What is the clinical counterpart to diffuse alveolar damage? What are the manifestations of this syndrome?
Acute Respiratory Distress Syndrome; Decreased lung compliance, hypoxemia, and CXR “white out”
A patient has acute respiratory distress syndrome. The patient was doing heroin while swimming and he broke his leg. The cause of diffuse alveolar damage is not viral. The lung was observed. What is the cause?
You can’t determine the causative agent from observation of lung morphology.
No cause could be determined of a patient’s diffuse alveolar damage. What is the Dx?
Acute interstitial pneumonia
What occurs in the acute phase of ARDS? What is another name for this phase?
Inflammatory cells accumulate in the interstitial space; Exudative phase
Describe the acute organizing phase of ARDS; Describe the process that occurs in patients who do not recover.
Fibroblasts proliferate in the interstitial space and deposit collagen in the alveolar walls; End-stage fibrosis resulting in remodeled lung architecture consisting of cyst-like spaces (Honeycomb Lung)
What is the currently accepted mechanism of DAD?
Neutrophils in the lung are activated by complement and release O2 radicals and hydrolytic enzymes
When does the exudative phase of DAD occur? What are the typical findings?
In the first week after insult; Edema, hyaline membranes, plasma protein leakage and accum. of inflamm cells, in addition, type II pneumocytes become arrayed along the arterioles
What are hyaline membranes and when are they found in ARDS?
Conspicuous morphologic feature of the exudative (acute) phase of ARDS that appear by the second day; Eosinophilic and glassy
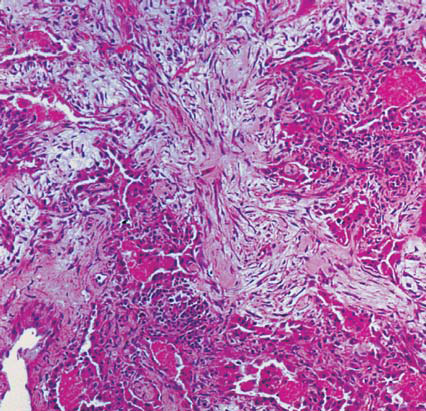
In a patient with ARDS, the lung biopsy below shows alveolar walls that are thickened by fibroblasts and loose connective tissue. What is the phase? What is the time course? What are the typical findings?

Organizing phase; A week after acute insult; Persistent type II pneumocytes and interstitial inflammation with absent hyaline membranes.
A patient with ARDS shows alveoli lined with an eosinophilic substance. What is the stage of ARDS and what is the substance?
Figure 12-33
Acute exudative; Hyaline membranes
How can increased inspired oxygen cause ARDS?
Possible increase in reactive oxygen species
How can shock cause ARDS?
Tissue necrosis causes release of vasoactive peptides increasing vascular permeability in lungs, DIC can damage endothelium
How can aspiration cause DAD?
Decreased pH damage alveoli
A lung biopsy of a patient is shown below. Histologic analysis shows bizarre atypical hyperchromatic nuclei in type II pneumocytes. What is the likely cause of this DAD?
Figure 12-35
Cytotoxic chemoTx agents such as bleomycin, BCNU, methotrexate, 5FU, busulfan, cyclophosphamide
What are the two types of radiation pneumonitis?
Acute DAD and chronic pulmonary fibrosis
A patient treated for breast cancer 4 months later presents to the hospital with fever, cough, and dyspnea. The patient later recovers. What is the likely Dx?
Acute radiation pneumonitis
Another patient treated from lung cancer has interstitial fibrosis, vascular changes, and atypical type II pneumocytes. What is the likely Dx?
Chronic radiation pneumonitis
A farmer presents with ARDS. Histologic exam reveals curious intralveolar exudate and eventually filled with loose granulation tissue. What is the likely Dx?
Exposure to paraquat (herbicide)
A newborn experiences neonatal respiratory distress syndrome. What is the likely cause?
The patient is likely premature and is unable to adequately synthesize surfactant.