Dewitt 1-4 Test Flashcards

(112 cards)

1
Q

Your patient is a 42 year old female whose physician has ordered an echocardiogram for evaluation of shortness of breath. Her LVIDd measures 4.5cm. This qualifies as…

normal or abnormal?

A

normal

How well did you know this?
1
Not at all
2
3
4
5
Perfectly
2
Q

Your patient is a 77 year old person whose physician ordered an echocardiogram for shortness of breath. You measure the peak tricuspid regurgitation velocity at 4m/s. What is the pressure gradient using the simplified Bernoulli equation?

a) 20
b) 16
c) 12
d) 64

A

d) 64

How well did you know this?
1
Not at all
2
3
4
5
Perfectly
3
Q

The normal left ventricular diastolic wall thickness is_____________.

a) 6-10 mm (men)
b) 6-10 mm (women)
c) 6-12 mm (women)
d) 6-12 mm (men)

A

a) 6-10mm (men)

How well did you know this?
1
Not at all
2
3
4
5
Perfectly
4
Q

Typically, the transducer is oriented toward the patient’s left shoulder during the ______________.

a) A4C
b) LAX RVIT
c) A3C
d) PSAX

A

d) PSAX

How well did you know this?
1
Not at all
2
3
4
5
Perfectly
5
Q

Which of the following statements are true regarding the right ventricle? Choose 2.

a) it is the most anterior chamber
b) it has thick walls compared to the LV
c) it is trabeculated
d) it is larger than the LV
e) it is the most posterior chamber

A

a) it is the most anterior chamber
c) it is trabeculated

How well did you know this?
1
Not at all
2
3
4
5
Perfectly
6
Q

At what point in the cardiac cycle are measurements of the LVOT diemeter taken?

a) mid-systole
b) end-systole
c) onset of systole
d) peak- systole

A

a) mid-systole

How well did you know this?
1
Not at all
2
3
4
5
Perfectly
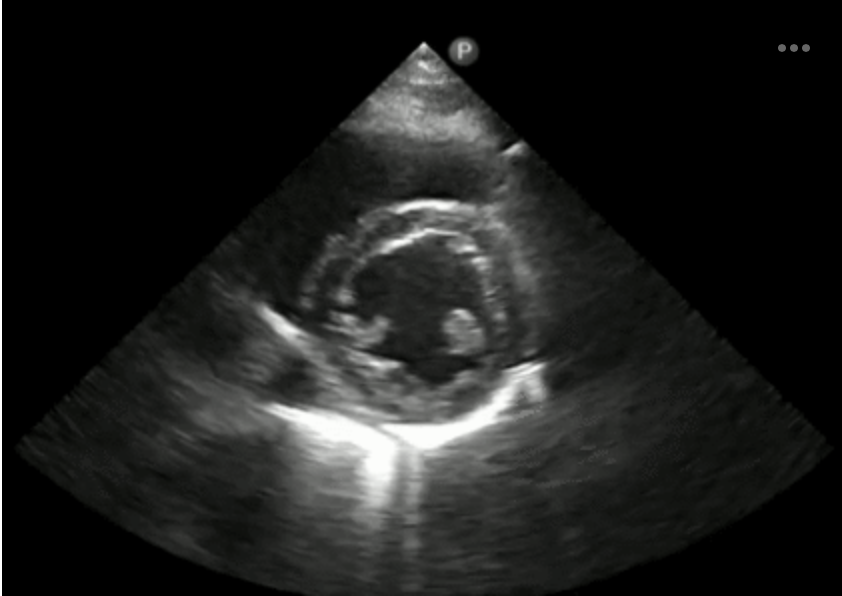
7
Q

Your patient is a 35 year old male. The main pulmonary artery measures 2.9cm in the parasternal short axis view. This measurement is _____________.

a) normal
b) mildly dilated
c) moderately dilated
d) severely dilated

A

a) normal

How well did you know this?
1
Not at all
2
3
4
5
Perfectly
8
Q

Which view is the best to evaluate the thickness of the RV wall?

a) Parasternal long axis
b) Subcostal 4 chamber
c) Apical 4 chamber
d) Parasternal short axis

A

b) Subcostal 4 chamber

How well did you know this?
1
Not at all
2
3
4
5
Perfectly
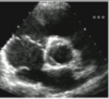
9
Q

Identify this echocardiography view and level.

