Degenerative diseases are mostly characterized by what?
A loss of neurons
are all examples of what type of degenerative disease?
cortical
Where does neuronal loss occur for parkinson disease?
substantia nigra and locus ceruleus
_____ gait is small, shuffling steps
festinating gait
anteropulsion means falling ______
falling forward
en block turning means no turning at the ____
torso
Lewy bodies – round, eosinophilic inclusion
Composed of:
►Alpha-_____
►Neuro_____
►Ubiquitin, _____
Lewy bodies – round, eosinophilic inclusion
Composed of:
►Alpha-synuclein
►Neurofilaments
►Ubiquitin, Parkin
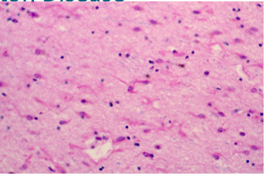
What is shown in this image?

Parkinson disease:
Lewy bodies are present in dying neurons mainly in the dopaminergic areas (e.g. substantia nigra). The loss of pigmented neurons leads to pallor of the substantia nigra. Lewy bodies contain α-synuclein
What does the following image show?

Huntington disease:
Hydrocephalus ex vacuo can develop due to loss of tissue in the caudate secondary to the neurodegeneration.
What is shown in the following image?

Huntington disease:
There is loss of neurons (especially small, spiny neurons). Prominent gliosis is present.
Tremor that occurs at rest (Parkinson)
resting tremor
Tremor that occurs when holding body part against gravity (Essential Tremor
postural
Tremor with voluntary movement (Cerebellar)
kinetic/action
Movement that is repetitive, brief, rapid, purposeless, stereotyped movements that involve single or multiple muscle groups.
tic
Excessive, spontaneous movements that are irregularly timed, nonrepetitive, randomly distributed, and often have a flowing “dancelike” quality that involves multiple body parts
chorea
Rapid, shock-like, arrhythmic (usually), and often repetitive involuntary movements.
myclonus
unilateral wild flinging movements (subthalamic nucleus lesion
hemiballismus
abnormal, often distorted positions of limbs, trunk, face; slower than athetosis
dystonia
Spinocerebellar ataxias
Spinocerebellar ataxias
Ataxia-telangiectasia
Ataxia-telangiectasia
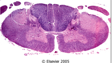
What does this image show?

ALS