Cerebral Edema= excessive ____ in the brain
fluid
Vasogenic Edema:
blood brain barrier
Cytotoxic Edema:
Cytotoxic Edema:
Interstitial Edema:
Interstitial Edema:
With edema morphology, the brain is _____ and ____.
With edema morphology, the brain is enlarged and softened.
As a result of edema morphology, the following can occur:
As a result of edema morphology, the following can occur:
What does this image show?

cerebral edema:
An acute stroke (left) is characterized by edema. The infarcted side is larger than the opposite hemisphere.
what does this image show?

Cerebral Edema:
cerebral abcesses surrounded by edema
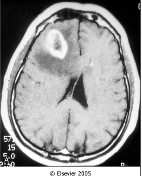
What does this image show?

The edema appears as a dark rim around the central tumor on CT.
Mechanism of herniation: _____brain pushes brain through ____
Mechanism of herniation: expanding brain pushes brain through opening
What are the consequences of the mechanism of herniation?:
What are the consequences of the mechanism of herniation?:
Transtentorial Herniation:
Transtentorial Herniation:
Subfalcian herniation:
Subfalcian herniation:
Cerebellar tonsillar herniation:
Cerebellar tonsillar herniation:
What does this image show?

Uncal herniation is seen with supratentorial masses forcing the uncal region down through the tentorial notch.
What does this image show?

Tonsillar herniation
What does this image show?

Duret Hemmorhage:
As the uncus and brainstem are pushed downward, penetrating vessels become stretched and break. This leads to hemorrhages in the upper pons, Duret hemorrhages, that can be fatal.
What does this image show?

Duret hemorrhage
What type of trauma is a gunshot through the brain?
penetrating
What type of trauma is it when the head strikes the floor or a dashboard?
Blunt trauma
What type of trauma is it when the skull is disrupted?
open trauma
What type of trauma is it when the skull is intact and you have internal lesions?
closed trauma
A concussion is what type of injury?
Parenchymal
Contusion is what type of injury?
parenchymal