A

SAX Mid or Papillary level

How well did you know this?
1
Not at all
2
3
4
5
Perfectly
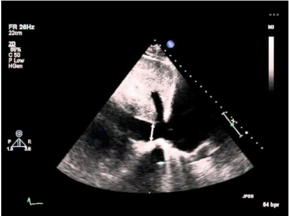
10
Q

What vessel is being sampled in this image? Be specific.

A

Descending Aorta

How well did you know this?
1
Not at all
2
3
4
5
Perfectly
11
Q

Choose all structures that can be visualized in the PSAX view at the level of the aorta.

pulmonary artery
interatrial septum
sinus of valsalva
acending aorta
mitral valve

A

Sinus of Valsalva
Interatrial septum
Pulmonary artery

How well did you know this?
1
Not at all
2
3
4
5
Perfectly
12
Q

What is the position of the indicator notch when acquiring a subcostal 4 chamber view?

A

The indicator notch should be towards the patient’s left side when acquiring a subcostal 4 chamber view.

How well did you know this?
1
Not at all
2
3
4
5
Perfectly
13
Q

The _____________ and ________________ tricuspid valve leafletes are visualized in the LAX RVIT.

a) anterior/medial
b) anterior/inferior
c) medial/posterior
d) anterior/posterior

A

d) anterior/posterior

How well did you know this?
1
Not at all
2
3
4
5
Perfectly
14
Q

T/F A normal range of LV ejection fraction for individuals age 20 and over is 85-100%.

A

FALSE

How well did you know this?
1
Not at all
2
3
4
5
Perfectly
15
Q

Which view is best for doppler evaluation of the pulmonary valve.

a) subcostal 4 chamber
b) parasternal short axis
c) apical 4 chamber
d) suprasternal notch

A

b) parasternal short axis

How well did you know this?
1
Not at all
2
3
4
5
Perfectly
16
Q

Which number(s) below are part of the interventricular septum?

A

3&8

How well did you know this?
1
Not at all
2
3
4
5
Perfectly
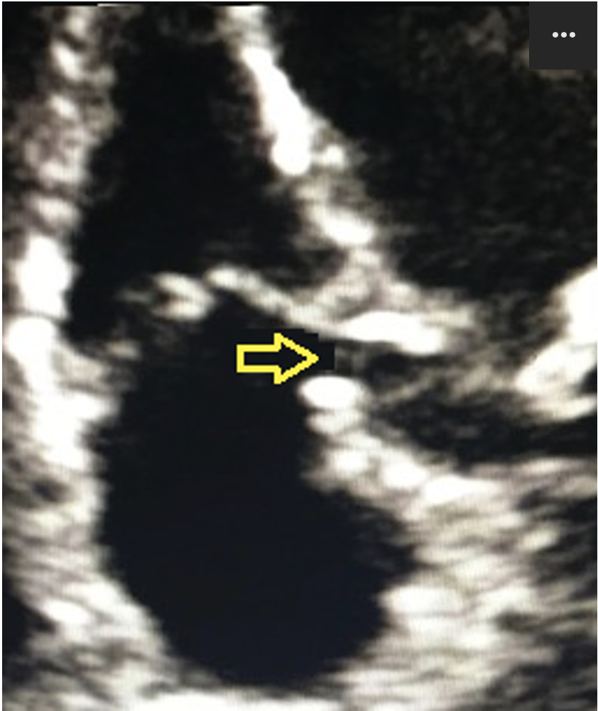
17
Q

What structure is being identified at the yellow arrow in this apical 4 chamber view of the right heart?

a) foramen ovale
b) SVC
c) coronary sinus
d) eustacian valve

A

c) coronary sinus

How well did you know this?
1
Not at all
2
3
4
5
Perfectly
18
Q

The measurement arrow is in the ______ in this _____.

