TTE Images Flashcards

(35 cards)

1
Q

The left coronary cusp is outlined in what color?

A

Purple

How well did you know this?
1
Not at all
2
3
4
5
Perfectly
2
Q

What normal flow pattern is this and in what view?

A

the flow pattern of a normal LVOT in A5C

How well did you know this?
1
Not at all
2
3
4
5
Perfectly
3
Q

What normal flow pattern is this and in what view?

A

the ascending AO forward flow through the AOV, SSN-LV Apex view

How well did you know this?
1
Not at all
2
3
4
5
Perfectly
4
Q

What normal flow pattern is this and in what view?

A

descending AO Thoracic, SSN/Subcostal

How well did you know this?
1
Not at all
2
3
4
5
Perfectly
5
Q

What normal flow pattern is this and in what view?

A

descending AO proximal abdominal
SSN/subcostal

How well did you know this?
1
Not at all
2
3
4
5
Perfectly
6
Q

What normal flow pattern is this and in what view?

A

LV inflow (mitral), A4C

How well did you know this?
1
Not at all
2
3
4
5
Perfectly
7
Q

What normal flow pattern is this and in what view?

A

RVOT, PSAX

How well did you know this?
1
Not at all
2
3
4
5
Perfectly
8
Q

What normal flow pattern is this and in what view?

A

RVIT Tricuspid TV Inflow & TV regurgitation, A3C

How well did you know this?
1
Not at all
2
3
4
5
Perfectly
9
Q

What normal flow pattern is this and in what view?

A

LA Inflow Pulmonary Valve, A4C

How well did you know this?
1
Not at all
2
3
4
5
Perfectly
10
Q

What normal flow pattern is this and in what view?

A

RVOT, PSAX

How well did you know this?
1
Not at all
2
3
4
5
Perfectly
11
Q

What does the arrow reveal?

A

Moderator band

How well did you know this?
1
Not at all
2
3
4
5
Perfectly
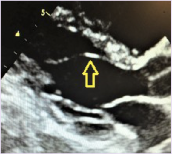
12
Q

What does the arrow reveal?

A

LV false tendon

How well did you know this?
1
Not at all
2
3
4
5
Perfectly
13
Q

What is the arrow pointing to?

A

AMVL continuity

How well did you know this?
1
Not at all
2
3
4
5
Perfectly
14
Q

Which wave form is this? is it PW or CW?

A

TV Inflow, PW

How well did you know this?
1
Not at all
2
3
4
5
Perfectly
15
Q

Which wave form is this? is it PW or CW?

A

TV & Peak TRV, CW

How well did you know this?
1
Not at all
2
3
4
5
Perfectly
16
Q

What is this M-mode showing?

17
Q

What does the arrow show?

18
Q

What plane and is it diastole or systole?

A

PSAX, systole

19
Q

Label including the *

A
  1. Anteritor TV leaflet
  2. Medial TV leaflet
  3. AOV RCC
  4. AOV LCC
  5. AOV NCC
  6. Right posterior PV cusp
  7. Anterior PV cusp
    * NCC is always adjacent to the IAS
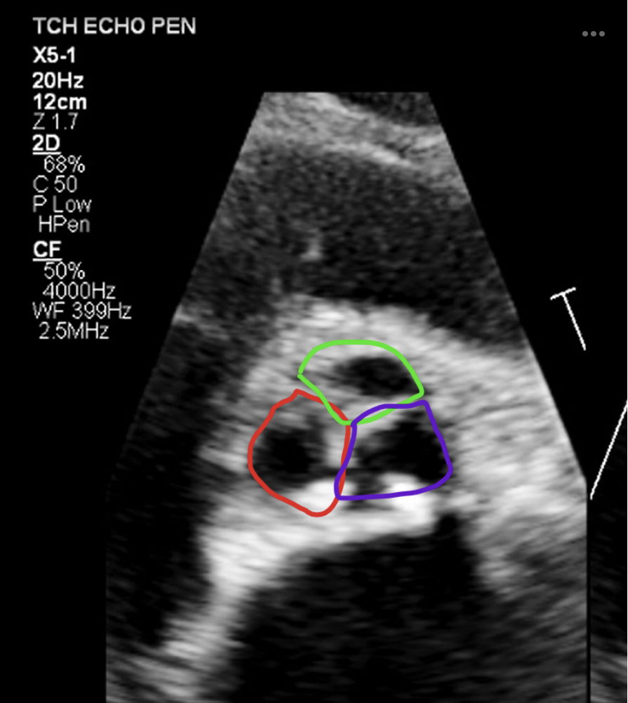
20
Q

What does this show and in what plane?

A

PSAX, Trileaflet AOV

21
Q

What waveform is this and is it PW or CW?

22
Q

What Color Doppler is this of?

23
Q

What color doppler is this of?

24
Q

What color doppler is this of?

25
What does this show? In what view? Systole or Diastole?
MV leaflets, PSAX basal/MV view, systole
26
What does this show? In what plane? Systole or Diastole?
MV leaflets, PSAX basal/MV view, diastole
27
Label
1. Anterior MV leaflet 2. Posterior MV leaflet 3. Basal Anteroseptal wall 4. Basal Anterior wall 5. Basal anterolateral wall 6. Basal inferolateral wall 7. Basal inferior wall 8. Basal inferoseptal wall
28
What does this show? In what plane? Systole or Diastole?
PM, PSAX, mid systole
29
What does this show? In what plane?
Apex, PSAX
30
Label
1. anterior TV leaflet 2. medial TV leaflet 3. anterior MV leaflet 4. posterior MV leaflet 5. basal inferoseptal wall 6. mid inferoseptal wall 7. apical septal wall 8. apical cap 9. apical lateral wall 10. mid anterolateral wall 11. basal anterolateral wall 12. IAS 13. MV 14. TV 15. PV4 16. IVS
31
Label
1. basal inferior wall 2. mid inferior wall 3. apical inferior wall 4. apical cap 5. apical anterior wall 6. mid anterior wall 7. basal anterior wall 8. LAA 9. PV4 10. DAO
32
What does this M-mode depict?
TAPSE
33
What does this image show and in what window?
prominent moderator band, A4C
34
What does this image show? what window?
RV linear dimensions: basal (blue) mid (red) longitudinal (yellow) A4C RV focused
35
What does this image show?
Single-plane RAV-RA area (red) Major (yellow)