Diagnostics 4- image Flashcards

(1 cards)

1
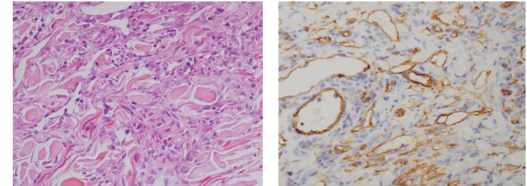
Q

Explain what the following images show

A

•Immunocytochemistry for CD31 to show vascular tumour infiltrating collagen bundles

How well did you know this?
1
Not at all
2
3
4
5
Perfectly