A

IVC, Subcostal

How well did you know this?
1
Not at all
2
3
4
5
Perfectly
19
Q

What view is being demonstrated?

a) Apical 2
b) Apical 4
c) Apical 3
d) Apical 5

A

c) Apical 3

How well did you know this?
1
Not at all
2
3
4
5
Perfectly
20
Q

End systole is captured when the _________.

a) left ventricle is at its smallest dimension
b) mitral valve just opened
c) aortic valve just opened and mitral valve just closed
d) left ventricle is at its largest dimension

A

a) left ventricle is at its smallest dimension

How well did you know this?
1
Not at all
2
3
4
5
Perfectly
21
Q

When visualizing a normal IVC you should be able to detect a __________ collapse with inspiration.

a) 50%
b) 30%
c) 75%
d) 25%

A

a) 50%

How well did you know this?
1
Not at all
2
3
4
5
Perfectly
22
Q

Identify the structure at the gold arrow.

a) LVPW
b) AMVL
c) Pericardium
d) PMVL

A

d) PMVL

How well did you know this?
1
Not at all
2
3
4
5
Perfectly
23
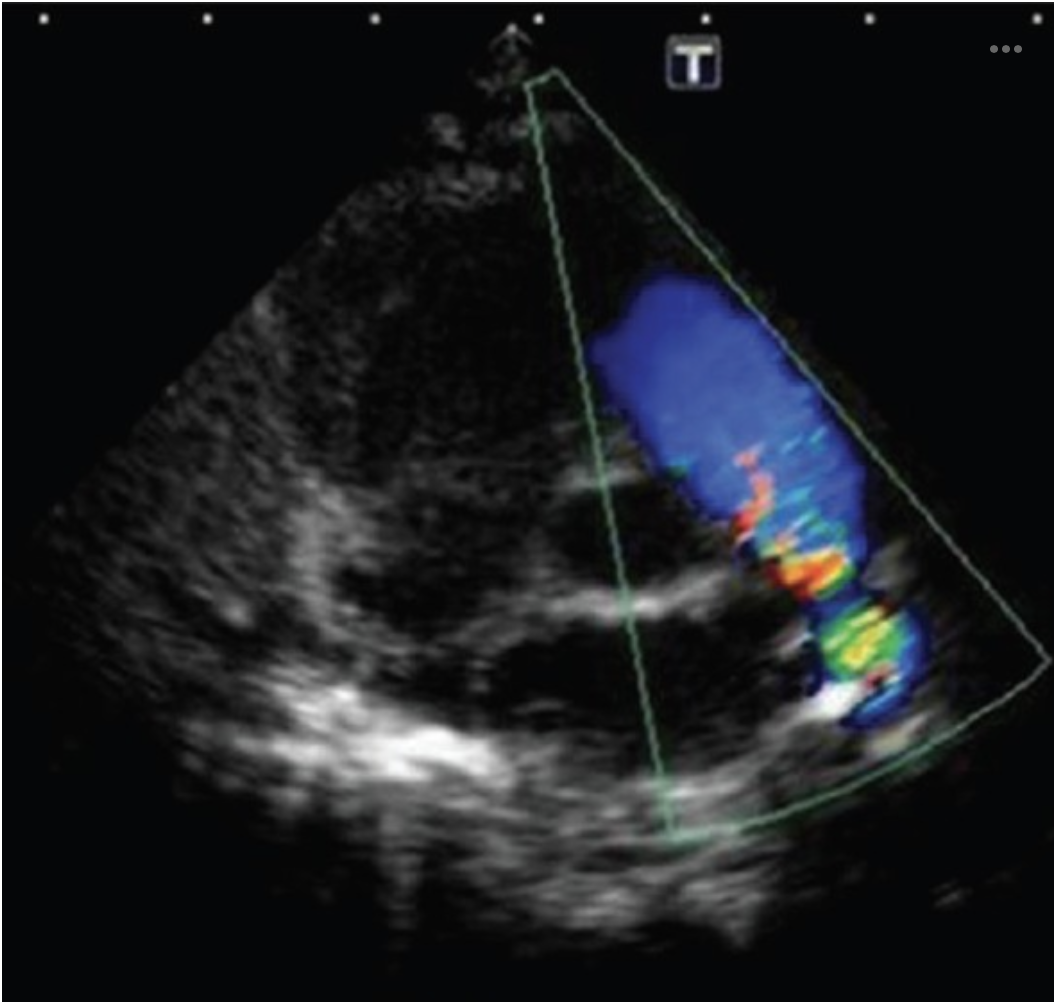
Q

