oxygen. He has been given hydrocortisone 100 mg IV.
The intensive care team are aware of the patient.
What is the next stage in this patient’s treatment?
Which criteria must be met for asthma to be life threatening?
(6)

A 62-year-old male presented with an eight hour history of double vision.
He has generally been well but has a history of hypertension for which he takes amlodipine and atenolol.
He also has a four year history of diet controlled type 2 diabetes.
On examination he has some watering of the right eye, there is a slight droop of the eyelid and the eye is displaced to the right.
Pupil size is the same as on the left and the left eye appears to have a full range of movements.
What is the likely cause of his symptoms?
Which cranial nerve is being affected?
Diabetes
Features of toxicity to lithium
(6)
Features of toxicity
A 56-year-old fit and well man presented to the hand trauma clinic with a one week history of pain and swelling to his right ring finger. He recalls lifting a garden pot and feeling a sudden pain in his finger.
A photograph of his hand is shown below; radiographs were normal.
What is the deformity and what is the diagnosis?

Boutonniere deformity due to central slip rupture

Which anti-depressant class overdose presents with prolonged QRS complex?
Prolonged QRS complex is consistent with TCA overdose.
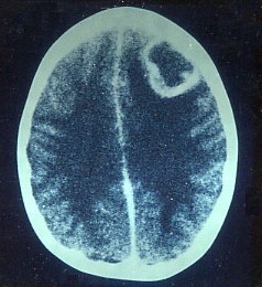
On examination she has a temperature of 39°C, has neck stiffness and is drowsy.
What is the most likely diagnosis?

The patient’s symptoms are important here in establishing the diagnosis as she has a temperature and signs of meningeal irritation suggesting infection.
The CT head scan shows a frontal space occupying lesion with rim enhancement suggesting tumour/metastasis or abscess.
Thus with her presentation the likely diagnosis is abscess.