What are pneumoconioses?
Pulmonary diseases caused by mineral dust inhalation
What is the key factor in the genesis of symptomatic pneumoconioses? What determines dosage of particles?
The ability of the inhaled dust to stimulate fibrosis; Dose = concentration of dust X duration of exposure
What type of particles are the most dangerous?
The particles that reach the peripheral zones (the smallest bronchioles and the acini
What is the main defense in the bronchi and bronchioles against dust particles? The alveoli?
Mucociliary escalator; Macrophages
What is silicosis caused by?
Inhalation of silicon dioxide (silica)
What is the believed pathogenesis of silicosis?
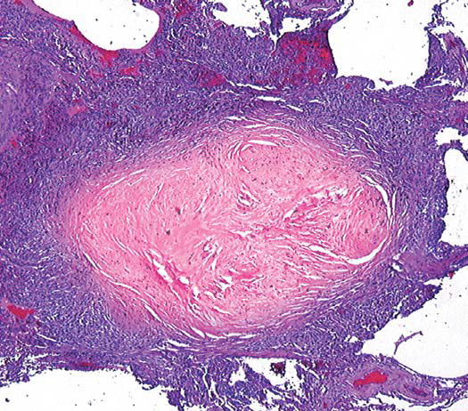
A patient who worked in a quarry for 20 years presents to your clinic for his exam. For some strange reason, a lung biopsy was performed and is shown below. The biopsy shows a concentric whirl of dense, sparsely cellular collagen. The patient has enlarged calcific hilar nodes but he showed no respiratory Syx. What is the Dx? What is another name for the calcific hilar lymph nodes?

Simple nodular silicosis; Eggshell calcification
A coal miner presents to the clinic with pulmonary problems. The patient dies and his lung is shown at autopsy. The lung shows large bilateral upper zone fibrotic lesions with central cavitation. What is the likely Dx?

Progressive Massive Fibrosis
A patient presents to the clinic with severe restrictive breathing problems. The patient worked for a construction company for many years. CXR reveals diffuse linear fibrosis and reduced lung volume. What is the Dx? What is the name of the alveolar lipoproteinosis-like condition observed in this disease?
Progressive massive fibrosis; Silicoproteinosis
What bug is a person with silicosis predisposed to becoming infected with?
Tuberculosis!
What are the divisions of coal workers’ pneumoconiosis?
Simple CWP and complicated CWP (progressive massive fibrosis)
What are the typical lesions found in simple CWP?
Nonpalpable coal-dust macules and palpable coal-dust nodules thoughout the lung.
A lung biopsy of a coal miner is shown below. Dust-laden macrophages associated with a fibrotic stroma are observed. What is the Dx? What was the likely consistency of the inhaled dust?

Anthracosilicosis; Coal admixed wit fibrogenic dust (such as silica)
A patients lung biopsy showsnodular lesions that are bilateral and resemble rheumatoid nodules. What are these nodules called? What is the Dx?
Caplan syndrome; Caplan nodules
A lung biopsy of a patient is shown below. What is your Dx? What are the characteristic morphologies seen below?

Asbestosis; Asbestos bodies
What are typical presenting Syx of a patient with asbestosis? Where in the lung is most commonly effected?
Initially - mild chronic airflow obstruction (obstructive and/or restrictive obstruction)
End-stage - Honeycomb lung
Lower lung zones
The dome of the diaphragm is shown below with a smooth, pearly white, nodular plaque. The patient had significant exposure to asbestos. What is shown below?

A pleural plaque
What malignancy is firmly associated with asbestos exposure? What other malignancy is associated with asbestosis?
Mesothelioma; Lung carcinoma
A patient reported that he suddenly became short of breath and started coughing. A lung biopsy was performed and is shown below. Shown is a concaseating granuloma. Sarcoidosis and tuberculosis are ruled out. What is your suspected Dx? What test would help confirm this Dx?

Berylliosis; Beryllium lymphocyte proliferation test
What is unique about berylliosis compared to the other pneumoconioses? What is the suspected type pathogenesis? What is the end stage disease associated with?
What settings are people exposed to talc?
Industry and IV drug abusers