What structure in this image is being evaluated with color flow Doppler?

a) RVOT
b) RVIT
c) LVIT
d) LVOT

A

a) RVOT

How well did you know this?
1
Not at all
2
3
4
5
Perfectly
24
Q

Explain the significance of measuring LV ejection fraction in cardiac sonography.

A

LV ejection fraction is an important parameter that indicates how well the heart is functioning by showing the percentage of blood pumped out of the left ventricle with each heartbeat. It helps in assessing cardiac performance and identifying potential heart conditions.

How well did you know this?
1
Not at all
2
3
4
5
Perfectly
25
List 2 ways to increase the frame rate of a color Doppler image.
Decrease sector width write zoom decrease depth
26
Which is the best method to calculate the left ventricular ejection fraction? a) Visual Estimate b) Modified Simpson's rule c) Modified Bernoulli d) Teicholtz Method
b) Modified Simpson's rule
27
What structure is denoted by number 4?
anterior leaflet
28
Which of the following measurments is taken with a leading edge to leading edge technique. a) LVOT b) LA c) RVOT d) Aortic Valve Annulus
b) LA
29
Chordae tendineae a) Fibrous cords that connect the papillary muscles to the tricuspid and mitral valves. b) Carries deoxygenated blood from the right ventricle to the lungs. c) Valve that allows blood to flow from the left ventricle into the aorta. d) The outermost layer of the heart.
a) Fibrous cords that connect the papillary muscles to the tricuspid and mitral valves.
30
Pulmonary artery a) Fibrous cords that connect the papillary muscles to the tricuspid and mitral valves. b) Carries deoxygenated blood from the right ventricle to the lungs. c) Valve that allows blood to flow from the left ventricle into the aorta. d) The outermost layer of the heart.
b) Carries deoxygenated blood from the right ventricle to the lungs.
31
Aortic valve a) Fibrous cords that connect the papillary muscles to the tricuspid and mitral valves. b) Carries deoxygenated blood from the right ventricle to the lungs. c) Valve that allows blood to flow from the left ventricle into the aorta. d) The outermost layer of the heart.
c) Valve that allows blood to flow from the left ventricle into the aorta.
32
Epicardium a) Fibrous cords that connect the papillary muscles to the tricuspid and mitral valves. b) Carries deoxygenated blood from the right ventricle to the lungs. c) Valve that allows blood to flow from the left ventricle into the aorta. d) The outermost layer of the heart.
d) The outermost layer of the heart.
33
Your patient is a 53 year old female. Her IVC measures 2.5cm and does not collapse with inspiration. What is her estimated right atrial pressure? a) 15mmHg b) 3mmHg c) 8mmHg
a) 15mmHg
34
What is the minimum acceptable frame rate for color Doppler imaging echocardiography? a) 10Hz b) 15Hz c) 20Hz d) 30Hz
c) 20Hz
35
Which cardiac window provides the best opportunity to evaluate blood flow across the interatrial septum? a) Subcostal b) Parasternal c) Right sternal border d) Apical
a) Subcostal
36
When measuring an element of time on spectral Doppler, what is the minimum acceptable setting for the sweep speed? a) 75 b) 150 c) 100 d) 50
c) 100
37
Identify this view
Apical Long (A3C)
38
Identify this view
Parasternal Short Axis
39
Identify this view
Subcostal
40
Identify this view
Suprasternal Notch
41
What echocardiographic window is used to create this image?
Suprasternal Notch (SSN)
42
Choose all of the views that can be imaged in the subcostal window. (Choose 4) RVIT long axis descending aorta IVC short axis 4 chamber
descending aorta IVC 4 chamber
43
What is the normal range of LV ejection fraction for age 20 and over? a) 60-100% b) 53-73% c) 25-55% d) 80-100%
b) 53-73%
44
