What is the most common type of exzema?
Atopic excema
What is atopy?
overactive immune response to environmental stimuli
What is the atopic march?
tendency to 3 commonly linked conditions:
ECZEMA, ASTHMA and HAYFEVER
Atopic exzema is caused by an abnormality in the expression of which protein?
Abnormality in filaggrin expression.
Distribution of atopic exzema
Childhood exzema flares can be associated with:
What type of exzema is this?
Which parts of the body does it affect?
What age group does it affect?
Treatment

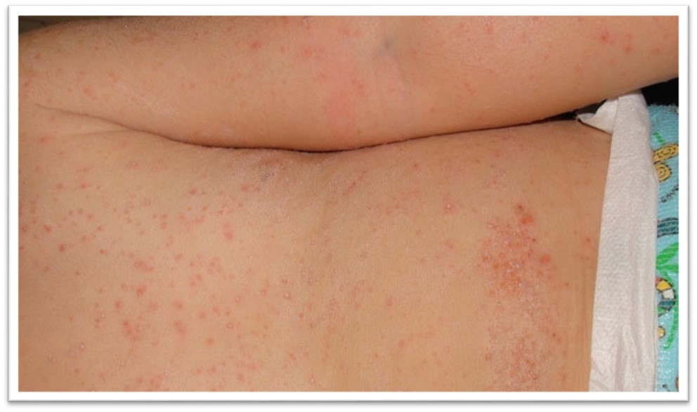
What type of exzema is this?

What type of exzema is this?
Which body part is it found on?
Characteristics

What are the two types of exogenous exzema?
Symptoms of immediate reactions from food allergy
(Type 1 reaction)
Symptoms of late reactions to food allergy
(Type 4 hypersensitivity)
Tests for immediate reaction food allergies
What are some of the causes of immediate reaction allergies
How would you confrim the allergy for late reaction food allergies?
Exzema treatment
Side effects of prolonged use of topical steroids
Skin thinning
How are creams measured?
Finger tip unit
What type of skin infection is this?
How does transmission take place?
Describe the lesions
How long does it take to clear?
Management

What is this skin infection?
Which bacteria is this superficial skin infection caused by?
Describe the skin
Treatment

What is this skin condition?
What is it caused by?
How is it transmitted?
Treatment

What does this picture show?
What is the most common cause for this in children?

Chicken pox
What are the symptoms of varicella zoster?
When is varicella zoster contageous?
Contagious 1-2 days before rash appears and until lesions have crusted.