Explain What the following image shows

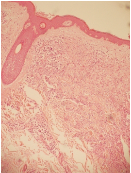
•Billy’s skin biopsy shows Kaposi’s sarcoma.This is an HIV AIDS defining disease.There is a big lesion composed of proliferating blood vessels.These are the histological features of Kaposi sarcoma.This is an AIDS defining diagnosis