Choose measurements that are taken at end diastole. Choose 3. RV width Ascending aorta LVOT LA internal dimension LV internal dimension
LV internal dimension RV width Ascending aorta
45
Calculate the ejection fraction with the following data: End diastolic volume 75mL End systolic volume 30mL
(75-30) / 75 * 100 = 60%
46
The normal mean left atrial pressure is comparable to the __________________. a) left ventricle diastolic pressure b) pulmonary artery systolic pressure c) aorta systolic pressure d) left ventricular systolic pressure
a) left ventricle diastolic pressure
47
Where do the coronary arteries originate? a) sinus of valsalva b) ascending aorta c) left ventricular outflow tract d) coronary sinus
a) sinus of valsalva
48
Steerable with a sample gate and the potential for aliasing describes__________. a) pulsed wave doppler b) non-imaging CW doppler. c) non-imaging pulsed wave doppler d) continuous wave doppler
a) pulsed wave doppler
49
label anatomy
50
During ______________________,all four valves are closed and the ventricular pressure is at it's lowest. a) isovolumic relaxation b) diastole c) systole d) isovolumic contraction
a) isovolumic relaxation
51
The _____________ is the main pumping mechanism of the heart. a) endocardium b) myocardium c) pericardium d) epicardium
b) myocardium
52
The volume of blood the left ventricle pumps each minute is ______________. a) heart rate b) stroke volume c) cardiac output d) cardiac index
c) cardiac output
53
The optimal angle for doppler of cardiac bloodflow is __________. a) 60 degrees b) 45 degrees c) 0 degrees d) 30 degrees
c) 0 degrees
54
Which phase of the cardiac cycle is represented within the yellow brackets? a) ventricular diastole b) vetricular systole c) atrial diastole d) atrial systole
d) atrial systole
55
Identify the cardiac cycle indicated by the letter C. a) isovolumic relaxation time b) end-systole c) isovolumic contraction time d) end diastole
a) isovolumic relaxation time
56
The left atrium is the most ______ chamber of the heart and delivers ______of the left ventricle filling. a) posterior / 15-30% b) medial / 22.5% c) anterior / 20-30% d) inferior / 15-30%
a) posterior / 15-30%
57
The largest volume in the heart during the cardiac cycle is known as the ___________. a) end-systolic volume b) rapid early filling c) early-diastolic volume d) end-diastolic volume
d) end-diastolic volume
58
What is the normal mean right atrial pressure and O2 saturation. a) 4-12 mmHg 50% b) 2-8 mmHg, 50% c) 2-8 mmHg , 75% d) 4-12 mmHg, 75%
c) 2-8 mmHg , 75%
59
During early diastole, the left ventricular pressure is at it's ________ and the ventricles experience __________. a) lowest / rapid filling b) lowest / rapid ejection c) highest / rapid filling d) highest / rapid ejection
a) lowest / rapid filling
60
The EKG p wave represents____________. a) mechanical ventricular systole b) electrical ventricular diastole c) ventricular depolarization d) electrical atrial systole (depolarization)
d) electrical atrial systole (depolarization)
61
List 5 indications for an adult transthoracic echocardiogram.
valvular heart disease ischemic heart disease, cardiomyopathy, heart failure, infective endocarditis, source of embolus, prosthetic valve, myocaditis, pericarditis, pericardial effusion, myxoma, disorder of the aorta, congenital heart disease
62
What is identified by the letter K on this image?
interventricular septum
63
Which ventricle operates at a lower pressure?
Right
64
_____________ is the volume of blood ejected from the heart. a) Cardiac output b) Stroke volume c) Cardiac index d) Body surface area
b) Stroke volume
65
The PEDOF probe is a __________ probe used to identify ___________. a) non-imaging CW / high velocities b) non-imaging CW / low velocities c) non-imaging PW / high velocities d) non-imaging PW/ low velocities
a) non-imaging CW / high velocities
66
What structure is identified at arrow # 4 ?
left main coronary artery
67
What is the normal pressure in the Aorta? a) 15-25 mmHg b) 60-110 mmHg c) 90-150 mmHg d) 80-120 mmHg
d) 80-120 mmHg
68
This image of the heart is a _______view taken from the _________ of the heart.
PSAX/base
69
Calculate the stroke volume End diastolic volume 105mL End systolic volume 35mL Heart Rate 70bpm
70mL/sec
70
The volume of blood in the heart at end-diastole is ______________. a) cardiac ejection fraction b) afterload c) preload d) cardiac volume
c) preload
71
Which color represents toward the probe flow on echocardiography?
Red
72
What structure is identified at the red arrow? a) chordae tendineae b) anterior tricuspid leaflet c) anterior mitral valve leaflet d) posterior mitral valve leaflet
c) anterior mitral valve leaflet
73
The inner layer of the heart which also lines the cardiac valves is the_______________. a) pericardium b) epicardium c) endocardium d) myocardium
c) endocardium
74
What structure receives most of the venous blood from the heart muscle and empties into the right atrium? a) coronary sinus b) great cardiac vein d) coronary arteries e) pulmonary veins
a) coronary sinus
75
The _________is the primary pacemaker of the heart and is located at the border of the ____________. a) SA node / superior vena cava and right atrium b) AV node / inferior vena cava and right atrium c) AV node/ superior vena cava and right atrium d) SA node / inferior vena cava and right atrium
a) SA node / superior vena cava and right atrium
76
What is directly regulated by the autonomic nervous system? a) blood volume b) heart rate c) ejection fraction d) rapid filling
b) heart rate
77
Identify the echocardiographic window at the letter D. a) epigastric b) suprahepatic c) subcostal d) substernal
c) subcostal
78
Which valve(s) are open during systole? a) tricuspid and pulmonic b) aortic valve only c) aortic and pulmonic d) aortic and mitral
c) aortic and pulmonic
79
The range of frequecies for transthoracic cardiac imaging of adults is_______________. a) 3-7 MHz b) 2-5 MHz c) 2-10 MHz d) 5-10 MHz
b) 2-5 MHz
80
Pick the best descriptor of this image. a) B-Mode Color Map b) Color velocity c) Spectral scale d) Variance color map
d) Variance color map
81
A steerable mode capable of detecting both low and high velocity flow, that acquires data all along the ultrasound beam. This definition best fits which term? a) Color flow Doppler b) Continuous wave doppler c) B-Mode imaging d) Pulsed wave doppler
b) Continuous wave doppler
82
Normally the dominant pacemaker of the heart is the__________________. a) Purkinje fibers b) bundle His c) SA node d) AV node
c) SA node
83
The coronary sinus is positioned along the ________________. a) middle cardiac vein b) posterior atrioventricular groove c) great cardiac vein d) anterior atrioventricular groove
b) posterior atrioventricular groove
84
The left heart is a___________________. a) pulmonary circulatory system b) high resistance system c) low oxygen saturation system d) low pressure system
b) high resistance system
85
The ______________ is another name for the right ventricular outflow tract. a) tricuspid apparatus b) right ventricular canal c) infundibulum d) moderator band
c) infundibulum
86
What's the pressure for chamber or vessel: Q
<120/<80 mmHg
87
What's the pressure for chamber or vessel: R
2-8 mmHg
88
What's the pressure for chamber or vessel: S
15-25/ 4-12 mmHg
89
What's the pressure for chamber or vessel: T
2-12 mmHg
90
What's the pressure for chamber or vessel: U
15-25/2-8 mmHg
91
What's the pressure for chamber or vessel: V
<120/3-12 mmHg
92
the Cardiac Cycle Component: G
AV valves close / first heart sound
93
the Cardiac Cycle Component: D
Mechanical ventricular diastole
94
the Cardiac Cycle Component: I
Rapid early filling/ third heart sound
95
the Cardiac Cycle Component: E
SL valves open/ systole
96
The blood travels from the aorta to the _______. a) veins, venules, capillaries, arteries, arterioles b) ateries, arterioles, capillaries, venules, veins c) cappillaries, arterioles, venules, veins d) arterioles, arteries, venules, veins
b) ateries, arterioles, capillaries, venules, veins
97
The anterior surface of the heart is made up of almost entirely of the ___________. a) right ventricle b) left atrium c) right atrium d) left ventricle
a) right ventricle
98
The largest volume in the heart during the cardiac cycle is known as the _____________. a) early-diastolic volume b) end-systolic volume c) end-diastolic volume d) rapid early filling
c) end-diastolic volume
99
Differentiate between the systemic circulatory system and the pulmonary circulatory system and describe how they work together.
While they are different, they work together to ensure the body with enough oxygen and nutrients while taking away the wastes in order to keep the body functioning properly through a unique circulatory fashion. The systemic circulatory system carries oxygenated blood from the heart through the body after the exchange in the capillaries it then becomes part of the pulmonary system where deoxygenated blood is then carried back to heart which then pushes it to the lungs to gather oxygen just to start the circulatory all over again.
100
The normal mean left atrial pressure is comparable to the __________________. a) left ventricular systolic pressure b) pulmonary artery systolic pressure c) left ventricle diastolic pressure d) aorta systolic pressure
c) left ventricle diastolic pressure
101
List the 4 heart wall layers from inner to outer layer.
endocardium, myocardium, epicardium, pericardium
102
The heart is enclosed in the _______, a fluid filled sac that protects it against infection and trauma. a) endocardium b) pericardium c) myocardium d) epicardium
b) pericardium
103
What is being measured at line #3? At what point in the cardiac cycle is this measurement performed?
RV length end diastole
104
Which two aortic valve leaflets are visualized in the apical 5 chamber view? a) LCC & RCC b) RCC & NCC c) NCC & LCC
b) RCC & NCC
105
Identify the level of the LV at the blue box, yellow box and red box.
basal-blue Mid-yellow Apical-red
106
What view is being demonstrated? a) Apical 5 b) Apical 3 c) Apical 4 d) Apical 2
b) Apical 3
107
Identify the anatomy.
1. IVS 2. LV APEX 3. RA
108
What structure in this image is being evaluated with color flow Doppler? a) LVOT b) RVOT c) LVIT d) RVIT
a) LVOT
109
How would you manipulate the transducer to get from an Apical 4 chamber view to this view? a) tilt the transducer toward the left side b) move to another window c) rotate 45 degrees clockwise d) rotate 60-90 degrees counter-clockwise
d) rotate 60-90 degrees counter-clockwise
110
When assessing the ascending aortic flow in the suprasternal notch view, which direction will the be? a) Toward the probe, above the baseline b) Toward the probe, below the baseline c) Away from the probe, above the baseline d) Away from the probe, below the baseline
a) Toward the probe, above the baseline
111
The right sternal border view best evaluates which structure? a) Ascending aorta b) Descending aorta c) Abdominal aorta d) Left atrium
a) Ascending aorta
112
What is being assessed with color flow Doppler in this image? a) Interatrial septum b) Interventricular septum c) Tricuspid valve d) Aortic valve
c) Tricuspid valve